双能量CT有效原子序数联合碘浓度在甲状腺乳头状癌鉴别诊断中的初步研究
The Preliminary Research of Effective Atomic Number Combined with Iodine Concentration from Dual-Energy CT in the Differential Diagnosis of Thyroid Papillary Carcinoma
摘要: 目的:探讨双能量增强CT动脉期有效原子序数(Zeff)与标准化碘浓度(NIC)在甲状腺乳头状癌(PTC)与常见良性结节的鉴别诊断价值。方法:回顾性分析经手术病理证实的60例甲状腺结节患者(PTC 16例,结节性甲状腺肿34例,腺瘤10例)的动脉期双能量CT资料,测量并比较三组间Zeff与NIC值,采用Kruskal-Wallis检验及两两比较分析组间差异,并基于有统计学意义的组别,绘制ROC曲线评估参数的诊断效能。结果:动脉期NIC与Zeff在三组间总体差异显著(P < 0.05)。两两比较显示,PTC组动脉期Zeff与NIC值均显著高于结节性甲状腺肿组(均P < 0.01),而PTC组与腺瘤组、结节性甲状腺肿组与腺瘤组之间,上述参数的差异均无统计学意义(均P > 0.017)。在PTC与结节性甲状腺肿的鉴别中,动脉期NIC的诊断效能最高(AUC = 0.770),其最佳截断值为0.17,对应的灵敏度与特异度分别为81.3%与67.6%;动脉期Zeff虽AUC稍低(0.737),但灵敏度极佳(93.8%)。结论:动脉期NIC是鉴别PTC与结节性甲状腺肿的稳定指标,而Zeff具极高的灵敏度在排除诊断中价值突出。然而,二者在鉴别PTC与腺瘤时效能有限,临床应用时需结合其他检查方法综合判断。
Abstract: Objective: To evaluate the diagnostic value of dual-energy CT (DECT) parameters, the effective atomic number (Zeff) and normalized iodine concentration (NIC) in the arterial phase, for differentiating thyroid papillary carcinoma (PTC) from common benign nodules. Methods: We retrospectively analyzed arterial-phase DECT data from 60 patients with pathologically confirmed thyroid nodules (16 PTC, 34 nodular goiters, 10 adenomas). Zeff and NIC values were measured and compared across the three groups using Kruskal-Wallis tests with post-hoc pairwise comparisons. For groups showing significant differences, we constructed ROC curves to assess diagnostic performance. Results: Significant overall differences in arterial-phase NIC and Zeff were observed among the three groups (P < 0.05). Pairwise comparisons specifically revealed that both parameters were significantly higher in the PTC group than in the nodular goiter group (all P < 0.01). No significant differences were found between PTC and adenoma groups, or between nodular goiter and adenoma groups (all P > 0.017). For discriminating PTC from nodular goiter, arterial-phase NIC demonstrated the highest diagnostic efficacy (AUC = 0.770) with an optimal cutoff of 0.17, yielding 81.3% sensitivity and 67.6% specificity. Although arterial-phase Zeff had a slightly lower AUC (0.737), it showed excellent sensitivity (93.8%). Conclusion: Arterial-phase NIC serves as a reliable indicator for distinguishing PTC from nodular goiter, while Zeff provides outstanding value for ruling out malignancy due to its high sensitivity. However, both parameters show limited utility in differentiating PTC from adenoma, necessitating integration with other diagnostic modalities in clinical practice.
文章引用:杨永梅, 邹凯, 杨建军, 王东, 苏宇. 双能量CT有效原子序数联合碘浓度在甲状腺乳头状癌鉴别诊断中的初步研究[J]. 临床医学进展, 2026, 16(1): 2045-2053. https://doi.org/10.12677/acm.2026.161258

1. 引言

甲状腺结节是临床常见的内分泌系统疾病,其发病率在全球范围内呈显著上升趋势。据2022年全球癌症统计数据(GLOBOCAN 2022)显示,甲状腺癌年新发病例已达约82.1万例,位居全球癌症发病率第七位,在女性中更是高居第五位[1],已成为一个重要的公共卫生问题。尽管其死亡率保持稳定且相对较低,但结节良恶性的精准鉴别,对于避免过度治疗、制定合理方案及改善患者预后至关重要。

目前,高分辨率超声是术前评估甲状腺结节的首选影像学方法[2] [3],但其诊断效能在一定程度上存在操作者依赖性,且对胸骨后等特殊位置的结节显示不佳。细针穿刺抽吸活检虽为术前诊断的“金标准”,但其属有创操作,且对滤泡性肿瘤等交界性病变的诊断存在局限。常规CT在显示颈部整体解剖结构及评估淋巴结转移方面优势明确,但其依赖形态学及非特异性密度测量,在定性诊断方面价值有限。双源CT双能量(DECT)成像技术的发展为甲状腺结节的无创定量评估提供了新途径。该技术基于物质在不同X射线能级下衰减特性的差异,能够实现物质分离,从而获得碘浓度、有效原子序数等客观定量参数,从微观层面揭示组织的生理病理特征[4] [5]。然而,现有研究多集中于利用碘浓度评估组织的血流灌注,其在血供丰富的甲状腺腺瘤与部分甲状腺乳头状癌的鉴别中存在显著重叠,诊断特异性受限。有效原子序数作为一种综合反映组织内元素构成的定量指标,理论上可为区分不同病理类型的结节提供互补的诊断信息,但目前其在甲状腺结节、特别是甲状腺乳头状癌鉴别诊断中的系统研究尚显不足,其增量诊断价值有待深入挖掘。

因此,本研究旨在系统探讨双能量CT有效原子序数联合碘浓度在甲状腺乳头状癌鉴别诊断中的价值,以期为临床术前无创、精准诊断提供更为可靠的影像学量化依据。

2. 材料与方法

2.1. 研究对象

回顾性收集2024年9月至2025年10月在我院术前接受颈部双源CT双能量增强扫描且具有病理结果的甲状腺结节患者的影像与临床资料。纳入标准:① 术前1周内接受双能量CT颈部平扫 + 增强检查;② 甲状腺结节直径 ≥ 5 mm;③ CT检查前未接受药物治疗、穿刺活检或手术治疗。排除标准:① 甲状腺弥漫性疾病者;② 图像有影响病灶观察及测量的伪影。以术后病理结果为金标准,最终纳入60例患者,平均年龄,共60个结节,其中PTC 16例,结节性甲状腺肿34例,腺瘤10例。良性组合并分析(n = 44)。本研究获我院伦理委员会批准(伦理号:SYYLL-2025048),豁免患者知情同意。

2.2. 仪器与方法

采用德国Siemens DSCT (SOMATOM Drive)扫描仪行颈部双能量平扫及增强扫描。患者取仰卧位,头先进,颈部过伸,肩部下垂以降低线束硬化伪影。扫描范围自颅底至主动脉弓水平。扫描参数:A球管电压80 kV,B球管电压140 kV,开启CARE Dose 4D自动管电流调制技术以优化辐射剂量,探测器准直器宽度为64 × 0.6 mm。准直器宽度64 × 0.6 mm,重建层厚1.0 mm,层间距0.6 mm。增强扫描经右肘前静脉团注非离子型碘对比剂(碘海醇,350 mgI/mL),剂量为1.5 mL/kg体重,注射流率3.5 mL/s。采用人工智能触发技术,将兴趣区(ROI)置于颈总动脉分叉处,阈值设定为100 HU,达到阈值后延迟5秒自动启动动脉期双能量扫描。对比剂注射后分别延迟25 s、50 s采集静脉期和平衡期双能量CT图像。

2.3. 图像后处理与参数测量

将所有数据传输至syngo.via VB10后处理工作站进行双能量分析。在双能量后处理软件中,依次选择“Liver VNC、Rho/Z”进行分析。由1名具有5年以上头颈部影像诊断经验的放射科医师在不知病理结果的情况下独立测量。测量参数包括:(1) 动脉期标准化碘浓度(NICa),单位为mg/mL;(2) 动脉期有效原子序数(Zeff),取ROI内平均值。标准化碘浓度(NIC) = 病灶碘浓度/同层颈内动脉碘浓度。具体测量方法:于病灶最大层面勾画ROI,避开钙化、囊变及血管区,取实性成分最大的连续3个层面测量后取平均值(见图1)。若颈内动脉存在明显狭窄或钙化,则改用对侧颈内动脉作为参照。

2.4. 样本量估算

鉴于恶性组样本量为16例,根据诊断性研究Logistic回归的EPV原则(即阳性事件数 ≥ 10 × 模型变量数),为确保模型稳定性并避免过拟合,本研究仅选择2个最具鉴别价值的参数(动脉期Zeff与NIC)进入多变量分析。

2.5. 统计学分析

采用SPSS 27.0软件进行统计分析。符合正态分布的计量资料以均数 ± 标准差( x ¯ ±s )表示,组间比较采用单因素方差分析或Welch ANOVA;非正态分布资料以中位数(四分位数间距)表示,组间比较采用Mann-Whitney U检验。计数资料以例数(百分比)表示,组间比较采用卡方检验。

首先通过Kruskal-Wallis H检验评估三组间差异,对存在统计学意义的参数进一步采用Bonferroni校正的两两比较。鉴于腺瘤组样本量较小且在初步分析中未显示显著差异,后续重点分析PTC与结节性甲状腺肿的鉴别诊断效能。随后采用Mann-Whitney U检验比较两组间参数差异,并绘制ROC曲线评估诊断效能,计算曲线下面积、最佳截断值、灵敏度、特异度及准确率,最佳截断值通过约登指数最大化确定。为进一步探索多参数联合诊断价值,构建二元Logistic回归模型并评估其诊断效能。

由两名观察者独立测量双能量CT参数,采用组内相关系数评估观察者间一致性,ICC > 0.90认为信度极佳。所有检验均为双侧,P < 0.05为差异具有统计学意义。

3. 结果

3.1. 患者基线资料

本研究共纳入60例经病理证实的甲状腺结节患者,包括甲状腺乳头状癌(PTC) 16例,结节性甲状腺肿34例及甲状腺腺瘤10例。三组患者的基线资料比较如表1所示。结果显示,三组患者在年龄(Welch F = 6.648, P = 0.007)与结节直径(H = 6.961, P= 0.031)上的差异均具有统计学意义。PTC组患者年龄显著低于良性结节组(结节性甲状腺肿及腺瘤组),且其结节直径也更小(均P < 0.05),这符合甲状腺乳头状癌好发于相对年轻人群且易早期发现的临床特点。三组患者的性别构成无显著差异(P > 0.05)。

Table 1. Comparison of baseline characteristics among three groups of patients with thyroid nodules

1. 三组甲状腺结节患者的基线资料比较

特征

PTC

(n = 16)

结节性甲状腺肿(n = 34)

腺瘤

(n = 10)

统计量

P值

年龄(岁, x ± s)

42.75 ± 13.88

56.41 ± 8.37

51.40 ± 12.42

6.648

0.007

结节直径[cm, M (IQR)]

1.00 (0.79)

1.90 (1.63)

1.29 (1.44)

6.961

0.031

性别

1.623

0.444

男性,n (%)

2 (12.5%)

2 (5.9%)

0 (0.0%)

女性,n (%)

14 (87.5%)

32 (94.1%)

10 (100.0%)

:PTC,甲状腺乳头状癌; x ¯ ±s ,均数 ± 标准差;M (IQR),中位数(四分位数间距)。

3.2. PTC、结节性甲状腺肿和甲状腺腺瘤三组甲状腺结节的动脉期Zeff值和NIC比较

Table 2. Pairwise comparisons of dual-energy CT parameters for three groups of thyroid nodules

2. 三组甲状腺结节双能量CT参数的两两比较

对比组别

双能量CT参数

P值(α’ = 0.017)

PTC (n = 16) vs. 结节性甲状腺肿(n = 34)

动脉期NIC

0.002

动脉期Zeff

0.007

PTC (n = 16) vs. 腺瘤(n = 10)

动脉期NIC

0.673

动脉期Zeff

0.460

结节性甲状腺肿(n = 34) vs. 腺瘤(n = 10)

动脉期NIC

0.107

动脉期Zeff

0.022

:PTC,甲状腺乳头状癌;NIC,标准化碘浓度;Zeff,有效原子序数。

为进一步明确双能量CT参数的鉴别诊断价值,首先对三组结节的参数进行了总体比较。Kruskal-Wallis H检验显示,动脉期标准化碘浓度(NIC)与有效原子序数(Zeff)在三组间(PTC、结节性甲状腺肿、腺瘤)的总体分布差异具有统计学意义(P < 0.05)。随后进行的两两比较(经Bonferroni校正,显著性水平设定为0.017)表明:在PTC与结节性甲状腺肿的比较中,恶性结节的动脉期NIC与Zeff值均显著高于良性结节(P = 0.002, P = 0.007)。然而,在PTC与腺瘤之间,以及结节性甲状腺肿与腺瘤之间,上述参数的差异均无统计学意义(所有P > 0.017) (见表2)。鉴于腺瘤样本量较小且三组间无显著差异,后续重点分析PTC与结节性甲状腺肿的鉴别(见表3)。

与结节性甲状腺肿组相比,PTC组的动脉期有效原子序数(Zeff)与标准化碘浓度(NIC)均显著更高(Zeff: P = 0.007; NIC: P = 0.002) (见表3)。

Table 3. Comparison of dual-energy CT parameters for PTC and nodular goitre [M (IQR)]

3. PTC与结节性甲状腺肿双能量CT参数比较[M (IQR)]

PTC (n = 16)

结节性甲状腺肿(n = 34)

统计量

P值

动脉期Zeff

8.60 (0.41)

8.23 (0.96)

−2.684

0.007

动脉期NIC

0.21 (0)

0.10 (0)

−3.059

0.002

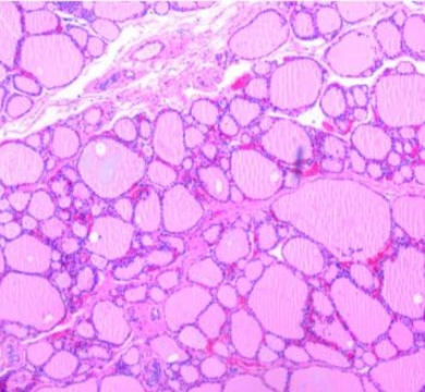
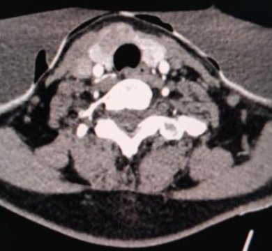
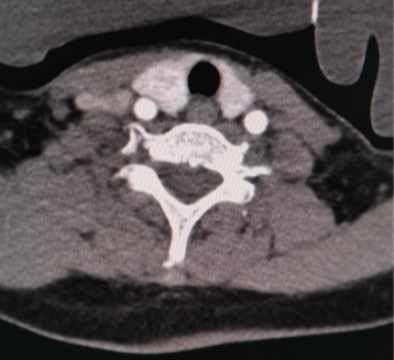
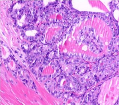
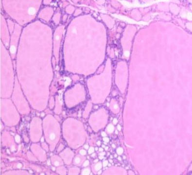
(a) (b) (c) (d)

(a)~(d)甲状腺滤泡性腺瘤患者双能量CT增强扫描动脉期原始图像、碘图、Rho/Z图及病理图

(e) (f) (g) (h)

(e)~(h)结节性甲状腺肿患者双能量CT增强扫描动脉期原始图像、碘图、Rho/Z图及病理图

(i) (j) (k) (l)

(i)~(l)甲状腺乳头状癌患者双能量CT增强扫描动脉期原始图像、碘图、Rho/Z图及病理图

Figure 1. Examples of dual-energy CT arterial phase images, iodine uptake images, Rho/Z images, and pathological findings in three groups of patients with thyroid nodules (HE, ×100, H) (Rho/Z, Electron Density/Effective Atomic Number)

1. 三组甲状腺结节患者双能量CT动脉期图、碘图、Rho/Z图及病理图示例(HE, ×100, H) (Rho/Z,电子密度云/有效原子序数)

3.3. 动脉期Zeff值、NIC及联合参数的诊断效能分析

通过ROC曲线评估了各参数鉴别甲状腺乳头状癌与结节性甲状腺肿的诊断效能(图2表4)。动脉期标准化碘浓度展现出最优的综合诊断能力,其曲线下面积最高(AUC = 0.770)。动脉期有效原子序数虽诊断效能稍逊(AUC = 0.737),但在最佳截断值下表现出极高的敏感度(93.8%)。值得注意的是,旨在提升诊断性能的Logistic回归联合模型,其AUC为0.732,诊断效能并未超越最佳的单一参数。

Figure 2. ROC curves for arterial phase NIC, Zeff and combined models in distinguishing PTC from nodular goitre

2. 动脉期NIC、Zeff及联合模型鉴别PTC与结节性甲状腺肿的ROC曲线

Table 4. Diagnostic performance of dual-energy CT parameters in differentiating papillary thyroid carcinoma from nodular goitre

4. 双能量CT参数鉴别甲状腺乳头状癌与结节性甲状腺肿的诊断效能

参数

AUC

95% CI

P值

最佳截断值

敏感度(%)

特异度(%)

准确率(%)

动脉期NIC

0.770

0.643~0.897

0.002

0.17

81.3

67.6

70.0

动脉期Zeff

0.737

0.601~0.873

0.007

8.31

93.8

58.8

70.0

NIC + Zeff

0.732

0.595~0.868

0.009

0.30

81.3

61.8

68.0

4. 讨论

4.1. 诊断效能的客观评价与临床定位

本研究系统评估了双源双能量CT定量参数在甲状腺结节鉴别诊断中的价值。结果显示,动脉期标准化碘浓度在鉴别甲状腺乳头状癌与结节性甲状腺肿方面展现出相对最优的综合诊断效能(AUC = 0.770),而动脉期有效原子序数虽整体判别能力稍逊(AUC = 0.737),但在最佳截断值下具有极高的敏感度(93.8%),在排除恶性病变方面具有潜在应用价值。然而,必须审慎认识到,上述AUC值仅处于中等水平,特异度(NIC 67.6%, Zeff 58.8%)亦不甚理想,提示单一DECT参数尚不足以独立支撑临床决策,其角色更宜定位为“辅助量化工具”而非“诊断金标准”。

动脉期Zeff高达93.8%的灵敏度使其具备作为“筛查性”或“排除性”工具的潜力——即当Zeff值低于阈值(8.31)时,恶性风险极低,可能避免不必要的穿刺。但必须客观指出,其伴随的特异度不足(58.8%)意味着较高的假阳性率(约41.2%),可能导致患者焦虑与过度检查。同样,NIC虽AUC略优,但67.6%的特异度仍限制其阳性预测价值。值得注意的是,二者联合模型未显著提升效能(AUC = 0.732),提示参数间存在信息重叠,也反映出当前样本量下模型稳定性有限。未来需在前瞻性大样本队列中验证其可重复性,并探索与形态学特征的交互作用,以提升诊断稳健性。

4.2. 成本效益与辐射风险的权衡

DECT的临床转化需全面权衡其增量获益与潜在风险。成本方面,双能量扫描增加约15%~20%的检查费用,后处理耗时约10~15分钟,在医疗资源有限地区推广存在瓶颈。辐射剂量方面,颈部DECT有效辐射剂量约为2~4 mSv,虽低于常规胸部CT,但显著高于超声(零辐射)。对于年轻女性患者(如本研究PTC组平均年龄42.75岁),累积辐射暴露的致癌风险不容忽视;美国放射学院(ACR)亦建议对<40岁患者严格限制CT使用。相比之下,高分辨率超声结合TI-RADS分类具有无辐射、成本低、可实时动态评估等不可替代的优势[2] [3]。因此,DECT不应作为一线初筛工具,其更合理的临床定位应是在超声诊断不明确(如TI-RADS 4A类)、结节位置特殊(如胸骨后)或需同时评估颈部淋巴结转移时,作为补充验证手段,以实现风险–效益比的最优化。未来需通过卫生经济学研究(如增量成本效益比ICER分析)及与超声弹性成像等技术的头对头比较,明确DECT对TI-RADS 4类结节诊断准确性的净增量价值,并构建包含多模态信息的融合模型,精准界定其在现有诊断路径中的确切地位。

4.3. 与超声TI-RADS及弹性成像的头对头比较:多模态整合路径

超声作为甲状腺结节评估的基石,其TI-RADS分类系统(如C-TI-RADS、ACR TI-RADS)已在临床广泛验证,对4类结节的恶性风险评估总体准确率可达70%~85% [17]。本研究DECT参数AUC (0.770)并未显著超越高质量超声的诊断效能,这提示DECT的独立应用价值有限。然而,DECT的增量价值可能体现在:(1) 超声声束角度依赖性与操作者变异性的补充:DECT提供全客观量化指标,可标准化评估,减少主观误差;(2) 对特殊部位结节的覆盖:对于超声显示不佳的胸骨后、气管后结节,DECT具有不可替代的解剖穿透优势。

与弹性成像的对比:超声弹性成像(如剪切波弹性成像SWE)通过组织硬度评估恶性风险,在4类结节中可将特异度提升至80%以上[18]。DECT的碘浓度反映血管生成,Zeff反映细胞密度,二者与硬度参数在病理生理维度上互补。理论上,整合DECT的血管特征与弹性成像的力学特征,可能构建超越单一技术的诊断模型。

4.4. DECT在诊断路径中的精准定位与临床应用策略

基于当前证据,我们建议将DECT嵌入如下诊疗流程:第一阶段(初筛):对所有甲状腺结节行高分辨率超声 + C-TI-RADS分类;第二阶段(风险分层):对TI-RADS 4A类及以上结节,若超声特征不典型或存在技术限制,补充DECT检查;第三阶段(决策):若DECT的NIC > 0.17且Zeff > 8.31,或形态学特征高度可疑,则推荐细针穿刺(FNA);若Zeff < 8.31且形态学吻合,可考虑超声随访。此策略旨在利用DECT的高灵敏度减少漏诊,同时避免对所有结节进行DECT带来的医疗资源浪费与辐射暴露。在甲状腺癌主动监测(active surveillance)日益普及的背景下,DECT或可辅助识别低危PTC的进展风险,优化随访间隔。

4.5. 病理生理机制的深度解析

既往多项研究表明,基于DS-DECT的定量参数可为甲状腺结节的良恶性鉴别提供重要依据[6]-[8]。本研究发现恶性结节动脉期标准化碘浓度显著高于良性组,这与Dohán等[6] [8]关于“恶性结节摄碘功能下降”的经典结论存在差异。这一现象可能与扫描时相的选择密切相关:既往研究多关注反映长期摄碘功能的静态指标,而本研究聚焦于动脉期,此时碘浓度更多反映的是结节的血流动力学特征。从病理生理机制看,本研究提示甲状腺恶性结节中存在“血供特征”与“摄碘功能”的动态博弈。尽管PTC的甲状腺滤泡细胞因被癌细胞取代而出现摄碘功能受损[9],但其内部新生血管结构不完整、通透性高[10],导致对比剂在动脉期早期大量渗出至血管外间隙,可能暂时掩盖了细胞摄碘功能下降的本质。因此,动脉期标准化碘浓度更多反映的是恶性肿瘤的血管生成特性,而非传统认知中的功能代谢状态,这与Jiang等[7]的研究相一致。这些结果进一步支持了DS-DECT定量参数在补充乃至优化现有TIRADS分级系统方面的潜在价值,未来应在更大样本中验证其临床适用性。

Zeff作为反映组织元素构成与密度的定量参数,对鉴别物质成分具有较高的准确性[11]。既往研究已证实,Zeff在肺癌、胃癌及直肠癌的术前良恶性鉴别诊断中的价值[12]-[14]。本研究表明甲状腺恶性结节的动脉期Zeff值显著高于良性结节组,而且表现出良好的诊断效能。病理上恶性结节通常具有比良性结节更高的细胞密度[15],这可能是其Zeff值更高的结构基础。此外,微钙化灶的存在可能进一步促使恶性组的Zeff值增高。本研究采用的西门子DS-DECT后处理平台最初为肝脏成像优化设计,对甲状腺组织内微钙化的识别存在局限,这可能对碘浓度测量的准确性产生一定影响。此外,动脉期有效原子序数的升高也可能与恶性肿瘤更丰富的血流灌注特征有关[16]

4.6. 研究局限与未来方向

本研究仍存在一定的局限性:首先,作为回顾性研究,可能存在病例选择偏倚。其次,感兴趣区(ROI)置于结节最大层面而非全容积,可能无法完全代表结节的异质性。未来应采用全肿瘤容积(3D-ROI)分析,结合纹理分析捕捉肿瘤异质性特征。再次,腺瘤组样本量较小(n = 10),限制了DS-DECT参数在PTC与腺瘤这一关键鉴别诊断中的效能评估。最后,本研究未与超声TI-RADS及弹性成像进行头对头比较,其相对诊断优势与增量价值有待通过多模态融合模型明确。未来研究应:(1) 前瞻性设计,在大样本中验证3D-ROI与单层面ROI的诊断差异;(2) 多中心合作,纳入不同设备型号(如光子计数CT)以验证参数普适性;(3) 开发AI辅助分割算法,实现全肿瘤自动量化;(4) 卫生经济学评估,明确DECT增量成本效益比(ICER)是否在可接受阈值内;(5) 辐射剂量优化,探索低管电压、迭代重建技术在保证图像质量前提下降低剂量。通过上述努力,才能最终确立DECT在精准甲状腺结节诊疗路径中的合理地位。

5. 结论

综上所述,在双能量CT增强扫描甲状腺结节时,有效原子序数(Zeff)与标准化碘浓度(NIC)能够为术前快速无创鉴别诊断甲状腺结节的良恶性提供帮助。该方法对于临床医师在甲状腺结节治疗方案的选择、预后评估具有一定参考价值。

NOTES

*通讯作者。

参考文献

[1] Bray, F., Laversanne, M., Sung, H., Ferlay, J., Siegel, R.L., Soerjomataram, I., et al. (2024) Global Cancer Statistics 2022: GLOBOCAN Estimates of Incidence and Mortality Worldwide for 36 Cancers in 185 Countries. CA: A Cancer Journal for Clinicians, 74, 229-263. [Google Scholar] [CrossRef] [PubMed]
[2] Zhang, Y., Zhou, P., Tian, S., Zhao, Y., Li, J. and Li, L. (2017) Usefulness of Combined Use of Contrast-Enhanced Ultrasound and TI-RADS Classification for the Differentiation of Benign from Malignant Lesions of Thyroid Nodules. European Radiology, 27, 1527-1536. [Google Scholar] [CrossRef] [PubMed]
[3] Cantisani, V., D’Andrea, V., Biancari, F., Medvedyeva, O., Di Segni, M., Olive, M., et al. (2012) Prospective Evaluation of Multiparametric Ultrasound and Quantitative Elastosonography in the Differential Diagnosis of Benign and Malignant Thyroid Nodules: Preliminary Experience. European Journal of Radiology, 81, 2678-2683. [Google Scholar] [CrossRef] [PubMed]
[4] Greffier, J., Villani, N., Defez, D., Dabli, D. and Si-Mohamed, S. (2023) Spectral CT Imaging: Technical Principles of Dual-Energy CT and Multi-Energy Photon-Counting CT. Diagnostic and Interventional Imaging, 104, 167-177. [Google Scholar] [CrossRef] [PubMed]
[5] Kruis, M.F. (2022) Improving Radiation Physics, Tumor Visualisation, and Treatment Quantification in Radiotherapy with Spectral or Dual-Energy CT. Journal of Applied Clinical Medical Physics, 23, e13468. [Google Scholar] [CrossRef] [PubMed]
[6] Li, F., Huang, F., Liu, C., Pan, D., Tang, X., Wen, Y., et al. (2022) Parameters of Dual-Energy CT for the Differential Diagnosis of Thyroid Nodules and the Indirect Prediction of Lymph Node Metastasis in Thyroid Carcinoma: A Retrospective Diagnostic Study. Gland Surgery, 11, 913-926. [Google Scholar] [CrossRef] [PubMed]
[7] Jiang, L., Liu, D., Long, L., Chen, J., Lan, X. and Zhang, J. (2022) Dual-Source Dual-Energy Computed Tomography-Derived Quantitative Parameters Combined with Machine Learning for the Differential Diagnosis of Benign and Malignant Thyroid Nodules. Quantitative Imaging in Medicine and Surgery, 12, 967-978. [Google Scholar] [CrossRef] [PubMed]
[8] Li, Q., Song, Z., Zhang, D., Li, X., Liu, Q., Yu, J., et al. (2023) Diagnostic Accuracy of Dual-Energy Computed Tomography-Based Nomogram for Differentiating Papillary Thyroid Microcarcinomas from Micronodular Goiters. Quantitative Imaging in Medicine and Surgery, 13, 3428-3440. [Google Scholar] [CrossRef] [PubMed]
[9] Li, M., Zheng, X.P., Li, J.Y., Yang, Y.L., et al. (2012) Dual-Energy Computed Tomography Imaging of Thyroid Nodule Specimens Comparison with Pathologic Findings. Investigative Radiology, 47, 58-64.
[10] Moon, W.J., Jung, S.L., Lee, J.H., et al. (2008) Benign and Malignant Thyroid Nodules: US Differentiation—Multicenter Retrospective Study. Radiology, 247, 762-770. [Google Scholar] [CrossRef] [PubMed]
[11] Garcia, L.I.R., Azorin, J.F.P. and Almansa, J.F. (2016) A New Method to Measure Electron Density and Effective Atomic Number Using Dual-Energy CT Images. Physics in Medicine and Biology, 61, 265-279. [Google Scholar] [CrossRef] [PubMed]
[12] Yang, F., Dong, J., Wang, X., Fu, X. and Zhang, T. (2017) Non-Small Cell Lung Cancer: Spectral Computed Tomography Quantitative Parameters for Preoperative Diagnosis of Metastatic Lymph Nodes. European Journal of Radiology, 89, 129-135. [Google Scholar] [CrossRef] [PubMed]
[13] Böning, G., Feldhaus, F., Adelt, S., Kahn, J., Fehrenbach, U. and Streitparth, F. (2019) Clinical Routine Use of Virtual Monochromatic Datasets Based on Spectral CT in Patients with Hypervascularized Abdominal Tumors—Evaluation of Effectiveness and Efficiency. Acta Radiologica, 60, 425-432. [Google Scholar] [CrossRef] [PubMed]
[14] Al-Najami, I., Mahmoud Sheta, H. and Baatrup, G. (2019) Differentiation between Malignant and Benign Rectal Tumors by Dual-Energy Computed Tomography—A Feasibility Study. Acta Oncologica, 58, S55-S59. [Google Scholar] [CrossRef] [PubMed]
[15] Shi, R.Y., Yao, Q.Y., Zhou, Q.Y., et al. (2017) Preliminary Study of Diffusion Kurtosis Imaging in Thyroid Nodules and Its Histopathologic Correlation. European Radiology, 27, 4710-4720. [Google Scholar] [CrossRef] [PubMed]
[16] Wendl, C.M., Janke, M., Jung, W., Stroszczysnski, C. and Jung, E.M. (2015) Contrast-Enhanced Ultrasound with Perfusion Analysis for the Identification of Malignant and Benign Tumours of the Thyroid Gland. Clinical Hemorheology and Microcirculation, 63, 113-121. [Google Scholar] [CrossRef] [PubMed]
[17] 吴秀艳, 蔡雪珍, 刘舜辉, 等. 甲状腺结节超声恶性危险分层指南对甲状腺乳头状癌的诊断价值: C-TIRADS与ATA指南比较[J]. 中国医学影像学杂志, 2024, 32(1): 34-41.
[18] Kosareva, A., Abou-Elkacem, L., Chowdhury, S., Lindner, J.R. and Kaufmann, B.A. (2020) Seeing the Invisible—Ultrasound Molecular Imaging. Ultrasound in Medicine & Biology, 46, 479-497. [Google Scholar] [CrossRef] [PubMed]