杠板归提取物对小鼠急性肺损伤的作用
Therapeutic Effects of Extract from Persicaria Perfoliata on Acute Lung Injury in Mice
DOI: 10.12677/acm.2026.161326, PDF, HTML, XML,    科研立项经费支持
作者: 李 曦, 李立成, 王佳旺, 涂 科, 沙雨菡, 方 敏*:长沙医学院药学院,湖南 长沙
关键词: 杠板归IL-6急性肺损伤Persicaria Perfoliata IL-6 Acute Lung Injury
摘要: 探讨杠板归提取物对脂多糖(LPS)诱导的急性肺损伤(ALI)小鼠模型的抗炎作用。实验设置空白组、LPS组(5 g/kg)、LPS (5 g/kg) + 杠板归组(20 g/(kg·d))。在LPS干预之前,给予杠板归提取物干预小鼠7天,随后,采用LPS构建ALI小鼠模型。LPS干预12小时后,处死小鼠,获取小鼠肺组织及血清,通过HE染色观察肺组织病理变化,ELISA法检测血清中IL-6炎症因子水平。我们的结果显示,与LPS组相比,杠板归提取物组小鼠肺组织病理损伤减轻,血清中IL-6炎症因子水平显著降低(P < 0.05)。因此,我们的研究表明,杠板归提取物能够缓解ALI病理损伤,减轻肺部炎症反应。
Abstract: To Explore the anti-inflammatory effect of persicaria perfoliata extract on lipopolysaccharide (LPS)-Induced acute lung injury (ALI) in a mouse model, the experimental groups included a blank control group, an LPS group (5 g/kg), and an LPS (5 g/kg) + persicaria perfoliata extract group (20 g/(kg·d)). Before LPS administration, the mice were pretreated with persicaria perfoliata extract for 7 days, followed by the induction of ALI using LPS. Twelve hours after LPS intervention, the mice were euthanized, and lung tissues and serum were collected. Pathological changes in lung tissue were observed via HE staining, and serum IL-6 levels were measured using ELISA. Our results showed that compared with the LPS group, the general condition of the mice in the persicaria perfoliata extract group improved, pathological lung injury was alleviated, and serum IL-6 levels were significantly reduced (P < 0.05). Therefore, our study demonstrates that persicaria perfoliata extract can mitigate pathological damage in ALI and reduce pulmonary inflammatory responses.
文章引用:李曦, 李立成, 王佳旺, 涂科, 沙雨菡, 方敏. 杠板归提取物对小鼠急性肺损伤的作用[J]. 临床医学进展, 2026, 16(1): 2656-2662. https://doi.org/10.12677/acm.2026.161326

1. 引言

急性肺损伤(Acute Lung Injury, ALI)是一种由感染、创伤等多种致病因素触发的临床综合征,其核心病理环节在于肺部失控的炎症反应[1]。该疾病在临床上主要表现为急性、进行性的呼吸窘迫与顽固性低氧血症,其直接病理基础是肺泡上皮细胞与毛细血管内皮的广泛损伤,导致肺泡–毛细血管屏障被破坏,引发肺水肿和气体交换功能严重障碍[2]。在发病机制上,ALI涉及多个相互交织的生物学过程:一方面,氧化应激被异常激活,导致细胞内活性氧(ROS)大量生成,直接攻击脂质、蛋白质等细胞结构,加剧组织损伤;另一方面,机体出现促炎与抗炎反应的严重失衡,大量炎性细胞(如中性粒细胞)在肺组织中浸润与活化,释放肿瘤坏死因子-α (TNF-α)、白介素-1β (IL-1β)等炎性介质,形成自我放大的“炎症风暴”。这些过程相互促进,共同推动肺组织损伤的恶性循环,最终表现为典型临床综合征[3]

杠板归是中医临床常用药材,其物质基础主要包括黄酮、醌、萜、甾体、苯丙素以及挥发性成分等多种结构类型的化合物[4]。现代研究认为,正是这些多样化的活性成分共同作用,体现了中药多组分、多靶点的特点,从而赋予其清热解毒、利水消肿和镇咳等传统药用价值[5]。黄酮类化合物的抗炎活性主要体现在其对炎症过程的直接抑制与间接调节两方面。一方面,它能够直接抑制促炎因子的释放并调节免疫细胞的活性;另一方面,通过增强血管壁完整性、改善血管通透性以及调节脂质代谢以降低血脂和胆固醇水平,间接发挥抗炎效应[6]。现代药理学研究已系统揭示,杠板归提取物展现出多方面的核心药理活性,包括肝保护、镇咳、抗炎、抗氧化、抗肿瘤及抗菌等[7]。这些广泛的生物活性凸显了其显著的临床转化潜力,提示其在药物研发领域具有重要的探索价值与良好的应用前景。

根据研究,杠板归对于治疗炎症以及急性肝损伤方面的疾病具有显著的治疗效果[8],我们由此推测杠板归可能可以用于治疗急性肺损伤,然而,目前缺乏杠板归对于急性肺损伤的抗炎作用的研究。本项目将采用脂多糖(LPS)构建ALI小鼠模型研究杠板归提取物对ALI的抗炎作用。

2. 材料与方法

2.1. 实验动物

本实验选用SPF级km雄性小鼠15只,体重范围为20至25克。所有小鼠均由长沙医学院SPF实验动物中心提供,并于该院实验动物中心内进行饲养,饲养期间所用饲料均由中心统一供给。

2.2. 实验试剂

本实验主要试剂见表1

Table 1. Principal reagents

1. 主要试剂

名称

公司

苏木精染液

普拉特泽生物科技有限公司

伊红染液

普拉特泽生物科技有限公司

盐酸酒精分化液

广东润鹏生物科技有限公司

氨水或返蓝液

深圳马泷齿科技术有限公司

二甲苯

普拉特泽生物科技有限公司

杠板归

杰馨生物科技有限公司

乙醚

长沙医学院实验楼提供

小鼠白介素6 (IL-6) ELISA试剂

吉利德生物科技有限公司

2.3. 实验仪器

本实验主要仪器见表2

Table 2. Principal instruments

2. 主要仪器

实验仪器

产地

1BX41显微镜

奥林巴斯

电子天平

长沙医学院实验楼提供

移液枪

长沙医学院生命科学楼提供

差速离心机

长沙高新开发区湘仪贝克仪器仪表有限公司

解剖台

长沙医学院形态楼提供

体温维持箱

江苏金坛市金城国胜实验仪器厂

石蜡切片机

湖南艾特捷生物科技有限公司

酶标仪

瑞孚迪生物医学有限公司

3. 实验方法

3.1. 溶液的配制

取干燥的杠板归全草500 g为一批次投料,采用70%乙醇水溶液为提取溶剂,该浓度兼顾极性与非极性成分的溶出,对黄酮类、酚酸类等有效成分提取效果较好。操作时,将药材置于圆底烧瓶中,按料液比1:8~1:10 (g/mL)加入70%乙醇,连接冷凝装置,水浴加热至微沸,保持回流状态提取。共提取两次,每次1.5~2小时。每次提取结束后趁热用布氏漏斗(内衬棉花)过滤,合并两次提取液,以除去药渣及不溶性杂质。合并滤液后浓缩乙醇得到稠浸膏。将稠浸膏转移至已恒重的烧杯中,置干燥箱中干燥,得到干浸膏。使用时用热水溶解,具体剂量参照设计配量确定。

3.2. 构建动物模型及其处理

15只小鼠经过1周的适应性喂养后,把小鼠随机分为3组,每组5只,分别为:空白组、LPS组、LPS + 杠板归组。空白组和LPS组小鼠灌胃给予0.9%的生理盐水各1 ml;LPS + 杠板归组小鼠给予热水溶解的杠板归溶液,根据小鼠体重给予剂量(20 g/(kg·d)),1次/d。给药后观察小鼠状态。第8天给予LPS组以及LPS + 杠板归组小鼠LPS 5 g/kg,给药12小时后对小鼠进行麻醉后处死,收集小鼠血液和小鼠肺组织进行后续实验。

3.3. HE染色

小鼠右肺经多聚甲醛固定,常规脱水后石蜡包埋、切片。采用二甲苯脱蜡及梯度酒精复水,苏木精染色、冲洗、伊红染色,梯度乙醇、二甲苯Ⅰ和二甲苯Ⅱ脱水透明,中性树胶封片。使用光学显微镜观察并记录肺组织形态的病理变化。

3.4. ELISA

使用ELISA试剂盒按说明书检测小鼠血清中的IL-6水平。

3.5. 数据统计

所有数据以平均值 ± 标准差(SD)表示,基于五次独立重复实验。使用GraphPad Prism 9.0进行统计分析。三组之间的统计分析比较采用单因素方差分析(ANOVA),随后进行Tukey’s多重比较检验。P值小于0.05被认为具有统计学显著差异。

4. 结果

4.1. 每组小鼠的状态以及体重变化

实验过程中三组小鼠的毛色,食量均未明显变化,大小便均未异常,活动状态正常。实验前与实验后,三组小鼠之间体重无显著性差异。(见图1)

Figure 1. Changes in the weight of mice before and after the experiment

1. 实验前后小鼠体重变化

4.2. HE染色法观测小鼠肺组织炎症病理学变化表现

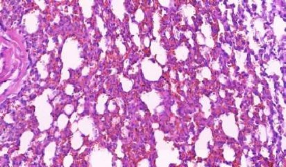
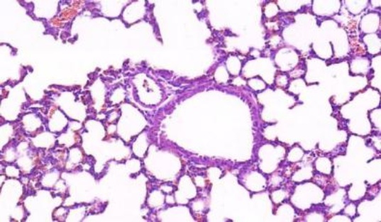
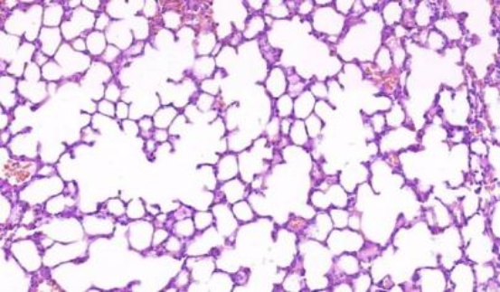
肺组织HE染色显示,空白组小鼠肺细胞结构完整,形态正常,无明显的变性和坏死,间质未见炎症细胞浸润,LPS组小鼠肺部细胞排列紊乱,肺泡内有大量红细胞,可判断其出现出血或充血现象,且有小面积的溶血现象,间质大量炎症细胞浸润,LPS + 杠板归组小鼠组肺细胞结构紊乱得以改善,但有少量的红细胞出现,间质中有少量炎症细胞浸润(见图2)。

空白组 LPS组 LPS + 杠板归组

Figure 2. HE-stained images of mouse lungs

2. 小鼠肺组织HE染色

4.3. ELISA检测小鼠血液中IL-6的水平

结果显示,LPS干预可明显提高血清中IL-6水平,而杠板归提取物可明显抑制LPS介导的IL-6水平的升高作用(见图3)。

Figure 3. The level of IL-6 in mouse blood

3. 小鼠血液IL-6水平

5. 讨论

本研究通过构建LPS诱导的ALI小鼠模型,首次评估了杠板归提取物对ALI的抗炎作用。我们的研究结果表明,为期7天的杠板归提取物预处理明显减轻了肺脏炎性细胞浸润等典型病理损伤,并显著降低了血清中关键促炎因子IL-6 (p < 0.05)的水平。这些发现表明,杠板归提取物对LPS诱导的ALI具有明确的抗炎与组织保护作用,为其在急性呼吸道炎症性疾病中的应用提供了重要的实验依据。

根据以前的文献报道,杠板归可在多种疾病中抑制炎症过程。例如,杠板归可减轻皮肤黏膜炎症,如湿疹、疱疹与咽喉肿痛[7],此外,杠板归可抑制呼吸道炎症,可缓解咳嗽、扁桃体炎等症状[9]针对外伤相关炎症,如外痔等,杠板归也体现出对炎症的抑制作用[10]。现代研究提示其黄酮类成分能抑制炎症通路[11]。目前,杠板归在ALI中的研究非常有限,本研究利用ALI小鼠模型探讨了杠板归提取物在ALI中的抗炎作用。

尽管本研究取得了积极结果,但仍存在若干局限值得深入探讨。首先,炎症因子研究指标相对单一,主要集中于IL-6和组织形态学变化。在未来的研究中,将增加更多的检测指标,如检测血清和BALF中多种细胞因子(TNF-α,IL-1β,IL-10等)、检测肺组织中髓过氧化物酶(MPO)活性、检测中性粒细胞浸润情况、测量肺湿/干重比以评估肺水肿、检测氧化应激指标(MDA, SOD)等,以更全面地评估杠板归提取物的效果并初步探讨其作用机制。此外,我们的研究缺乏体外细胞实验证据的支持。而且,杠板归乙醇提取物是复杂的混合物,确定其起效的具体药效物质基础至关重要,应结合色谱分离等技术进行成分鉴定与验证。最后,本研究采用预防性给药方案,未能模拟临床治疗场景。评估LPS造模后给予杠板归的治疗效果,将对其临床转化价值具有更直接的参考意义。因此,后续工作将通过体内体外实验展开更深层次的研究。综上所述,杠板归提取物展现出良好的抗急性肺损伤潜力,是一项有价值的发现。通过更深入、系统的机制探索与成分鉴定,有望为开发杠板归成为防治ALI的候选药物或辅助制剂奠定坚实的科学基础。

声 明

本研究获得长沙医学院科技伦理审查委员会批准(审批号:D2024039)。

基金项目

2024年长沙医学院大学生创新创业训练计划项目《杠板归提取物对小鼠急性肺损伤的治疗》(长医学[2024] 34号-129)。

NOTES

*通讯作者。

参考文献

[1] 杨青萍. 锌稳态失衡介导TREM-1炎症放大导致急性肺损伤的作用研究[D]: [硕士学位论文]. 百色: 右江民族医学院, 2025.
[2] 王永燕. 血必净注射液治疗脓毒症急性肺损伤小鼠的作用及机制探索[D]: [硕士学位论文]. 南京: 南京中医药大学, 2025.
[3] 徐保转. 通过TLR4/NF-κB信号通路探讨败毒承气汤治疗脓毒症急性肺损伤的机制研究[D]: [硕士学位论文]. 南宁: 广西中医药大学, 2025.
[4] 成焕波. 杠板归化学成分的研究[D]: [硕士学位论文]. 武汉: 湖北中医药大学, 2012.
https://kns.cnki.net/kcms2/article/abstract?v=UsPV4INcYzg4C2IUgUdHvnGA4gsfZJJpJUfGa6SZMHpTyf_91h764ed 1XeUR-VhSgBlHjfjWLEBVBln4r8WH8sJqo9_Zd-4RzB49RSDVwcT3jeWeXhXFQlXozqi1n6wGGmOExDuG4itTWU22zgHZ KGNNtfpCoG4YirUAz2chZcPqVhUTaRfTO2xSSXk_DxN4&uniplatf orm=NZKPT&language=CHS, 2025-12-12.
[5] 张荣林. 杠板归的化学成分研究[D]: [硕士学位论文]. 沈阳: 沈阳药科大学, 2007.
https://kns.cnki.net/kcms2/article/abstract?v=UsPV4INcYzhqTpOSb4bssqZ3bE6OxEvrAgqiCqwI44E8lTn2UReBAp DD1aFdwPoIc7PI4xHTIxnJDFRWFVuhSnJEZVCa7OJUQpvx-0jcpB7CX4k1OJvlVTPkGfWOGI_lhOoeDH8xyNVH1ZvonZjUtGKL R67ttg6nbyF3STiVPIxCxxq_p0nUF-7h7uKgK5yE&uniplatform=NZKPT&language=CHS, 2025-12-12.
[6] 徐进. 杠板归的化学成分及其生物活性研究[D]: [硕士学位论文]. 杭州: 浙江工商大学, 2010.
https://kns.cnki.net/kcms2/article/abstract?v=UsPV4INcYziXjiGaG4ad9wnoEccHLwQYmqT2iVZWRZvEjKlSavWt h6dPtqxOLwlHO9lITu2QqwVDdvwGyx7pycvrffJipLju03Dw_TM9A 6HCTf0rBmlLCEefQ1A3JrpdEXoft7MVn1_MS-WlwZE-UKeNZs14NBQZorewJ5IzlQCdPEZ04tMqTF5i3zA0J0m1&uniplatf orm=NZKPT&language=CHS, 2025-12-12.
[7] 孟琪峰. 基于网络药理学和Meta分析的火针联合杠板归湿敷治疗急性期带状疱疹的临床研究[D]: [硕士学位论文]. 天津: 天津中医药大学, 2024.
[8] 彭蕾. 杠板归抗化学性肝损伤药效学过程评价及作用机制研究[D]: [硕士学位论文]. 贵阳: 贵州师范大学, 2021.
[9] 王遥, 廖尚辉, 栗昀, 赖艳妮, 徐培平. 杠板归对流感病毒感染鼠的防护作用研究[J]. 新中医, 2017, 49(11): 1-5.
[10] 叶好好, 邵莉芸, 朱智宇. 中药熏洗及杠板归膏外敷护理对痔疮术后水肿疼痛中的价值分析[J]. 黑龙江中医药, 2023, 52(4): 159-161.
[11] 侯佳俊, 王朵隆, 刘寿柏. 响应面法优化雷公笋总黄酮提取工艺及其抗氧化和抗炎活性研究[J]. 化学与生物工程, 2025: 1-8.