乳腺实性乳头状癌11例临床病理特征分析
Analysis of Clinicopathological Features of 11 Cases of Solid Papillary Carcinoma of the Breast
摘要: 本研究回顾性分析11例乳腺实性乳头状癌(SPC)患者的临床病理资料。患者均为女性,中位年龄67岁,临床表现以乳房肿块或乳头血性溢液为主。病理诊断包括原位型5例、伴微浸润1例及伴浸润性癌5例。所有病例雌激素受体(ER)、孕激素受体(PR)均呈弥漫强阳性,人表皮生长因子受体2 (HER2)均为阴性,神经内分泌标志物普遍表达。前哨淋巴结活检9例均为阴性,随访期间未见复发转移。研究提示SPC具有特征性免疫表型与惰性临床进程,诊断需综合形态学与免疫组化,准确区分原位与浸润成分对指导个体化治疗、避免过度干预至关重要。
Abstract: This study retrospectively analyzed the clinicopathological data of 11 patients with solid papillary carcinoma (SPC) of the breast. All patients were female with a median age of 67 years. Clinical presentations mainly included breast mass or bloody nipple discharge. Pathological diagnoses comprised 5 cases of in situ SPC, 1 case with microinvasion, and 5 cases with invasive carcinoma. All cases showed diffuse strong positivity for estrogen receptor (ER) and progesterone receptor (PR), were negative for human epidermal growth factor receptor 2 (HER2), and commonly expressed neuroendocrine markers. Sentinel lymph node biopsy was performed in 9 cases, all of which were negative. No recurrence or metastasis was observed during follow-up. The study suggests that SPC exhibits characteristic immunophenotypes and an indolent clinical course. Accurate diagnosis requires integration of histomorphology and immunohistochemistry, and precise distinction between in situ and invasive components is crucial for guiding individualized treatment and avoiding overtreatment.
文章引用:高晓, 韩莹莹. 乳腺实性乳头状癌11例临床病理特征分析[J]. 临床医学进展, 2026, 16(2): 148-155. https://doi.org/10.12677/acm.2026.162372

1. 引言

乳腺实性乳头状癌(solid papillary carcinoma, SPC)是一种少见的乳腺乳头状肿瘤,其概念与分类在世界卫生组织(WHO)乳腺肿瘤分类中经历了逐步演变:2003年被描述为导管内乳头状癌的实体型,2012年被列为导管内乳头状病变中的独立亚型,至2019年第5版分类中正式归入乳腺乳头状病变范畴[1],反映出对其认识的不断深化。这一演变历程不仅明确了SPC的诊断地位,也提示其生物学行为和临床管理策略需要基于更精确的分类。该肿瘤多见于老年女性,典型组织学表现为膨胀性实性结节,结节内可见纤细的纤维血管轴心,并常伴有神经内分泌分化[2] [3]。根据其生物学行为,SPC可分为原位型与伴浸润性癌两类;后者指在实性结节背景下出现明确的间质浸润灶或合并其他类型浸润性癌[4] [5]。准确的病理分型对临床决策至关重要。然而,SPC的病理诊断仍面临挑战,尤其在原位性与浸润性成分的界定上尚存争议[6]。鉴于SPC在临床实践中相对少见,病理医师在诊断时易与其他乳头状病变混淆。本研究通过分析11例SPC的临床病理资料,并结合文献复习,旨在提高对该病的识别与鉴别诊断水平,从而为病理医师提供清晰的诊断思路,最终为临床个体化治疗提供可靠的病理依据。

2. 资料与方法

2.1. 一般资料

收集2022年6月至2025年8月江苏省人民医院宿迁医院(宿迁市第一人民医院)病理科确诊的乳腺实性乳头状癌(SPC)患者共11例。纳入标准为:经术后病理检查明确诊断为SPC (包括原位型及伴浸润性成分者),且临床与病理资料完整。本研究已获本院伦理委员会批准(批件号:2025-SR-0336),并豁免患者知情同意(因属回顾性匿名分析)。

2.2. 方法

所有组织标本均经10%中性甲醛溶液固定,常规脱水、石蜡包埋,制成4 μm厚度的切片进行苏木精–伊红(HE)染色。免疫组织化学检测采用EnVision二步法完成,实验操作严格按照试剂说明书进行。所用一抗包括:雌激素受体(ER)、孕激素受体(PR)、人表皮生长因子受体2 (HER2)购自上海罗氏公司,余Ki-67、突触素(Syn)、嗜铬粒蛋白A (CgA)、p63、细胞角蛋白5/6 (CK5/6)、上皮性钙黏附蛋白(E-cadherin)、连接素(P120)、平滑肌肌球蛋白重链(SMMHC)均购自福州迈新生物技术开发有限公司。所有抗体均设阳性和阴性对照,以确保染色结果的可靠性。对于HER2免疫组化染色评分为2+的病例,进一步行荧光原位杂交(FISH)检测(检测试剂盒为广州安必平医药科技有限公司产品)以明确基因状态。结果判读参考《乳腺癌HER2检测指南(2019版)》[7]的相关标准。所有HE及免疫组化切片均经由两名高年资病理医师独立复阅,并共同商议后达成一致诊断意见。

3. 结果

3.1. 临床特征

本组所有(11例)患者均为女性,年龄34~79岁(平均65.3岁,中位67岁),右侧乳腺病变7例,左侧4例。7例临床表现为乳房肿块就诊,4例表现为单侧乳头血性溢液。所有患者均接受手术治疗:8例行乳房单纯切除术联合前哨淋巴结活检,1例行乳腺保乳手术联合前哨淋巴结活检,2例行乳腺区段切除术。另其中1例(病例8)因双侧病变(左乳浸润性癌非特殊类型,右乳乳腺实性乳头状癌伴浸润)行双侧乳房单纯切除及双侧前哨淋巴结活检。详细临床资料见表1

病理诊断显示:5例为原位SPC,1例为SPC伴微浸润,4例为SPC伴浸润。值得注意的是,病例3为同侧双病灶,分别诊断为SPC伴浸润和黏液癌;病例8为双乳病变,左乳另存乳腺浸润性癌非特殊类型,左乳情况本文不做单独特殊列入。淋巴结评估方面,9例接受前哨淋巴结活检,结果均为阴性;其余2例原位SPC单一小病灶(病例4、5,病灶 ≤ 0.5 cm)未行前哨淋巴结活检。

本组9例患者完成随访(4~42个月,平均18.6个月),期间未见局部复发或转移;2例(病例1、5)失访。

Table 1. Clinical data and pathological diagnosis of 11 patients with solid papillary carcinoma of the breast

1. 乳腺实性乳头状癌11例患者的临床资料与病理诊断

序号

年龄

()

临床症状

肿块最大径 (cm)

病理诊断

手术方式

淋巴结()

随访()

1

65

右乳头溢血

2.0

SPC伴微浸润

单纯切除 + 前哨淋巴结活检

0/11

失访

2

59

右乳肿块

4.0

SPC伴浸润

保乳切除 + 腋窝淋巴结活检

0/7

42

3

68

右乳肿块

2枚:2.2;1.5

SPC伴浸润;黏液癌

单纯切除 + 前哨淋巴结活检

0/7

30

4

34

右乳头溢血

0.3

原位SPC

区段切除

未检测

27

5

67

左乳头溢血

0.5

原位SPC

区段切除

未检测

失访

6

66

右乳头溢血

多灶性:0.3~0.5

原位SPC

单纯切除 + 前哨淋巴结活检

0/4

15

7

68

右乳肿块

7.0

SPC伴黏液癌

单纯切除 + 前哨淋巴结活检

0/9

14

8

61

左乳肿块

左乳:2.2;

右乳:0.5

左乳:浸润性NOS;右乳:SPC伴浸润

单纯切除 + 前哨淋巴结活检

左:0/2;

右:0/5

24

9

79

右乳肿块

2.3

原位SPC

单纯切除 + 前哨淋巴结活检

0/9

8

10

69

左乳肿块

1.7

SPC伴浸润

单纯切除 + 前哨淋巴结活检

0/6

5

11

68

左乳肿块

2

原位SPC

单纯切除 + 前哨淋巴结活检

0/3

4

3.2. 病理学特征

3.2.1. 大体观察

所有病例均先行术中冰冻检查,肿瘤切面多呈灰红色或灰褐色,质地中等,部分呈结节状,与周围组织界限尚清;部分(浸润性癌)质地硬,边界不清,黏液癌切面有胶冻感。大体联合镜下所有病例病变最大径0.3 cm~7.0 cm。

3.2.2. 组织学形态

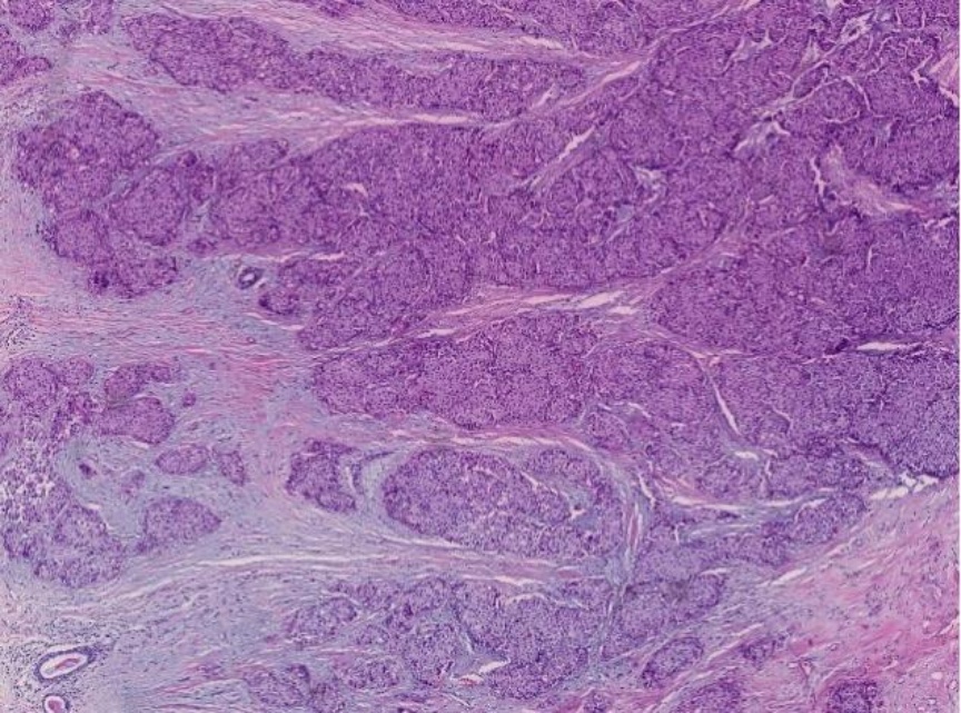
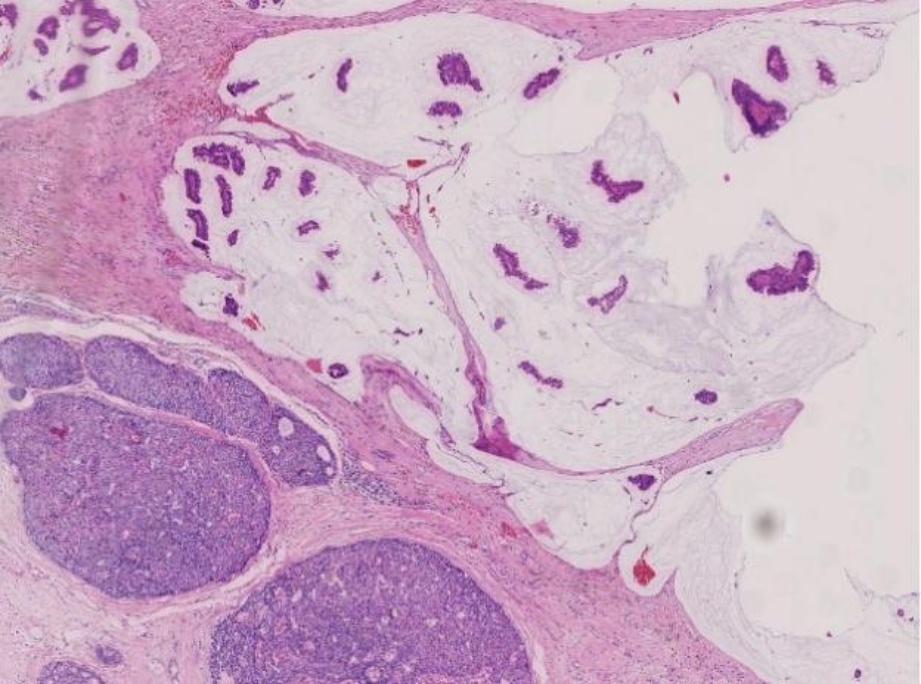
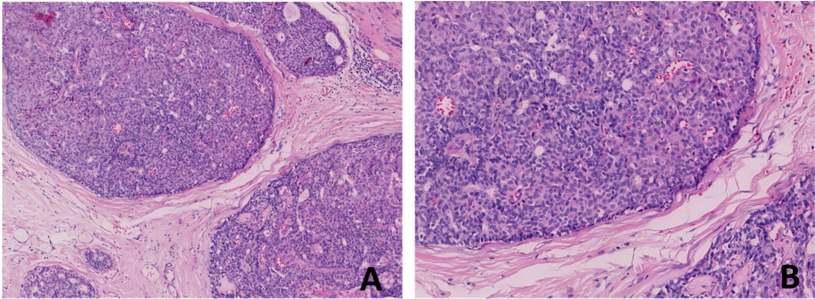
镜下观察原位型SPC可见肿瘤细胞形成富于细胞的实性结节,呈膨胀性生长模式(图1(A)),结节内可见纤细的纤维血管轴心结构(图1(B)),肿瘤细胞形态相对一致,异型性呈轻至中度,核分裂象罕见。SPC伴浸润,浸润区表现为轮廓不规则、地图样或锯齿状的肿瘤细胞巢侵入周围间质并伴促纤维结缔组织反应(图2);1例(病例7)则在SPC背景的基础上,明确伴有黏液癌成分(图3),黏液湖中漂浮着大小不一的肿瘤细胞簇。

(A) 肿瘤境界较清,肿瘤细胞形成富于细胞的实性结节,呈膨胀性生长模式(HE ×100);(B) 肿瘤缺乏明显乳头状结构,但结节内可见纤细的纤维血管轴心结构,肿瘤细胞形态相对一致,异型性呈轻至中度(HE ×200)。

Figure 1. In situ solid papillary carcinoma of breast

1. 乳腺原位实性乳头状癌

Figure 2. Breast carcinoma, solid papular type, with invasion. The invasive component is characterized by irregularly contoured, geographic or jagged tumor cell nests infiltrating into the surrounding stroma, accompanied by a desmoplastic stromal reaction (HE ×40)

2. 乳腺实性乳头状癌伴浸润,浸润区表现为轮廓不规则、地图样或锯齿状的肿瘤细胞巢侵入周围间质并伴促纤维结缔组织反应(HE ×40)

3.2.3. 免疫表型

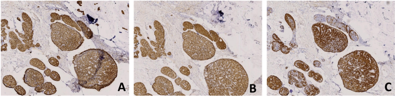
本组所有SPC病例(11/11)的ER和PR均呈现弥漫性强阳性表达(图4(A)图4(B))。6例患者HER2表达状态为0,3例1+,2例表达不确定(2+),所有病例经FISH检测证实均无HER2基因扩增。Ki-67增殖指数在多数病例中处于较低水平(≤10%),个别浸润性癌活跃区约20%。神经内分泌标志物Syn阳性(图4(C)) 11例(100%),CgA阳性9例(81.8%)。肌上皮标记物CK5/6、p63、SMMHC,在原位区域呈现部分缺失~全部存在,在浸润区域完全缺失。另外,CK5/6肿瘤细胞均不表达,E-cadherin与P120均为细胞膜阳性。

Figure 3. On a background of SPC, a distinct mucinous carcinoma component is identified (HE ×40)

3. 在SPC背景基础上,明确伴有黏液癌成分(HE ×40)

(A) 肿瘤细胞核ER弥漫强阳性表达;(B) 肿瘤细胞核PR弥漫强阳表达;(C) 肿瘤细胞质Syn较弥漫阳性表达。

Figure 4. Immunohistochemical expression

4. 免疫组化表达

为进一步比较原位型乳腺实性乳头状癌(SPC)与伴浸润性成分SPC之间的病理差异,本研究将11例病例按诊断类型分为两组:原位SPC组(n = 5)与SPC伴浸润组(n = 6),并对两组在肌上皮标记、增殖活性、间质反应及免疫表型等方面进行系统比较(见表2)。结果显示,原位SPC组肿瘤结节周边肌上皮标记(p63/SMMHC/CK5/6)多呈连续或局灶缺失(3例局灶缺失,2例基本完整),而SPC伴浸润组在浸润区域均表现为完全缺失,原位区可局灶缺失。Ki-67增殖指数在原位组中均≤10% (平均6.2%),而在伴浸润组中,原位区亦≤10%,但浸润活跃区可达15%~20% (平均17.5%),提示局部增殖活性增强。间质反应方面,原位SPC组无明显促纤维结缔组织反应,肿瘤结节边界光滑,呈推挤性生长;而SPC伴浸润组则表现为明显的促纤维结缔组织反应,肿瘤巢呈地图样或锯齿状浸润。神经内分泌标志物Syn在两组中均呈100%表达,CgA在原位组为80%,伴浸润组为83%,差异无统计学意义。ER和PR在两组中均为弥漫强阳性(100%),未见显著差异。

Table 2. Comparison of pathological features between in situ SPC and SPC with invasion groups

2. 原位SPC与SPC伴浸润组的病理特征对比

特征

原位SPC(n = 5)

SPC伴浸润组(n = 6)

肌上皮标记 (p63/SMMHC/CK5/6)

肿瘤结节周边呈连续或局灶缺失 (3例局灶缺失,2例基本完整)

浸润区域完全缺失; 原位区域可局灶缺失

Ki-67增殖指数

≤10% (平均6.2%)

原位区≤10%, 浸润活跃区达15%~20% (平均17.5%)

间质反应

无促纤维反应; 结节边界光滑、推挤性生长

明显促纤维结缔组织反应; 肿瘤巢呈地图样、锯齿状浸润

神经内分泌标志物(Syn/CgA)

Syn 100%, CgA 80%

Syn 100%,CgA 83% (无显著差异)

ER/PR状态

弥漫强阳性(100%)

弥漫强阳性(100%)

4. 讨论

本研究对11例乳腺实性乳头状癌(SPC)的临床病理特征进行了分析,结果与既往文献报道基本一致[3] [6]。本组患者中位年龄为67岁,临床表现以乳房无痛性肿块及乳头血性溢液为主,这与其好发于乳腺中央区并常累及大导管的解剖学特点密切相关[8] [9]。乳头溢血的出现,常提示肿瘤位于大导管内并伴有出血或坏死,是促使患者就医的重要症状之一,尤其在肿块不明显的病例中。

本组病例免疫表型呈现高度一致性:雌激素受体(ER)和孕激素受体(PR)弥漫强阳性,人类表皮生长因子受体2 (HER2)阴性,且神经内分泌标志物(如Syn、CgA)普遍高表达。这一特征构成了SPC区别于其他乳腺乳头状病变的重要鉴别依据[3] [9]。尤为重要的是,本组所有接受前哨淋巴结活检的病例(共9例)均未发现转移,进一步支持SPC整体呈惰性生物学行为的观点[3] [10]。这一结果提示,对于典型的、无明确间质浸润证据的SPC,前哨淋巴结活检的必要性或许可以更加个体化地评估,尤其对于小病灶。

准确区分SPC的原位性与浸润性成分,是当前病理诊断的核心难点,也是学术界关注的焦点之一[4]。本研究通过对比原位SPC与SPC伴浸润两组病例的病理特征,进一步明确了二者在肌上皮完整性、增殖活性及间质反应等方面的系统性差异。原位型SPC的诊断关键在于识别其典型的膨胀性生长模式及边界光滑、轮廓光整的结节结构。值得注意的是,近年观点强调,SPC的诊断应主要依据其独特的组织学构型,而非完全依赖肌上皮层的完整性[9]。正如文献所述[6] [11] [12],部分原位型SPC结节周边的肌上皮标志物(如p63、SMMHC)可呈局灶缺失或不完整,但只要肿瘤边界清晰、无间质浸润证据,其生物学行为仍属惰性。真正的浸润性成分则需满足明确的形态学标准:即肿瘤细胞呈不规则、地图样或锯齿状浸润前沿,常伴促纤维结缔组织反应;或明确合并其他类型的浸润性癌(如本组病例7所见的黏液癌成分) [5] [6] [10]。本组中肌上皮标记在原位区的不稳定表达,也印证了这一点。因此,病理医师在评估时,应将高倍镜下观察肿瘤–间质交界处的形态学特征置于首位,免疫组化结果作为重要的辅助和验证工具。因此,在日常病理实践中,应综合评估肿瘤的生长方式、边界特征及间质反应,避免仅凭肌上皮标志物缺失而误判为浸润性癌,从而为临床提供精准的风险分层,减少对惰性病变的过度治疗[13]

此外,本研究还观察到若干特殊情形:病例4为一名34岁的年轻女性,以单导管血性乳头溢液为首发症状,提示SPC虽多见于老年女性,但在年轻患者中亦不可忽视,应纳入相关鉴别诊断谱系。对于年轻女性的乳头溢血,除了常见的导管内乳头状瘤,SPC也应作为一个需要考虑的鉴别诊断,尤其是当影像学提示实性结节时。病例7为SPC伴黏液癌,此现象在文献中亦有报道[3] [6],反映了SPC的多向分化潜能。这种混合成分的存在,可能提示肿瘤的克隆演进,其生物学行为和治疗反应可能更接近于伴随的浸润性癌类型,临床管理需据此调整。

近年来,随着分子病理技术的发展,对SPC的基因组特征有了初步认识。现有证据表明,SPC属于雌激素受体(ER)阳性、低级别乳腺癌分子谱系的一部分,而非独立的分子实体。研究显示,SPC多呈现典型的低级别ER阳性乳腺癌基因组特征,如16q缺失、1q获得等,且常伴有PIK3CA激活突变,而HER2扩增与TP53突变罕见,这与其惰性生物学行为相符[14]。少数研究还报道了ACACB、PRUNE2、FOXF2等基因突变,提示可能存在特定的信号通路异常,但其临床意义尚需进一步验证[15]

这种独特的分子背景为解释SPC的临床病理多样性提供了线索。例如,本研究中的早发案例(病例4,34岁)以及SPC伴黏液癌的病例(病例7),均可置于该分子谱系下进行考量。前者虽罕见,但提示了年龄并非绝对限制因素,其驱动机制可能涉及更细微的遗传或表观遗传改变;后者则反映了SPC可向黏液癌分化的潜能,两者可能共享部分关键的驱动事件。尽管本研究未进行基因验证,但现有分子认知提示,对于具有不典型特征的SPC,未来的诊断与治疗策略有望通过整合分子分型而更加精准。

在治疗策略上,单纯原位型SPC预后极佳,局部扩大切除联合内分泌治疗通常足以获得良好疗效,应避免不必要的腋窝清扫或放化疗等过度干预[9] [16]。本组5例原位SPC患者在随访期内均无复发,也支持这一相对保守的治疗理念。而对于伴浸润性成分的SPC,则需参照相应类型浸润性癌的诊疗指南进行规范化综合治疗[6] [17] [18],其预后相对较差,需密切随访。尽管本组伴浸润病例短期内亦无复发,但鉴于其潜在的转移风险,规范的全身评估和定期随访不可或缺。

本研究尚存在一定局限性:样本量较小、来源于单中心,且随访时间较短,无法全面评估SPC的长期预后及复发风险。未来研究可着重于收集更多病例,特别是伴浸润的病例,并延长随访时间,以明确不同亚型的确切复发率和生存率。未来需通过多中心、大样本、前瞻性研究进一步验证其生物学行为及最佳管理策略。

综上,SPC是一种具有独特形态与免疫表型的低度恶性肿瘤。病理诊断中准确区分原位型SPC与SPC伴浸润性成分,是指导临床个体化治疗、实现精准医疗的关键。诊断时应综合形态学与免疫组化,重点关注肿瘤边界性质,而非单一依赖肌上皮标记,对于前者应避免过度治疗,而对于后者则需进行规范化的综合管理。通过提高诊断的准确性,我们能够更好地将这种惰性肿瘤与更具侵袭性的乳腺癌区分开来,最终使患者获益于最恰当的治疗。

NOTES

*通讯作者。

参考文献

[1] WHO Classification of Tumours Editorial Board (2019) Breast Tumours. 5th Edition, IARC Press.
[2] Zhao, H. and Lou, S. (2023) Clinicopathological Characteristics and Treatment of Solid Papillary Carcinoma of the Breast. Asian Journal of Surgery, 46, 3389-3390. [Google Scholar] [CrossRef] [PubMed]
[3] Jadhav, T., Prasad, S.S., Guleria, B., Tevatia, M.S. and Guleria, P. (2022) Solid Papillary Carcinoma of the Breast. Autopsy Case Reports, 12, e2021352. [Google Scholar] [CrossRef] [PubMed]
[4] Tay, T.K.Y. and Tan, P.H. (2021) Papillary Neoplasms of the Breast—Reviewing the Spectrum. Modern Pathology, 34, 1044-1061. [Google Scholar] [CrossRef] [PubMed]
[5] 王婧楠, 刘艺璇, 李雪晴, 等. 乳腺实性乳头状癌患者144例临床分析[J]. 精准医学杂志, 2024, 39(4): 337-340.
[6] Yamada, M., Otsuki, Y., Ikeya, T., Shimizu, S., Tanioka, F., Ogawa, H., et al. (2023) Cytological Study of 44 Cases with Solid Papillary Carcinoma and a Systemic Review of Solid Papillary Carcinoma and Neuroendocrine Tumor of the Breast. Diagnostic Cytopathology, 51, 341-348. [Google Scholar] [CrossRef] [PubMed]
[7] 《乳腺癌HER2检测指南(2019版)》编写组. 乳腺癌HER2检测指南(2019版) [J]. 中华病理学杂志, 2019, 48(3): 169-175.
[8] 刘丽丽, 陈定宝, 王思源, 等. 44例乳腺实性乳头状癌临床与病理学特征分析[J]. 中华普通外科杂志, 2019, 34(9): 776-778.
[9] Otsuki, Y., Suwa, K., Ohtsuka, S., Mori, N., Yoshida, M., Serizawa, A., et al. (2023) A Large-Scale Clinicopathological and Long-Term Follow-Up Study of Solid Papillary Carcinoma of the Breast. Virchows Archiv, 482, 687-695. [Google Scholar] [CrossRef] [PubMed]
[10] Tan, B.Y., Thike, A.A., Ellis, I.O. and Tan, P.H. (2016) Clinicopathologic Characteristics of Solid Papillary Carcinoma of the Breast. American Journal of Surgical Pathology, 40, 1334-1342. [Google Scholar] [CrossRef] [PubMed]
[11] Matar, S., Taha, S.R. and Boulos, F. (2025) Morphologically in Situ Solid Papillary Carcinoma of the Breast with Lymph Node and Lung Metastasis: A Rare Case Report and Literature Review. International Journal of Surgical Pathology, 33, 1801-1806. [Google Scholar] [CrossRef] [PubMed]
[12] 雷建园, 陈琳, 李文生, 等. 乳腺包裹性乳头状癌12例临床病理特征分析[J]. 诊断病理学杂志, 2025, 32(1): 23-26, 99.
[13] 张冲冲, 刘健, 陈鹏飞, 等. 乳腺实性乳头状癌78例临床病理特征[J]. 临床与实验病理学杂志, 2021, 37(7): 780-784.
[14] Duprez, R., Wilkerson, P.M., Lacroix‐Triki, M., Lambros, M.B., MacKay, A., Hern, R.A., et al. (2011) Immunophenotypic and Genomic Characterization of Papillary Carcinomas of the Breast. The Journal of Pathology, 226, 427-441. [Google Scholar] [CrossRef] [PubMed]
[15] Alsadoun, N., MacGrogan, G., Truntzer, C., Lacroix-Triki, M., Bedgedjian, I., Koeb, M., et al. (2018) Solid Papillary Carcinoma with Reverse Polarity of the Breast Harbors Specific Morphologic, Immunohistochemical and Molecular Profile in Comparison with Other Benign or Malignant Papillary Lesions of the Breast: A Comparative Study of 9 Additional Cases. Modern Pathology, 31, 1367-1380. [Google Scholar] [CrossRef] [PubMed]
[16] Hashmi, A.A., Iftikhar, S.N., Haider, R., Haider, R., Irfan, M. and Ali, J. (2020) Solid Papillary Carcinoma of Breast: Clinicopathologic Comparison with Conventional Ductal Carcinoma of Breast. Cureus, 12, e11172. [Google Scholar] [CrossRef] [PubMed]
[17] Zhang, X., Huang, B., Wu, K. and Fu, S. (2023) Infiltrative Solid Papillary Carcinoma of the Breast with Axillary Lymph Node Metastasis: A Case Report. BMC Womens Health, 23, Article No. 453. [Google Scholar] [CrossRef] [PubMed]
[18] Morgan, S., Dodington, D., Wu, J.M. and Turashvili, G. (2021) Solid Papillary Carcinoma and Encapsulated Papillary Carcinoma of the Breast: Clinical-Pathologic Features and Basement Membrane Studies of 50 Cases. Pathobiology, 88, 359-373. [Google Scholar] [CrossRef] [PubMed]