颞骨朗格汉斯细胞组织细胞增生症1例并文献复习
One Case of Temporal Bone Langerhans Cell Histiocytosis and Literature Review
DOI: 10.12677/md.2026.161003, PDF, HTML, XML,   
作者: 冯 玥:济宁医学院临床医学院,山东 济宁;李秀国*:济宁市第一人民医院耳鼻咽喉头颈外科,山东 济宁
关键词: 朗格汉斯细胞组织细胞增生症颞骨儿科Langerhans Cell Histiocytosis Temporal Bone Pediatrics
摘要: 朗格汉斯细胞组织细胞增生症(Langerhans cell histiocytosis, LCH)是一种罕见的髓样前体细胞单克隆扩增引起的疾病,会导致肉芽肿性病变,其特征性表达CD1a/CD207。由于该病无特异性表现,临床医生对其怀疑度较低,因此可能会延误诊断。本篇文章介绍了一例孤立性朗格汉斯细胞组织细胞增多症的病例,该患儿有左耳后肿胀,术前初步诊断为左耳后脓肿,最终组织学和免疫组化诊断为朗格汉斯细胞组织细胞增多症。通过该病例报道并结合相关文献进行复习,以提高医务人员对该疾病的认识,为临床实践提供参考。
Abstract: Langerhans cell histiocytosis (LCH) is a rare disease caused by the monoclonal expansion of myeloid precursor cells, which leads to granulomatous lesions and is characteristically positive for CD1a/CD207 expression. Due to the lack of specific clinical manifestations of this disease, clinicians usually have a low degree of suspicion for it, which may result in delayed diagnosis. This article reports a case of isolated Langerhans cell histiocytosis in a child who presented with swelling behind the left ear. The preliminary preoperative diagnosis was an abscess behind the left ear, and the final diagnosis of LCH was confirmed by histopathological and immunohistochemical examinations. Through this case report and a review of relevant literature, this article aims to improve medical staff’s understanding of this disease and provide references for clinical practice.
文章引用:冯玥, 李秀国. 颞骨朗格汉斯细胞组织细胞增生症1例并文献复习[J]. 医学诊断, 2026, 16(1): 13-18. https://doi.org/10.12677/md.2026.161003

1. 引言

朗格汉斯细胞组织细胞增生症(Langerhans cell histiocytosis, LCH)是一种以组织细胞异常增生和浸润为特征的罕见疾病。其临床表现多样且无特异性,可累及任何器官或系统,最常见的是骨骼。儿童颞骨朗格汉斯细胞组织细胞增生症尤为少见,常表现为单侧中耳炎、乳突炎或听力下降等非特异性症状,易被误诊为感染性或炎症性疾病。LCH的低发病率易导致漏诊,因此对不典型症状保持高度怀疑是避免误诊的关键,诊断时必须与一系列其他疾病进行仔细鉴别。本文描述了一例颞骨朗格汉斯细胞组织细胞增生症,具体报道如下。

2. 临床资料

患儿,男,10月龄,因“发现左耳后肿胀4天”收入我院。4天前无明显诱因发现其左耳廓及耳后肿胀,伴时常哭闹,拒碰左耳,发病1天后发热,最高38.0℃。院外曾口服罗红霉素等消炎药后耳廓基本消肿,体温在37℃左右波动。我院门诊查体并给予检查后遂以“左耳后骨膜下脓肿?”收入院。入院时体格检查:双侧耳廓无畸形,左侧外耳道充血肿胀,见白色分泌物,鼓膜窥不到,左耳后乳突区皮肤可见一约2 × 2 cm肿物,活动度差,质韧,有按压痛,周围皮肤稍充血。右侧外耳道见耵聍,鼓膜标识不清,乳突区无红肿及压痛。

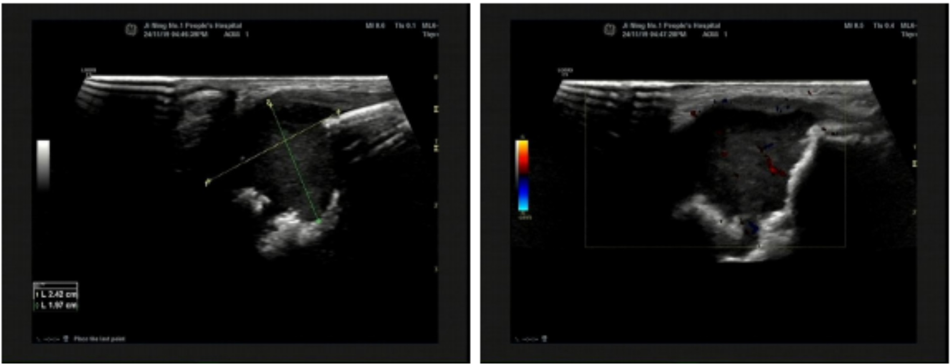
辅助检查:1) 血白细胞(WBC) 15.42 × 109/L ↑ (4.8~14.6 × 109),淋巴细胞(LYM#) 9.72 × 109/L ↑ (2.5~9 × 109),C反应蛋白(CRP1) 45.05 mg/L ↑ (0~10)。2) 体表包块彩超(图1)示:左耳后所述处下方可见范围约为2.4 × 1.8 × 2.0 cm低至无回声区,边界清,回声不均,内见密集点状回声,CDFI:其内及周边可见血流信号。3) 硬性耳内镜检查(图2)示:左侧外耳道充血肿胀,外耳道见白色分泌物,鼓膜窥不到;右外耳道通畅,稍充血,见少许分泌物,鼓膜完整。4) 颞骨CT (图3)示:左侧颞骨乳突部骨质破坏,左侧乳突气房显示欠清,局部见团块状软组织密度灶,密度欠均,边界欠清,较大截面约2.3 cm × 1.8 cm,CT值约为33~45 HU:左侧耳后软组织稍肿胀,左侧外耳道壁增厚,左侧鼓膜增厚。右侧外耳道未见明显异常。右侧乳突气房气化可。双侧中耳鼓室、右侧乳突窦腔清晰,腔内未见明显异常高低密度影。双侧听小骨未见明显异常。双侧内耳和内听道未见明显异常。

诊疗过程:患者入院后给予其头孢哌酮舒巴坦、左氧氟沙星滴耳液治疗后耳后肿胀较前好转,急诊行“左乳突切开探查加活检术加左外耳道探查术”,术中于触诊质软处切开皮肤、皮下组织、肌肉后可见可疑包膜,切开包膜内见质软肿物,呈“鱼肉样”、不易出血、质脆,取除部分肿物留病理,局部少量渗血,肿物与周围边界不清,未与外耳道相通,考虑CT示软组织病灶与脑膜间骨质破坏缺损,未再进一步探查其与周围关系,术腔填塞明胶海绵,缝合皮下组织及皮肤,消毒后包扎。耳内镜探查见左外耳道深部大量白色黏脓性分泌物,外耳道皮肤充血肿胀,子以冲洗,吸出外耳道分泌物,后再次进镜,见左外耳道皮肤充血肿胀,左鼓膜内陷,充血,标志不清,未见明显穿孔。术后患者精神可,最高体温37.2℃。术后病理回报(图4):(左乳突肿物)结合免疫组化,符合朗格汉斯细胞组织细胞增生症。免疫组化结果:肿瘤细胞S-100 (+),CDla (+),Langerin (+),CD163 (部分+),CD68 (−),CD30 (−),Lysozyme (−),Ki67 (+,约5%)。根据术后病理回报,患儿进行了全身检查未见其余部位有朗格汉斯细胞组织细胞增生病灶,并且进行了后续化疗,术后10月随访患儿预后良好,目前患者仍在随访中。

Figure 1. The described area posterior to the left auricle demonstrates a hypoechoic to anechoic lesion measuring approximately 2.4 × 1.8 × 2.0 cm. Its borders are well-defined, its internal echotexture is heterogeneous, and it contains dense punctate echoes. Color Doppler Flow Imaging (CDFI) reveals the presence of blood flow signals within the lesion and in its peripheral regions

1. 左耳后所述处下方可见范围约为2.4 × 1.8 × 2.0 cm低至无回声区,边界清,回声不均,内见密集点状回声;CDFI:其内及周边可见血流信号

Figure 2. The left external auditory canal is hyperemic and edematous, with white discharge present obscuring visualization of the tympanic membrane. The right external auditory canal is patent, with mild hyperemia and minimal discharge, and the tympanic membrane is intact

2. 左侧外耳道充血肿胀,外耳道见白色分泌物,鼓膜窥不到;右外耳道通畅,稍充血,见少许分泌物,鼓膜完整

Figure 3. The left mastoid portion of the temporal bone shows osteolytic destruction. The aeration of the left mastoid air cells is obscured, with a visualized localized, ill-defined soft-tissue density mass showing heterogeneous density. The larger cross-sectional area measures approximately 2.3 cm × 1.8 cm, with CT values ranging from approximately 33 to 45 Hounsfield Units (HU). There is mild soft-tissue swelling posterior to the left ear. The wall of the left external auditory canal and the left tympanic membrane are thickened. The right external auditory canal shows no significant abnormalities. The right mastoid air cells are well-pneumatized. The bilateral middle ear tympanic cavities and the right mastoid antrum are clear, with no significant abnormal high- or low-density opacities observed within these spaces. The bilateral ossicular chains show no significant abnormalities. The bilateral inner ear structures and internal auditory canals show no significant abnormalities

3. 左侧颞骨乳突部骨质破坏,左侧乳突气房显示欠清,局部见团块状软组织密度灶,密度欠均,边界欠清,较大截面约2.3 cm × 1.8 cm,CT值约为33~45 HU:左侧耳后软组织稍肿胀,左侧外耳道壁增厚,左侧鼓膜增厚。右侧外耳道未见明显异常。右侧乳突气房气化可。双侧中耳鼓室、右侧乳突窦腔清晰,腔内未见明显异常高低密度影。双侧听小骨未见明显异常。双侧内耳和内听道未见明显异常

Figure 4. (Left mastoid mass) Combined with immunohistochemistry, findings are consistent with Langerhans cell histiocytosis. Immunohistochemistry results: Tumor cells are positive for S-100, CD1a, and Langerin (CD207). They are partially positive for CD163 and are negative for CD68, CD30, and Lysozyme. The Ki67 proliferation index is approximately 5%

4. (左乳突肿物)结合免疫组化,符合朗格汉斯细胞组织细胞增生症。免疫组化结果:肿瘤细胞S-100 (+),CDla (+),Langerin (+),CD163 (部分+),CD68 (−),CD30 (−),Lysozyme (−),Ki67 (+,约5%)

3. 讨论

朗格汉斯细胞组织细胞增生症(LCH)是一种罕见的伴有强烈炎症反应的髓系肿瘤疾病,其特征是增生的朗格汉斯细胞在组织或器官中积聚[1],该细胞正常情况下只存在于皮肤真皮层[2]。现有证据表明,该病的根本原因是淋巴因子或其他生长因子介导的免疫调节异常,导致朗格汉斯细胞的生长、成熟与迁移过程出现异常[2]。LCH常见于15岁以下的儿童,男性多于女性,儿童发病率为每百万3~9例,成人的发病率为每百万1~2例。由于全身各个器官均可以被LCH细胞浸润,该病临床表现非常多样化。根据病变累及的器官数量和类型不同,LCH可分为单系统(单灶性、多灶性、肺和中枢神经系统[CNS])和多系统(有风险器官和无风险器官受累)亚型[3]。根据组织细胞学会的分类,当肝脏、脾脏或骨髓受累时,多系统LCH被认为是高风险的[3] [4]。在器官受累范围有限的患者中,影响颞骨的疾病通常预后良好,存活率超过90% [1]。发病年龄、多系统受累和重要器官功能障碍是最相关的预后因素[5]

骨骼和皮肤是LCH最常受累的部位[6]。骨骼受累通常发生在颅底,其次是脊柱、四肢和骨盆。骨病变可能无症状,也可能伴有疼痛、肿胀或软组织或活动受限[7]。在颞骨LCH中,尽管存在广泛的侵蚀,但病变很少影响内耳或听小骨。这些病变通常发生在板障间隙,影像表现为单个或多个边界清晰的溶骨性病变,伴有广泛的骨质破坏,但没有骨膜反应或反应性硬化[6]。据估计,15%~61%的朗格汉斯细胞组织细胞增生症患者有耳部受累[8]。计算机断层扫描(CT)是描述颞骨受累程度的首选成像方式,也是监测疾病活动性和治疗反应的有用工具[9]。与磁共振成像(MRI)相比,CT能更好地界定瓣顶的骨质破坏[9]。CT扫描还能显示典型的“打孔”放射状缺损,以与胆脂瘤、单发骨囊肿、手术缺损或慢性感染等其他颞骨溶骨性病变相鉴别[10]。术前对颞骨进行CT检查可记录面神经管的破坏情况,提高对神经移位的怀疑,以避免先天性面神经麻痹。在涉及颅骨的LCH病例中,MRI有助于显示病变的扩展和颅内受累情况,以便进行手术规划。在MRI上,这些软组织肿块通常在T2加权成像上显示高强度信号,在T1加权成像上显示低强度或等强度信号[11]。其影像学表现常与临床症状不成正比。在本病例中根据患儿的临床症状,易被误诊为耳后脓肿,因此在足量的抗感染治疗无明显缓解后应及时完善影像学检查,对耳后病变进行病理活检。

因为LCH可能与许多其他疾病混淆,它被认为是最严重的模仿症之一。在这些患者中,由于耳科检查结果与其他疾病(尤其是乳突炎)相似,因此经常会出现诊断错误。其鉴别诊断范围广泛、复杂,需要排除其他恶性疾病或传染病。虽然LCH发病率低,但保持高度怀疑也至关重要。颞骨朗格汉斯细胞组织细胞增生症主要表现为乳突肿胀、耳息肉、耳漏、耳聋和偶尔耳痛。耳息肉多发生在乳突并侵蚀耳道后上壁,通常不累及中耳及听小骨,这一疾病特征此前已有文献报道,可用于与急性乳突炎相鉴别[2]。朗格汉斯细胞组织细胞增多症和横纹肌肉瘤都是儿科人群中罕见但可能致命的肿瘤,因此该年龄组要考虑的一种鉴别诊断是横纹肌肉瘤[12]。影像学上,横纹肌肉瘤更可能仅累及颞骨前部,尤其是岩尖和中耳,而朗格汉斯细胞组织细胞增多症更多累及颞骨后部(乳突) [12]。颞骨LCH也需要与LCH相关性外耳道炎相鉴别:前者以局限性病变、乳突肿胀及耳道内肉芽组织或息肉为典型特征,而后者常伴随弥漫性皮肤病变(尤其是头皮病变)及全身性疾病(伴肝脾肿大),耳道内的乳突肉芽组织易继发感染,进一步增加鉴别难度[2]。神经母细胞瘤骨转移与颞骨LCH同为颞骨占位性病变,需相互鉴别。LCH与神经母细胞瘤骨转移好发部位有所不同,LCH多发生于颞骨乳突、鼓部、鳞部近乳突部分,其次为岩尖,神经母细胞瘤骨转移多发于眼眶颞骨眶突移行处的鳞部[13]。典型颞骨朗格汉斯细胞组织细胞增多症CT表现为边界清楚的骨质破坏伴软组织肿块,破坏彻底为其特征性表现,仅边缘可残留少许骨质,此特点可以与神经母细胞瘤骨转移进行鉴别。神经母细胞瘤骨转移常常表现为边界不清楚的骨质破坏,破坏不彻底,仅表现为内外板变薄,可见垂直骨针样的骨膜反应[13]

根据国际组织细胞协会的共识,该患儿病变局限在“单侧颞骨”,属于单系统、单病灶的骨骼病变,此类单发的颅骨病变被归类为Ⅰ型:颅骨单部位[14]。通常,单纯的Ⅰ型病变被视为低风险,手术完整切除后有可能达到临床治愈。然而,颞骨在解剖结构上紧邻中枢神经系统,特别是其岩部或乳突部位受累时,与发生神经并发症(如听力受损、面神经麻痹)及疾病向颅内播散的风险相关。因此,该患儿在手术后选择了化疗,也可以降低局部复发和远处播散的风险。朗格汉斯细胞组织细胞增生症在早期,特别是当病灶局限在骨骼时,极易与感染混淆。因此,该患儿在出现常规抗感染治疗无效,且颞骨CT上呈现为边界清晰的“穿凿样”溶骨病灶,边缘没有感染常见的广泛硬化或骨膜反应时,医生应意识到其并非普通感染。

对于单纯骨质受累的朗格汉斯细胞组织细胞增生症,随着时间的推移,病变会自然消退,复发率很低,预后较好。此外,还有手术治疗、化疗等方式。直径小于2厘米的小骨病灶可在活检时完全切除,2~5厘米的病灶,可进行部分活检或刮除术,大于5厘米的大病灶不宜进行彻底切除,否则会扩大骨缺损,延长愈合时间,并可能导致永久性骨骼缺损[7]。手术期间病灶内注射类固醇可缓解疼痛并改善活动能力。口服吲哚美辛可作为一线治疗,对于复发疾病的疼痛控制和疾病逆转都很有效,90%以上的无症状骨病变患者都对该药物产生了反应,且不良反应极小[7]

声 明

对于发表在本文中包含的任何潜在可识别的图像或数据,已获得患者的书面知情同意。

NOTES

*通讯作者。

参考文献

[1] Boston, M. and Derkay, C.S. (2002) Langerhans’ Cell Histiocytosis of the Temporal Bone and Skull Base. American Journal of Otolaryngology, 23, 246-248.
https://pubmed.ncbi.nlm.nih.gov/12105792/
[2] García Díaz, M.P., De Luca Sologaistoa, A., De Paula Vernetta, C., Moreno, M.A., Galeano Paniagua, L.A., Fernández, M.M., et al. (2022) Langerhans Cell Histiocytosis of the Head and Neck in the Pediatric Population in a Tertiary Center: Clinical Presentation, Classification and Treatment. International Journal of Pediatric Otorhinolaryngology, 155, Article 111073. [Google Scholar] [CrossRef] [PubMed]
[3] Leung, A.K.C., Lam, J.M. and Leong, K.F. (2019) Childhood Langerhans Cell Histiocytosis: A Disease with Many Faces. World Journal of Pediatrics, 15, 536-545.
https://pubmed.ncbi.nlm.nih.gov/31456157/
[4] Morimoto, A., Ishida, Y., Suzuki, N., Ohga, S., Shioda, Y., Okimoto, Y., et al. (2010) Nationwide Survey of Single-System Single Site Langerhans Cell Histiocytosis in Japan. Pediatric Blood & Cancer, 54, 98-102. [Google Scholar] [CrossRef] [PubMed]
[5] Martini, A., Aimoni, C., Trevisani, M. and Marangoni, P. (2000) Langerhans’ Cell Histiocytosis: Report of a Case with Temporal Localization. International Journal of Pediatric Otorhinolaryngology, 55, 51-56. [Google Scholar] [CrossRef] [PubMed]
[6] Rodriguez-Galindo, C. and Allen, C.E. (2020) Langerhans Cell Histiocytosis. Blood, 135, 1319-1331. [Google Scholar] [CrossRef] [PubMed]
[7] Astigarraga, I., García-Obregón, S., Pérez-Martínez, A., Gutiérrez-Carrasco, I., Santa-María, V., Iturrate, C.R., et al. (2022) Langerhans Cell Histiocytosis. Advances in Pathogenesis and Clinical Practice. Anales de Pediatría (English Edition), 97, 130.e1-130.e7. [Google Scholar] [CrossRef] [PubMed]
[8] Goldsmith, A.J., Myssiorek, D., Valderrama, E. and Patel, M. (1993) Unifocal Langerhans’ Cell Histiocytosis (Eosinophilic Granuloma) of the Petrous Apex. Archives of OtolaryngologyHead and Neck Surgery, 119, 113-116. [Google Scholar] [CrossRef] [PubMed]
[9] Marioni, G., De Filippis, C., Stramare, R., Carli, M. and Staffieri, A. (2001) Langerhans’ Cell Histiocytosis: Temporal Bone Involvement. The Journal of Laryngology & Otology, 115, 839-841. [Google Scholar] [CrossRef] [PubMed]
[10] Hadjigeorgi, C., Parpounas, C., Zarmakoupis, P. and Lafoyianni, S. (1990) Eosinophilic Granuloma of the Temporal Bone: Radiological Approach in the Pediatric Patient. Pediatric Radiology, 20, 546-549. [Google Scholar] [CrossRef] [PubMed]
[11] 王鹤翔, 崔久法, 郑迎梅, 李杰, 等. 颅盖骨朗格汉斯组织细胞增生症的CT和MRI表现[J]. 放射学实践, 2016, 31(8): 778-780.
[12] Chevallier, K.M., Wiggins, R.H., Quinn, N.A. and Gurgel, R.K. (2016) Differentiating Pediatric Rhabdomyosarcoma and Langerhans Cell Histiocytosis of the Temporal Bone by Imaging Appearance. American Journal of Neuroradiology, 37, 1185-1189. [Google Scholar] [CrossRef] [PubMed]
[13] 郑慧, 夏正荣, 曹雯君, 等. 儿童颞骨朗格汉斯组织细胞增生症与神经母细胞瘤转移影像鉴别价值研究[J]. 医学影像学杂志, 2019, 29(4): 525-527+531.
[14] 彭岸雄, 刘正豪, 郑眉光, 雷炳喜, 邓跃飞. 颅脑朗格汉斯细胞组织细胞增生症的临床分型与治疗分析[J]. 中华神经医学杂志, 2020, 19(7): 706-710.