肝肉瘤样癌手术切除1例并文献复习
Surgical Resection of One Case of Hepatic Sarcomatoid Carcinoma with Literature Review
DOI: 10.12677/acm.2026.161298, PDF, HTML, XML,   
作者: 杜西顺:济宁医学院临床医学院(附属医院)肝胆外科,山东 济宁;修 鹏*:山东第一医科大学第一附属医院(山东省千佛山医院)肝胆外科,山东 济南
关键词: 肝肉瘤样癌手术切除胆管细胞癌病例报告Hepatic Sarcomatoid Carcinoma Surgical Resection Cholangiocarcinoma Case Report
摘要: 肝肉瘤样癌(Hepatic Sarcomatoid Carcinoma, HSC)是一种极为罕见且高度恶性的原发性肝脏肿瘤,约占切除肝标本的2%。其发病机制尚未完全阐明,目前认为可能与上皮–间质转化(epithelial-mesenchymal transition, EMT)密切相关。该肿瘤的病理学核心特征为在同一病灶中同时存在上皮源性癌成分(如肝细胞癌或胆管细胞癌样结构)和化生形成的间叶源性肉瘤样成分,二者之间常可见过渡形态,构成典型的“双相性”组织学表现。由于HSC发病率极低,临床表现缺乏特异性,实验室检查及影像学特征多与常见原发性肝癌相似,术前诊断困难,极易误诊为普通肝细胞癌、胆管细胞癌或转移性肿瘤。确诊仍依赖术后组织病理学检查结合免疫组化分析。本文报道1例经手术切除并经病理证实的HSC病例,系统回顾其临床资料、影像学表现、病理特征及治疗经过,并结合国内外相关文献进行综合分析,旨在加深临床及影像科医师对该病的认识,提高早期诊断率,探索合理治疗策略,改善患者预后。
Abstract: Hepatic Sarcomatoid Carcinoma (HSC) is an extremely rare and highly malignant primary hepatic tumor, accounting for approximately 2% of resected liver specimens. Its pathogenesis has not been fully elucidated, and current evidence suggests that it may be closely associated with epithelial-mesenchymal transition (EMT). The core pathological feature of this tumor is the coexistence of epithelial-derived carcinomatous components (such as hepatocellular carcinoma or cholangiocarcinoma-like structures) and metaplastic mesenchymal-derived sarcomatoid components within the same lesion, with transitional morphologies often observed between the two, forming a typical biphasic histological pattern. Due to the extremely low incidence of HSC, its clinical manifestations are non-specific, and the features of laboratory examinations and imaging findings are mostly similar to those of common primary liver cancer, resulting in great difficulty in preoperative diagnosis and a high risk of misdiagnosis as conventional hepatocellular carcinoma, cholangiocarcinoma, or metastatic tumors. A definitive diagnosis still relies on postoperative histopathological examination combined with immunohistochemical analysis. This paper reports a case of HSC confirmed by surgical resection and pathological examination, systematically reviews its clinical data, imaging manifestations, pathological features, and treatment process, and conducts a comprehensive analysis by integrating relevant domestic and international literature. The aim is to deepen the understanding of this disease among clinicians and radiologists, improve the rate of early diagnosis, explore reasonable treatment strategies, and enhance patient prognosis.
文章引用:杜西顺, 修鹏. 肝肉瘤样癌手术切除1例并文献复习[J]. 临床医学进展, 2026, 16(1): 2381-2386. https://doi.org/10.12677/acm.2026.161298

1. 病例资料

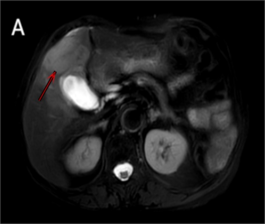
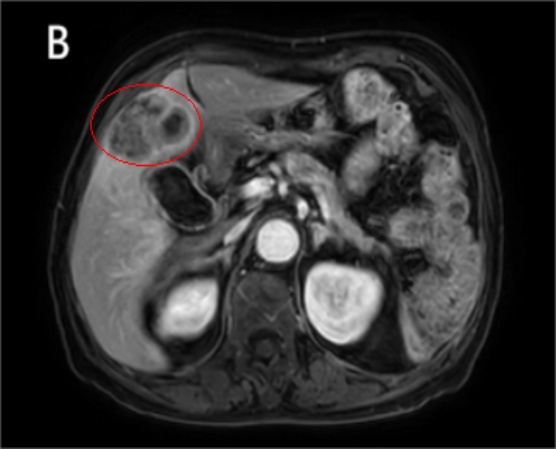
患者女性,80岁,因“右上腹隐痛20天”于2023年11月就诊于当地医院。腹部CT提示肝内占位,遂转至我院进一步诊治。患者否认恶心、呕吐、反酸、黄疸、发热、呕血、黑便等症状。既往有高血压、冠心病及脑梗死病史多年,规律服用降压药及抗血小板药物,病情稳定;无病毒性肝炎、肝硬化或长期饮酒史,家族中无肿瘤遗传倾向。入院查体:生命体征平稳,全身皮肤黏膜无黄染,浅表淋巴结未触及肿大。腹部平坦,未见静脉曲张,右上腹轻度压痛,无反跳痛及肌紧张,肝脾肋下未触及,移动性浊音阴性,肠鸣音正常。实验室检查:肝功能基本正常,直接胆红素9.00 μmol/L,白蛋白39.4 g/L,ALT、AST、ALP、GGT均在参考范围内;凝血功能正常。肿瘤标志物检测结果显示:甲胎蛋白(AFP) 2.0 ng/ml (正常值 < 7 ng/ml),癌胚抗原(CEA) 1.35 ng/ml (正常),糖类抗原CA19~98.75 U/ml (正常);乙型肝炎表面抗原(HBsAg)阴性,丙型肝炎抗体阴性。上腹部增强MRI联合MRCP显示:右肝V段见一大小约4.5 cm × 3.8 cm不规则软组织信号影,T1WI呈低信号,T2WI呈稍高信号,DWI呈明显高信号(图1)。增强扫描动脉期呈轻度不均匀强化,门静脉期及延迟期持续强化,邻近胆囊床受累,局部胆管扩张,胆囊稍增大。未见远处转移征象。初步考虑为肝内胆管细胞癌累及胆囊。经多学科团队(MDT)评估,患者心肺功能可耐受手术,无明确手术禁忌证。行剖腹探查术。术中见肝脏表面光滑,无肝硬化改变;胆囊底部与肝脏结合部有一实性肿块,直径约5 cm,质地坚硬,突出于肝表面,初步判断可能来源于胆囊或肝实质。遂行胆囊切除 + 肝S5段楔形切除术,并清扫肝十二指肠韧带周围淋巴结。术后病理检查示:肿瘤呈结节状,切面灰白、质脆(图2),镜下见大量异型明显的梭形细胞弥漫增生,核分裂象多见,伴有广泛凝固性坏死(图3)。部分区域可见残留腺样结构,提示上皮来源背景。脉管内可见癌栓形成,并见肿瘤侵犯周围神经束。肝切缘及胆总管残端未见肿瘤累及。“胆囊颈”(1/1)及“肝十二指肠韧带旁”(1/6)淋巴结见癌转移。免疫组化结果如下:细胞角蛋白(CK) (+)、CK19 (+)、CD10 (少量+);Hepatocyte (-)、Arginase-1 (-),排除典型肝细胞癌;CD31 (+)、CD34 (-)、ERG (-),排除血管源性肿瘤;Desmin (-),排除平滑肌肉瘤;Ki-67阳性指数约70%,提示极高增殖活性。结合组织形态学与免疫表型,最终诊断为:原发性肝肉瘤样癌(HSC),结节型,低分化,伴脉管癌栓、神经侵犯及区域淋巴结转移(pN1)。

注:A、B、C分别对应T2 SPIR MVXD RT序列、DWI序列、mDIOXN-W序列。

Figure 1. Preoperative MRI images

1. 术前MRI图像

注:肝4b、5段SHC,肿瘤呈结节状,切面灰白、质韧。

Figure 2. Postoperative specimen

2. 术后标本

注:镜下见大量异型明显的梭形细胞弥漫增生,核分裂象多见,广泛凝固性坏死;细胞角蛋白(CK) (+)、CK19 (+)、CD10 (少量+)。

Figure 3. Postoperative microscopic sections

3. 术后镜下切片

2. 讨论

肝肉瘤样癌(sarcomatoid hepatocellular carcinoma, SHC)是原发性肝细胞癌中一种极为罕见的病理亚型,其组织学特征表现为上皮样癌细胞与化生性梭形细胞成分共存,具有显著的去分化特点。尽管其发病率较低,但恶性程度极高,生物学行为侵袭性强,常伴早期血管侵犯、神经浸润及淋巴结转移,导致疾病进展迅速,总体预后极差。文献报道显示,SHC患者的平均生存期约为8.9个月,中位生存期仅为3个月[1],远低于普通型肝细胞癌,严重威胁患者生命健康。

由于SHC在临床表现、实验室检查及影像学特征方面均缺乏特异性,术前难以与常见肝恶性肿瘤(如典型肝细胞癌、胆管细胞癌或转移性肿瘤)有效鉴别,误诊率较高。目前其确切病因尚不明确,可能与慢性炎症、肝硬化背景以及上皮–间质转化(epithelial-mesenchymal transition, EMT)等分子机制密切相关。此外,受限于病例稀少,针对SHC的系统性研究匮乏,尚无统一的治疗指南,手术切除仍是唯一可能实现根治的手段,但术后复发率高,对放化疗及靶向治疗反应不佳。因此,进一步积累临床病例,深入探讨SHC的临床特征、病理机制及治疗策略,对于提高早期诊断率、优化个体化治疗方案、改善患者预后具有重要的临床意义。

SHC的发病机制尚未完全阐明,现有研究表明其发生可能与多种因素相关。慢性肝病背景,如乙型肝炎病毒(HBV)、丙型肝炎病毒(HCV)感染及肝硬化,被认为是重要的潜在致病基础。此外,环境暴露、放射治疗、经动脉化疗栓塞(TACE)、射频消融等局部治疗干预亦被报道可能诱导肿瘤去分化,继发SHC。部分研究提示,长期HBV感染及相关内科治疗可能增加SHC的发生风险。分子生物学研究显示,SHC具有较高的TP53和启动子端粒酶逆转录酶(pTERT)基因突变频率[2],显著高于普通型肝细胞癌,提示其独特的遗传学特征。另有学者提出“干细胞起源假说”,认为SHC可能源于肝脏原始全能干细胞的异常扩增与克隆性增殖,并同时向上皮性和间叶性双重方向分化,从而形成兼具癌与肉瘤样成分的异质性肿瘤。本例患者无慢性病毒性肝炎、肝硬化病史,亦未接受过TACE、消融或系统性抗肿瘤治疗,缺乏典型诱因。结合其高度异质性的病理表型,更支持SHC起源于恶性转化的多能干细胞并发生双向分化的理论假设。

SHC多发于中老年患者,男性发病率相对较高。其临床表现缺乏特异性,常见症状包括腹痛、乏力、发热及黄疸[3],部分病例可伴发类白血病反应[4]。肿瘤标志物如甲胎蛋白(AFP)、癌胚抗原(CEA)和糖类抗原CA19-9常表现为正常或轻度升高,诊断价值有限。研究表明,AFP在SHC中的敏感性显著低于普通型肝细胞癌,提示其对本病的辅助诊断作用较为局限[5]

影像学检查在肝肉瘤样癌(hepatic sarcomatoid carcinoma, HSC)的诊断中具有重要价值,常用手段包括CT、MRI及超声。其影像表现受肿瘤大小、生长方式及肉瘤样成分比例等因素影响,缺乏特异性。超声检查中,较小肿瘤多呈低回声,较大者可表现为高回声[6]。CT平扫常显示为边界不清的囊实性低密度灶,增强扫描动脉期多见明显不均匀环形强化,门静脉期及延迟期呈快速廓清,整体强化模式与肝细胞癌相似。值得注意的是,HSC确诊时肿瘤体积通常较大,易侵犯邻近结构。尽管其胆管扩张发生率显著低于肝内胆管细胞癌(intrahepatic cholangiocarcinoma, ICC) [7],这也是本例HSC术前被误诊为ICC的重要原因,但大体积病灶压迫或浸润胆管时仍可引起继发性胆道扩张,导致术前误诊为ICC,本例即因病灶累及胆囊床并伴局部胆管扩张而被初步判断为ICC。MRI表现具有一定特征性:T1加权像多呈低或等信号,T2加权像呈高或稍高信号,DWI序列常呈明显高信号[4]。增强扫描多表现为动脉期周边或不均匀强化,部分病例呈现进行性延迟强化,约1/3病例可见持续性高强化[5];这一现象可能与肿瘤间质纤维化或血供分布相关。另有研究显示,24例HSC患者中多数以“周边强化”为主[4],而另一项17例研究则报告以渐进性强化为特征[5],差异可能源于样本量不同或肿瘤内部肉瘤样成分比例及微血管结构异质性所致。综上所述,HSC的影像学表现多样且非特异,易与其他原发性肝癌混淆。结合临床背景,细致分析其强化模式、病灶形态及伴随征象,有助于提高术前识别能力,但仍需依赖术后病理确诊。

病理组织学检查是HSC诊断的金标准,其核心病理特征为同一肿瘤病灶内同时存在上皮源性癌成分与化生性间叶样肉瘤样成分,二者之间常可见移行过渡。免疫组化在鉴别诊断中具有关键作用。尽管肿瘤细胞呈现显著的梭形细胞肉瘤样形态,但免疫组化显示其仍表达上皮标志物,如细胞角蛋白(CK)、CK7、CK19等,证实其上皮来源。同时,肉瘤样成分表达间叶标志物Vimentin,形成典型的“上皮–间叶双表型”表达模式。该免疫表型有助于区别于单纯性肝细胞癌(仅表达上皮标记)或原发性肉瘤(仅表达间叶标记),是HSC的重要诊断依据。此外,增殖指数Ki-67常显著升高,提示肿瘤具有高度增殖活性,与侵袭性生物学行为及不良预后相关。p53蛋白过表达提示TP53基因突变,亦多见于HSC,与其去分化过程及临床进展密切相关,可为预后评估和治疗决策提供辅助参考。

本病例术前被初步诊断为ICC,结合影像学与病理特征分析,误诊原因可归纳为三点。一是影像学征象重叠,患者增强MRI示右肝Ⅴ段病灶呈T1WI低信号、T2WI稍高信号、DWI高信号,增强扫描动脉期轻度不均匀强化,门静脉期及延迟期持续强化,且伴胆囊床受累、局部胆管扩张表现,与ICC典型影像特征高度吻合;尽管文献指出肝肉瘤样癌HSC胆管扩张发生率显著低于ICC [7],但本病例直径约5 cm的较大病灶对胆管形成压迫浸润,继发胆道扩张,与ICC原发胆管受累表现难以区分。二是临床及实验室指标缺乏特异性,患者仅表现为右上腹隐痛,无恶心、呕吐、黄疸等特异症状,AFP、CEA、CA19-9等肿瘤标志物均处于正常范围,肝功能、凝血功能无显著异常,且无病毒性肝炎、肝硬化病史,缺乏指向HSC的特异性临床线索。三是病理特征的复杂性决定术后确诊的必要性,HSC确诊需依赖病理组织学与免疫组化检查,核心特征为同一肿瘤内上皮源性癌与间叶源性肉瘤样成分共存,免疫表型呈“上皮–间叶双表型”;本病例术后病理见大量异型梭形细胞弥漫增生,局部残留腺样结构,免疫组化CK (+)、CK19 (+)提示上皮来源,Hepatocyte (-)、Arginase-1 (-)排除典型肝细胞癌,结合Ki-67阳性指数约70%的高增殖活性确诊为HSC。而ICC以腺管状细胞排列、CK7/CK19/MUC1阳性为病理特征,与HSC存在本质差异,但此类特征仅能通过术后病理明确,术前穿刺活检受取材局限难以精准鉴别,这也是HSC术前误诊率居高不下的根本原因。

HSC的治疗以根治性手术切除为主。研究表明,I期患者经手术治疗后生存期显著优于Ⅱ期及Ⅲ期患者,R0切除是目前唯一可能实现长期生存的治疗手段。Yu等回顾性分析22例HSC患者发现,接受手术切除者的中位总生存期明显长于仅接受非手术治疗(如化疗、放疗或免疫治疗)者。尽管手术为首选治疗方式,但HSC侵袭性强,易伴血管侵犯、淋巴结转移及术后早期复发,因此术后常需联合辅助治疗。化疗多采用以顺铂联合吡柔比星为代表的方案,但疗效有限,单纯化疗患者平均生存期约为4个月。近年来,免疫治疗逐渐成为潜在治疗方向。有研究报道,肿瘤微环境中PD-L1在免疫细胞中的表达可能与较好预后相关,提示其作为免疫检查点抑制剂治疗的潜在生物标志物价值[2]。此外,FOXP3+调节性T细胞和LAG-3+免疫细胞的浸润亦被认为可能成为免疫治疗的新靶点,但因现有研究样本量小,仍需进一步验证。总体而言,HSC预后极差,5年生存率仅为8.7% [8],其生存结局与肿瘤大小、浸润深度、淋巴结转移状态及是否获得根治性治疗密切相关。未来亟需基于分子特征探索个体化综合治疗策略,以改善患者预后。

综上所述,HSC是一种罕见且高度恶性的原发性肝恶性肿瘤,临床及影像学表现缺乏特异性。对于肝脏内表现为大体积低密度肿块、常规治疗反应不佳的患者,在排除常见肝恶性肿瘤后应考虑HSC的可能性。确诊依赖术后组织病理学联合免疫组化分析。根治性手术切除是改善预后的关键,辅以综合治疗可能延长生存期。早期诊断与及时干预至关重要。目前尚无标准治疗方案,其最佳管理模式仍需通过更多临床研究进一步探索。本例为HSC的临床识别与多学科诊疗提供了有益经验,有助于提升对该疾病的认识与诊治水平。

声 明

该病例报道已获得患者的知情同意。

NOTES

*通讯作者。

参考文献

[1] Lu, J., Zhang, J., Xiong, X., Li, F., Ye, H., Cheng, Y., et al. (2014) Primary Hepatic Sarcomatoid Carcinoma: Clinical Features and Prognosis of 28 Resected Cases. Journal of Cancer Research and Clinical Oncology, 140, 1027-1035. [Google Scholar] [CrossRef] [PubMed]
[2] Yoshuantari, N., Jeng, Y., Liau, J., Lee, C. and Tsai, J. (2023) Hepatic Sarcomatoid Carcinoma Is an Aggressive Hepatic Neoplasm Sharing Common Molecular Features with Its Conventional Carcinomatous Counterparts. Modern Pathology, 36, Article 100042. [Google Scholar] [CrossRef] [PubMed]
[3] Kim, D.K., Kim, B.R., Jeong, J.S. and Baek, Y.H. (2019) Analysis of Intrahepatic Sarcomatoid Cholangiocarcinoma: Experience from 11 Cases within 17 Years. World Journal of Gastroenterology, 25, 608-621. [Google Scholar] [CrossRef] [PubMed]
[4] Chu, Y.S., Zhu, X.Q., Zhang, Y.Y., et al. (2020) Sarcomatoid Hepatocellular Carcinoma with Leukemoid Reaction: A Case Report. Journal of Clinical Hepatology, 36, 406-408.
[5] Zhang, H., Chai, S., Chen, L., Wang, Y., Cheng, Y., Fang, Q., et al. (2021) MRI Features of Hepatic Sarcomatoid Carcinoma Different from Hepatocellular Carcinoma and Intrahepatic Cholangiocarcinoma. Frontiers in Oncology, 11, Article ID: 611738. [Google Scholar] [CrossRef] [PubMed]
[6] Xing, Y.J. and Wang, J. (2022) Clinical and Ultrasound Findings of Hepatic Sarcomatoid Carcinoma. Medical Ultrasonography, 24, Article 380. [Google Scholar] [CrossRef] [PubMed]
[7] Chen, L., Ruan, S., Wang, P., Cheng, Y., Wang, Y., Tian, W., et al. (2023) Imaging Features of Primary Hepatic Sarcomatoid Carcinoma: Differentiation from Hepatocellular Carcinoma and Intrahepatic Cholangiocarcinoma on CT: A Preliminary Study. Heliyon, 9, e14123. [Google Scholar] [CrossRef] [PubMed]
[8] Lv, T., Hu, H., Regmi, P., Liu, F. and Li, F. (2022) Sarcomatoid Hepatocellular Carcinoma versus Conventional Hepatocellular Carcinoma: A Systematic Review and Meta-Analysis. Journal of Cancer Research and Clinical Oncology, 148, 1685-1696. [Google Scholar] [CrossRef] [PubMed]