直接前方入路髋关节置换治疗老年股骨转子间骨折
Direct Anterior Approach Hip Arthroplasty for Intertrochanteric Fractures in the Elderly
DOI: 10.12677/acm.2026.161333, PDF, HTML, XML,   
作者: 张 洋, 朱天信, 张文远, 朱恒杰:扬州洪泉医院骨科,江苏 扬州;黎品泉, 黎观保*:玉林市中西医结合骨科医院髋关节一科,广西 玉林
关键词: 直接前方入路前路髋关节置换股骨转子间骨折Direct Anterior Approach Anterior Approach Hip Replacement Intertrochanteric Fractures
摘要: 目的:探讨直接前方入路髋关节置换治疗老年股骨转子间骨折的疗效。方法:采用直接前方入路髋关节置换治疗10例老年股骨转子间骨折患者。记录手术的持续时间、切口的长度、出血量、术后引流量及并发症的发生情况,病例均采用Harris髋关节功能评分标准进行疗效评估。结果:患者的随访时间为2至9个月。切口长度在10至15厘米之间,手术时间介于1.5至3.5 h,术中出血量则为200至800毫升,引流量130至500毫升。无围手术期死亡,术后首次负重时间为6至20天。术后无术区浅深部感染、股外侧皮神经损伤、关节畸形、假体松动以及关节脱位等并发症的发生情况。在最后一次随访中,髋关节Harris评分介于75至94分之间,其中优良评估为7例,中等评估为3例,优良率7/10。结论:直接前方入路髋关节置换治疗老年股骨转子间骨折,该方法具有创伤小、并发症发生率低的优点,并且能够迅速促进髋关节功能的恢复。
Abstract: Objective: This paper aims to evaluate the efficacy of direct anterior approach hip arthroplasty in treating intertrochanteric fractures in elderly patients. Methods: Ten elderly patients with intertrochanteric fractures were treated with direct anterior approach hip arthroplasty. The duration of surgery, incision length, blood loss, postoperative drainage volume, and incidence of complications were recorded. All cases were assessed for efficacy using the Harris Hip Function Score. Results: The follow-up period for patients ranged from 2 to 9 months. The incision length was between 10 and 15 cm, with operative duration ranging from 1.5 to 3.5 hours. Intraoperative blood loss ranged from 200 to 800 mL, and drainage volume ranged from 130 to 500 mL. No perioperative mortality was observed, and the first postoperative weight-bearing time was 6 to 20 days. No complications such as superficial or deep wound infections, lateral femoral cutaneous nerve injury, joint deformity, prosthesis loosening, or joint dislocation occurred postoperatively. In the final follow-up, the Harris score of the hip joint ranged from 75 to 94 points, with 7 cases rated as excellent and 3 as moderate, yielding an excellent rate of 7/10. Conclusion: The direct anterior approach for hip arthroplasty in the treatment of intertrochanteric fractures in elderly patients offers the advantages of minimal trauma, low complication rate, and rapid promotion of hip joint function recovery.
文章引用:张洋, 朱天信, 张文远, 朱恒杰, 黎品泉, 黎观保. 直接前方入路髋关节置换治疗老年股骨转子间骨折[J]. 临床医学进展, 2026, 16(1): 2723-2733. https://doi.org/10.12677/acm.2026.161333

1. 引言

股骨转子间骨折属于老年人群中常见的一种骨折,一般由跌倒或者外力撞击造成,根据流行病学资料显示,全球范围内老年股骨转子间骨折的年发病率已经明显升高。骨折之后,患者的功能恢复、生活质量都会受到很大的影响,既给患者带来了心理、生理上的负担,也给社会医疗系统造成了巨大的经济压力。目前老年股骨转子间骨折的治疗以手术治疗为主,手术治疗方式有闭合复位髓内钉内固定术、切开复位钢板内固定术、髋关节置换术等。传统内固定手术术后不能很快下地活动,仍然需要卧床,同时伴随着卧床并发症的风险,在临床实践中受到广泛关注。髋关节置换术治疗老年股骨转子间骨折,因为其可以促进早期功能活动、降低卧床并发症的发生率,所以逐渐成为治疗老年股骨转子间不稳定性骨折的重要方法。

直接前方入路(DAA入路)髋关节置换术是新兴的微创手术,可以减少手术中肌肉的损伤,维持关节稳定,促进患者术后功能恢复,但目前文献中关于DAA入路在股骨转子间骨折治疗中的应用,特别是高龄患者的具体效果,尚缺乏系统的文献报道。采用回顾性分析的方法,对2025年2月至2025年11月在我院接受DAA入路髋关节置换术治疗的10例老年股骨转子间骨折患者临床资料进行收集和分析,评价DAA入路髋关节置换术在老年股骨转子间骨折治疗中的实用性和有效性,进一步为老年患者提供更加科学的治疗方案。

2. 材料与方法

2.1. 病例资料

本组10例,男5,女5,年龄70~87岁。左侧4例,右侧6例。9例为新鲜闭合股骨转子间骨折,1例为股骨转子间骨折PFNA术后不愈合。骨折的Evans分型结果显示:III型有2例,IV型有2例,V型有6例。造成这些骨折的原因包括:摔伤8例,车祸伤2例。伤后致手术时间3至9天。所有患者均排除手术禁忌证,经医院伦理委员会批准(批准号:2025HQ1209),所有患者均知情同意。

2.2. 术前准备

患者入院后予以监测生命体征,消肿、镇痛等补液对症支持治疗,完善相关血液学检查,视D-二聚体结果给予抗凝治疗,同时完善相关影像学检查,包括骨折部位及邻近关节X线、CT等,明确骨折类型及排除其他部位骨折情况、头颅CT/MRI排除脑出血或脑卒中、胸部CT评估肺功能,以及心脏及下肢血管彩超评估心功能及下肢血管有无血栓形成等,请相关专科进行MDT会诊,评估手术风险,调控内科基础疾病及全身情况,排除手术禁忌症,手术当日术前半小时给予预防性抗生素使用。

2.3. 手术方法

在麻醉成功实施后,患者被安置于平卧体位,随后对手术区域进行常规消毒,并铺设多种无菌巾单以确保手术区域的无菌性。经患侧髋关节前侧切口(髂前上棘外下方2 cm直切口8至15 cm),依次切开皮肤、浅深筋膜,缝匠肌、阔筋膜张肌间隙进入,结扎旋股外侧动脉分支,暴露髋关节前方关节囊,清理关节囊前方脂肪垫组织,关节囊行L型切开,显露头颈部及股骨粗隆间线,摆锯截骨、取头器取出股骨头,清理游离小碎骨片及髋臼内圆韧带,下肢内收外旋,抬起股骨近端,依次髓腔挫扩髓,打入合适型号股骨柄假体试模,安装双动股骨头试模,牵引、内旋复位,透视查看假体位置及下肢长短,屈髋屈膝90˚内外旋患肢及伸直位极度外旋患肢测试关节前后方稳定性,关节无脱位,牵拉间隙不超过5 mm至1 cm,安装股骨柄假体及双动股骨头,髓腔自体松质骨植骨填塞止血,大小转子视情况给予钢丝捆扎固定,冲洗手术野,修复关节囊,放置负压管一根引流,可吸收止血流体明胶止血,可吸收缝线逐层缝合至皮下,缝合皮肤、消毒术区,无菌辅料包扎覆盖,术毕。患者生命体征平稳,安返病房。

2.4. 术后处理

预防性抗生素使用1至3天,术后给予患肢膝下稍垫高,术区冷敷,术后氨甲环酸止血、非甾体抗炎药/曲马多镇痛等补液对症支持治疗,术后1至2天拔出引流管,具体视引流量,术后12至24小时应用抗凝药预防下肢深静脉血栓,术后6小时指导患者患肢肌肉泵功能活动,术后辅以促骨愈合及抗骨质疏松等治疗。

2.5. 观察指标及疗效评价

① 主要观察指标包括切口长度、手术持续时间、术中出血量、术后引流量、术后首次负重时间以及术后并发症的发生情况。② 采用Harris评分法对髋关节功能进行评估,以评价治疗效果。

3. 结果

对10例患者进行了随访2至9个月。切口长度10至15 cm,手术时间1.5至3.5小时,术中出血量200至800 ml,引流量130至500 ml。术中移动式DR透视:5例股骨大–小转子骨折轻度移位,其中2例为大转子轻度移位,3例为小转子轻度移位。捆扎钢丝内固定装置及假体的位置均良好,半髋双动球/全髋臼杯与髋臼适配度良好,股骨柄假体与髓腔的适配度也十分理想。下肢长短无明显差异。无围手术期死亡,术后首次负重时间为6至20天。术后无术区浅深部感染、股外侧皮神经损伤、关节畸形、假体松动以及关节脱位等并发症的发生情况。在最后一次随访中,髋关节的Harris评分范围为75至94分,其中优良评价的病例分别为3例、4例,中3例,优良率为7/10。

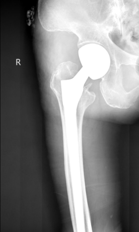
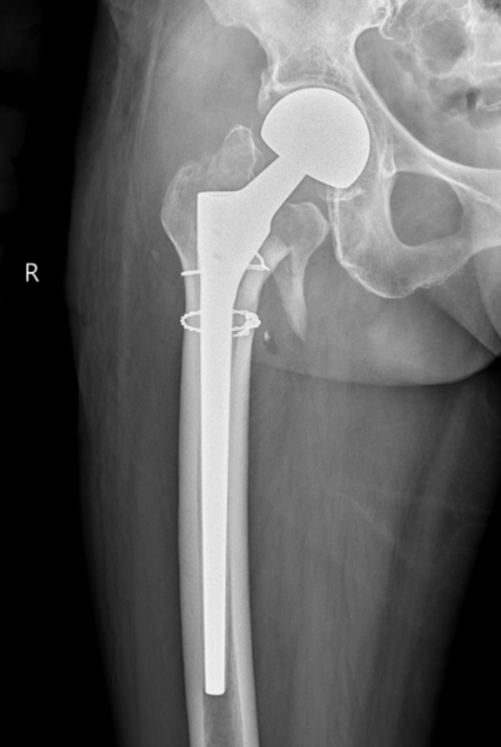
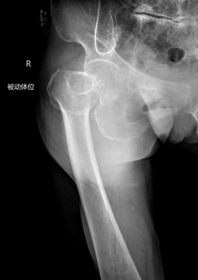
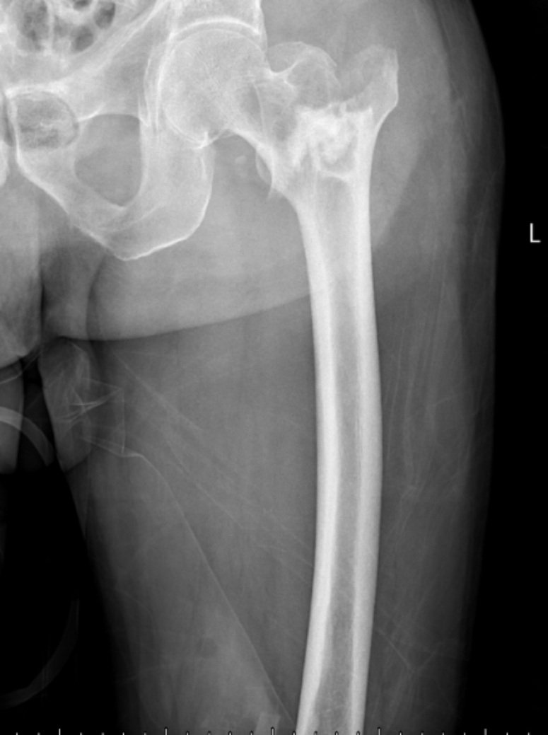
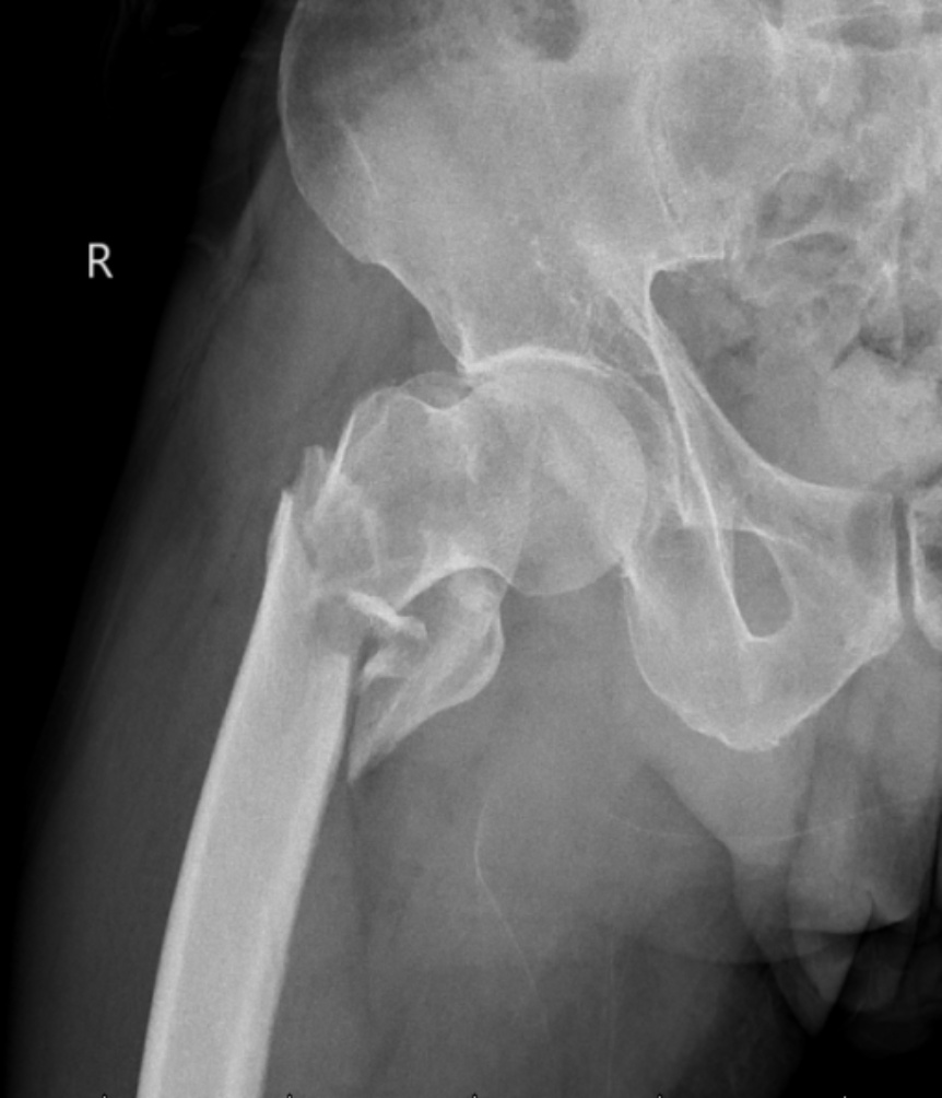
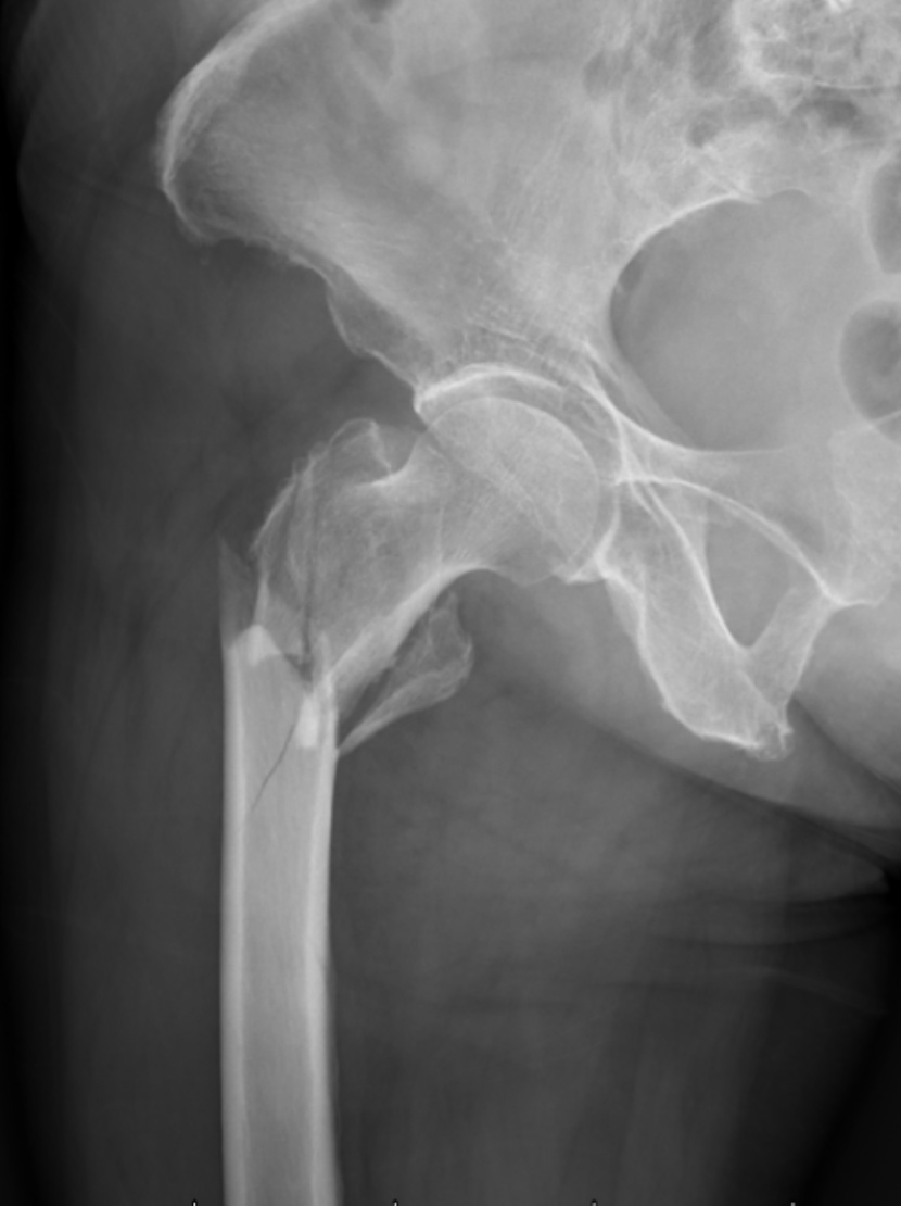
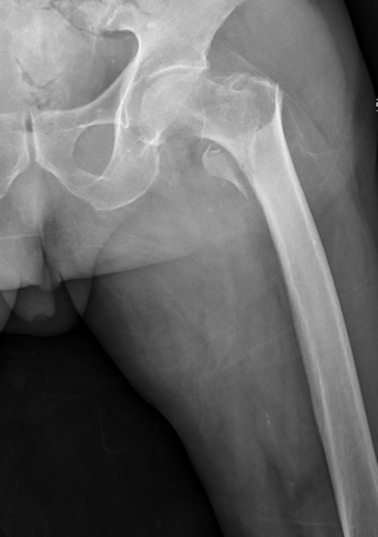
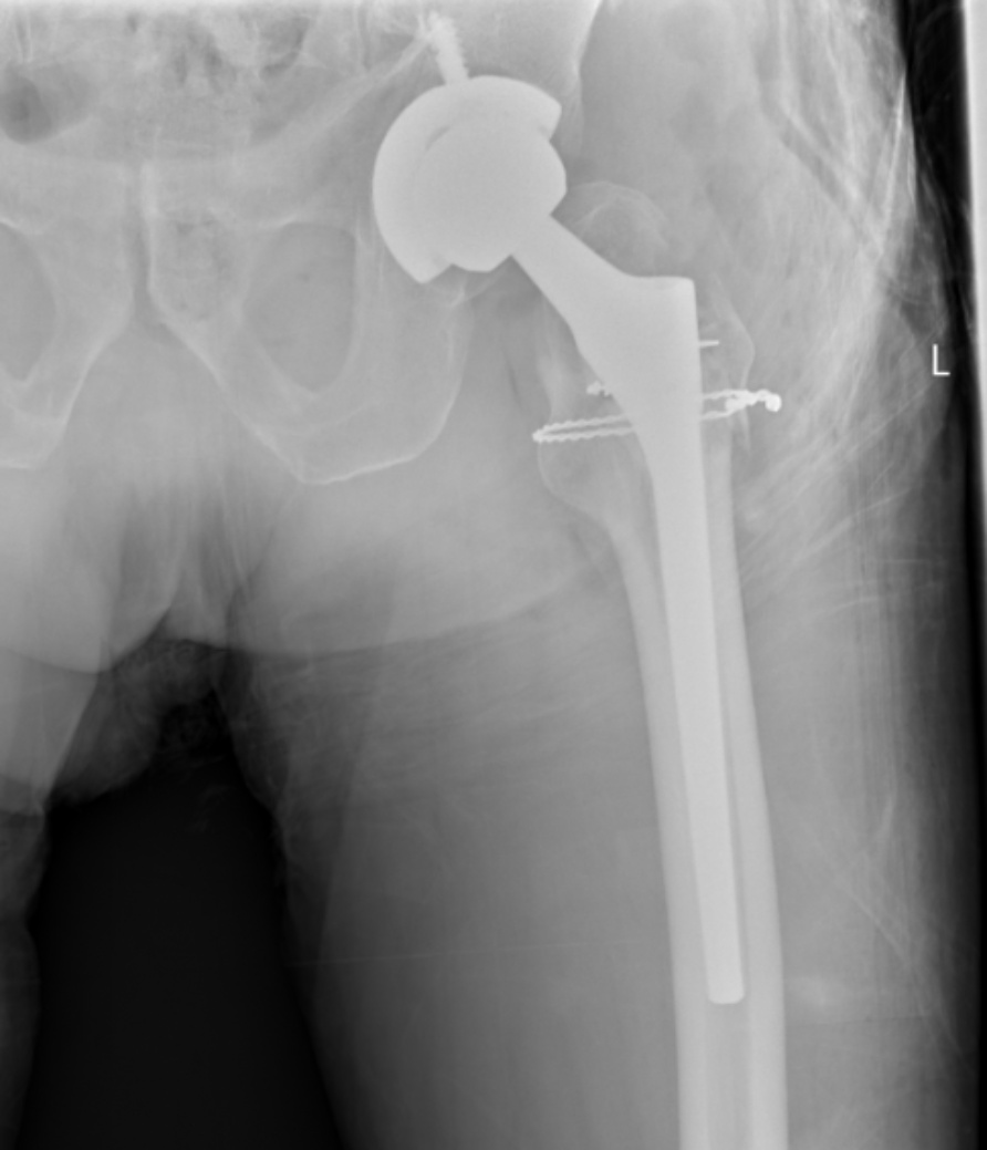
典型病例影像学表现见图1~10。图1为86岁女性右侧股骨转子间骨折(Evans Ⅲ型)患者,术前X线示骨折断端部分错位,术后X线示骨折位置可以及假体位置良好;图2显示了一名81岁男性患者,诊断为左侧股骨转子间骨折,类型为Evans V型,合并股骨干陈旧性骨折。患者接受了生物型加长柄半髋关节置换手术,并进行了股骨近端的钢丝捆扎内固定。术后X线示假体位置良好,股骨近端予钢丝捆扎固定;图3为87岁女性左侧股骨转子间骨折(Evans V型)患者,术后X线示假体位置良好,股骨大小转子骨折位置可,钢丝捆扎固定在位有效;图4为75岁女性左侧股骨转子间骨折(Evans V型)患者,术前X线示左侧股骨转子间骨折PFNA术后、骨折未愈合、内固定断裂。术后假体匹配良好,股骨近端钢丝内固定稳定可靠;图5为75岁男性左侧股骨转子间骨折(Evans IV型)患者,术后股骨大转子出现轻度位移,假体位置正常。图6为87岁男性左侧股骨转子间骨折(Evans V型)患者,给予DAA入路加长柄半髋关节置换,术前X线片,清晰地显示出左侧股骨转子间的骨折情况,术后X线影像,显示股骨的大小转子骨折位置良好,钢丝内固定装置在位稳定,假体位置良好;图7为77岁女性右侧股骨转子间骨折(Evans V型)患者,术前X线片显示右侧股骨转子间存在骨折且股骨大小转子均有累及和移位,术后X线片显示股骨小转子轻度移位,内固定装置位置稳定,假体位置良好;图8为70岁男性左侧股骨转子间骨折(Evans III型)患者,术前的X线片,清晰地显示了左侧股骨转子间的骨折情况,股骨近端髓腔钙化灶,术后假体位置满意;图9为77岁女性右侧股骨转子间骨折(Evans V型)患者,术前X线片,显示右侧股骨转子间及转子下部位骨折情况。术后假体匹配良好;图10为71岁男性右侧股骨颈骨折(Evans IV型)患者,术前X线片,显示右股骨转子间骨折的情况;术后X线表明股骨的大转子和小转子骨折位置保持良好,内固定装置稳固,术后假体位置正常。

(a) (b)

Figure 1. 86-year-old female patient with right intertrochanteric fracture of femur (Evans type III). (a) Before surgery; (b) After surgery

1. 86岁女性右侧股骨转子间骨折(Evans Ⅲ型)患者。(a) 术前;(b) 术后

(a) (b)

Figure 2. An 81-year-old male patient with left intertrochanteric fracture of the femur (Evans type IV). (a) Before surgery; (b) After surgery

2. 81岁男性左侧股骨转子间骨折(Evans Ⅳ型)患者。(a) 术前;(b) 术后

(a) (b)

Figure 3. An 87-year-old female patient with left intertrochanteric fracture of the femur (Evans V type). (a) Before surgery; (b) After surgery

3. 87岁女性左侧股骨转子间骨折(Evans V型)患者。(a) 术前;(b) 术后

(a) (b)

Figure 4. A 75-year-old female patient with left intertrochanteric fracture of the femur (Evans V type). (a) Before surgery; (b) After surgery

4. 75岁女性左侧股骨转子间骨折(Evans V型)患者。(a) 术前;(b) 术后

(a) (b)

Figure 5. A 75-year-old male patient with left intertrochanteric fracture of the femur (Evans type IV). (a) Before surgery; (b) After surgery

5. 75岁男性左侧股骨转子间骨折(Evans IV型)患者。(a) 术前;(b) 术后

(a) (b)

Figure 6. An 87-year-old male patient with left intertrochanteric fracture of the femur (Evans V type). (a) Before surgery; (b) After surgery

6. 87岁男性左侧股骨转子间骨折(Evans V型)患者。(a) 术前;(b) 术后

(a) (b)

Figure 7. A 77-year-old female patient with right intertrochanteric fracture (Evans type V). (a) Before surgery; (b) After surgery

7. 77岁女性右侧粗隆间骨折(Evans V型)患者。(a) 术前;(b) 术后

(a) (b)

Figure 8. A 70-year-old male patient with left intertrochanteric fracture of the femur (Evans type III). (a) Before surgery; (b) After surgery

8. 70岁男性左侧股骨转子间骨折(Evans III型)患者。(a) 术前;(b) 术后

(a) (b)

Figure 9. A 77-year-old female patient with right intertrochanteric fracture of the femur (Evans V type). (a) Before surgery; (b) After surgery

9. 77岁女性右侧股骨转子间骨折(Evans V型)患者。(a) 术前;(b) 术后

(a) (b)

Figure 10. A 71-year-old male patient with right femoral neck fracture (Evans type IV). (a) Before surgery; (b) After surgery

10. 71岁男性右侧股骨颈骨折(Evans IV型)患者。(a) 术前;(b) 术后

4. 讨论

股骨转子间骨折在老年人群中普遍存在,一般是由跌倒或者外力撞击造成的。该类骨折对患者功能恢复有重大影响,降低生活质量,甚至造成长期卧床、肺部感染、下肢深静脉血栓、褥疮等并发症,越来越受到重视。随着全球老龄化速度加快,股骨转子间骨折发生率也越来越受到医学界的关注。其相关治疗的有效性、安全性成了临床研究的热点。目前股骨转子间骨折的治疗方式有非手术和手术两种,非手术治疗不稳定型骨折容易出现髋内翻畸形、坠积性肺炎、压疮、下肢深静脉血栓等并发症[1]。闭合复位髓内钉内固定术、切开复位钢板内固定术是治疗股骨转子间骨折的常用方法,但是有可能发生骨折畸形愈合、骨折不愈合、内固定失败引起的创伤性关节炎或者股骨头坏死等并发症。与其它治疗方法相比,髋关节置换术可以很快恢复髋关节功能。主要适应症为Evans-Jensen III型及以上的伴有严重骨质疏松的非稳定性股骨转子间骨折,内固定失败的患者[2]。正如本研究中展示的病例4所示,骨折未愈合,断端吸收萎缩,内固定物断裂,给患者及其家庭造成严重的心理创伤及经济损失。

髋关节置换的手术入路方式不同,髋关节周围骨性结构的暴露情况和周围软组织的损伤程度也不同[3]。后外侧入路作为传统手术方式中的一种,在手术过程中可以提供良好的视野以及方便的操作,但是需要切断外旋肌群,这会增大手术创伤、出血量,并延长患者的术后恢复时间,甚至因为肌肉损伤而造成术后步态异常[4]。相比之下,直接前方入路(DAA入路)通过肌间隙直达髋关节前方,不用切断肌肉,保留后方外旋肌群结构完整性[5],由于对肌肉、血管损伤小,DAA入路术后恢复快,真正达到微创目的,优于后外侧入路。另外,患者处于水平仰卧位时,DAA入路比常规侧卧位后外侧入路能更好的暴露髋臼及其周围结构。主刀医生可以更加直观、准确地控制髋臼假体的前倾角、倾斜角。患肢极度内收、外旋,便于在无折叠床、无牵引台的情况下对股骨近端进行操作。以及术中双腿处于同一平面便于比较,利于判断双下肢是否等长。同时,仰卧位患者便于床旁X线检查,进一步保证假体位置及双下肢等长[6]

评估直接前方入路髋关节置换术治疗老年股骨转子间骨折的临床效果。通过对这一新的手术方法进行系统的分析,期望发现它对患者术后功能的改善、并发症减少、患者满意度的提高等潜在的好处。研究结果将会给临床实践带来重要支撑,推进微创技术在骨折治疗中的应用,希望从而改良患者的康复之路,提升生命品质。虽然本研究中患者的平均年龄为78岁,大部分患者有高血压或糖尿病等合并症,但是这些因素与术后恢复的关系并没有得到一致的解释,先前研究表明,年龄和合并症可能会影响手术风险和恢复速度,在老年患者中,年龄越大,手术并发症的发生率越高[7]。尽管本研究中的患者普遍有合并症,但并没有表现出明显的手术并发症,且3至6个月短期内恢复良好,术后恢复的影响机制比较复杂,涉及到患者的生理状态、代谢水平等很多因素。另外,直接前方入路的微创髋关节置换术后恢复时间缩短,这和现有的文献中提到的微创技术提高术后恢复速度的观点是一致的[8]。微创手术由于对周围组织损伤小、炎症反应轻,所以患者功能恢复快,这一点在很多研究中都有证实[9]。但是部分研究认为微创手术在操作复杂性、学习曲线方面存在一定的难度,影响其推广应用[10]。因此本研究结果支持微创技术在术后恢复的优势,同时对手术技术熟练程度也有一定的认识,可能也是影响恢复时间的因素之一。

其他研究显示,虽然微创手术的总体并发症发生率较低,但在某些骨折人群中仍然存在严重的术后并发症,因此我们在临床应用中需要对患者进行个体化的评价[11]。本研究结果给微创手术在特定人群的应用提供重要的临床依据。术后3到9个月的随访中,患者的功能评分明显提高,预后良好。结果与其它研究相同,都表明早期的功能评定对于预后的判断是很重要的[12]。但是有研究显示不同的评估工具敏感度和特异度不同,会影响预后判断[8]。因此,本文研究结果一方面证明了早期功能评分可以预测预后,另一方面也提示在临床实践中需要使用多种评价工具,才能提高预后判断的准确性。

DAA入路髋关节置换技术也存在一些禁忌和操作上的壁垒,不适用于肥胖患者、肌肉过于发达者、存在严重髋关节发育不良以及宽大骨盆、偏心距短小等患者,对手术者的要求较高。DAA入路虽有微创优势,但应用于大粗隆粉碎型股骨转子间骨折时,因大粗隆这一关键解剖定位标志受损、软组织附着点断裂,使得股骨近端暴露难度陡增。这种暴露难题会直接引发两类核心风险:其一为医源性骨折,常见诱因包括软组织牵拉时的力量传导损伤、粉碎骨块清理复位中的机械性损伤,以及假体或内固定物植入时的应力性损伤,尤其老年骨质疏松患者更易发生;其二是假体植入位置异常,具体表现为髋臼侧前倾角、外展角偏差,股骨侧假体前倾/后倾错位及支撑力不足,还可能出现假体与骨折端对位不佳,加速假体磨损或引发松动。此外,术者操作经验欠缺、专用器械不足会进一步放大风险,因此临床需全面评估患者骨折类型、骨质量及术者技术水平,必要时搭配辅助定位技术或更换手术入路,确保手术安全。特别是在学习曲线期内,手术时间长可能会造成不必要损伤。本研究的局限性主要是样本量少,没有多中心研究作为支持。尽管纳入了10例股骨转子间骨折患者,但如此少的样本不能充分代表老年患者的整体特征,从而影响结果的一般性。另外研究没有对术后中长期效果进行随访观察,也对手术疗效全面评价造成了限制。

综上所述,本研究揭示了直接前方入路微创髋关节置换术在治疗老年股骨转子间骨折中显著的临床优势,包括缩短恢复时间、降低术后并发症及提高患者生活质量。对于未来的研究会增大样本量并设置对照组,多中心的验证等会更加充分地论证研究的结果,推动该技术的广泛使用,优化现有的治疗方案。

NOTES

*通讯作者。

参考文献

[1] 安静, 张越民, 苏文, 尤小燕. 高龄股骨粗隆间骨折应用生物型股骨加长柄治疗23例临床体会[J]. 基层医学论坛, 2021, 25(2): 230-231.
[2] 陈敬煌, 王贤月, 彭方城, 等. 髋关节置换术治疗股骨近端防旋髓内钉内固定失败[J]. 临床骨科杂志, 2020, 23(3): 447-448.
[3] 张淼, 董斌, 崔海勇, 等. 双极人工股骨头置换术与全髋关节置换术治疗老年移位股骨颈骨折的疗效比较[J]. 中国骨与关节损伤杂志, 2020, 35(4): 373-375.
[4] 陶涛, 郭炯炯, 徐南伟. 微创直接前入路与后外侧入路全髋关节置换术早期疗效的比较[J]. 中国微创外科杂志, 2020, 20(5): 431-435.
[5] 贺文南. 直接前侧入路与后外侧入路全髋关节置换术治疗股骨颈骨折患者的早期临床效果比较[J]. 中国民康医学, 2020, 32(7): 38-39.
[6] Li, G.B., Chen, Q.A., Zhou, W., Li, P.Q., et al. (2025) Treatment of Intertrochanteric Fractures in the Elderly with Minimally Invasive DAA for Hip Arthroplasty. International Surgery, 109, 126-132. [Google Scholar] [CrossRef
[7] Thakur, P., Khanal, K.R. and Amatya, I. (2022) Functional Outcome of Proximal Femoral Nailing in Intertrochanteric Fracture. Journal of Nepal Health Research Council, 19, 805-808. [Google Scholar] [CrossRef] [PubMed]
[8] Reumann, M.K., Hillrichs, H., Menger, M.M., Herath, S.C., Rollmann, M.F.R., Stuby, F., et al. (2024) Pseudarthrosen nach per-und subtrochantären Femurfrakturen. Die Unfallchirurgie, 127, 356-363. [Google Scholar] [CrossRef] [PubMed]
[9] Tripković, B., Jakovina Blažeković, S., Bratić, V. and Tripković, M. (2022) Contemporary Recommendations on Patient Blood Management in Joint Arthroplasty. Acta Clinica Croatica, 61, 78-83.
[10] Melcher, C., Gottschalk, O., Mazoochian, F., Pieper, K., Wegener, V., Pellengahr, C.S., et al. (2023) A New Minimal-Invasive Approach for Total Hip Replacement in Sheep. Technology and Health Care, 31, 1867-1874. [Google Scholar] [CrossRef] [PubMed]
[11] Yu, X., Li, Y.Z., Lu, H.J. and Liu, B.L. (2024) Treatment of a Femoral Neck Fracture Combined with Ipsilateral Femoral Head and Intertrochanteric Fractures: A Case Report. World Journal of Orthopedics, 15, 973-980. [Google Scholar] [CrossRef] [PubMed]
[12] Shin, W.C., Jang, J.H., Jung, S.J. and Moon, N.H. (2022) Advantages and Limitations of Intramedullary Nailing for the Surgical Treatment of Ipsilateral Intertrochanteric and Femoral Shaft Fractures: A Retrospective Comparative Study Based on Propensity Score Matching. European Journal of Trauma and Emergency Surgery, 48, 1779-1786. [Google Scholar] [CrossRef] [PubMed]