MOGAD在MRI上的强化特点
MRI Enhancement Features in Myelin Oligodendrocyte Glycoprotein Antibody-Associated Disease (MOGAD)
DOI: 10.12677/acm.2026.162370, PDF, HTML, XML,   
作者: 张 鹭, 冯 川*:重庆医科大学附属儿童医院放射科,儿童发育疾病研究教育部重点实验室,儿童发育重大疾病国家国际科技合作基地,儿童代谢与炎症性疾病重庆市重点实验室,重庆
关键词: MOG抗体相关性疾病增强视神经炎脊髓炎脑炎MOG Antibody-Associated Disease (MOGAD) Enhancement Optic Neuritis Myelitis Encephalitis
摘要: MOG抗体相关性疾病(MOGAD)是一种以抗髓鞘少突胶质细胞糖蛋白抗体为特征的自身免疫性中枢神经系统脱髓鞘疾病,其临床表型主要包括视神经炎、脊髓炎和脑炎。MRI增强是诊断与评估MOGAD的重要工具,强化特征可反映活动性炎症与血脑屏障破坏,并可能与疾病预后相关。本文总结了MOGAD在MRI上的强化表现:视神经炎常表现为双侧视神经广泛强化,伴视神经鞘及周围眶内组织强化(神经周围增强),具有较高特异性;脊髓炎多见于长节段横贯性脊髓炎,轴位可见中央型T2高信号或“H征”,部分伴有软脑膜或脊神经根强化;脑炎强化形式多样,多为斑片状、结节状或线样强化,软脑膜强化亦较常见,而环形强化少见。这些强化特征有助于MOGAD与多发性硬化、水通道蛋白-4抗体相关视神经脊髓炎谱系疾病等相鉴别。准确识别MOGAD的MRI强化模式对于早期诊断、指导治疗及判断预后具有重要意义。
Abstract: Myelin Oligodendrocyte Glycoprotein Antibody-associated Disease (MOGAD) is an autoimmune demyelinating disorder of the central nervous system characterized by antibodies against myelin oligodendrocyte glycoprotein. Its clinical manifestations primarily include optic neuritis, myelitis, and encephalitis. Contrast-enhanced Magnetic Resonance Imaging (MRI) serves as a key tool for diagnosis and evaluation of MOGAD, with enhancement features reflecting active inflammation and blood-brain barrier disruption, which may correlate with disease prognosis. This review summarizes the enhancement patterns of MOGAD on MRI: optic neuritis typically presents with bilateral longitudinally extensive optic nerve enhancement, often accompanied by perineural enhancement involving the optic nerve sheath and surrounding orbital tissues, showing high diagnostic specificity; myelitis commonly manifests as longitudinally extensive transverse myelitis with central T2-hyperintensity on axial images, sometimes exhibiting an “H-sign”, and may be associated with leptomeningeal or spinal nerve root enhancement; encephalitis demonstrates diverse enhancement patterns, including patchy, nodular, or linear enhancement, with leptomeningeal enhancement also frequently observed, whereas ring enhancement is rare. These enhancement characteristics help distinguish MOGAD from multiple sclerosis, aquaporin-4 antibody-positive neuromyelitis optica spectrum disorder, and other demyelinating diseases. Accurate recognition of MRI enhancement patterns in MOGAD is crucial for early diagnosis, guiding treatment decisions, and predicting clinical outcomes.
文章引用:张鹭, 冯川. MOGAD在MRI上的强化特点[J]. 临床医学进展, 2026, 16(2): 131-138. https://doi.org/10.12677/acm.2026.162370

1. 背景

MOG抗体相关性疾病(MOG Antibody-associated Disorders, MOGAD)是一种罕见的自身免疫性疾病,特征是体内产生了针对髓鞘中的MOG (髓鞘中的寡二糖)的抗体[1]。MOGAD的病因尚不明确,其发病率为每年每百万人1.6~3.4例,患病率估计为每百万人20例(95% CI: 11~34) [2] [3]。尽管任何年龄均可发病,但儿童发生率相对高于成人[4]。由于MOGAD的临床及影像表现不同于多发性硬化(Multiple Sclerosis, MS)和水通道蛋白-4血清阳性(Aquaporin-4, AQP-4)的视神经肌萎缩谱系障碍(Neuromyelitis Optica Spectrum Disorders, NMOSD),2018年将其作为一个独立的疾病,并得到广泛的认可。并于2023年制定了MOGAD新的诊断标准[5]。MOG抗体病的临床表型多样,其主要临床表型分为脑炎、视神经炎或横贯性脊髓炎(Transverse Myelitis, TM),常可表现为单相或多相病程。

由于MOGAD病变主要累及神经系统,故磁共振成像(Magnetic Resonance Imaging, MRI)是其主要的影像检查手段,并作为诊断标准之一[5]。MOGAD在MRI上出现强化,被认为是活动性炎症的间接标志,MOG抗体所致炎症导致脱髓鞘病变;在这些活动性脱髓鞘病变中有大量炎性细胞浸润,其中的循环细胞因子可能会导致血脑屏障通透性增加,进一步促使炎症浸润至中枢神经系统(Central Nervous System, CNS),这些炎症会导致血脑屏障破坏,进而出现强化特点[6]

MOGAD在MRI上出现强化,可能与疾病的严重程度及转归相关,研究表明,脑部增强作为预测模型预后不良的最有效变量之一,其阳性结果往往反映预后欠佳[7],更好地了解MOGAD的强化可能具有临床价值,并有助于深入了解MOGAD的发病机制和预后,为诊断提供丰富的信息,优化疾病检测和治疗策略。本文拟对MOGAD相关疾病在MRI上的增强特点作一综述。

2. 视神经炎

在成人中,视神经炎是目前最常见的发病特征[8] [9]。大多数视神经炎是复发性的,伴或不伴有其他神经系统症状,视神经炎的特征是视力模糊,单侧或双侧视力下降,持续数小时至数天,通常伴有球后眼眶疼痛,通常随眼球运动而加剧,并伴有色觉和视野丧失[10]。视神经炎发病时经常累及双侧视神经,纵向广泛,累及视神经长度 > 50%,MOG倾向于累及视神经前段,这有助于区分视神经脊髓炎(Neuromyelitis Optica, NMO),并累及视神经鞘,常伴视神经肿胀和视盘水肿,MOG患者的视神经比其他类型的ON更突出[11]。在随访MRI中,水肿或视神经增粗常常能够消退,其视力恢复通常非常好,大多数患者仍保留功能性视力,少数可能发生不可逆的视力丧失和失明[12]

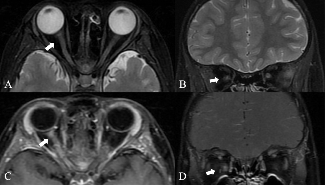
MRI上的视神经强化模式也有助于MOG神经炎的诊断。几乎所有MOG视神经炎发作时都可见到累及广泛的双侧视神经强化特点,其特征性表现为也可累及周围的眼眶组织,视神经鞘或球周脂肪强化,称为神经周围增强[13] (图1)。这是MOG视神经炎最典型的特征,这有助于区分AQP4-IgG血清阳性或MS相关的视神经炎[14] [15]。广泛的视神经周围强化也高度提示抗MOG抗体相关的视神经炎[16]

在T2加权像上显示右侧视神经前段信号稍高,边缘稍模糊(A,轴位,箭头;B,冠状位,箭头),T1增强图像上相应的视神经和鞘强化(C,轴位,箭头;D,冠状位,箭头)。

Figure 1. Orbital MRI plain scan and enhancement in optic neuritis with MOGAD

1. MOGAD视神经炎的眼眶MRI平扫及增强

所以,如果患者在发病时出现视盘水肿或在MRI上发现视神经肿胀和视神经增厚或迂曲与神经周围强化,则应高度怀疑MOG-IgG阳性[14]。这种基于MRI发现的早期特点可能具有重要的治疗意义。

3. 脊髓炎

MOG抗体病常以脊髓炎为首发表现,可孤立发生或伴发视神经炎及颅内病灶,临床表现包括感觉、运动和括约肌功能障碍[17] [18]。作为MOGAD三大主要症状的脊髓炎,其发作的高峰年龄为20~40岁,男女比例约为1:1,发病率大约为20%~30% [19]。MOG脊髓炎与MS、APQ4阳性NMOSD这两种常见的获得性脱髓鞘疾病相比多预后良好,残留病变较少,脊髓萎缩少见,少数存在残余括约肌功能障碍(残留膀胱、肠功能障碍),而后两者常常存在残留病变、甚至导致脊髓萎缩[20] [21]。研究表明,儿童预后往往优于成人[22]

脊髓炎患者的MRI通常累及三个及以上的椎体,表现为纵向广泛的长节段横贯性脊髓炎(Longitudinally Extensive Transverse Myelitis, LETM)。MOG-IgG儿童的广泛脊柱受累主要作为(Acute Disseminated Encephalomyelitis, ADEM)发作的一部分或仅作为LETM发生[23]。在66%~75%的MOG-IgG患者中,脊髓T2高信号病变在轴位成像上位于中心。并可局限于灰质(如30%~50%的患者所见),产生H征[17]-[19] (图2)。在脊髓炎中,50%的患者可出现强化特征,但具体强化特点并未描述,马尾强化已被报道[17] [18] [24] [25],在MOGAD儿童中软脑膜强化约占53%,可同时患有LETM,并且这些软脑膜强化部位主要集中在脊髓病变附近[23]。有研究发现,34%的MOGAD患儿可出现脊神经根强化[24] [25]。软脑膜和神经根强化可能源于局部软脑膜或神经根鞘的炎症浸润,或许与其周围神经系统中MOG的表达有关[26]

脊髓T2矢状位上显示纵向广泛长节段性病变(A,箭头),轴位T2高信号上局限于灰质,形成特征性H征(B, C),T1增强后出现了相应的强化(D,E,箭头)。注:图片引自Zhang等(2024) [38]

Figure 2. MRI findings in MOG myelitis

2. MOG脊髓炎在MRI上的表现

在Sundaram等人发表的一项研究中,作者报道了一例成年的脊髓炎患者出现脊髓实质斑片状强化,马尾神经根强化。但MOG通常仅在CNS中表达,并且其位于髓鞘和少突胶质细胞膜的外板层上。中枢神经系统的原发性炎性脱髓鞘疾病通常与腰骶神经根炎无关。目前周围神经系统(Peripheral Nervous System, PNS)参与MOG-Ab疾病的机制尚不确定。然而,该患者是一个典型类固醇停药后复发性MOG-Ab相关脱髓鞘的表现。研究者考虑可能是由于类固醇反应欠佳导致腰骶神经根出现强化[27]。Rinaldi等人统计了一个PNS受累患者的队列,发现有患者同时出现脊髓受累伴神经根弥漫性强化或仅马尾神经根强化,与成人相比,PNS参与在MOGAD儿科患者中不太常见[24]。越来越多的学者猜测脊髓神经根炎与MOGAD有关,应作为早期诊断的考虑因素。动物研究已经证实,在啮齿类动物和灵长类动物的PNS细胞质中鉴定了MOG,但MOG是否在人类外周髓鞘和施旺细胞中表达还需要进一步证实[26]。另一种解释可能是由于中枢神经系统的炎症过程引发了针对神经根中髓鞘特异性抗原的第二次免疫级联反应[28]。通过识别其MRI增强特点,对于周围神经根增强或增粗、脊髓神经根炎、中枢和周围神经系统脱髓鞘的病人,我们应该高度警惕是否MOG-IgG阳性,由此提高我们的诊断水平。此外,具有TM表型的患者神经后遗症的风险很高,因此了解MOG-IgG脊髓炎的放射学特征对于早期准确的诊断和治疗至关重要。

4. 脑炎

MOGAD的脑部病变可作为ADEM一部分存在,也可单独发生。在儿童中最常以ADEM为典型首发症状,尤其是在11岁之前,可伴或不伴有视神经受累。患者可能表现为脑病、可累及大脑的局灶性缺陷,或在其他MOGAD表型的背景下具有无症状的大脑异常。当然,也有部分患者表现为非典型症状,如广泛的双侧皮质脑炎,孤立的基底节或丘脑受累,或伴有难治性癫痫持续状态的微小MRI变化[29]

在影像上,根据病变位置发现脑病变表现为三种模式:1) 累及中线结构和深部灰质的病变,主要累及间脑、脑桥、延髓、大脑中动脉脚和第三脑室周围。胼胝体、丘脑和基底神经节也受到影响;2) 幕上白质病变,常呈散在性,通常观察到累及大脑皮质旁白质、脑室周围深部白质、脑室旁白质和内囊的病变;3) 灰质病变[30]。脑干受累很少单独发生,高达40%的病例可出现无症状脑病变,少数情况下,患者可能会出现极后区综合征如顽固性恶心、呕吐,或打嗝。大约20%的病例可见弥漫性中脑、脑桥或延髓T2高信号病变[31]。大多数病变能够完全消退。

MOG脑炎在MRI上增强很常见,约占73%,通常是非特异性的,轮廓不清,呈斑片状外观,可有多灶性结节状强化,皮质强化,并且很少持续超过3个月,与AQP-4阳性NMOSD和MS的相比,软脑膜强化约占33% (图3)。由于皮层本身存在MOG抗原的分布[32],皮层出现强化可能是由于MOG抗体与抗原结合,造成了炎症细胞的浸润[33],增强后由于血脑屏障破坏,进而出现相应强化。Elsbernd等人认为,MOGAD软脑膜增强可能与头痛、发热、癫痫发作等有关,其强化更倾向于MOGAD [34]。Cobo-Calvo等人发现,颅神经受累可与MOG抗体疾病患者共存,T1WI增强后显示其根部水平强化,其潜在的病理生理学难以捉摸,他们认为这种颅神经参与可能是由于脑桥病变的炎症下游的结果[35]。Li等人发现,有患者在丘脑、内囊后肢区域表现为T2WI明显的不均匀高信号,边界不清,类似一个大的水肿性病变,在T1WI增强上表现为蓬松的“火焰样”或绒毛样外观。病理活检为肿胀性脱髓鞘病变。也有部分患者出现大脑皮层下白质中脑回或带状增强[30]

右侧颞叶皮层T2 Flair信号稍高(A,箭头),T1增强后软脑膜强化(B,箭头),双侧桥臂及右侧小脑半球多发T2 Flair稍高信号影(C,箭头),增强后出现多灶性结节状强化(D,箭头)。

Figure 3. Enhancement of MOG-related brain lesions

3. MOG脑部病变的强化

MOGAD强化模式多样,准确识别其强化模式有助于鉴别其他相关疾病。如环形强化在MOGAD中很少见,是其与MS的鉴别点[36]。线性和点状强化往往更倾向于MOGAD的诊断[37]。但目前尚未有强化规律的总结及对临床症状的相关性研究。更好地了解MOGAD的脑部强化可能具有临床价值,并有助于深入了解MOGAD的发病机制和预后。MOGAD表现出独特的脑MRI特征,也被认为是CNS炎性脱髓鞘疾病的独特临床实体,针对这些疑似MOGAD抗体疾病的患者,加以MOG抗体血清检测,能够提高疾病诊断的正确率。

5. 强化与临床预后的相关性

MOGAD的强化现象本质上是血脑屏障破坏和局部炎症浸润的影像表现,其模式与MOG蛋白在中枢神经系统中的表达分布及免疫攻击机制密切相关。有研究表明,脑部强化及脑白质营养不良型提示预后不良[7],先前的放射学和病理学研究证实[6],增强表现为急性炎症反应,进而导致血脑屏障受损,这可能解释了血脑屏障损伤后不可逆转的改变,进而导致MRI预后不良的结果。

6. 总结

MOGAD是一种独特的脱髓鞘病变,主要表现为视神经炎、脊髓炎和脑炎,越年轻的MOG患者倾向于表现为ADEM,而年龄越大者更可能表现为视神经炎。对任何可疑MOGAD相关疾病,我们都应考虑使用对比剂对患者进行MRI增强检查。MOG-IgG阳性视神经炎患者在MRI增强上表现为视神经及其神经鞘和紧邻眼眶组织的强化;脊髓炎患者特征性表现为T2高信号呈H征,部分患者可有脊髓实质强化,在纵切面上可观察到强化的软脑膜,少数可有神经根强化;ADEM是儿童最典型的表现,对比剂增强后可表现为脑白质区域结节状或斑片状强化,也有学者发现脑部强化区域类似水肿信号,也可有颅神经根强化,但其强化通常是非特异性的,其具体强化机制不明,MOGAD可能还存在其他强化特点,尚需要进一步探讨研究。

准确识别MOGAD疾病的MRI增强特点,能够丰富抗MOGAD在MRI上的表现特点,可以帮助医生区分和明确不同的病理实体(NMO, MS)与脱髓鞘病变,这些不同的放射学特征的组合可以帮助指导临床医生快速诊断,还可以及时对患者选择适当的免疫治疗,有助于临床医生在面对此类患者时,能够对患者进行正确的初步诊断、治疗决策和预后判断,也可加深对MOGAD疾病进程的理解。

NOTES

*通讯作者。

参考文献

[1] Narayan, R., Simpson, A., Fritsche, K., Salama, S., Pardo, S., Mealy, M., et al. (2018) MOG Antibody Disease: A Review of MOG Antibody Seropositive Neuromyelitis Optica Spectrum Disorder. Multiple Sclerosis and Related Disorders, 25, 66-72. [Google Scholar] [CrossRef] [PubMed]
[2] de Mol, C., Wong, Y., van Pelt, E., Wokke, B., Siepman, T., Neuteboom, R., et al. (2019) The Clinical Spectrum and Incidence of Anti-MOG-Associated Acquired Demyelinating Syndromes in Children and Adults. Multiple Sclerosis Journal, 26, 806-814. [Google Scholar] [CrossRef] [PubMed]
[3] O’Connell, K., Hamilton-Shield, A., Woodhall, M., Messina, S., Mariano, R., Waters, P., et al. (2020) Prevalence and Incidence of Neuromyelitis Optica Spectrum Disorder, Aquaporin-4 Antibody-Positive NMOSD and MOG Antibody-Positive Disease in Oxfordshire, Uk. Journal of Neurology, Neurosurgery & Psychiatry, 91, 1126-1128. [Google Scholar] [CrossRef] [PubMed]
[4] Bruijstens, A.L., Lechner, C., Flet-Berliac, L., Deiva, K., Neuteboom, R.F., Hemingway, C., et al. (2020) E.U. Paediatric MOG Consortium Consensus: Part 1—Classification of Clinical Phenotypes of Paediatric Myelin Oligodendrocyte Glycoprotein Antibody-Associated Disorders. European Journal of Paediatric Neurology, 29, 2-13. [Google Scholar] [CrossRef] [PubMed]
[5] Banwell, B., Bennett, J.L., Marignier, R., Kim, H.J., Brilot, F., Flanagan, E.P., et al. (2023) Diagnosis of Myelin Oligodendrocyte Glycoprotein Antibody-Associated Disease: International MOGAD Panel Proposed Criteria. The Lancet Neurology, 22, 268-282. [Google Scholar] [CrossRef] [PubMed]
[6] Corbali, O. and Chitnis, T. (2023) Pathophysiology of Myelin Oligodendrocyte Glycoprotein Antibody Disease. Frontiers in Neurology, 14, Article 1137998. [Google Scholar] [CrossRef] [PubMed]
[7] Fan, X., Li, Q., Li, T., He, X., Feng, C., Qin, B., et al. (2022) Radiological Features for Outcomes of MOGAD in Children: A Cohort in Southwest China. Neuropsychiatric Disease and Treatment, 18, 1875-1884. [Google Scholar] [CrossRef] [PubMed]
[8] Waters, P., Fadda, G., Woodhall, M., O’Mahony, J., Brown, R.A., Castro, D.A., et al. (2020) Serial Anti-Myelin Oligodendrocyte Glycoprotein Antibody Analyses and Outcomes in Children with Demyelinating Syndromes. JAMA Neurology, 77, 82-93. [Google Scholar] [CrossRef] [PubMed]
[9] Cobo-Calvo, A., Ruiz, A., Rollot, F., Arrambide, G., Deschamps, R., Maillart, E., et al. (2020) Clinical Features and Risk of Relapse in Children and Adults with Myelin Oligodendrocyte Glycoprotein Antibody-Associated Disease. Annals of Neurology, 89, 30-41. [Google Scholar] [CrossRef] [PubMed]
[10] Bennett, J.L., Costello, F., Chen, J.J., Petzold, A., Biousse, V., Newman, N.J., et al. (2023) Optic Neuritis and Autoimmune Optic Neuropathies: Advances in Diagnosis and Treatment. The Lancet Neurology, 22, 89-100. [Google Scholar] [CrossRef] [PubMed]
[11] Ramanathan, S., Prelog, K., Barnes, E.H., Tantsis, E.M., Reddel, S.W., Henderson, A.P., et al. (2015) Radiological Differentiation of Optic Neuritis with Myelin Oligodendrocyte Glycoprotein Antibodies, Aquaporin-4 Antibodies, and Multiple Sclerosis. Multiple Sclerosis Journal, 22, 470-482. [Google Scholar] [CrossRef] [PubMed]
[12] Chen, J.J. and Bhatti, M.T. (2020) Clinical Phenotype, Radiological Features, and Treatment of Myelin Oligodendrocyte Glycoprotein-Immunoglobulin G (MOG-IgG) Optic Neuritis. Current Opinion in Neurology, 33, 47-54. [Google Scholar] [CrossRef] [PubMed]
[13] Sechi, E., Cacciaguerra, L., Chen, J.J., Mariotto, S., Fadda, G., Dinoto, A., et al. (2022) Myelin Oligodendrocyte Glycoprotein Antibody-Associated Disease (MOGAD): A Review of Clinical and MRI Features, Diagnosis, and Management. Frontiers in Neurology, 13, Article 885218. [Google Scholar] [CrossRef] [PubMed]
[14] Chen, J.J., Flanagan, E.P., Jitprapaikulsan, J., López-Chiriboga, A.S., Fryer, J.P., Leavitt, J.A., et al. (2018) Myelin Oligodendrocyte Glycoprotein Antibody-Positive Optic Neuritis: Clinical Characteristics, Radiologic Clues, and Outcome. American Journal of Ophthalmology, 195, 8-15. [Google Scholar] [CrossRef] [PubMed]
[15] Winter, A. and Chwalisz, B. (2020) MRI Characteristics of NMO, MOG and MS Related Optic Neuritis. Seminars in Ophthalmology, 35, 333-342. [Google Scholar] [CrossRef] [PubMed]
[16] Jiang, S., Dong, H., Yan, L., et al. (2017) Go-Sha-Jinki-Gan (GJG) Palliates Inflammation in Experimental Autoimmune Encephalomyelitis (EAE) Mice. Journal of the Neurological Sciences, 381, 174-179.
[17] Mariano, R., Messina, S., Kumar, K., Kuker, W., Leite, M.I. and Palace, J. (2019) Comparison of Clinical Outcomes of Transverse Myelitis among Adults with Myelin Oligodendrocyte Glycoprotein Antibody vs Aquaporin-4 Antibody Disease. JAMA Network Open, 2, e1912732. [Google Scholar] [CrossRef] [PubMed]
[18] Dubey, D., Pittock, S.J., Krecke, K.N., Morris, P.P., Sechi, E., Zalewski, N.L., et al. (2019) Clinical, Radiologic, and Prognostic Features of Myelitis Associated with Myelin Oligodendrocyte Glycoprotein Autoantibody. JAMA Neurology, 76, 301-309. [Google Scholar] [CrossRef] [PubMed]
[19] Zhangbao, J., Huang, W., Zhou, L., Wang, L., Chang, X., Lu, C., et al. (2020) Myelitis in Inflammatory Disorders Associated with Myelin Oligodendrocyte Glycoprotein Antibody and Aquaporin-4 Antibody: A Comparative Study in Chinese Han Patients. European Journal of Neurology, 28, 1308-1315. [Google Scholar] [CrossRef] [PubMed]
[20] Kim, H.J., Paul, F., Lana-Peixoto, M.A., Tenembaum, S., Asgari, N., Palace, J., et al. (2015) MRI Characteristics of Neuromyelitis Optica Spectrum Disorder: An International Update. Neurology, 84, 1165-1173. [Google Scholar] [CrossRef] [PubMed]
[21] Salama, S., Khan, M., Shanechi, A., Levy, M. and Izbudak, I. (2020) MRI Differences between MOG Antibody Disease and AQP4 NMOSD. Multiple Sclerosis Journal, 26, 1854-1865. [Google Scholar] [CrossRef] [PubMed]
[22] Ren, C., Zhang, W., Zhou, A., Zhou, J., Cheng, H., Tang, X., et al. (2023) Clinical and Radiologic Features among Children with Myelin Oligodendrocyte Glycoprotein Antibody-Associated Myelitis. Pediatric Neurology, 143, 96-99. [Google Scholar] [CrossRef] [PubMed]
[23] El Naggar, I., Cleaveland, R., Wendel, E., Bertolini, A., Schanda, K., Karenfort, M., et al. (2022) MR Imaging in Children with Transverse Myelitis and Acquired Demyelinating Syndromes. Multiple Sclerosis and Related Disorders, 67, Article ID: 104068. [Google Scholar] [CrossRef] [PubMed]
[24] Rinaldi, S., Davies, A., Fehmi, J., Beadnall, H.N., Wang, J., Hardy, T.A., et al. (2021) Overlapping Central and Peripheral Nervous System Syndromes in MOG Antibody-Associated Disorders. Neurology Neuroimmunology & Neuroinflammation, 8, e943. [Google Scholar] [CrossRef] [PubMed]
[25] Fadda, G., Alves, C.A., O’Mahony, J., Castro, D.A., Yeh, E.A., Marrie, R.A., et al. (2021) Comparison of Spinal Cord Magnetic Resonance Imaging Features among Children with Acquired Demyelinating Syndromes. JAMA Network Open, 4, e2128871. [Google Scholar] [CrossRef] [PubMed]
[26] Pagany, M., Jagodic, M., Schubart, A., Pham-Dinh, D., Bachelin, C., Baron van Evercooren, A., et al. (2003) Myelin Oligodendrocyte Glycoprotein Is Expressed in the Peripheral Nervous System of Rodents and Primates. Neuroscience Letters, 350, 165-168. [Google Scholar] [CrossRef] [PubMed]
[27] Sundaram, S., Nair, S.S., Jaganmohan, D., Unnikrishnan, G. and Nair, M. (2019) Relapsing Lumbosacral Myeloradiculitis: An Unusual Presentation of MOG Antibody Disease. Multiple Sclerosis Journal, 26, 509-511. [Google Scholar] [CrossRef] [PubMed]
[28] Reindl, M. and Waters, P. (2018) Myelin Oligodendrocyte Glycoprotein Antibodies in Neurological Disease. Nature Reviews Neurology, 15, 89-102. [Google Scholar] [CrossRef] [PubMed]
[29] Armangue, T., Olivé-Cirera, G., Martínez-Hernandez, E., Sepulveda, M., Ruiz-Garcia, R., Muñoz-Batista, M., et al. (2020) Associations of Paediatric Demyelinating and Encephalitic Syndromes with Myelin Oligodendrocyte Glycoprotein Antibodies: A Multicentre Observational Study. The Lancet Neurology, 19, 234-246. [Google Scholar] [CrossRef] [PubMed]
[30] Li, H., Yang, L., Wu, Z., Zhou, L., Bao, Y., Geng, D., et al. (2020) Brain MRI Features of Chinese Han Patients with MOG-Antibody Disease. Multiple Sclerosis and Related Disorders, 43, Article ID: 102167. [Google Scholar] [CrossRef] [PubMed]
[31] Banks, S.A., Morris, P.P., Chen, J.J., et al. (2020) Brainstem and Cerebellar Involvement in MOG-IgG-Associated Disorder versus Aquaporin-4-IgG and MS. Journal of Neurology, Neurosurgery & Psychiatry, 91, 1092-1094.
[32] Habib, A.A., Marton, L.S., Allwardt, B., Gulcher, J.R., Mikol, D.D., Högnason, T., et al. (1998) Expression of the Oligodendrocyte-Myelin Glycoprotein by Neurons in the Mouse Central Nervous System. Journal of Neurochemistry, 70, 1704-1711. [Google Scholar] [CrossRef] [PubMed]
[33] Hochmeister, S., Gattringer, T., Asslaber, M., Stangl, V., Haindl, M.T., Enzinger, C., et al. (2020) A Fulminant Case of Demyelinating Encephalitis with Extensive Cortical Involvement Associated with Anti-MOG Antibodies. Frontiers in Neurology, 11, Article 31. [Google Scholar] [CrossRef] [PubMed]
[34] Elsbernd, P., Cacciaguerra, L., Krecke, K.N., Chen, J.J., Gritsch, D., Lopez-Chiriboga, A.S., et al. (2023) Cerebral Enhancement in MOG Antibody-Associated Disease. Journal of Neurology, Neurosurgery & Psychiatry, 95, 14-18. [Google Scholar] [CrossRef] [PubMed]
[35] Cobo-Calvo, A., Ayrignac, X., Kerschen, P., Horellou, P., Cotton, F., Labauge, P., et al. (2019) Cranial Nerve Involvement in Patients with MOG Antibody-Associated Disease. Neurology Neuroimmunology & Neuroinflammation, 6, e543. [Google Scholar] [CrossRef] [PubMed]
[36] He, J., Grossman, R.I., Ge, Y., et al. (2001) Enhancing Patterns in Multiple Sclerosis: Evolution and Persistence. American Journal of Neuroradiology, 22, 664-669.
[37] Taieb, G., Duran-Peña, A., de Chamfleur, N.M., Moulignier, A., Thouvenot, E., Allou, T., et al. (2015) Punctate and Curvilinear Gadolinium Enhancing Lesions in the Brain: A Practical Approach. Neuroradiology, 58, 221-235. [Google Scholar] [CrossRef] [PubMed]
[38] Zhang, L., Feng, C., He, L., Huang, S., Liu, X. and Fan, X. (2024) MOG-Antibody-Associated Transverse Myelitis with the H-Sign and Unusual MRI Enhancement: A Case Report and Literature Review. Frontiers in Pediatrics, 12, Article 1451688. [Google Scholar] [CrossRef] [PubMed]