美洲大蠊提取物对肝癌TAE术后癌旁肝组织SOD、CAT的影响及其机制探讨
The Effect of Periplaneta americana Extract on SOD and CAT in Peritumoral Liver Tissue after TAE and Its Mechanism of Action
摘要: 目的:探讨美洲大蠊提取物对肝癌经导管动脉栓塞(transcatheter arterial embolization, TAE)术后癌旁肝组织SOD、CAT的影响及其机制。方法:前期观测100例原发性肝癌TAE治疗术后患者肝功能水平。后进行动物实验,将通过开腹瘤粒注射法成功建模的36只雄性日本大耳兔随机分为3组,每组12只。对照组用兔VX2肝癌模型,不做处理;TAE组用碘化油栓塞肿瘤供血动脉;美洲大蠊提取物组实验兔从术前3天每天分别以100 mg/kg给药,给药组每日经耳缘静脉给药,给药量均为2 mL/kg,1次/d。免疫组化法检测各组癌旁肝组织PPAR-α、NF-κB的表达水平。生物酶学法检测癌旁肝组织中氧化应激指标SOD、CAT在不同实验组之间的活力变化及癌旁肝组织中NF-κB、SOD1、SOD2、SOD3 mRNA的表达量。结果:前期人群研究中,术前、术后3天、7天、30天的ALT水平分别为(83.89 ± 21.24)、(63.59 ± 21.35)、(57.89 ± 24.24) U/L,AST水平分别为(117.37 ± 27.40)、(86.37 ± 27.53)、(87.52 ± 30.40) U/L,TAE术治疗后3天、7天、30天复查肝功能与术前相比,ALT、AST升高,差异显著(P < 0.05),术后7天肝功能各指标较术后3天显著改善,一个月后复查肝功能与术前比较,各指标均无显著性差异(P > 0.05);对照组、TAE组、美洲大蠊提取物组PPAR-α阳性分别为4、2、6只,NF-κB阳性分别为1、9、2只,与对照组、美洲大蠊提取物组比较,TAE组NF-κB阳性率、NF-κB mRNA水平明显升高,与对照组、TAE组比较,美洲大蠊提取物组PPAR-α阳性率、PPAR-αmRNA水平明显升高,差异均有统计学意义(P < 0.05);术后对照组、TAE组、美洲大蠊提取物组SOD水平分别为(22.48 ± 2.04)、(21.81 ± 0.11)、(25.81 ± 0.23) U/mgprot,CAT水平分别为(1.55 ± 0.19)、(1.15 ± 0.25)、(3.09 ± 0.57) U/mgprot,与对照组、美洲大蠊提取物组比较,TAE组SOD、CAT水平明显降低,与TAE组相比,美洲大蠊提取物组SOD、CAT水平明显提高,差异均有统计学意义(P < 0.05)。结论:美洲大蠊提取物可通过提高抗氧化应激因子即SOD、CAT的活性从而降低TAE术后癌旁肝组织的氧化应激反应,进而对肝癌TAE术后癌旁肝组织具有保护作用。
Abstract: Objective: To explore the effect of Periplaneta americana extract on SOD and CAT in the liver tissue adjacent to the tumor after transcatheter arterial embolization (TAE) for liver cancer and its mechanism. Methods: In the preliminary observation, the liver function levels of 100 patients with primary liver cancer after TAE treatment were observed. Then, an animal experiment was conducted. Thirty-six male Japanese white rabbits with VX2 liver cancer models established by laparotomy tumor injection were randomly divided into 3 groups, with 12 rabbits in each group. The control group was the rabbit VX2 liver cancer model without any treatment; the TAE group was treated with iodized oil embolization of the tumor-feeding artery; the Periplaneta americana extract group was given 100 mg/kg of the extract daily from 3 days before the operation through the ear vein, with a dosage of 2 mL/kg once a day. The expression levels of PPAR-α and NF-κB in the liver tissue adjacent to the tumor in each group were detected by immunohistochemistry. The activities of SOD and CAT in the liver tissue adjacent to the tumor and the expression levels of NF-κB, SOD1, SOD2, and SOD3 mRNA were detected by bioenzymology in different experimental groups. Results: In the preliminary population study, the ALT levels before the operation, 3 days, 7 days, and 30 days after the operation were (83.89 ± 21.24), (63.59 ± 21.35), (57.89 ± 24.24) U/L, and the AST levels were (117.37 ± 27.40), (86.37 ± 27.53), (87.52 ± 30.40) U/L. Compared with before the operation, the ALT and AST levels 3 days, 7 days, and 30 days after TAE treatment were significantly increased (P < 0.05). The liver function indicators 7 days after the operation were significantly improved compared with 3 days after the operation. One month after the operation, there was no significant difference in the liver function indicators compared with before the operation (P > 0.05). The positive rates of PPAR-α in the control group, TAE group, and Periplaneta americana extract group were 4, 2, and 6, respectively, and the positive rates of NF-κB were 1, 9, and 2, respectively. Compared with the control group and the Periplaneta americana extract group, the positive rate of NF-κB and the level of NF-κB mRNA in the TAE group were significantly increased. Compared with the control group and the TAE group, the positive rate of PPAR-α and the level of PPAR-α mRNA in the Periplaneta americana extract group were significantly increased, and the differences were statistically significant (P < 0.05). The SOD levels in the control group, TAE group, and Periplaneta americana extract group after the operation were (22.48 ± 2.04), (21.81 ± 0.11), (25.81 ± 0.23) U/mgprot, and the CAT levels were (1.55 ± 0.19), (1.15 ± 0.25), (3.09 ± 0.57) U/mgprot. Compared with the control group and the Periplaneta americana extract group, the SOD and CAT levels in the TAE group were significantly decreased. Compared with the TAE group, the SOD and CAT levels in the Periplaneta americana extract group were significantly increased, and the differences were statistically significant (P < 0.05). Conclusion: Periplaneta americana extract can reduce the oxidative stress response in the liver tissue adjacent to the tumor after TAE for liver cancer by increasing the activities of antioxidant stress factors such as SOD and CAT, and thus has a protective effect on the liver tissue adjacent to the tumor after TAE for liver cancer.
文章引用:李祎涵, 邓笛, 周舟, 李正亮. 美洲大蠊提取物对肝癌TAE术后癌旁肝组织SOD、CAT的影响及其机制探讨[J]. 临床医学进展, 2026, 16(1): 2594-2603. https://doi.org/10.12677/acm.2026.161319

1. 引言

肝细胞肝癌(HCC)作为一种严重威胁人类健康的疾病,在全球范围内引起了广泛关注。在中国,每年大约38.3万人因肝癌死亡,占全球肝癌死亡人数的51%,成为中国肿瘤相关死亡的第二大常见原因[1]。由于肝细胞肝癌起病隐匿,高达80%的肝细胞癌(HCC)患者在被确诊时已然处于中晚期阶段,从而丧失了进行肝切除和肝移植的时机[2]。经导管动脉栓塞(Transcatheter arterial embolization TAE)是中晚期肝细胞癌的首选治疗方法。临床试验和荟萃分析结果显示,经导管动脉栓塞(TAE)相较于最佳内科支持治疗,能够明显提升患者的生存率,有效延长患者的生存周期[3] [4]。但在TAE治疗过程中,导管植入、化疗药物刺激等可致癌旁肝组织缺血缺氧损伤,损害肝脏储备功能,易致肝脏失代偿甚至肝功能衰竭。肝功能损伤发生率22.4%~66.7%,是影响TAE术后患者生存率和生存周期的主要因素[5] [6]。研究发现,TAE术后,由于栓塞剂不可避免地进入癌旁正常肝组织血管,引起肝脏缺血/再灌注损伤,导致氧化应激,细胞凋亡增多,此外癌旁肝组织中的过氧化物酶体增殖物激活受体α (PPARα)表达呈现下降趋势,而核因子-κB (NF-κB)表达升高,进而加重了癌旁肝组织的肝功能损伤[7] [8]

本研究探讨美洲大蠊提取物对TAE术后癌旁肝组织细胞氧化应激及抗氧化酶——SOD、CAT的影响作用以及改善肝功能的机制。

2. 资料与方法

2.1. 人群研究

收集在大理大学第一附属医院2023年1月至2025年6月确诊为原发性肝癌并进行TAE治疗术的患者100例。对其TAE术治疗后3天、7天、30天复查肝功能与术前进行比较,一个月后复查肝功能与术前进行比较。

2.1.1. 纳入标准

① 符合原发性肝癌的临床诊断和分期标准;② 术后复发,病理诊断明确;③ 影像学表现典型但AFP < 400 ng·l1的患者经活检确诊。④ TACE为主要治疗方法,术前未进行其他治疗(术后除外)。

2.1.2. 排除标准

① 其他原因引起的肝癌,转移性肝癌。② 未能在术后进行肝功能检测检查的患者。③ 术后失访患者。

2.2. 动物实验研究

2.2.1. 实验动物

选择东南大学荷瘤兔2只,日本雄性大耳兔40只4~5月(由大理大学动物实验中心代购),体重2.7~3.4 kg,生存环境一致,使用普通饲料喂养。

2.2.2. 模型制作方法

首先将荷瘤兔VX2肿瘤细胞株进行传代后获取瘤细胞悬浮液。依次将40只日本大耳兔在剑突中下部的左侧纵向切开暴露肝左叶,用眼钳将肝左叶完全拔出,将1 ml注射器换成18G穿刺针,并以30˚倾斜角插入肝左叶约1.5~2 cm,注入1 ml含有肿瘤颗粒的混合溶液,并用明胶海绵快速填充穿刺通道,腹腔喷庆大霉素40万U并压纱布伤口止血,逐层缝合腹部切口。术后三天连续注射庆大霉素8万U预防感染,术后单笼饲养。借助影像学手段判定模型构建是否达标,并对肿瘤的植入效果与生长状态展开评估[9],见图1

(a) 为CT平扫显示肝内不均匀低密度病灶,肿瘤中心密度较低;(b) 为CT增强扫描可见肿瘤边缘呈不均匀明显强化,中心坏死区不强化。

Figure 1. Liver CT scan of rabbit VX2 liver cancer animal model 4 weeks after tumor implantation

1. 兔VX2肝癌动物模型种植后4周行肝脏CT扫描

2.2.3. 分组

将建模成功的36只VX2肝癌实验兔进行随机分组,随机分为三个大组即对照组,TAE组,美洲大蠊提取物组,每组12只。对照组用兔VX2肝癌模型,不做任何处理;TAE组仅行TAE治疗术栓塞其肿瘤供血动脉;美洲大蠊提取物组实验兔从术前3天起每天以100 mg/kg经耳缘静脉进行给药,给药量均为2 mL/kg,1次/d,后行TAE术。对照组和TAE组以等容量的生理盐水。

2.2.4. 肝动脉经导管动脉栓塞术(TAE)

将实验VX2肝癌模型兔全身麻醉后固定在手术台上。备皮、消毒、覆盖右侧腹股沟10 cm以内,做小切口逐层分离皮下软组织,游离股动脉,远端丝线结扎,使用18G穿刺针穿刺股动脉并引入导丝。取出穿刺针后,置入4F导管鞘。4F导管通过导管鞘插入并通过导丝选择进入腹腔干,然后采用同轴导管技术将3F微导管通过4F导管超选择性插入肝总动脉,在DSA引导下确定肿瘤供血动脉。然后,将肿瘤供血动脉插管并通过DSA确认。碘油经3F微导管推入,剂量为厘米数 × 0.2 ml/cm肿瘤直径,根据肿瘤血供适当增减。最后用明胶海绵颗粒栓塞,直至供血动脉血流缓慢停止,行股动脉近端插管结扎处理切口,见图2

(a) 为TAE术中肿瘤供血肝动脉分支较多且走行紊乱,血管推移呈“抱球征”;(b) 为TAE术后复查造影,显示肿瘤供血动脉血流中断,血管闭塞;(c) 为TAE术后平片,见肿瘤区有碘油沉积。

Figure 2. DSA examination of rabbit VX2 liver cancer animal model after TAE surgery

2. 兔VX2肝癌动物模型TAE术后DSA检查

2.2.5. 组织取材及处理

将各组实验兔处死并解剖取出完整的肝组织,于肿瘤边缘2 cm以外分离出癌旁肝组织,制作切片厚约2 mm,冷却过夜12 h后,放置−80℃冰箱保存备用。

2.2.6. 免疫组化检测各组癌旁肝组织PPAR-α、NF-κB的表达

将3组癌旁组织用石蜡包埋成蜡块,将蜡块冷藏预处理后制作切片,后先在30%乙醇溶液中漂片,后于48℃温水摊片,捞片后置于62℃恒温烘箱中烤片1 h。

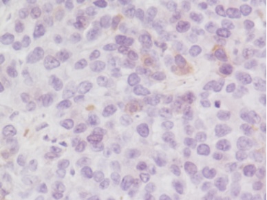
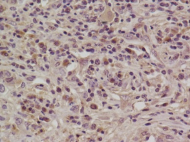
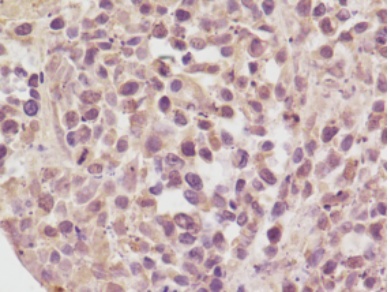
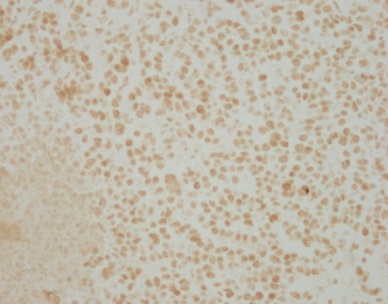
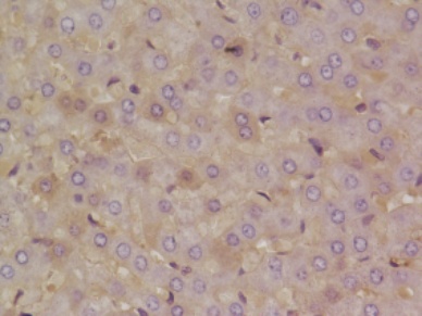
结果评估采取2名病理医师“双盲法”独立完成并取平均值,具体流程如下:每张组织切片在400倍显微镜下随机选取10个非重叠视野,从“阳性细胞占比”和“阳性信号显色强度”两个维度进行综合赋分,再将两项分值相加作为最终判定依据。阳性细胞占比评分标准:阳性比例 < 5%为0分,5%~25%为1分,25%~50%为2分,>50%为3分;阳性信号强度评分标准:细胞无染色为0分,淡黄色为1分,黄棕色为2分,深棕色为3分;将两者评分之和作为最终结果:<2分为阴性,2~3分为弱阳性,4~5分为阳性,6~7分为强阳性[10],见图3图4

深染位于细胞核:① 阴性;② 弱阳性;③ 阳性;④ 强阳性。

Figure 3. PPAR-α immunohistochemical signal intensity map

3. PPAR-α免疫组化信号强度图

深染位于细胞核:① 阴性;② 弱阳性;③ 阳性;④ 强阳性。

Figure 4. NF-κB immunohistochemical signal intensity map

4. NF-κB免疫组化信号强度图

2.2.7. 生物酶学法检测癌旁肝组织中SOD、CAT表达

肝组织匀浆制备后离心取上清液,采用BCA法测定蛋白浓度。SOD活性采用黄嘌呤氧化酶法检测,加入样品后于550 nm记录3分钟吸光度变化,计算抑制率并与标准品比较定量。CAT活性采用紫外分光光度法检测,加入样品后于240 nm记录1~2分钟吸光度变化,利用H2O2摩尔消光系数39.4 mM1·cm1计算活性。

2.2.8. RT-qPCR检测癌旁肝组织中PPAR-α、NF-κB、SOD1、SOD2、SOD3基因mRNA表达情况

利用Tripure法提取各组癌旁组织匀浆中高纯度的总mRNA,利用此mRNA作为模板逆转录为cDNA。通过RT-qPCR法对cDNA中目的基因进行定量,严格按照试剂盒说明书分析mRNA相对表达量。引物序列如下:

PPAR-α引物序列:正向5’-CAGATGGCTCCGTGATCACAG-3’,反向 5’-ACCAGCTTTAGCCGAATCGTTC-3’;

NF-κB引物序列:正向5’-ACTTCCTGGCG-CATCTAGTG-3’,反向3’-CATGTCCTTGGGTCCAGCAT-5’;

Rb-SOD1引物序列:正向5’-CACCATCCAC-TTCGAGCAGA-3’,反向 3’-GTCACATTACCCAGGTCGCC-5’;

Rb-SOD2引物序列:正向5’-TGGACAAACCT-GAGCCCTAAC-3’,反向3’-TCACTTTCTGCAGGCCAAGT-5’;

Rb-SOD3引物序列:正向5’-CAGACACGGT-GGAGCAGATC-3’,反向3’-AAGACTACCAAGCCGCTGAC-5’。

2.3. 统计学分析

数据分析采用SPSS25.0,制图采用GraphPad Prism 8.0。计量资料以均数 ± 标准差表示,采用两个独立样本t检验和方差分析进行统计分析。计数资料以百分率表示,行χ2检验,以α = 0.05为检验水准,当P < 0.05时,差异具有统计学意义。

3. 结果

3.1. 人群研究结果

TAE术治疗后3天、7天、30天复查肝功能与术前相比,均发现ALT、AST升高,差异显著(P < 0.05),术后7天肝功能各指标较术后3天显著改善,一个月后复查肝功能与术前比较,各指标均无显著性差异(P > 0.05) (见表1)。即表明肝癌患者行TAE术后3天肝功能较术前受损严重,而术后7天、术后30 d与3天比较,肝功能有所恢复。

Table 1. Changes in laboratory indicators of liver function in patients before and at different time points after TAE ( x ¯ ±s )

1. 患者TAE术前与术后不同时期肝功能实验室指标变化( x ¯ ±s )

观测指标

ALT (U/L)

AST (U/L)

治疗前

53.07 ± 11.05#

76.37 ± 16.08#

术后3d

83.89 ± 21.24*

117.37 ± 27.40*

术后7d

63.59 ± 21.35*#

86.37 ± 27.53*#

术后30d

57.89 ± 24.24#

87.52 ± 30.40#

注:与治疗前肝功能各指标相比,*P < 0.05;与术后3天肝功能各指标相比,#P < 0.05。

3.2. 免疫组化检测各组癌旁肝组织PPAR-α、NF-κB蛋白的表达情况

通过肝脏PPAR-α、NF-κB免疫组化结果,我们发现美洲大蠊提取物组与对照组、TAE组比较,PPAR-α阳性率明显升高(P < 0.01);TAE组与对照组、美洲大蠊提取物组比较,NF-κB阳性率明显升高,差异均有统计学意义(P < 0.01),见表2

Table 2. Comparison of PPAR-α and NF-κB expression in peritumoral liver tissue

2. PPAR-α、NF-κB在癌旁肝组织内的表达比较

蛋白

对照组(n = 12)

TAE组(n = 12)

美洲大蠊提取物组(n = 12)

PPAR-α

-

6

8

2

+

1

0

1

++

2

1

3

+++

1

1

2

阳性率

34%*

17%

50%*

NF-κB

-

11

3

9

+

1

1

1

++

0

5

1

+++

0

3

0

阳性率

8%

75%#

17%*

注:*与TAE组比较,P < 0.05,#与对照组比较P < 0.05。

3.3. 生物酶学法检测癌旁肝组织中SOD、CAT表达

TAE组的SOD和CAT癌旁肝组织中的活力或含量较对照组降低(P < 0.05);美洲大蠊提取物组的SOD和CAT在癌旁肝组织中的活力或含量较TAE组升高(P < 0.05),均有统计学意义。美洲大蠊提取物组的SOD和CAT在癌旁肝组织中的活力或含量较对照组无差异P > 0.05,没有统计学意义(见表3)。以上指标提示肝组织发生氧化应激反应,说明TAE术后肝组织会引起氧化应激,而美洲大廉具有对抗氧化应激的作用。

Table 3. Comparison of SOD and CAT measurement values among groups ( x ¯ ±s , n = 3)

3. 各组SOD、CAT测定值的比较( x ¯ ±s , n = 3)

组别

SOD (U/mgprot)

CAT (U/mgprot)

对照组

22.48 ± 2.04

1.55 ± 0.19

TAE组

21.81 ± 0.11#

1.15 ± 0.25#

美洲大蠊提取物组

25.81 ± 0.23*

3.09 ± 0.57*

表3#与对照组比较:P < 0.05;*与TAE型组比较,P < 0.05。

3.4. 各组癌旁肝脏组织mRNA表达

与对照组比较:TAE组的癌旁肝组织中NF-κB mRNA的表达量升高、SOD1、SOD2、SOD3 mRNA的表达量降低,差异有统计学意义(P < 0.05)。与TAE组比较:美洲大蠊提取物组的NF-κB mRNA的表达量降低、SOD1、SOD2、SOD3 mRNA的表达量升高,差异有统计学意义(P < 0.05) (见图5)。

(a) 各组癌旁肝脏组织NF-κB的mRNA的表达

(b) 各组癌旁肝脏组织PPAR-α的mRNA的表达 (c) 各组癌旁肝脏组织SOD1的mRNA的表达

(d) 各组癌旁肝脏组织SOD2的mRNA的表达 (e) 各组癌旁肝脏组织SOD3的mRNA的表达

注:#与对照组比较:P < 0.05;*与TAE组比较:P < 0.05。

Figure 5. Expression levels of NF-κB、SOD1、SOD2、and SOD3 mRNA in adjacent liver tissues of each group

5. 各组癌旁肝脏组织NF-κB、SOD1、SOD2、SOD3的mRNA的表达水平

4. 讨论

TAE术是对于不能接受手术治疗的肝癌患者最佳的治疗方式,能明显延长患者的生存期[11]。可即便TAE有不错的抗肿瘤疗效,但TAE术后导致的肝功能下降对预后影响很大,主要表现在癌旁肝组织的氧化应激反应和炎症反应。有资料显示,肝癌TAE后因主要并发症而死亡的死亡率为16.7%,其中肝功能障碍是并发症之一[12]。由于TAE术后会导致肝脏内的ROS的产生并抑制过量ROS产生的抗氧化防御系统,从而导致肝脏中的氧化应激[13]。过量的ROS与生物大分子、蛋白质和DNA发生反应,导致肝细胞损伤[14]。SOD、CAT等机体抗氧化防御系统,主要为酶促抗氧化系统。其通过多种方式和途径,组织细胞的各项生理功能,清除体内过多的自由基,维持机体ROS和抗氧化体系之间动态平衡[15]。抗氧化酶基因的表达下调,肝脏处于缺氧状态。SOD、GSH和维生素A、C、E等人体内抗氧化反应物质,可以清除自由基,维持细胞不受自由基损害。当自由基产生超过肝脏内抗氧化物质的清除能力时,自由基掠夺了肝细胞DNA和蛋白质的电子,肝细胞的细胞膜和线粒体发生过氧化损伤,最终导致肝细胞损伤。研究发现,CⅡ-3具有增强抗肿瘤作用,可改善机体造血功能,提高机体免疫能力,同时可减轻药物治疗引起的肝损伤,起到增效减毒的作用[16]

本实验研究中,在人群研究上,我们发现肝癌患者进行TAE术后3天肝功能出现受损的表现(P < 0.05)。在建模成功的动物模型上,TAE术后的兔子(TAE组)肝脏组织中NF-κB水平升高,PPAR-α水平降低、生化法检测的SOD和CAT指标降低;肝脏组织中的NF-κB、mRNA的表达升高,而PPAR-α、SOD1、SOD2、SOD3的mRNA表达降低。而使用美洲大蠊提取物处理后的兔子,上述指标较TAE组减轻。由此得出美洲大蠊提取物可以降低肝脏组织内氧化应激的因子,增加肝脏组织SOD、CAT这些抗氧化应激指标的表达。此外,ROS增强了MAPK/NF-κB通路的激活[17]。这与我们的研究结果一致,我们的实验研究中发现,TAE术后肝脏组织内NF-κB的表达增强,而使用美洲大蠊提取物处理后的肝脏组织中的NF-κB水平降低,说明美洲大蠊提取物可能是通过NF-κB来降低TAE术后肝脏的损伤作用的。同时美洲大蠊提取物还增强了肝脏组织中抗氧化应激的能力,肝脏组织中SOD、CAT指标较TAE术后的增高。

5. 结论

总之,美洲大蠊提取物可通过提高抗氧化应激因子SOD、CAT水平从而改善肝癌TAE术后癌旁肝组织因缺血缺氧导致的氧化应激反应,减轻TAE术后肝损伤,提高TACE疗效。而对于美洲大蠊提取物SOD、CAT因子的分子生物学机制仍需进一步研究。

基金项目

2025年云南省教育厅科学研究基金项目(2025Y1155);云南省地方本科高校基础研究联合专项资金项目(202101BA070001-128);大理大学第一附属医院第二批学科建设项目(DFYXK2023019)。

NOTES

*通讯作者。

参考文献

[1] Yang, B., Li, Z., Gao, Y., Yang, Y. and Zhao, W. (2017) Image Quality Evaluation for CARE KV Technique Combined with Iterative Reconstruction for Chest Computed Tomography Scanning. Medicine, 96, e6175. [Google Scholar] [CrossRef] [PubMed]
[2] 杨斌, 李正亮. ADMIRE重建在双能量CT诊断颈部淋巴结病变中对图像质量的影响[J]. 昆明医科大学学报, 2019, 40(7): 126-131.
[3] 李正亮, 杜伟. 西门子双源CT在冠心病诊断中的临床应用价值[J]. 医药卫生, 2021, 3(6): 48-49.
[4] 李正亮, 杜伟. 我国高等医学院校开放医学影像网络数字实习室的现状及对策研究[J]. 西北医学教育杂志, 2014, 22(1): 37-50.
[5] Sinha, K., Das, J., Pal, P.B. and Sil, P.C. (2013) Oxidative Stress: The Mitochondria-Dependent and Mitochondria-Independent Pathways of Apoptosis. Archives of Toxicology, 87, 1157-1180. [Google Scholar] [CrossRef] [PubMed]
[6] Lu, S.C. (2008) Antioxidants in the Treatment of Chronic Liver Diseases: Why Is the Efficacy Evidence So Weak in Humans? Hepatology, 48, 1359-1361. [Google Scholar] [CrossRef] [PubMed]
[7] 熊文翠, 杜伟, 李正亮, 等. 匹立尼酸对肝癌经导管动脉栓塞术后癌旁肝组织炎症及肿瘤血管生成的作用[J]. 医学研究生学报, 2022, 35(1): 6-11.
[8] 杨培鈺, 杜伟, 李正亮, 等. 匹立尼酸对肝癌经导管动脉栓塞术后癌旁肝组织氧化应激和细胞凋亡的作用[J]. 实用医学杂志, 2021, 37(13): 1660-1665.
[9] 张靓, 王光明, 潘云, 等. 实验动物肝癌模型的建立[J]. 医学理论与实践, 2013, 26(16): 2128-2130.
[10] 范馨予, 杜伟, 李正亮, 等. 匹立尼酸对肝癌TAE术后癌旁肝组织过氧化物酶体增殖物激活受体-α、核因子-κB和基质金属蛋白酶-9表达的影响[J]. 介入放射学杂志, 2020, 29(11): 1110-1115.
[11] Zhu, R., Wang, Y., Zhang, L. and Guo, Q. (2012) Oxidative Stress and Liver Disease. Hepatology Research, 42, 741-749. [Google Scholar] [CrossRef] [PubMed]
[12] Muriel, P. (2009) Role of Free Radicals in Liver Diseases. Hepatology International, 3, 526-536. [Google Scholar] [CrossRef] [PubMed]
[13] Abd Ellah, M.R. (2011) The Role of Liver Biopsy in Detection of Hepatic Oxidative Stress. Veterinary Medicine International, 2011, Article ID: 613602. [Google Scholar] [CrossRef] [PubMed]
[14] Ribero, D., Abdalla, E.K., Madoff, D.C., Donadon, M., Loyer, E.M. and Vauthey, J. (2007) Portal Vein Embolization before Major Hepatectomy and Its Effects on Regeneration, Resectability and Outcome. British Journal of Surgery, 94, 1386-1394. [Google Scholar] [CrossRef] [PubMed]
[15] Kodama, Y., Shimizu, T., Endo, H., Miyamoto, N. and Miyasaka, K. (2002) Complications of Percutaneous Transhepatic Portal Vein Embolization. Journal of Vascular and Interventional Radiology, 13, 1233-1237. [Google Scholar] [CrossRef] [PubMed]
[16] 何志国, 张建生, 王伟伟, 等. 美沙拉嗪联合康复新液治疗溃疡性结肠炎的临床研究[J]. 中国临床药理学杂志, 2019, 35(22): 2808-2811.
[17] Luedde, T., Kaplowitz, N. and Schwabe, R.F. (2014) Cell Death and Cell Death Responses in Liver Disease: Mechanisms and Clinical Relevance. Gastroenterology, 147, 765-783.e4. [Google Scholar] [CrossRef] [PubMed]