疑似胆道浸润的FUS::ERG融合基因阳性急性髓系白血病一例并文献复习
A Case of FUS::ERG Fusion Gene-Positive Acute Myeloid Leukemia with Suspected Biliary Tract Infiltration and Literature Review
DOI: 10.12677/acm.2026.162382, PDF, HTML, XML,   
作者: 随金雨:承德医学院研究生学院,河北 承德;赵丽云*:邢台市人民医院血液科,河北 邢台
关键词: 急性髓系白血病FUS::ERG融合基因t(16;21)维奈克拉髓外浸润Acute Myeloid Leukemia FUS::ERG Fusion Gene t(16;21) Venetoclax Extramedullary Infiltration
摘要: 探讨伴t(16;21)(p11;q22)/FUS::ERG融合基因急性髓系白血病(AML)的临床特征、治疗挑战及预后。方法:报道1例58岁FUS::ERG阳性AML患者的诊疗经过,并结合文献进行复习。结果:患者初诊呈高白细胞血症(WBC 142.2 × 109/L),免疫表型特征性表达CD56、CD123,伴+10、del(5q)及WT1突变。经维奈克拉 + 地西他滨 + 高三尖杉酯碱(VHD)方案诱导达完全缓解(CR),缓解持续约7个月后出现分子学复发(FUS::ERG 13.63%)及胆道梗阻性黄疸,疑似胆系髓外浸润(EMD)。后续对多种强化挽救治疗方案均耐药。结论:FUS::ERG AML是一种罕见高危亚型,维奈克拉为基础方案可诱导缓解,但极易发生获得性耐药及EMD。首次缓解后应尽早行异基因造血干细胞移植,其胆道EMD表现及耐药机制需引起高度重视。
Abstract: Objective: To explore the clinical features, therapeutic challenges, and prognosis of acute myeloid leukemia (AML) with t(16;21)(p11;q22)/FUS::ERG fusion gene. Methods: The diagnosis and treatment course of a 58-year-old patient with FUS::ERG-positive AML were reported and reviewed with literature. Results: The patient presented with hyperleukocytosis (WBC 142.2 × 10⁹/L) at initial diagnosis, with characteristic immunophenotypic expression of CD56 and CD123, accompanied by +10, del(5q), and WT1 mutation. Complete remission (CR) was achieved after induction therapy with Venetoclax, Decitabine, and Homoharringtonine (VHD). Molecular relapse (FUS::ERG 13.63%) and obstructive jaundice suggestive of biliary extramedullary disease (EMD) occurred approximately 7 months after remission. Subsequent intensive salvage therapies were ineffective. Conclusion: FUS::ERG AML is a rare high-risk subtype. Venetoclax-based regimens can induce remission but are prone to acquired resistance and EMD. Allogeneic hematopoietic stem cell transplantation should be performed as early as possible after first remission, and biliary EMD manifestations and resistance mechanisms warrant close attention.
文章引用:随金雨, 赵丽云. 疑似胆道浸润的FUS::ERG融合基因阳性急性髓系白血病一例并文献复习[J]. 临床医学进展, 2026, 16(2): 217-221. https://doi.org/10.12677/acm.2026.162382

1. 病例资料

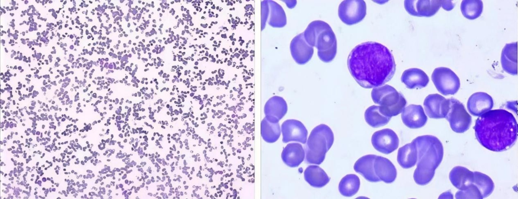
患者男,58岁。主因“双下肢瘀斑1月,发热20天”于2024年8月20日就诊于北京大学人民医院。血常规示WBC 142.2 × 109/L,HB 99 g/L,PLT 41 × 109/L。骨髓病理学:增生II~III级,原始血细胞占91%,POX染色阴性。流式细胞术检测到94.53%的异常髓系原始细胞,特征性表达CD117,CD34,CD33,CD56,CD123,CD9。细胞遗传学分析示:47, XY, del(5)(q31), +10, t(16;21)(p11;q22) [6]/47, idem, add(3)(q21) [3]/46, XY [1]。分子生物学检测:FUS::ERG融合基因105.4%,WT1突变84.3%。确诊为FUS::ERG AML。经降细胞及抗感染治疗后,于2024年9月2日转入我院。入院后给予VHD方案(维奈克拉100 mg d1~9、地西他滨36 mg Q8h d4~6、高三尖杉酯碱3.6 mg d4~8)诱导治疗。2024年10月8日复查骨髓达CR,流式MRD阴性,建议患者行造血干细胞移植,患者拒绝。此后接受多疗程巩固治疗(VHD, DA, VAA, HA)及腰穿鞘注,期间MRD持续阴性6个月余。2025年5月1日复查示分子生物学复发:骨髓流式MRD 0.37% (见表1),FUS::ERG上升至13.63% (见表2)。遂予IAC方案(伊达比星10 mg d1~3,阿糖胞苷0.2 g d1~5,环磷酰胺0.6 g d2、5)化疗,6月6日评估达Cri (见图1)。然而,同期(5月26日)患者出现肝功能异常与梗阻性黄疸,胆红素进行性升高(最高达总胆红素203.6 μmol/L,直接胆红素143.3 μmol/L)。肝胆MRI提示肝内外胆管扩张,胆总管末端结构欠清,高度怀疑胆道髓外浸润。行ERCP鼻胆管引流术后并发胰腺炎,经治疗后好转。期间于6月24日查骨髓(见图2)示原幼细胞18.5%,提示全面复发。后续给予含米托蒽醌脂质体及塞利尼索的多种强化挽救方案,均未缓解,最终疾病进展。患者目前在我院支持治疗中。随访至2025年10月。该篇报道已获得患者知情同意。

Table 1. Historical results of minimal residual disease detection

1. 微小残留病检测历史结果

异常细胞名称

采样日期

标本类型

结果(%)

异常髓系原始细胞

20241008

骨髓

0.00

异常髓系原始细胞

20241203

骨髓

0.00

异常髓系原始细胞

20250106

骨髓

0.00

异常髓系原始细胞

20250318

骨髓

<0.01

异常髓系原始细胞

20250429

骨髓

0.37

Table 2. Quantitative results of fusion genes

2. 融合基因定量结果

项目名称

拷贝数

目的基因/内参基因(%)

融合类型

目的基因FUS::ERG

4048

13.63

Exon6/7-Exon7

内参给予ABL1

29,697

Figure 1. Bone marrow smear findings after treatment for the first relapse

1. 第一次复发治疗后的骨髓象

Figure 2. Bone marrow smear findings after the second relapse

2. 第二次复发后的骨髓象

2. 讨论

TLS::ERG融合基因是由t(16; 21)(p11;q22)染色体易位产生,该易位导致16号染色体上的TLS基因与21号染色体上的ERG基因发生框内融合。TLS基因编码一个多功能RNA结合蛋白,参与转录调控、RNA剪接和运输;而ERG基因则是ETS家族的重要转录因子,在造血干/祖细胞的自我更新、分化和血管形成中扮演关键角色。所形成的TLS::ERG融合蛋白兼具TLS的强转录激活能力与ERG的DNA结合能力,通过破坏正常的造血转录网络,这直接导致细胞分化阻滞与恶性增殖[1] [2]

本例患者的临床特点集中体现了FUS::ERG AML的核心特征。其高白细胞起病、特征性免疫表型(CD34+ CD117+ CD33+ CD56+ CD123+)、复杂的附加细胞遗传学异常(+10, del(5q))以及伴随的WT1突变,与既往文献报道呈现出高度的一致性[3]-[5]。Buchanan等的综述[3]指出,t(16;21)易位常与额外的染色体异常共存,其中+8和+10最为常见,本例中的+10异常正是其基因组不稳定的典型表现。董晓燕[5]等对12例中国患者的分析进一步证实,此类患者常合并诸如PTPN11、NRAS、BCOR等基因突变,WT1突变可见于部分病例,这些共存突变共同构成了其恶性克隆的复杂生物学背景,并可能与更差的预后相关[4]

本病例最具价值的观察点在于其对维奈克拉联合去甲基化药物(HMA)方案(VHD)的动态治疗反应。该患者初期对VHD方案反应良好,揭示了现代靶向治疗在此类分子背景极为复杂疾病中的效果,以维奈克拉联合高三尖杉酯碱及地西他滨的方案,通过BCL-2抑制剂、蛋白合成抑制剂与去甲基化药物的协同作用,成功突破了初治的耐药屏障,诱导患者获得CR,并获得了持续7个月的深度缓解,这为使用维奈克拉等新药靶向治疗此类高危患者提供了临床依据[6],也为Song B.Q.等[7]报道的VHA方案在新诊断AML (包括高危组)中具有高缓解率提供了有力的个例佐证,表明该策略在此类患者中具有诱导缓解的可行性。维奈克拉与高三尖杉酯碱的协同作用机制,可能包括后者协同抑制BCL-2表达、协同诱导白血病细胞凋亡,这在难治复发AML中已显示出应用前景[7] [8]

本次复发的独特之处在于分子学复发与胆道梗阻性黄疸几乎同步出现。FUS::ERG AML本身具有EMD高发倾向[3] [9],但胆道浸润极为罕见。Norsworthy等[10]的综述指出,肝胆系统髓系肉瘤可表现为梗阻性黄疸,诊断困难,预后极差。Kayser等[11]的最新研究指出,伴有EMD的AML患者即使接受VEN/HMA治疗,其总体预后仍然极差,中位总生存期约6.4个月,且缓解后复发率高达60%。这无疑表示对于FUS::ERG AML,MRD的动态监测至关重要,一旦出现分子学复发,应警惕EMD的可能,并积极进行影像学评估[10] [12]

其耐药机制与Asai-Nishishita [1]等的最新发现高度契合。该研究证实FUS::ERG融合蛋白可通过破坏染色质结构(涉及BCOR、NCOR2等),导致对去甲基化药物的获得性耐药。更重要的是,其研究发现耐药细胞对MCL-1抑制剂敏感,而对Venetoclax耐药。这从机制上解释了为何本例患者后期即便更换多种强化方案仍治疗失败,也为未来探索MCL-1抑制剂等挽救策略提供了方向[1]

唯一被证实可能争取长期生存的手段是在首次完全缓解后尽早施行异基因造血干细胞移植(allo-HSCT) [5] [12]-[14],allo-HSCT可能是改善FUS::ERG AML预后的唯一有效手段,应尽早进行。结合国内病例报道[12] [14]-[16],共总结37例TLS::ERG阳性AML患者。汇总数据显示,除t(16;21)易位外,患者常伴有高频的附加染色体异常(如+8、+10)及多种基因突变。其突变谱系呈现高度异质性:除常见的表观遗传修饰因子突变(如TET2、ASXL1)和转录因子突变(如RUNX1、WT1)外,亦高频涉及RTK/RAS信号通路激活基因(如C-KIT、NRAS、PTPN11)及抑癌基因TP53。患者中位总生存期约10~16个月。尽管初始诱导化疗完全缓解率高,但极易早期复发。单纯化疗患者预后极差(中位OS 1.5~10个月),异基因造血干细胞移植可显著延长生存期(中位OS 16~21个月),但移植后复发率仍高,总体预后不良。国外Keino等[13]也报道了移植后早期复发的病例,提示即使移植后仍需探索有效的维持治疗。因此,探索新的治疗策略是当前临床面临的一重大难题。除前述的MCL-1抑制剂外,针对ERG转录因子本身或其下游通路的新型靶向药物可能是未来的研究方向。

NOTES

*通讯作者。

参考文献

[1] Asai-Nishishita, A., Kawahara, M., Tatsumi, G., Iwasa, M., Fujishiro, A., Nishimura, R., et al. (2023) FUS-ERG Induces Late-Onset Azacitidine Resistance in Acute Myeloid Leukaemia Cells. Scientific Reports, 13, Article No. 14454. [Google Scholar] [CrossRef] [PubMed]
[2] Kong, X.T., Ida, K., Ichikawa, H., et al. (1997) Consistent Detection of TLS/FUS-ERG Chimeric Transcripts in Acute Myeloid Leukemia with t(16;21)(p11;q22) and Identification of a Novel Transcript. Blood, 90, 1192-1199.
[3] Buchanan, J. and Tirado, C.A. (2016) A t(16;21)(p11;q22) in Acute Myeloid Leukemia (AML) Resulting in Fusion of the FUS/TLS and ERG Genes: A Review of the Literature. Journal of Association of Genetic Technologists, 42, 24-33.
[4] Zhou, Z., Zhuo, N., Zhou, Y., et al. (2024) Identification of the Characteristics and Prognostic Impact of FUS::ERG and RUNX1::CBFA2T3 Fusion Genes in Adult Acute Myeloid Leukemia Patients. American Journal of Hematology, 99, 1441-1444. [Google Scholar] [CrossRef] [PubMed]
[5] 董晓燕, 邬成业, 李玉龙, 等. t(16;21)(p11;q22)/FUS::ERG阳性急性髓系白血病的基因突变谱和预后分析[J]. 临床血液学杂志, 2025, 38(1): 63-68.
[6] Maiti, A., Qiao, W., Sasaki, K., Ravandi, F., Kadia, T.M., Jabbour, E.J., et al. (2020) Venetoclax with Decitabine vs Intensive Chemotherapy in Acute Myeloid Leukemia: A Propensity Score Matched Analysis Stratified by Risk of Treatment‐Related Mortality. American Journal of Hematology, 96, 282-291. [Google Scholar] [CrossRef] [PubMed]
[7] Song, B.Q., Kong, X., Liu, Y., et al. (2025) Efficacy of Venetoclax Combined with Homoharringtonine and Cytarabine for Younger Adults with Newly Diagnosed AML. Annals of Hematology, 104, 1617-1622. [Google Scholar] [CrossRef] [PubMed]
[8] Yu, G., Zhang, Y., Yu, S., Yin, Z., Weng, G., Xu, N., et al. (2024) Homoharringtonine Added to Venetoclax and Azacitidine Improves Outcome and Mitigates Genetic Impact in Relapsed/Refractory AML: A Multicenter Cohort Study. Clinical Cancer Research, 31, 87-97. [Google Scholar] [CrossRef] [PubMed]
[9] Bakst, R., Powers, A. and Yahalom, J. (2020) Diagnostic and Therapeutic Considerations for Extramedullary Leukemia. Current Oncology Reports, 22, Article No. 75. [Google Scholar] [CrossRef] [PubMed]
[10] Norsworthy, K.J., Bhatnagar, B., Singh, Z.N. and Gojo, I. (2016) Myeloid Sarcoma of the Hepatobiliary System: A Case Series and Review of the Literature. Acta Haematologica, 135, 241-251. [Google Scholar] [CrossRef] [PubMed]
[11] Kayser, S., Sanber, K., Marconi, G., Mattei, A., Luskin, M.R., Kelkar, A., et al. (2025) Outcome of Adult Acute Myeloid Leukemia Patients with Extramedullary Disease and Treatment with Venetoclax/Hypomethylating Agents. Haematologica, 110, 378-384. [Google Scholar] [CrossRef] [PubMed]
[12] 仵菲斐, 甘思林, 刘晓艳, 等. t(16;21)(p11;q22)/FUS-ERG急性髓系白血病6例临床分析[J]. 临床内科杂志, 2023, 40(6): 406-409.
[13] Keino, D., Mori, T., Morimoto, M., Kondo, K., Mori, T. and Kinoshita, A. (2019) Salvage Therapy with Azacitidine for Pediatric Acute Myeloid Leukemia with t(16;21)(p11;q22)/FUS-ERG and Early Relapse after Allogeneic Blood Stem Cell Transplantation: A Case Report. Clinical Case Reports, 7, 2149-2152. [Google Scholar] [CrossRef] [PubMed]
[14] 韩梦媛, 谭业辉, 胡瑞萍, 等. TLS-ERG融合基因阳性急性髓系白血病9例并文献复习[J]. 白血病·淋巴瘤, 2022, 31(10): 603-605.
[15] 刘雯, 王敏, 兰帅奇, 等. 11例t(16;21)(p11;q22)急性髓系白血病病例报告并文献复习[J]. 现代肿瘤医学, 2023, 31(5): 927-931.
[16] 欧阳敏, 许兰平, 王昱, 等. t(16; 21)(p11; q22)急性髓系白血病九例报告并文献复习[J]. 中华血液学杂志, 2016, 37(3): 210-215.