一例复发性糖尿病性单根颅神经病变
A Case of Recurrent Diabetic Mononeuropathy of the Cranial Nerve
摘要: 本文报道一位67岁2型糖尿病女性患者先后出现不同颅神经麻痹。在诊断过程中,结合相关临床症状、影像学检查及实验室检查结果,通过与其他疾病的详细鉴别,最终确诊为复发性糖尿病性单根颅神经病变。本文旨在优化早期诊断、改进治疗方案及深入研究疾病机制,强调早期诊断的重要性,提高对该疾病的认识与临床处理水平。
Abstract: This article reports on a 67-year-old female patient with type 2 diabetes mellitus who successively presented with different cranial nerve palsies. During the diagnostic process, by integrating relevant clinical symptoms, imaging examinations and laboratory test results, and through detailed differentiation from other diseases, the patient was ultimately diagnosed with Recurrent Diabetic Mononeuropathy of the Cranial Nerves. This article aims to optimize early diagnosis, improve treatment plans, and deepen the understanding of the disease mechanism, emphasizing the importance of early diagnosis and enhancing the recognition and clinical management of this disease.
文章引用:张悦, 杨昊翔. 一例复发性糖尿病性单根颅神经病变[J]. 临床医学进展, 2026, 16(2): 163-167. https://doi.org/10.12677/acm.2026.162374

1. 引言

糖尿病神经病变(diabetic neuropathy, DN)是糖尿病最常见的慢性并发症之一,其中糖尿病周围神经病变(diabetic peripheral neuropathy, DPN)最为常见[1]。而糖尿病中枢神经系统病变(diabetic central neuropathy, DCN)是糖尿病神经系统病变的一种少见类型,复发性糖尿病性单根颅神经在此类病变中更为罕见。当患者出现两次或两次以上、在不同时间发生的单支颅神经麻痹时,即被称为“复发性糖尿病性单根颅神经”。本案例通过详细分析一例复发性糖尿病性单根颅神经患者的临床资料,旨在提高对该疾病的认识,总结关键诊断环节,评估治疗效果,明确治疗策略的优化方向,为临床医生提供更为精准的诊断和治疗参考。

2. 病历资料

1、患者,女性,67岁,主因“多饮、多尿17年,头晕伴视力减退4天”于我院内分泌科住院。既往高血压、左侧周围性面瘫、右侧动眼神经麻痹等病史。

2、查体:神志清楚,言语流利。高级皮层功能大致正常。左眼外展受限,双侧瞳孔正大等圆,直径3 mm,对光反射灵敏。口角右歪,伸舌居中。左侧额纹变浅。四肢肌力5级,肌张力正常。

3、相关化验:糖化血红蛋白:8.9% (4.0%~6.0%)。葡萄糖(糖耐量2小时) 17.41 mmol∙L1 (<7.80 mmol∙L1)。C-肽(0小时) 0.74 ng∙mL1 (1.00~4.80 ng∙mL1),胰岛素(0小时) 4.69 uIU∙mL1 (2.20~25.00 uIU∙mL1)。C-肽(2小时) 0.97 ng∙mL1,胰岛素(2小时) 6.95 uIU∙mL1。8点皮质醇:皮质醇288.9 nmol∙L1 (166~507 nmol∙L1),促肾上腺皮质激素12.25 pg∙mL1 (7.2~66.3 pg∙mL1)。甲状旁腺激素28.95 pg∙mL1 (15~65 pg∙mL1)。血常规、甲功五项、免疫八项未见明显异常。

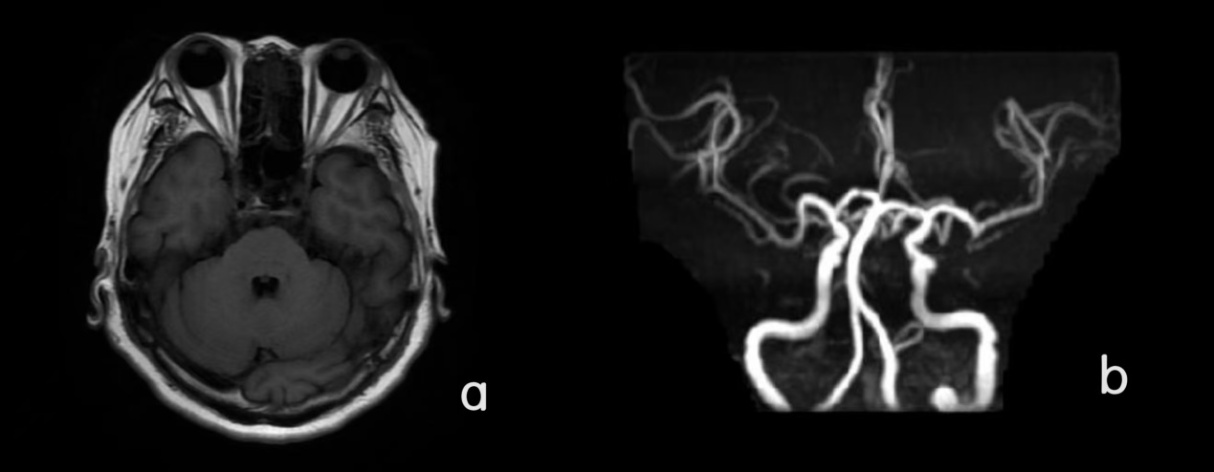
4、相关检查:磁共振颅脑平扫 + DWI (如图1):1) 缺血性脑白质病变(改良Fazekas1级),请结合临床随诊。2) 部分副鼻窦炎。磁共振颅脑动脉(MRA) (如图1):1) 头颅MRA符合脑动脉硬化表现。2) 左侧大脑后动脉P2段局限性狭窄,必要时进一步检查。3) 基底动脉走行略延长。超声心动图:左房饱满,室间隔基底段轻厚,肺动脉轻宽,左室舒张功能减低、收缩功能未见明显异常,右心功能未见明显异常。

Figure 1. (a) Plain scan of brain MRI; (b) MRA of brain

1. (a) 颅脑核磁平扫;(b) 颅脑MRA

3. 诊疗过程

请眼科会诊查:视力:右0.4,左0.2,眼压:右19.5 mmHg,左19 mmHg,左眼外转不能,双眼角膜透明,前房深浅可,瞳孔正常,晶体稍混浊,欧宝照相:双眼大致正常。印象:左眼外直肌麻痹。建议:控制血糖,复方樟柳碱左眼颞浅动脉旁注射qd,神经营养治疗,随诊。但症状未见好转,因持续头晕明显,伴恶心不适,以起身后双眼同时视物时为著,头痛,视力下降复视转入神经内科进一步治疗。

入科后考虑诊断:眼外肌麻痹待查,痛性眼肌麻痹?眶尖综合征?海绵窦综合征?2型糖尿病伴血糖控制不佳,左侧周围性面瘫。

患者表现为头晕,尤以双眼视物时头晕明显。虽然存在头痛症状,但为可以忍受的胀痛。而痛性眼肌麻痹又称Tolosa-Hunt综合征(THS),主要表现为头痛及颅神经麻痹为主的临床综合征,球后持续性、撕裂样剧痛可为首发症状[2],症状可自然缓解,亦可复发[3]。并且THS使用皮质类固醇激素治疗后,72小时内疼痛和神经麻痹症状可显著缓解。因此,在该患者治疗过程中给予地塞米松10 mg qd对症治疗,观察患者症状,用药72小时后患者症状未见好转,可排除痛性眼肌麻痹。眶尖综合征(Orbital Apex Syndrome, OAS)是由于可因各种肿瘤、血管、感染或炎症性疾病累及眶尖从而引起疾病[4]。海绵窦综合征(Cavernous Sinus Syndrome, CSS)可表现为完全性眼肌麻痹、眼球突出、水肿、Horner综合征或三叉神经感觉丧失等症状,可伴随海绵窦血栓、颈动脉海绵窦瘘、颈动脉海绵状动脉瘤等导致海绵窦结构异常病变[5]。OAS及CSS均可在影像上发现占位或其他结构异常。因此,进一步给予完善眼眶核磁平扫 + 强化(如图2):扫描未见确切异常。故暂不考虑为眶尖综合征及海绵窦综合征。结合上述,我们认为该患者病情与糖尿病相关可能性大。

Figure 2. Plain scan and enhanced MRI of the orbit

2. 眼眶核磁平扫 + 强化

追问患者相关病史:2年前患者曾因“视物模糊”就诊于我院眼科。查:视力:右眼0.4,左眼0.5;矫正视力:右眼0.6;左眼0.7;眼压:右眼14 mmHg,左眼17 mmHg;右眼上睑上举无力,睁眼时睑裂宽仅1 mm,结膜充血(+),眼球向内、向上、向下运动受限,角膜透明,前房清、深浅正常,瞳孔3 mm直径,对光反射灵敏,晶体黄白色混浊,眼底视盘边清色可,网膜行径可,黄斑区中心凹反光欠清。考虑“右侧动眼神经麻痹”。营养神经等治疗后好转。

我们发现该患者在2年之内,相继出现单侧动眼神经麻痹、面神经麻痹、外展神经麻痹,结合患者糖尿病史,且血糖控制不佳情况,完善颅脑核磁、眼眶核磁平扫 + 强化未见颅内相关占位、动脉瘤、炎症等影像学表现,考虑该患者为复发性糖尿病性单根颅神经病变。

复发性糖尿病性单根颅神经病变是一种复杂的神经系统疾病,主要病理表现为炎症反应导致颅神经水肿、脱髓鞘甚至轴索损伤,进而影响神经功能[6]。具有离散性、反复性的发作模式,即两次发作间隔时间可为数月至数年,发作间期神经功能可完全或部分恢复。最常见为动眼神经、外展神经和面神经受累。曾有研究46例2型糖尿病并发颅神经病变患者中,动眼神经表现受累患者约36.96%,外展神经表现约39.13%,面神经受累约23.91% [7]。那该如何判断单根颅神经受累时是由于糖尿病原因而非其他呢?我们可以从上述最常见的三组颅神经麻痹入手进一步分析。

首先,动眼神经麻痹病因占比最多的分别是糖尿病15.00%、动脉瘤13.33%、脑梗死12.50% [8] [9]。2型糖尿病合并动眼神经麻痹具有特异性的表现称为“瞳孔回避”,即瞳孔大小和对光反射正常[10]。这是因为支配瞳孔的纤维位于神经周边,对缺血更敏感,而主体运动纤维对缺血更敏感。而其他原因导致动眼神经麻痹常出现瞳孔受累,表现为散大、对光反射迟钝或消失。2型糖尿病合并动眼神经麻痹起病通常较急,但在数小时至数天内完全出现,病情稳定,可伴有疼痛,但多为轻中度。与之相反的其他原因导致则可表现为急性(如动脉瘤破裂)或渐进性(如肿瘤压迫)起病,同时可出现非常剧烈疼痛(尤其是动脉瘤破裂前的“预警性头痛”或海绵窦病变痛)。糖尿病相关原因具有长期糖尿病史,因此可能伴有其他糖尿病并发症(如周围神经病变、视网膜病变),尤其是该症状可自行恢复,通常2~3个月内开始恢复,预后良好。但动脉瘤、肿瘤等相关原因则可能出现其他颅神经受累(如滑车神经、外展神经、三叉神经)、颅内高压症状(呕吐、意识改变)等,原发病不解除,通常不会自行恢复,且可能加重。

其次,外展神经麻痹主要病因为糖尿病周围神经病变33%、脑血管病22%、外伤17% [11]。2型糖尿病合并外展神经麻痹主要表现为向患侧看时复视最明显,患侧眼球无法外展向内偏斜,以及因复视使得患者将头偏向患侧出现代偿性头位以减轻症状[11]。颅内压增高、肿瘤、动脉瘤、炎症等原因均可导致外展神经麻痹,其中剧烈头痛需警惕颅内压增高、蛛网膜下腔出血、海绵窦病变或炎症。2型糖尿病合并外展神经麻痹通常是孤立的单神经病变,仅表现为外展受限和复视,双侧受累极其罕见。其他原因则常合并如面神经、三叉神经等其他神经体征,还可出现肢体无力、感觉异常、共济失调、意识障碍等表现,如双侧受累强烈提示弥漫性颅内压增高或脑干病变。2型糖尿病合并外展神经麻痹完善头颅MRI通常无特异性发现,并且预后良好。至于颅内压增高、肿瘤、炎症等原因导致外展神经麻痹影像学常有阳性发现,若不解除病因通常不会恢复且可能加重。

最后,2型糖尿病合并面神经麻痹通常表现为周围性面瘫,并且因为血糖控制原因导致恢复较非糖尿病患者更慢、更不完全。而耳源性疾病(如中耳炎)、感染性疾病、肿瘤、血管原因等均可以导致面神经麻痹,还有很大一部分病因未明称特发性面瘫,如Bell麻痹等[12]。此外,脑卒中等导致中枢性面瘫常伴有“三偏征”等神经系统定位体征,亨特综合征可见外耳道/鼓膜疱疹、剧烈疼痛,中耳炎可则耳痛、流脓、听力下降,肿瘤压迫可进行性加重可能伴有多颅神经受累。上述原因导致的面神经麻痹的预后多因原发病导致出现差异。

由于复发性糖尿病性单根颅神经病变发病机制尚不明确,目前认为复发性糖尿病性单根颅神经病变与微血管病变关系密切。有研究表明,长期高血糖可导致糖基化终末产物水平升高,其与特异性受体结合后激活细胞的蛋白激酶C引发细胞内生理生化改变和血管功能障碍,从而产生糖尿病微血管病变[13],进而导致特定颅神经缺血引起病变。

4. 治疗

1) 控制血糖是预防和治疗糖尿病神经病变的基石[10]。该患者血糖难以控制,故在入院初期便给予胰岛素泵降糖,待血糖控制较平稳后,改为甘精胰岛素35 u qd皮下注射联合瑞格列奈1 mg tid及多格列艾汀75 mg bid口服降糖治疗。2) 营养神经方面建议甲钴胺针剂500~1000 ug∙d1肌内注射或静脉滴注2~4周,其后给予甲钴胺片500 ug,每日3次口服,疗程至少3个月[12]。因此,嘱患者口服甲钴胺0.5 mg tid联合肌注维生素B1 100 mg bid,同时静注鼠神经生长因子治疗。3) 此外,还给予静注银杏叶4支qd、球旁注射复方樟柳碱改善循环治疗。最终患者症状好转出院。

5. 结论

复发性糖尿病性单根颅神经病变是糖尿病的一种复杂且少见并发症,可累及III、IV、V、VI、VII等多组颅神经,导致上睑下垂、复视、眼球运动障碍、面部麻木、疼痛、面瘫等症状。其诊断主要依靠患者的糖尿病病史、临床表现及相关辅助检查,同时需要排除其他可能导致颅神经病变的病因,避免误诊和漏诊。本病例提示,对于糖尿病性神经病变的患者,应高度警惕复发性单根颅神经病变的可能,进行全面评估和及时干预,早期诊断、积极治疗对于改善患者的预后至关重要。

声 明

该病例报道已获得患者的知情同意。

NOTES

*通讯作者。

参考文献

[1] 姜静雯, 吴敏. 糖尿病神经病变的诊治进展[J]. 神经损伤与功能重建, 2022, 17(2): 95-96+102.
[2] 夏广明, 黄嘉敏, 刘永辉, 等. Tolosa-Hunt综合征的MRI表现及诊断价值[J]. 现代诊断与治疗, 2016, 27(14): 2554-2556.
[3] 郑运松, 徐会吾, 曹丽娜. Tolosa-Hunt综合征的MRI诊断[J]. 现代医药卫生, 2011, 27(1): 60.
[4] Mohankumar, A. and Gurnani, B. (2023) Orbital Apex Syndrome. StatPearls Publishing.
[5] Kuybu, O. and Dossani, R.H. (2023) Cavernous Sinus Syndromes. StatPearls Publishing.
[6] 董晓敏, 贺经, 王飞. 糖尿病性动眼神经麻痹并副鼻窦炎误诊为痛性眼肌麻痹[J]. 临床误诊误治, 2018, 31(1): 59-61.
[7] 刘志英. 2型糖尿病并发颅神经病变46例临床分析[J]. 世界最新医学信息文摘, 2017, 17(A3): 98.
[8] 吴召军, 马海玲, 何清. 57例动眼神经麻痹患者病因和临床特点分析[J]. 白求恩医学杂志, 2019, 17(6): 523-525.
[9] 司肖曼, 李富慧. 120例动眼神经麻痹患者的病因及临床特点分析[J]. 广州医药, 2023, 54(2): 75-78.
[10] 中华医学会糖尿病学分会神经并发症学组. 糖尿病神经病变诊治专家共识(2021年版) [J]. 中华糖尿病杂志, 2021, 13(6): 540-557.
[11] 李霞, 贾文辉. 外展神经麻痹的病因分析[J]. 实用妇科内分泌杂志(电子版), 2017, 4(31): 51.
[12] 李晓红, 穆志龙, 贺改涛, 等. 面神经麻痹757例临床分析[J]. 中国医药科学, 2020, 10(14): 173-175+216.
[13] 王慧, 娄晋宁. 糖尿病微血管病变机制的研究进展[J]. 医学研究杂志, 2010, 39(8): 101-104.