血液透析患者并发肝门静脉积气1例
One Case of Hepatic Portal Venous Gas in a Hemodialysis Patient
DOI: 10.12677/acm.2026.161301, PDF, HTML, XML,    科研立项经费支持
作者: 梁小霞, 刘慧敏, 李 一:甘肃省中医药大学第一临床医学院,甘肃 兰州;甘肃省人民医院全科医学科,甘肃 兰州;蒋智良*:甘肃省人民医院国家卫生健康委胃肠肿瘤诊治重点实验室,甘肃 兰州;甘肃省人民医院普外科,甘肃 兰州;郭如昭:长治医学院第二临床医学院,山西 长治
关键词: 肝门静脉积气慢性肾脏病5期血液透析Hepatic Portal Venous Gas Stage 5 Chronic Kidney Disease Hemodialysis
摘要: 肝门静脉积气(Hepatic portal venous gas, HPVG)是门静脉系统内出现气体的罕见影像学表现。这种情况在临床实践中相对少见。其早期死亡率极高,超过75%,并且曾被视为预后不良的标志。随着影像学技术的进步,尤其是CT的普及,HPVG的检出率有所提升,但其病死率仍居高不下。治疗需根据病因及患者全身状况选择手术或保守方案。本文介绍一例血液透析期间突发腹痛、经影像证实为HPVG并接受非手术治疗的病例,通过分析其诊治经过,为临床识别和处理此类情况提供参考。
Abstract: Hepatic portal venous gas (HPVG) refers to the imaging manifestation of abnormal gas accumulation in the portal vein and its branches, which is relatively rare in clinical practice. The early mortality rate is extremely high, reaching over 75%, and was once regarded as a sign of poor prognosis. With the advancement of imaging techniques, especially the popularization of CT, the detection rate of HPVG has increased, but its mortality rate remains high. The treatment should be based on the cause of the disease and the overall condition of the patient to choose surgical or conservative options. This article presents a case of sudden abdominal pain during hemodialysis, which was confirmed as HPVG by imaging and received non-surgical treatment. By analyzing the diagnosis and treatment process, it provides a reference for clinical identification and management of such situations.
文章引用:梁小霞, 蒋智良, 郭如昭, 刘慧敏, 李一. 血液透析患者并发肝门静脉积气1例[J]. 临床医学进展, 2026, 16(1): 2400-2404. https://doi.org/10.12677/acm.2026.161301

1. 引言

肝门静脉积气是门静脉系统内出现气体的一种少见影像学表现,病因多样,常与肠道炎症、损伤、压力增高或细菌产气等因素相关,导致气体进入血管[1]。常见于肠缺血、感染、坏死等病理过程,部分病例为特发性。自1955年Wolfe [2]首次报道以来,其高危性已被广泛认识,但随着医学技术的不断进步,HPVG不再被单独视为死亡的预测指标。维持性血液透析患者因其特殊的病理生理状态,成为HPVG的易感人群:1) 血管病变:尿毒症及透析加速血管钙化与动脉粥样硬化,常伴糖尿病、高血压,易引起肠系膜缺血;2) 肠道异常:存在尿毒症肠病、肠壁水肿、屏障功能下降及菌群失调;3) 内环境紊乱:如透析不充分、电解质失衡、酸中毒;4) 透析相关因素:包括低血压、过度超滤所致内脏灌注不足,以及透析膜生物相容性差引发的炎症反应。本文通过一例血液透析合并HPVG患者的诊疗经过及典型CT影像,探讨该病的临床特点与处理策略。

2. 病例资料

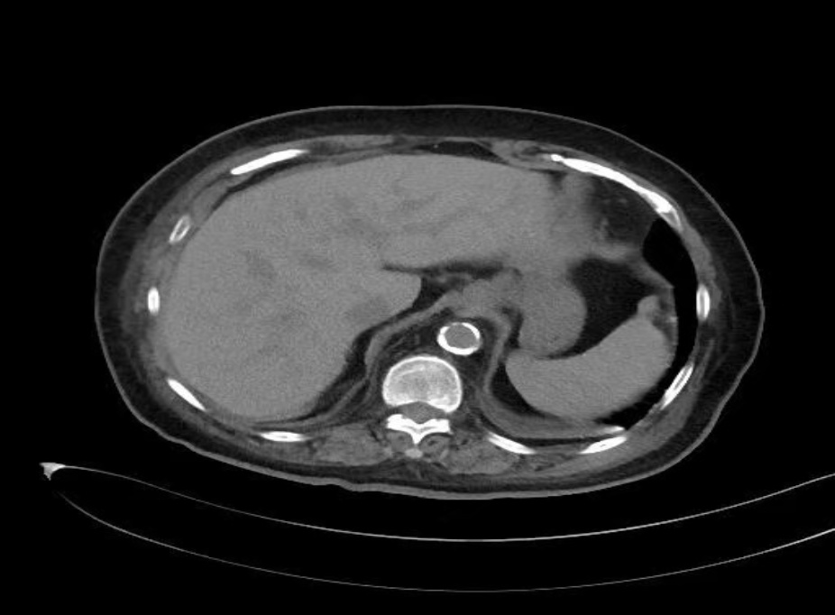
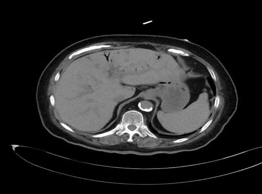
患者女性,72岁,诊断为2型糖尿病伴慢性肾功能不全,长期接受门诊血液透析治疗。本次透析2小时后突发持续性腹痛,伴呕吐3次,口服止痛药无效,遂于次日赴甘肃省人民医院普外科就诊。既往有高血压、糖尿病(30年)、冠状动脉粥样硬化性心脏病(冠脉支架植入术后1年)等病史,长期口服抗血小板药物。慢性肾衰竭10年,维持性血液透析10年,方案为每周3次,每次4小时。入院查体:血压126/74 mmHg,体温36.5℃,下腹部存在压痛、反跳痛及轻度肌紧张。腹部CT提示广泛肝门静脉积气,累及脾静脉、肠系膜上静脉、门静脉主干及肝内分支(见图1(a))。实验室检查白细胞计数升高(16.2 × 109/L),中性粒细胞百分比显著增高(93.80%),C-反应蛋白(76.50 mg/L),动脉血乳酸轻度升高(2.30 mmol/L)。因患者高龄,急性腹痛,既往2型糖尿病病史、长期血液透析,目前CT检查提示肝门静脉积气,经血管外科、重症医学科、心内科、内分泌科等多学科会诊,血流动力学稳定,且乳酸水平未显著升高,考虑肠坏死可能性较低,与患者家属充分沟通后,决定实施保守治疗。方案包括静脉输注头孢哌酮舒巴坦钠抗感染、禁食、补液、营养支持及低流量吸氧,治疗过程中密切监测病情变化。住院第6天复查腹部CT,显示肝内积气完全吸收(见图1(b))。患者出院后随访半年,一般情况稳定,未出现新发并发症。

(a) (b)

Figure 1. Plain abdominal CT scan images of the patient

1. 患者腹部CT平扫图像

图1(a):肝内多发积气影,沿门静脉及其分支走行,肝实质未见明显异常密度影;图1(b):治疗后肝内积气已消失,肝实质未见明显异常密度影。

3. 讨论

3.1. 病理机制

HPVG本质是门静脉系统气体栓塞,其病因可分为感染性、机械性、缺血性及医源性四大类[3]。HPVG的发生主要涉及三个环节:气体产生、气体进入门静脉系统和气体在门静脉内积聚,主要包括[4]:(1) 黏膜屏障破坏:肠道炎症或缺血导致黏膜通透性增加,肠腔内气体或细菌产物进入门静脉[5];(2) 细菌产气:如菌血症、脓毒血症状态下细菌在门静脉系统内直接产生气体[6];(3) 肠腔内压增高:肠梗阻或缺血致肠管扩张,气体侵入血管。本例患者为血液透析中发生HPVG,机制可能包括:(1) 透析超滤致血容量不足,肠系膜血管收缩,黏膜缺血[7];(2) 内环境紊乱促进细菌易位[8];(3) 糖尿病患者易合并产气菌感染[9]。本病例为血液透析过程中发生的HPVG,其机制可能涉及以下方面:首先,透析过程中超滤量增加导致血容量下降,引起肠系膜血管收缩,造成肠道黏膜灌注不足;其次,慢性肾功能不全患者普遍存在微炎症状态,肠道屏障功能受损,透析引起的内环境紊乱可能促进肠道细菌易位;此外,抗血小板药物的使用可能增加胃肠道黏膜损伤的风险;患者长期糖尿病史,高血糖内环境增加了腹腔内产气菌感染的风险,上述因素共同作用,导致气体通过肠壁进入门静脉系统。

3.2. 诊断

HPVG本身无特异性临床表现,其症状主要取决于基础疾病,常见表现包括腹痛、腹胀、恶心、呕吐、发热等,其中腹痛是最常见的症状,可见于70%~90%的病例。值得注意的是,约15%的HPVG患者可能无明显症状,为偶然发现。腹部CT是诊断HPVG的首选影像学方法[10],能够清晰显示门静脉系统内的气体分布,典型表现为沿门静脉分支分布的“枯树枝”征,可同时发现肠壁积气、腹腔游离气体等伴随征象,CT不仅能明确诊断,还能评估肠道缺血、穿孔等并发症,为治疗决策提供重要依据。超声检查也具有较高敏感性,其特征性表现为门静脉内流动的高回声点,尤其适于检测微气泡,但需患者良好配合[11]。腹部X线平片仅在气体积聚量大时可见,通常表现为门静脉分支状透亮影,常提示预后不良[12]。虽然剖腹探查是诊断金标准[13],但其为有创操作,应严格掌握适应证。

3.3. 治疗

Nelson等提出的“ABC”分级策略为HPVG的治疗提供了指导:(1) 对于急性起病,伴有肠缺血或坏死证据的患者[14],应尽早剖腹探查,多项研究表明,对肠缺血坏死患者手术可降低77.5%~88%死亡风险[15];(2) 若起病相对缓慢,临床症状较轻,且无明确肠缺血、穿孔、扩张或严重腹腔感染等证据,肠道坏死可能性较小时,可尝试保守治疗,并需严密观察病情变化;(3) 对于无症状的HPVG,可采取禁食、胃肠减压、肠外营养支持等保守措施。治疗HPVG的关键在于积极寻找并处理原发病因,应根据病因及病情严重程度制定个体化治疗方案[16],本例患者情况较复杂,经多学科会诊并与家属沟通后选择保守治疗,6天后治愈,后期随访半年,患者一般情况可,病情平稳。

综上所述,通过本病例的诊治与文献回顾性学习,我们了解到维持性血液透析患者是HPVG的潜在高危人群,所以在日常管理中,应合理设置透析方案,避免过度超滤,维持内环境稳定,定期评估胃肠道功能,警惕肠功能障碍风险。血液透析患者发生HPVG时,由于尿毒症本身可能引起胃肠道症状,易造成诊断延误。因此,对于透析过程中出现的急性腹痛,应提高警惕,及时进行必要的影像学检查。早期识别、准确评估和及时干预是改善预后的关键,治疗须结合患者具体病情,采取个体化策略。在明确诊断后迅速综合评估患者病情并实施相应的处理。

作者贡献

梁小霞进行病历的收集与整理,撰写论文;郭如昭、刘慧敏、李一进行文献搜集提出讨论方向;蒋智良负责文章质量把控与审阅,对文章整体负责并监督管理。

声 明

该病例报道已获得患者知情同意。

基金项目

感谢中国医学科学院中央级公益性科研院所基本科研业务费专项资金资助(编号:2019PT320005);

项目名称:经内径逆行性胰胆管造影术与腹腔镜胆总管探查术治疗胆总管结石复发的疗效分析;

立项编号:NHCDP2022026。

利益冲突

作者声明本文无利益冲突。

NOTES

*通讯作者。

参考文献

[1] 王芳菲, 吕少诚, 贺强. 门静脉积气病因及机制的研究进展[J]. 中华肝胆外科杂志, 2021, 27(9): 717-720.
[2] Wolfe, J.N. and Evans, W.A. (1955) Gas in the Portal Veins of the Liver in Infants: A Roentgenographic Demonstration with Postmortem Anatomical Correlation. American Journal of Roentgenology, 74, 486-489.
[3] 周健文, 王强荣, 丁娟娟. 多层螺旋CT诊断肝门静脉积气的临床价值[J]. 实用医学影像杂志, 2022, 23(6): 607-610.
[4] Nelson, A.L., Millington, T.M., Sahani, D., et al. (2009) Hepatic Portal Venous Gas: The ABCs of Management. Archives of Surgery, 144, 575-587. [Google Scholar] [CrossRef] [PubMed]
[5] Trenker, C., Görg, C., Dong, Y., Cui, X.W., Zadeh, E.S., Alhyari, A., et al. (2023) Portal Venous Gas Detection in Different Clinical Situations. Medical Ultrasonography, 25, 296-303. [Google Scholar] [CrossRef] [PubMed]
[6] 吝泽华, 马迎春. 维持性血液透析患者合并急性腹痛一例[J]. 中华医学杂志, 2020, 100(44): 3543-3544.
[7] Torigoe, K., Arai, H., Yamashita, A., Muraya, Y., Obata, Y. and Nishino, T. (2016) Improvements in Pneumatosis Cystoides Intestinalis and Hepatic Portal Venous Gas with Conservative Therapy in a Patient on Maintenance Dialysis. Internal Medicine, 55, 1735-1738. [Google Scholar] [CrossRef] [PubMed]
[8] Du, J., Zhao, X., Ding, X., Han, Q., Duan, Y., Ren, Q., et al. (2024) The Role of the Gut Microbiota in Complications among Hemodialysis Patients. Microorganisms, 12, Article 1878. [Google Scholar] [CrossRef] [PubMed]
[9] 王牡丹, 董芍芍, 周丽娜, 等. 血液透析患者并发肝门静脉积气1例[J]. 温州医科大学学报, 2022, 52(12): 1009-1010.
[10] Tian, C., Bai, Y., Ma, Q.B. and Ge, H.X. (2023) [Clinical Characteristics of 7 Cases of Hepatic Portal Venous Gas]. Journal of Peking University. Health Sciences, 55, 743-747. (In Chinese)
[11] Latham, J. and Nanayakkara, G. (2022) A Case Report on Hepatic Portal Venous Gas (HPVG). Cureus, 14, e30689. [Google Scholar] [CrossRef] [PubMed]
[12] Aquino-Jose, V.M., Johnson, S., Quinn, M. and Havryliuk, T. (2020) Arterial Gas Emboli Secondary to Portal Venous Gas Diagnosed with Point-Of-Care Ultrasound: Case Report and Literature Review. The Journal of Emergency Medicine, 59, 906-910. [Google Scholar] [CrossRef] [PubMed]
[13] Arai, M., Kim, S., Ishii, H., Takiguchi, T. and Yokota, H. (2021) Portal Venous Gas in Adults: Clinical Significance, Management, and Outcomes of 25 Consecutive Patients. Journal of Nippon Medical School, 88, 88-96. [Google Scholar] [CrossRef] [PubMed]
[14] 周方正, 刘晨鸣, 董家铭, 鲁葆春. 肝门静脉积气征的研究进展[J]. 浙江医学, 2024, 46(14): 1560-1563.
[15] Graber, S.D., Sinz, S., Turina, M. and Alkadhi, H. (2022) Pneumatosis Intestinalis in Abdominal CT: Predictors of Short-Term Mortality in Patients with Clinical Suspicion of Mesenteric Ischemia. Abdominal Radiology, 47, 1625-1635. [Google Scholar] [CrossRef] [PubMed]
[16] Gonda, M., Osuga, T., Ikura, Y., Hasegawa, K., Kawasaki, K. and Nakashima, T. (2020) Optimal Treatment Strategies for Hepatic Portal Venous Gas: A Retrospective Assessment. World Journal of Gastroenterology, 26, 1628-1637. [Google Scholar] [CrossRef] [PubMed]