即时超声检查在常见急性腹痛中的应用
Application of Point-of-Care Ultrasonography in Common Acute Abdominal Pain
DOI: 10.12677/acm.2026.161306, PDF, HTML, XML,   
作者: 罗天凤*, 陈美静, 唐光甫:重庆市万州区上海医院超声科,重庆;王 鑫*:川北医学院临床医学院,四川 南充;任泽宇, 李雪娇, 王晓龙#:重庆医科大学第二临床学院急救部,重庆;彭科兴#:重庆市万州区上海医院超声科,重庆;重庆医科大学第二临床学院急救部,重庆
关键词: 即时超声检查急性腹痛Point-of-Care Ultrasonography (POCUS) Acute Abdominal Pain (AAP)
摘要: 急性腹痛(Acute abdominal pain, AAP)是发病率仅次于发热与胸痛的急诊常见症状,如何对此类患者进行快速又准确地判断直接影响疾病预后。即时超声检查(Point-of-Care Ultrasonography, POCUS)一直被认为是急诊诊疗中重要的检查手段之一。POCUS具有较高的敏感性与特异性,是很多AAP的首选检查手段;对于腹主动脉瘤而言,POCUS甚至是筛查、随访的金标准。如何进一步推广由急诊医生执行POCUS一直是临床重点与难点之一。本文就POCUS在常见AAP如急性胆囊炎、急性阑尾炎、腹主动脉瘤、肠梗阻、异位妊娠等疾病中的应用做一综述,以进一步明确该检查在急诊科的价值。
Abstract: Acute Abdominal Pain (AAP) is one of the most common emergency symptoms, with an incidence second only to fever and chest pain. The rapid and accurate assessment of patients with such symptoms directly affects disease prognosis. Point-of-Care Ultrasonography (POCUS) has long been recognized as one of the important examination methods in emergency diagnosis and treatment. POCUS has high sensitivity and specificity, and serves as the first-choice examination method for many cases of AAP; for abdominal aortic aneurysm (AAA), POCUS is even the gold standard for screening and follow-up. How to further promote the implementation of POCUS by emergency physicians has long been one of the key priorities and challenging issues in clinical practice. This article reviews the application of POCUS in common AAP-related diseases, such as acute cholecystitis, acute appendicitis, abdominal aortic aneurysm, intestinal obstruction, and ectopic pregnancy, aiming to further clarify the value of this examination in the emergency department.
文章引用:罗天凤, 王鑫, 陈美静, 唐光甫, 任泽宇, 李雪娇, 王晓龙, 彭科兴. 即时超声检查在常见急性腹痛中的应用[J]. 临床医学进展, 2026, 16(1): 2444-2454. https://doi.org/10.12677/acm.2026.161306

1. 引言

急性腹痛(Acute abdominal pain, AAP)通常被定义为持续时间少于7天的非创伤性腹痛[1];从轻微的胃肠炎到严重且致命的腹主动脉夹层、空腔脏器穿孔等均属于其考虑范畴[2]。其发病率仅次于发热[3]与胸痛[4]。由于其高发病率与高漏诊误诊率,AAP一直是急诊医生的噩梦[5]。对AAP的快速准确诊断不能单靠某一途径,这需要结合急诊医生的经验,患者症状、体征,血液学、影像学检查等进行综合判断。尤其是急诊医生经验,这能在最短时间内对患者的可能疾病方向做出判断进而选择恰当的查体与辅助检查。

超声检查因其设备便携且低成本、无创、无辐射等优势一直在急诊诊疗中具有不可代替的作用[6]。对于孕产妇,不能配合CT、MRI检查者,以及疾病筛查尤其具有优势[7]。即时超声检查(Point-of-Care Ultrasonography, POCUS)可以在任何接诊地方进行,是临床检查的延伸并且能同时覆盖不同区域[8]。通过POCUS通常能快速确定患者疾病严重程度来决定治疗方案。对于大部分AAP患者,首选POCUS不仅能减少不必要的诸如CT等具有创伤的大型医疗资源的浪费,还能降低医疗费用[9]

2. 伴或不伴胆囊结石的急性胆囊炎

急性胆囊炎(Acute cholecystitis, AC)在所有AAP发病中占近10%,而其中90%~95%伴有胆囊结石[10]。胆总管结石诱发的AC尽管发病率相对较低但同样需要警惕,行POCUS时若测量胆总管直径发现直径增宽就需要考虑胆总管结石可能[11]。AC最常见首发症状为进食后突发右上腹绞痛,尤其是进食油腻食物后[12]。既往患有胆囊结石、慢性胆囊炎或喜油腻食物者突发持续右上腹绞痛均需考虑AC [13]。最典型表现为夏柯三联征,即腹痛、黄疸与发热,但随着社会进步患者及时就诊,此类患者明显减少[14]

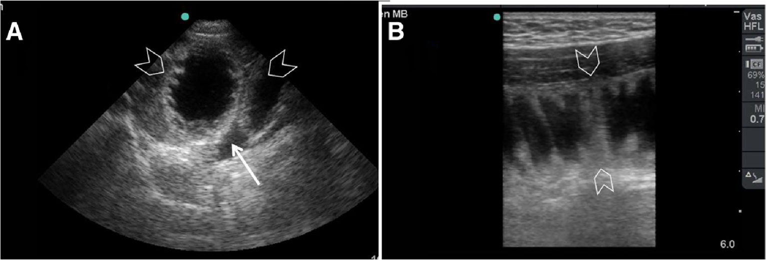
对反复发作的伴有胆囊结石的AC首选胆囊切除术,因此POCUS不仅有助于了解结石,还能为制定手术方案做准备[15]。研究表明POCUS对AC的诊断具有较高特异性(94.4%)与中等敏感性(70.9%) [16];但对于胆囊结石的识别准确性则仍待进一步提升[17]。为解决这一问题,有人开发了基于机器学习的轻量级深度神经网络,其受试者工作曲线最高可达0.94,推理速度最快可达7毫秒帧[18]。另外对于高度怀疑AC的急诊患者,在1小时内即进行POCUS能明显减少患者在急诊科住院时间以及会诊时间的影响[19]。其他研究表明对于出血性胆囊炎等特殊情况(图1),POCUS较CT优势明显[20]

鉴别胆囊结石与胆囊息肉要点在于前者的高回声伴有声影而后者不存在声影,但需警惕直径小于5 mm的胆囊结石也可能不具备声影[21]。行POCUS时见胆囊肿大、胆囊壁增厚(通常>4 mm)、胆囊腔结石、胆囊壁分层与胆囊周围积液等征象时,对AC的阳性预测值为92% [22]

Figure 1. Ultrasound images of hemorrhagic cholecystitis. (A) POCUS demonstrates that the gallbladder lumen is filled with mixed-echo material (arrow), indicative of blood. (B) Color Doppler ultrasound of the gallbladder shows avascularity of the gallbladder wall, with echoic material visualized within the gallbladder lumen

1. 血性胆囊炎超声图。(A) POCUS显示胆囊腔内充满混合回声物质(箭头),代表血液。(B) 胆囊彩色多普勒超声显示胆囊壁缺乏血管,胆囊腔内可见回声物质

3. 急性阑尾炎

急性阑尾炎(acute appendicitis, AA)发病率高达96.5~100例/10万人,主要发病人群为青中年[23]。其病因多为粪石、感染等导致阑尾腔梗阻,少部分则是肿瘤引起[24]。阑尾腔梗阻可引起炎症、缺血坏死甚至阑尾穿孔。转移性右下腹疼痛是AA最典型表现,但这需要发病4~6小时后方比较明显[25]。因此AAP患者临床症状与影像学征象可能均不典型。

Figure 2. A 3-year-old boy presented with fever, vomiting and abdominal pain, and was ultimately diagnosed with acute appendicitis. (A) Longitudinal grayscale ultrasound image of the right lower quadrant (RLQ) shows a swollen, fluid-filled appendix with an appendicolith shadow at the base (arrow). The distal margin of the appendix is ill-defined (tip), and a microperforation was identified on histopathological sections. The surrounding adipose tissue (asterisk) exhibits increased echogenicity. (B) Corresponding longitudinal color Doppler ultrasound image of the right lower quadrant (RLQ) demonstrates hyperemia in the appendix and its surrounding tissues. The maximum outer diameter of the appendix measures 14.6 mm at the base and 10.3 mm at the tip

2. 一名3岁男孩因发热、呕吐和腹痛就诊。患者最终被诊断为急性阑尾炎。(A) 右下腹区(RLQ)的纵向灰阶超声图像显示肿胀的充满液体的阑尾,基底部有结石阴影(箭头)。远端阑尾边缘不清晰(尖端),组织学切片上发现微小穿孔。周围脂肪组织(星号)回声增强。(B) 相应的右下腹区(RLQ)的纵向彩色多普勒超声图像显示阑尾及其周围组织的高血流。阑尾的最大外径在基部测量为14.6毫米,在尖端测量为10.3毫米

一项针对AA行POCUS的前瞻性、多中心评估显示总体敏感性、特异性、阳性似然比和阴性似然比分别为85%、63%、22.9%和24%;这就意味着经验丰富医生对AA的识别具有中等准确性,但敏感性与特异性需要进一步提升[26]。为进一步探究POCUS操作者对AA的诊断是否有影响,一项包括了9283例阑尾超声检查的研究表明超声科医师和放射科医生的差异并不能预测因疑似AA在急诊室接受超声检查的儿童的临床重要结局(图2) [27]。另一项涵盖了61名孕期女性的疑似AA患者行POCUS后发现其敏感性、特异性、阳性率分别为66.7%、96.8%和20.7%;其中对孕早期的敏感性最高(72.7%)。这提示POCUS在诊断疑似AA孕妇群体方面显示出较高的特异性和阳性似然比,但阴性患者则需结合其他检查以免漏诊误诊[28]。上述证据表明通过POCUS对AA的诊断仍需改进。

4. 腹主动脉瘤

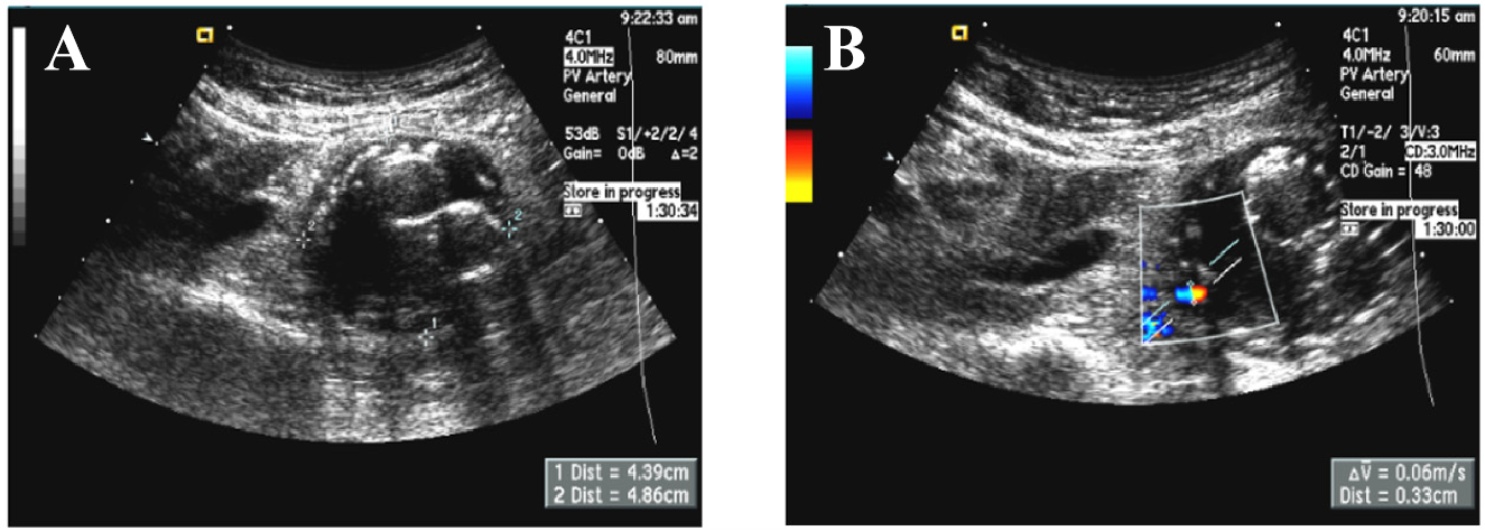
主动脉是一条从心脏延伸出来的大血管,通过较小的血管网络将富含氧气的血液输送到身体的其他部位[29]。其管壁具有弹性因此它会随着心跳而膨胀和收缩。如果管壁弹性随着时间推移而变弱,就会形成动脉瘤[30]。腹主动脉瘤(abdominal aortic aneurysm, AAA)是一种永久性的、不可逆的、局部的腹主动脉腔的扩大[31]。最常发病部位是肾下节段。全球每年死于该疾病人数达17万。一旦确诊AAA首选方案为手术[32]。AAA在未破裂时通常无症状,因此很多人可能终生不知道自己有这个“定时炸弹”。而一旦瘤体破裂其腹痛非常剧烈难以忍受,患者很快出现休克及腹部搏动性包块等表现,如果处理不及时死亡风险很高[33]。在此情况下行POCUS会耽搁更多时间严重影响抢救,因此对于AAA行POCUS检查更多是筛查高风险人群[34]。对老年人群、三高人群、吸烟或既往吸烟者每年行1次超声检查可降低近1/3的死亡风险[35] [36]。一项针对伴有心血管疾病高风险的人群的POCUS筛查显示其诊断率高达71% [37]。一项纳入1010名平均年龄71.3岁男性患者的AAA筛查研究显示,该群体诊断AAA时主动脉中径只有35 mm,而急诊偶然诊断AAA患者中径却高达47 mm (图3) [38]。这一结果在得出强烈支持使用POCUS对AAA进行筛查的同时还抛出另外的问题:现有办法所测主动脉中径是否准确[39]?尽管男性更多伴有上述致病因素,但临床中女性AAA破裂发病率却是男性的4倍,一项针对AAA高危女性的POCUS筛查显示:参与检查的5200名65~75岁女性中只检测到15个大于29 mm的AAA,其中只有3个AAA大于5.5 cm并考虑手术。研究者最终认为高危女性中AAA患病率较低,因此对她们开展筛查可能意义不大[40]。但这一结论很快便受到了质疑,质疑者认为由于女性预期寿命延长、AAA死亡率和并发症较男性高等因素,针对女性的AAA筛查应当包括75岁以上人群[41]。另外,我们是否需要考虑气体、肥胖等因素对POCUS结果准确性的影响[42]?超高龄人群的AAA筛查是否有必要[43]

Figure 3. (A) Echocardiography reveals an endovascular aortic stent, with the maximum diameter of the aortic sac measuring 4.86 cm. (B) On color Doppler flow imaging, an endoleak originating from a patent lumbar artery with a diameter of 0.33 cm is visualized, which is located at the left inferior margin of the aneurysm sac

3. (A) 超声心动图显示一个主动脉内支架,其主动脉囊最大直径为4.86厘米。(B) 在彩色多普勒血流成像中,可见来自一条直径为0.33厘米的开放腰动脉的内漏,位于动脉瘤囊的左下边缘

5. 肠梗阻

当肠腔内物质通行受到阻碍时,就有可能导致肠梗阻(intestinal obstruction, IO) [44]。它可以发生在肠道的任一部位。其中小肠梗阻(small bowel obstruction, SBO)最常见[45];其次是结肠梗阻[46]。临床中IO最常见病因为术后粘连、其次为疝和肿瘤,其他如炎性肠病、异位妊娠、克隆恩病等尽管发病率低一些,但仍值得警惕[47] [48]。需要注意的是IO很多时候并非单独发生,它可能由肠扭转、急性胰腺炎、急性胆囊炎等疾病诱发[49];它也可能因就诊不及时而诱发肠绞窄[50]、肠缺血坏死[51]甚至穿孔等疾病[52]

IO典型临床表现包括腹痛、腹胀、呕吐、肛门排气排便停止等,但需警惕不典型患者[53];影像学检查不仅能明确发病部位、严重程度,还能为治疗手段提供方向,尤其是手术患者(图4) [54]。研究表明POCUS对怀疑IO患者敏感性达90%、特异性达96%,较X线相比两者灵敏度差异不明显,但POCUS特异性明显优于后者[55]。当POCUS征象见肠扩张,肠壁增厚,肠内容物蠕动加速、减慢以及肠蠕动消失,结肠管腔塌陷等时,需要考虑SBO [56]。麻痹性肠梗阻POCUS征象包括小肠袢扩大、充满气体和液体或粪便,伴或不伴肠蠕动消失[57]。POCUS的优势在于其可以通过观察肠瓣而分析出从扩张到塌陷的过渡区域进而找到SBO的部位和潜在病因。肠瓣在回肠梗阻中很少见但空肠梗阻却十分明显[58]。也有人提出在扩张的近段袢和塌陷的远端袢之间寻找梗阻原因的方法[59]。POCUS诊断IO伴缺血的征象为肠扩张充满液体、肠壁增厚且蠕动消失、同时肠袢之间见游离液体[60]。同时对于疝气、肠套叠、蛔虫病、肿瘤以及异物等,POCUS也能较好识别。但需要警惕的是,设备质量、医生的经验技术、肥胖等对POCUS在诊断IO过程中的影响到底多大,目前尚无具体数据。

Figure 4. A 12-year-old boy presented with abdominal pain and vomiting. (A), (B) Physical examination revealed that the lower abdomen was non-distended, soft but tender. Bowel sounds were diminished. POCUS examination demonstrated two non-functional jejunal loops (indicated by arrows)

4. 一名12岁男孩因腹痛和呕吐就诊。(A)、(B) 检查发现下腹部不胀,柔软但有压痛。肠鸣音减弱。POCUS检查显示两个非功能性的空肠袢(箭头所示)

6. 异位妊娠与黄体破裂

POCUS在异位妊娠(ectopic pregnancy, EP)和黄体破裂(ruptured corpus luteum, RCL)诊断中的价值不言而喻[61] [62],超声检查一直是这类疾病首选检查手段(图5) [63]。对于育龄期突发下腹痛急诊患者,首先要想到这两种疾病,如果患者伴有阴道出血,那就更需要警惕患者因大出血导致休克甚至死亡[64]。数据显示约1%~2%妊娠为异位妊娠[65];但一项纳入了2185名女性的通过贝叶斯定理诊断EP的结果(8.5%)与这一数据相去甚远[66]。有人认为应该将创伤超声聚焦评估作为POCUS的补充检查,理由是其能更好显示腹部出血[67]。需注意的是不同部位EP大出血风险不同,一项针对卵巢异位妊娠和输卵管异位妊娠POCUS检查后发现前者更有可能出现大出血[68]。研究显示POCUS时骨盆发现中至大量游离液体时高度提示异位妊娠破裂,其特异性可达94%,而右上象限存在游离液体时对EP的特异性更是高达99.5% [69]

Figure 5. POCUS demonstrates the following findings: (A) an intrauterine device (white arrow); (B) an ectopic pregnancy (red arrow) at a gestational age of 7 weeks and 4 days. CRL, crown-rump length; GA, gestational age

5. POCUS显示,(A) 宫内系统(白色箭头);(B) 异位妊娠(红色箭头),孕周为7周加4天。CRL,头臀长;GA,孕龄

7. 泌尿系统结石与泌尿道感染

肾脏里的结石通常无症状,但当其进入输尿管成为输尿管结石(ureteral stones, UC)时,则诱发严重的肾绞痛[70];尤其是在夏天大量出汗后、饮酒后该疾病发病率显著升高[71];患者很难忍受这种突发的剧烈痉挛性疼痛,有人甚至诱发休克[72]。由泌尿道结石诱发的泌尿道感染(urinary tract infection, UTI)也并不少见,如果患者出现寒战、高热、尿刺痛等症状,就需要警惕UTI [73]。泌尿系结石发病率约为10%,尤其是成年男性发病率更高,而且该数据还在增加[74]。几乎所有人的一生中都经历过UTI [75],婴幼儿、老年人群、女性尤其是孕期女性、长期卧床人群等则往往是高危人群[76]。对泌尿系结石立即行POCUS检查不仅能确诊是否有尿路梗阻与结石的存在,还能明确结石的大小、数量与位置,这对诊疗方案的制定意义重大[77] [78]。即使未能直接提示结石的存在,但通过显示输尿管扩张也能间接证实输尿管梗阻存在,这依然能明确诊断和制定治疗方案。对UTI患者行POCUS同样十分必要,因为这能快速明确是否伴有泌尿道结石、肾盂积水、占位性病变等[79]。但该检查到底该由专业超声科医生执行还是急诊科医生执行,目前没有定论。有研究显示经过数小时培训的内科医生通过POCUS诊断肾积水的灵敏度与特异性均超过90% [80]

8. POCUS执行模式

目前大多数医疗机构仍由经过专业培训并取得资质的超声科医生执行POCUS,他们的专业性和操作熟练度既能尽量降低漏诊率和误诊率,还能在尽量短的时间内明确诊断、提高诊疗效率[81]。受限于医疗机构的医疗资源,对于能行走或不是特别紧急的急诊患者,许多情况下由患者前往超声科完成检查。这就暴露出许多问题:这种模式不仅延长诊疗时间,让患者忍受更多痛苦;而且患者在前往超声科途中或等待检查时病情加重风险也会增加,导致医疗事故风险增加[82];另外需要注意的是,超声科医生临床经验的缺乏使得他们在执行POCUS时不能通过患者的病史、临床表现而对患者病情进行有指向性的判断,进而在最短时间内对患病器官或组织进行检查。当前解决这个问题的最常见模式为床旁POCUS,即超声科医生前往急诊床旁完成检查——这在许多医疗机构都存在[83]。这种模式似乎能有效解决上述很多问题,尤其是能给急诊科配备专业超声科医生的医疗机构。但数据表明对急诊医生进行超声技能培训后由他们执行POCUS,更能有效结合急诊医生的临床经验与超声科医生的专业操作;这种模式不仅能减少医疗资源浪费、规避医疗风险,还能缩短患者诊疗时间、提高临床效率[84]-[86]

9. 结论

总之,对于上述疾病而言POCUS无疑是首选辅助检查,因为其低成本、便携、经济、快捷、无创、无辐射等诸多优势。这对急诊医生而言无疑是巨大的帮助。但POCUS的应用绝不局限于上述疾病或急诊科。但执行者到底该是专业超声科医生还是其他人,这其实需要因地制宜而不能一刀切的执行;在此我们呼吁推广由经过专业培训的急诊医生执行POCUS。但需要强调的是,对于疾病的诊断医生才是核心,急诊医生应当通过自身经验、患者症状、体征以及各种辅助检查综合判断,而不能过度依赖辅助检查。而且机器学习、网络学习等新技术与POCUS的结合无疑能提高其敏感性与特异性,这对将POCUS用于AAP的诊疗无疑是新的突破与进展。

致 谢

感谢重庆医科大学第二临床学院急救部主任王晓龙副教授对本文思路、临床诊疗思维的指导;感谢重庆医科大学第二临床学院急救部医学硕士研究生彭科兴在审稿、修改方面的工作;感谢万州区上海医院陈美静医生、唐光甫医生对图片的整理以及校稿工作;感谢重庆医科大学第二临床学院急救部李雪娇主治医生、任泽宇硕士研究生对文中所涉及急诊专业知识的补充与识别。

NOTES

*共同第一作者。

#通讯作者。

参考文献

[1] Rogers, S.O. and Kirton, O.C. (2024) Acute Abdomen in the Modern Era. New England Journal of Medicine, 391, 60-67. [Google Scholar] [CrossRef] [PubMed]
[2] Börner, N., Kappenberger, A., Weber, S., Scholz, F., Kazmierczak, P. and Werner, J. (2025) The Acute Abdomen: Structured Diagnosis and Treatment. Deutsches Ärzteblatt International, 122, 137-144. [Google Scholar] [CrossRef] [PubMed]
[3] Yan, M., Qian, J., Shao, H., Luo, L. and Yang, J. (2025) Self-Supervised Temperature Representation Learning for Fever Screening. IEEE Transactions on Cybernetics, 55, 3206-3219. [Google Scholar] [CrossRef] [PubMed]
[4] Bellolio, F., Gottlieb, M., Body, R., Than, M.P. and Hess, E.P. (2025) Evaluating Patients with Chest Pain in the Emergency Department. British Medical Journal, 388, r136. [Google Scholar] [CrossRef] [PubMed]
[5] Shaish, H., Ream, J., Huang, C., Troost, J., Gaur, S., Chung, R., et al. (2023) Diagnostic Accuracy of Unenhanced Computed Tomography for Evaluation of Acute Abdominal Pain in the Emergency Department. JAMA Surgery, 158, e231112. [Google Scholar] [CrossRef] [PubMed]
[6] Hidalgo, E.M., Wright, L., Isaksson, M., Lambert, G. and Marwick, T.H. (2023) Current Applications of Robot-Assisted Ultrasound Examination. JACC: Cardiovascular Imaging, 16, 239-247. [Google Scholar] [CrossRef] [PubMed]
[7] Jiang, Z., Salcudean, S.E. and Navab, N. (2023) Robotic Ultrasound Imaging: State-of-the-Art and Future Perspectives. Medical Image Analysis, 89, Article 102878. [Google Scholar] [CrossRef] [PubMed]
[8] Yoshida, T., Yoshida, T., Noma, H., Nomura, T., Suzuki, A. and Mihara, T. (2023) Diagnostic Accuracy of Point-of-Care Ultrasound for Shock: A Systematic Review and Meta-Analysis. Critical Care, 27, Article No. 200. [Google Scholar] [CrossRef] [PubMed]
[9] Johri, A.M., Glass, C., Hill, B., Jensen, T., Puentes, W., Olusanya, O., et al. (2023) The Evolution of Cardiovascular Ultrasound: A Review of Cardiac Point-of-Care Ultrasound (POCUS) across Specialties. The American Journal of Medicine, 136, 621-628. [Google Scholar] [CrossRef] [PubMed]
[10] Wu, X., Song, Y. and Wu, S. (2025) The Development and Evaluation of Nine Obesity-Based Indices for Gallstones in U.S. Adults. International Journal of Surgery, 111, 2348-2357. [Google Scholar] [CrossRef] [PubMed]
[11] Zhang, Y. and Feng, Y. (2023) Radiation-Free Digital Cholangioscopy-Guided Removal of Bile Duct Foreign Body and Holmium Laser Lithotripsy for Large Common Bile Duct Stones. Endoscopy, 55, E420-E421. [Google Scholar] [CrossRef] [PubMed]
[12] Latenstein, C.S.S. and de Reuver, P.R. (2022) Tailoring Diagnosis and Treatment in Symptomatic Gallstone Disease. British Journal of Surgery, 109, 832-838. [Google Scholar] [CrossRef] [PubMed]
[13] Gallaher, J.R. and Charles, A. (2022) Acute Cholecystitis. Journal of the American Medical Association, 327, 965-975. [Google Scholar] [CrossRef] [PubMed]
[14] Lee, J.G. (2009) Diagnosis and Management of Acute Cholangitis. Nature Reviews Gastroenterology & Hepatology, 6, 533-541. [Google Scholar] [CrossRef] [PubMed]
[15] Wu, X., Li, K., Kou, S., Wu, X. and Zhang, Z. (2024) The Accuracy of Point-of-Care Ultrasound in the Detection of Gallbladder Disease: A Meta-Analysis. Academic Radiology, 31, 1336-1343. [Google Scholar] [CrossRef] [PubMed]
[16] Wilson, S.J., Thavanathan, R., Cheng, W., Stuart, J., Kim, D.J., Glen, P., et al. (2024) Test Characteristics of Emergency Medicine-Performed Point-of-Care Ultrasound for the Diagnosis of Acute Cholecystitis: A Systematic Review and Meta-Analysis. Annals of Emergency Medicine, 83, 235-246. [Google Scholar] [CrossRef] [PubMed]
[17] Weingrow, D. (2024) Implications and Limitations of Point-of-Care Ultrasound in Diagnosing Acute Cholecystitis. Annals of Emergency Medicine, 83, 247-249. [Google Scholar] [CrossRef] [PubMed]
[18] Yu, C., Yeh, H., Chang, C., Tang, J., Kao, W., Chen, W., et al. (2021) Lightweight Deep Neural Networks for Cholelithiasis and Cholecystitis Detection by Point-of-Care Ultrasound. Computer Methods and Programs in Biomedicine, 211, Article 106382. [Google Scholar] [CrossRef] [PubMed]
[19] Huang, C.T., Wang, L.W., Lin, S.Y., Chen, T.Y., et al. (2025) Impact of a POCUS-First versus CT-First Approach on Emergency Department Length of Stay and Time to Surgical Consultation in Patients with Acute Cholecystitis: A Retrospective Study. Scandinavian Journal of Trauma, Resuscitation and Emergency Medicine, 33, Article 28.
[20] Long, N.D., Ahn, J.S., Monkewich, G.J. and Kim, D.J. (2021) Point-of-Care Ultrasonography in the Diagnosis of Hemorrhagic Cholecystitis. Canadian Medical Association Journal, 193, E1631-E1632. [Google Scholar] [CrossRef] [PubMed]
[21] Kamaya, A., Fung, C., Szpakowski, J., Fetzer, D.T., Walsh, A.J., Alimi, Y., et al. (2022) Management of Incidentally Detected Gallbladder Polyps: Society of Radiologists in Ultrasound Consensus Conference Recommendations. Radiology, 305, 277-289. [Google Scholar] [CrossRef] [PubMed]
[22] Żorniak, M., Sirtl, S., Beyer, G., Mahajan, U.M., Bretthauer, K., Schirra, J., et al. (2023) Consensus Definition of Sludge and Microlithiasis as a Possible Cause of Pancreatitis. Gut, 72, 1919-1926. [Google Scholar] [CrossRef] [PubMed]
[23] Moris, D., Paulson, E.K. and Pappas, T.N. (2021) Diagnosis and Management of Acute Appendicitis in Adults: A Review. Journal of the American Medical Association, 326, 2299-2311. [Google Scholar] [CrossRef] [PubMed]
[24] Kong, L., Liu, D., Zhang, J., Ullah, S., Zhao, L., Li, D., et al. (2021) Digital Single-Operator Cholangioscope for Endoscopic Retrograde Appendicitis Therapy. Endoscopy, 54, 396-400. [Google Scholar] [CrossRef] [PubMed]
[25] Di Saverio, S., Podda, M., De Simone, B., Ceresoli, M., et al. (2020) Diagnosis and Treatment of Acute Appendicitis: 2020 Update of the WSES Jerusalem Guidelines. World Journal of Emergency Surgery, 15, Article 27.
[26] Becker, B.A., Kaminstein, D., Secko, M., Collin, M., Kehrl, T., Reardon, L., et al. (2021) A Prospective, Multicenter Evaluation of Point-of-Care Ultrasound for Appendicitis in the Emergency Department. Academic Emergency Medicine, 29, 164-173. [Google Scholar] [CrossRef] [PubMed]
[27] Gilligan, L.A., Trout, A.T., Davenport, M.S., Zhang, B., O’Hara, S.M. and Dillman, J.R. (2021) Predictors of Clinical Outcomes in Pediatric Appendicitis: Role of the Individual Sonographer and Radiologist When Using a First-Line Ultrasound Approach. Journal of the American College of Radiology, 18, 1128-1138. [Google Scholar] [CrossRef] [PubMed]
[28] Abgottspon, D., Putora, K., Kinkel, J., Süveg, K., Widmann, B., Hornung, R., et al. (2022) Accuracy of Point-of-Care Ultrasound in Diagnosing Acute Appendicitis during Pregnancy. Western Journal of Emergency Medicine, 23, 913-918. [Google Scholar] [CrossRef] [PubMed]
[29] Baman, J.R. and Eskandari, M.K. (2022) What Is an Abdominal Aortic Aneurysm? Journal of the American Medical Association, 328, 2280. [Google Scholar] [CrossRef] [PubMed]
[30] Sakuma, H. (2022) Abdominal Aortic Aneurysm: Prediction of Rupture Risk with MR Elastography. Radiology, 304, 730-731. [Google Scholar] [CrossRef] [PubMed]
[31] Lu, X. and Hu, Q. (2025) Recent Advances in Nanomedicine-Mediated Abdominal Aortic Aneurysm Treatment. Small Methods, 9, Article 2402268. [Google Scholar] [CrossRef] [PubMed]
[32] Schanzer, A. and Oderich, G.S. (2021) Management of Abdominal Aortic Aneurysms. New England Journal of Medicine, 385, 1690-1698. [Google Scholar] [CrossRef] [PubMed]
[33] Huanggu, H., Yang, D. and Zheng, Y. (2023) Blood Immunological Profile of Abdominal Aortic Aneurysm Based on Autoimmune Injury. Autoimmunity Reviews, 22, Article 103258. [Google Scholar] [CrossRef] [PubMed]
[34] Laine, M.T., Mani, K., Gunnarsson, K., Wanhainen, A., Sund, R. and Venermo, M. (2024) Abdominal Aortic Aneurysm Repair in Sweden vs. Finland: Benefits of Population-Wide Screening. European Heart Journal, 45, 4747-4757. [Google Scholar] [CrossRef] [PubMed]
[35] Welsh, P., Pouncey, A.L., Sattar, N. and Powell, J.T. (2025) Sex-Specific Risk of Smoking for Abdominal Aortic Aneurysm and Exploration of Potential Mechanism: Meta-Analysis and Prospective Cohort Study. Arteriosclerosis, Thrombosis, and Vascular Biology, 45, 1316-1325. [Google Scholar] [CrossRef] [PubMed]
[36] Musto, L., Smith, A., Pepper, C., Bujkiewicz, S. and Bown, M. (2024) Risk Factor-Targeted Abdominal Aortic Aneurysm Screening: Systematic Review of Risk Prediction for Abdominal Aortic Aneurysm. British Journal of Surgery, 111, znae239. [Google Scholar] [CrossRef] [PubMed]
[37] Kelemen, M., Danesh, J., Di Angelantonio, E., Inouye, M., O’Sullivan, J., Pennells, L., et al. (2024) Evaluating the Cost-Effectiveness of Polygenic Risk Score-Stratified Screening for Abdominal Aortic Aneurysm. Nature Communications, 15, Article No. 8063. [Google Scholar] [CrossRef] [PubMed]
[38] Sisó-Almirall, A., Kostov, B., Navarro González, M., Cararach Salami, D., Pérez Jiménez, A., Gilabert Solé, R., et al. (2017) Abdominal Aortic Aneurysm Screening Program Using Hand-Held Ultrasound in Primary Healthcare. PLOS ONE, 12, e0176877. [Google Scholar] [CrossRef] [PubMed]
[39] Lareyre, F., Adam, C. and Raffort, J. (2022) Automatic Measurement of Abdominal Aortic Aneurysm Maximum Diameter Using Artificial Intelligence. European Journal of Vascular and Endovascular Surgery, 63, Article 525. [Google Scholar] [CrossRef] [PubMed]
[40] Duncan, A., Maslen, C., Gibson, C., Hartshorne, T., Farooqi, A., Saratzis, A., et al. (2021) Ultrasound Screening for Abdominal Aortic Aneurysm in High-Risk Women. British Journal of Surgery, 108, 1192-1198. [Google Scholar] [CrossRef] [PubMed]
[41] Sterpetti, A.V. (2022) Comment On: Ultrasound Screening for Abdominal Aortic Aneurysm in High-Risk Women. British Journal of Surgery, 109, e50. [Google Scholar] [CrossRef] [PubMed]
[42] Koncar, I.B., Jovanovic, A., Kostic, O., Roganovic, A., Jelicic, D., Ducic, S., et al. (2024) Screening Men and Women above the Age of 50 Years for Abdominal Aortic Aneurysm: A Pilot Study in an Upper Middle Income Country. European Journal of Vascular and Endovascular Surgery, 68, 10-15. [Google Scholar] [CrossRef] [PubMed]
[43] Maryosh, S., Gwilym, B., Lewis, P., McLain, A.D., Lewis, D. and Bosanquet, D.C. (2023) Small Abdominal Aortic Aneurysms in the over 85s: Do We Need to Survey Them All? European Journal of Vascular and Endovascular Surgery, 65, 911-912. [Google Scholar] [CrossRef] [PubMed]
[44] Jensen, S.A.S., Fonnes, S., Gram-Hanssen, A., Andresen, K. and Rosenberg, J. (2022) Long-Term Mortality and Intestinal Obstruction after Laparoscopic Cholecystectomy: A Systematic Review and Meta-Analysis. International Journal of Surgery, 105, Article 106841. [Google Scholar] [CrossRef] [PubMed]
[45] Walshaw, J., Smith, H.G. and Lee, M.J. (2024) Small Bowel Obstruction. British Journal of Surgery, 111, znae167. [Google Scholar] [CrossRef] [PubMed]
[46] Lin, S., Chen, Z. and He, Y. (2022) An Unusual Case of Bowel Obstruction: Diagnosis and Treatment. Gastroenterology, 163, e35-e37. [Google Scholar] [CrossRef] [PubMed]
[47] Iimori, K., Fukuda, A. and Fujii, S. (2022) Upper Gastrointestinal Obstruction Caused by a Cystic Mimicker. Gastroenterology, 163, e25-e26. [Google Scholar] [CrossRef] [PubMed]
[48] Suda, T., Oishi, N. and Kobayashi, M. (2022) Primary Follicular Lymphoma in the Small Intestine. Mayo Clinic Proceedings, 97, 1209-1210. [Google Scholar] [CrossRef] [PubMed]
[49] von Kroge, P.H., Duprée, A., Mann, O., Izbicki, J.R., Wagner, J., Ahmadi, P., et al. (2023) Abdominal Emergency Surgery in Patients with Hematological Malignancies: A Retrospective Single-Center Analysis. World Journal of Emergency Surgery, 18, Article No. 12. [Google Scholar] [CrossRef] [PubMed]
[50] Kaplan, L.J., Martinez-Casas, I., Mohseni, S., et al. (2025) Small Bowel Obstruction Outcomes According to Compliance with the World Society of Emergency Surgery Bologna Guidelines. British Journal of Surgery, 112, znaf080.
[51] Blaser, A.R., Mändul, M., Björck, M., Acosta, S., et al. (2024) Incidence, Diagnosis, Management and Outcome of Acute Mesenteric Ischaemia: A Prospective, Multicentre Observational Study (AMESI Study). Critical Care, 28, Article 32.
[52] Wassmer, C., Revol, R., Uhe, I., Chevallay, M., Toso, C., Gervaz, P., et al. (2023) A New Clinical Severity Score for the Management of Acute Small Bowel Obstruction in Predicting Bowel Ischemia: A Cohort Study. International Journal of Surgery, 109, 1620-1628. [Google Scholar] [CrossRef] [PubMed]
[53] Yao, Z., Zhang, Y. and Jiang, L. (2023) Commentary on ‘A New Clinical Severity Score for the Management of Acute Small Bowel Obstruction in Predicting Bowel Ischemia: A Cohort Study’ [Int J Surg 2023; 109: 1620-28]. International Journal of Surgery, 109, 3673-3674. [Google Scholar] [CrossRef] [PubMed]
[54] Lee, J.H., Kim, P.H., Son, N., Han, K., Kang, Y., Jeong, S., et al. (2025) External Validation of an Upgraded AI Model for Screening Ileocolic Intussusception Using Pediatric Abdominal Radiographs: Multicenter Retrospective Study. Journal of Medical Internet Research, 27, e72097. [Google Scholar] [CrossRef] [PubMed]
[55] Zenobii, M.F., Accogli, E., Domanico, A. and Arienti, V. (2016) Update on Ultrasound in Bowel Obstruction. Internal and Emergency Medicine, 11, 1015-1017. [Google Scholar] [CrossRef] [PubMed]
[56] Gottlieb, M., Peksa, G.D., Pandurangadu, A.V., Nakitende, D., Takhar, S. and Seethala, R.R. (2018) Utilization of Ultrasound for the Evaluation of Small Bowel Obstruction: A Systematic Review and Meta-Analysis. The American Journal of Emergency Medicine, 36, 234-242. [Google Scholar] [CrossRef] [PubMed]
[57] Mari, A. and Emmanuel, A. (2023) Dilated Gut Conditions: Diagnosis and Management. Clinical Medicine, 23, 558-560. [Google Scholar] [CrossRef] [PubMed]
[58] Takahama, T., Ban, T., Kubota, Y., Itoh, T., Nakamura, M. and Joh, T. (2022) Self-Expandable Metallic Stent Deployment across the Ileocecal Valve in a Patient with an Acute Colonic Obstruction. Endoscopy, 55, E96-E97. [Google Scholar] [CrossRef] [PubMed]
[59] Abu-Zidan, F.M. and Cevik, A.A. (2018) Diagnostic Point-of-Care Ultrasound (POCUS) for Gastrointestinal Pathology: State of the Art from Basics to Advanced. World Journal of Emergency Surgery, 13, Article No. 47. [Google Scholar] [CrossRef] [PubMed]
[60] Bala, M., Catena, F., Kashuk, J., De Simone, B., et al. (2022) Acute Mesenteric Ischemia: Updated Guidelines of the World Society of Emergency Surgery. World Journal of Emergency Surgery, 17, Article 54.
[61] Chong, K.Y., de Waard, L., Oza, M., van Wely, M., Jurkovic, D., Memtsa, M., et al. (2024) Ectopic Pregnancy. Nature Reviews Disease Primers, 10, Article No. 94. [Google Scholar] [CrossRef] [PubMed]
[62] Obaid, M., Abu-Faza, M. and Abdelazim, I.A. (2024) Cornual or Interstitial Ectopic Pregnancy? American Journal of Obstetrics and Gynecology, 231, e158. [Google Scholar] [CrossRef] [PubMed]
[63] Wheeler, V., Umstead, B. and Chadwick, C. (2023) Adnexal Masses: Diagnosis and Management. American Family Physician, 108, 580-587.
[64] Bollig, K.J., Friedlander, H. and Schust, D.J. (2023) Ectopic Pregnancy and Lifesaving Care. Journal of the American Medical Association, 329, 2086-2087. [Google Scholar] [CrossRef] [PubMed]
[65] Wang, X., Deng, M., Wu, S. and Mao, Q. (2024) Induced Abortion and Ectopic Pregnancy: A Systematic Review and Meta-Analysis. Journal of Evidence-Based Medicine, 17, 360-369. [Google Scholar] [CrossRef] [PubMed]
[66] Link, C.A., Maissiat, J., Mol, B.W., Barnhart, K.T. and Savaris, R.F. (2023) Diagnosing Ectopic Pregnancy Using Bayes Theorem: A Retrospective Cohort Study. Fertility and Sterility, 119, 78-86. [Google Scholar] [CrossRef] [PubMed]
[67] Arnold, M.J., Jonas, C.E. and Carter, R.E. (2020) Point-of-Care Ultrasonography. American Family Physician, 101, 275-285.
[68] Solangon, S.A., Naftalin, J. and Jurkovic, D. (2024) Ovarian Ectopic Pregnancy: Clinical Characteristics, Ultrasound Diagnosis and Management. Ultrasound in Obstetrics & Gynecology, 63, 815-823. [Google Scholar] [CrossRef] [PubMed]
[69] Stone, B.S., Muruganandan, K.M., Tonelli, M.M., Dugas, J.N., Verriet, I.E. and Pare, J.R. (2021) Impact of Point-of-Care Ultrasound on Treatment Time for Ectopic Pregnancy. The American Journal of Emergency Medicine, 49, 226-232. [Google Scholar] [CrossRef] [PubMed]
[70] Türk, C., Petřík, A. and Neisius, A. (2021) Ureteral Stones: Shockwave Lithotripsy or Ureteroscopy, Which Is Best? European Urology, 80, 55-56. [Google Scholar] [CrossRef] [PubMed]
[71] Peerapen, P. and Thongboonkerd, V. (2023) Kidney Stone Prevention. Advances in Nutrition, 14, 555-569. [Google Scholar] [CrossRef] [PubMed]
[72] Cao, Y., Qu, Z., Zhang, S., Liu, Y., Jia, L., Pei, X., et al. (2025) Early Acupuncture Intervention for Pain Relief in Emergency Department Patients with Suspected Acute Renal Colic Caused by Urinary Calculi: A Randomized Clinical Trial. QJM: An International Journal of Medicine, 118, 329-336. [Google Scholar] [CrossRef] [PubMed]
[73] Yang, Z., Lin, D., Hong, Y., Hu, M., Cai, W., Pan, H., et al. (2022) The Effect of Preoperative Urine Culture and Bacterial Species on Infection after Percutaneous Nephrolithotomy for Patients with Upper Urinary Tract Stones. Scientific Reports, 12, Article No. 4833. [Google Scholar] [CrossRef] [PubMed]
[74] Singh, P., Harris, P.C., Sas, D.J. and Lieske, J.C. (2021) The Genetics of Kidney Stone Disease and Nephrocalcinosis. Nature Reviews Nephrology, 18, 224-240. [Google Scholar] [CrossRef] [PubMed]
[75] Stonehouse, W., Benassi-Evans, B., Bednarz, J. and Vincent, A.D. (2025) Whole Cranberry Fruit Powder Supplement Reduces the Incidence of Culture-Confirmed Urinary Tract Infections in Females with a History of Recurrent Urinary Tract Infection: A 6-Month Multicenter, Randomized, Double-Blind, Placebo-Controlled Trial. The American Journal of Clinical Nutrition, 121, 932-941. [Google Scholar] [CrossRef] [PubMed]
[76] Sujith, S., Solomon, A.P. and Rayappan, J.B.B. (2024) Comprehensive Insights into UTIs: From Pathophysiology to Precision Diagnosis and Management. Frontiers in Cellular and Infection Microbiology, 14, Article 1402941. [Google Scholar] [CrossRef] [PubMed]
[77] Venkatesh, A.K., Scales, C.D. and Heilbrun, M.E. (2018) From Ruling Out to Ruling In: Putting POCUS in Focus. Academic Emergency Medicine, 25, 699-701. [Google Scholar] [CrossRef] [PubMed]
[78] Wong, C., Teitge, B., Ross, M., Young, P., Robertson, H.L. and Lang, E. (2018) The Accuracy and Prognostic Value of Point-of-Care Ultrasound for Nephrolithiasis in the Emergency Department: A Systematic Review and Meta-Analysis. Academic Emergency Medicine, 25, 684-698. [Google Scholar] [CrossRef] [PubMed]
[79] Yang, S., Gill, P.J., Anwar, M.R., Nurse, K., Mahood, Q., Borkhoff, C.M., et al. (2023) Kidney Ultrasonography after First Febrile Urinary Tract Infection in Children. JAMA Pediatrics, 177, 764-773. [Google Scholar] [CrossRef] [PubMed]
[80] Caronia, J., Panagopoulos, G., Devita, M., Tofighi, B., Mahdavi, R., Levin, B., et al. (2013) Focused Renal Sonography Performed and Interpreted by Internal Medicine Residents. Journal of Ultrasound in Medicine, 32, 2007-2012. [Google Scholar] [CrossRef] [PubMed]
[81] Apenteng, P.N. and Lilford, R. (2023) UK Medical Education Should Include Training in Point-of-Care Ultrasound. British Medical Journal, 380, 574. [Google Scholar] [CrossRef] [PubMed]
[82] Han, B., Liu, Y., Zhou, Q., Yu, Y., Liu, X., Guo, Y., et al. (2024) The Advance of Ultrasound-Enabled Diagnostics and Therapeutics. Journal of Controlled Release, 375, 1-19. [Google Scholar] [CrossRef] [PubMed]
[83] Gimovsky, A.C., Eke, A.C. and Tuuli, M.G. (2024) Enhancing Obstetric Ultrasonography with Artificial Intelligence in Resource-Limited Settings. Journal of the American Medical Association, 332, 626-628. [Google Scholar] [CrossRef] [PubMed]
[84] Álvarez-Fernández, J.A. and Núñez-Reiz, A. (2016) Ecografía clínica en la unidad de cuidados intensivos: Cambiando un paradigma médico. Medicina Intensiva, 40, 246-249. [Google Scholar] [CrossRef] [PubMed]
[85] DeMasi, S., Parker, M.S., Joyce, M., Mulligan, K., Feeser, S. and Balderston, J.R. (2023) Thoracic Point-of-Care Ultrasound Is an Accurate Diagnostic Modality for Clinically Significant Traumatic Pneumothorax. Academic Emergency Medicine, 30, 653-661. [Google Scholar] [CrossRef] [PubMed]
[86] Thind, G.S., Fox, S., Gupta, M., Chahar, P., Jones, R. and Dugar, S. (2021) Point-of-Care Ultrasonography for the Hospitalist. Cleveland Clinic Journal of Medicine, 88, 345-359. [Google Scholar] [CrossRef] [PubMed]