原发性甲状腺淋巴瘤合并气道狭窄1例并文献复习
A Case of Primary Thyroid Lymphoma Complicated by Airway Stenosis and Literature Review
DOI: 10.12677/acm.2026.162401, PDF, HTML, XML,   
作者: 刘一如, 李江华:吉首大学医学院,湖南 吉首;刘细平:株洲市中心医院甲状腺胃肠疝外科,湖南 株洲
关键词: 甲状腺淋巴瘤手术治疗Thyroid Lymphoma Surgical Treatment
摘要: 本文报告1例高龄原发性甲状腺淋巴瘤(primary thyroid lymphoma, PTL)合并气道狭窄患者的临床特征、诊断及治疗,并复习相关文献。通过开放性活检结合免疫组化,该患者诊断为PTL,弥漫大B细胞淋巴瘤(diffuse large B-cell lymphoma, DLBCL)亚型。
Abstract: This article reports the clinical features, diagnosis, and treatment of one elderly patient with primary thyroid lymphoma (PTL) complicated by airway stenosis, and reviews relevant literature. Through open biopsy combined with immunohistochemistry, the patient was diagnosed with PTL, specifically the diffuse large B-cell lymphoma (DLBCL) subtype.
文章引用:刘一如, 刘细平, 李江华. 原发性甲状腺淋巴瘤合并气道狭窄1例并文献复习[J]. 临床医学进展, 2026, 16(2): 360-364. https://doi.org/10.12677/acm.2026.162401

1. 引言

原发性甲状腺淋巴瘤(primary thyroid lymphoma, PTL)是一种罕见淋巴瘤,通常表现为迅速增大的颈前肿块,可引起梗阻症状,并与颈部淋巴结肿大有关。我科首诊原发性甲状腺淋巴瘤班气道狭窄1例,对其临床诊断及治疗进行分析并结合相关文献复习。

2. 病例介绍

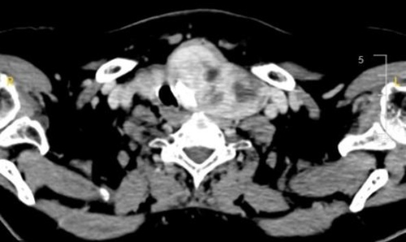
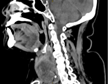
患者女,84岁,主诉发现胸骨后甲状腺肿合并呼吸困难4天于2022年8月31日入院。神清合作,自主体位,肥胖体型,呼吸困难,急性病容,颈软,气管居中,未见皮疹、瘢痕,颈前局部无明显隆起,未扪及包块、表面无血管杂音。无颈静脉充盈。颈部淋巴结未扪及明显肿大。甲状腺左、右侧叶及峡部未扪及明显包块。入院后实验室检查:游离三碘甲状腺原氨酸(FT3) 3.25 pmol/L (参考值2.43~6.01 pmol/L),游离甲状腺素(FT4) 6.92 pmol/L (9.01~19.05 pmol/L),促甲状腺激素(TSH) 54.43 uIU/L (0.35~4.94 mU/L),抗甲状腺过氧化物酶抗体(Anti-TPO) 72.69 IU/L (<5.61 U/L),抗甲状腺球蛋白抗体(Anti-Tg) > 1000.00 U/L (<4.11 U/L)。床旁甲状腺彩超:甲状腺右侧叶大小约19 × 19 × 43 mm,峡部厚约6.2 mm,左侧叶大小约35 × 40 × 53 mm,甲状腺形态欠规则,双侧不对称,实质光点增粗,回声增强,分布不均。CDFI:上述低回声结节内部可见少许血流信号。甲状腺肿大并实质弥漫性病变:双侧颈部多发实性结节,考虑淋巴结。甲状腺CT平扫 + 增强:支气管疾患并肺部感染、胸骨后甲状腺肿、冠状动脉粥样硬化(见图1(a)~(c))。既往史:既往高血压病,最高血压160/95 mmHg,口服苯磺酸左氨氯地平片,控制可,有“睡眠呼吸暂停综合征”,未予治疗。

患者考虑甲状腺肿物压迫气道合并肺部感染、ARDS可能,于2022年9月1日行左侧胸骨后巨大甲状腺肿块切除 + 左侧喉返神经探查 + 术中快速病检术。术中探查:右侧甲状腺I度肿大,手指扪诊可扪及多个大小不一肿块,质硬,包膜完整,分界清楚。左侧甲状腺III度弥漫性肿大,伸入胸骨后,约13.0 × 15.0 × 10.0 cm肿块,质地硬,气管明显受压右偏狭窄。术中快速病检回报:左侧甲状腺组织内大量淋巴样细胞较弥漫分布,细胞较一致,考虑为淋巴组织增生性病变。术后常规病理及免疫组化诊断为:左侧甲状腺组织正常结构消失,其内见大量淋巴样细胞增生及浸润性生长,并浸润至周围脂肪及横纹肌组织,符合高侵袭性非霍奇金B细胞性淋巴瘤,考虑弥漫大B细胞淋巴瘤,生发中心来源。CK-pan (−),CD20 (+),CD79α (+),CD3 (+),CD5 (+),CD21 (FDC网增生伴破坏),Bcl-2 (−),Ki-67 (约80%+),CD10 (−),EBER (−),Bcl-6 (+),Mum-1 (−),CyclinD1 (−),C-myc(−),P53 (野生型表达) (见图2(a)~(d))。术后转入ICU治疗,期间予地塞米松10 mg静滴、每日1次,后因患者呼酸合并代谢性碱中毒代偿期、气道严重狭窄、I型呼衰,于2022年9月9日全麻下行气管切开术,并拒绝化疗。2022年9月13日转回甲状腺、胃肠、疝外科继续治疗,2022年9月19日因呼吸困难、氧合差再入ICU,纤支镜检查见气切以气道狭窄套管内粘稠痰痂,经冲洗后继续机械通气,氧合改善,后于2022年9月22日出院,后续未于本院继续治疗,因病情进一步进展,通过随访发现患者于出院20 d后死亡。

(a) (b) (c)

(a) 甲状腺CT水平面;(b) 甲状腺CT矢状面;(c) 甲状腺冠状面。

Figure 1. Thyroid CT scan

1. 甲状腺CT检查

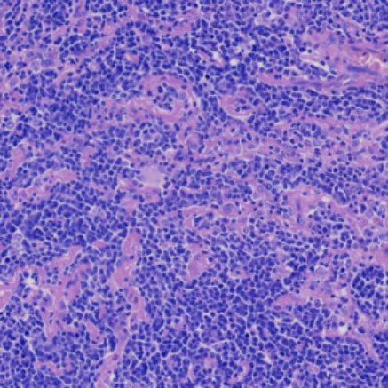
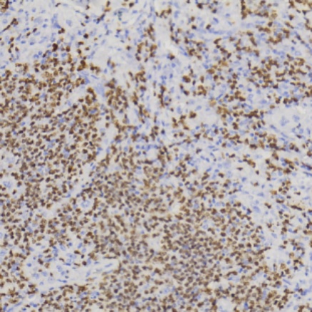
(a) (b) (c) (d)

(a) 甲状腺组织内大量淋巴细胞增生及浸润性生长;(b) 肿瘤细胞CD20 (+);(c) 肿瘤细胞CD79a (+);(d) Ki-67 (约80%+)。

Figure 2. Pathological examination findings of left thyroid mass (20×)

2. 左侧甲状腺包块病理检查结果(20×)

3. 讨论

PTL是一种非常罕见的肿瘤,其被定义为仅累及甲状腺或甲状腺及邻近(区域)颈部淋巴结的淋巴瘤,在诊断时无其他受累部位的连续扩散或远处转移。PTL在甲状腺恶性肿瘤中仅占1%至5%,在所有结外淋巴瘤中占比2.5%至7%。大多数PTL病例来源于B细胞,非霍奇金淋巴瘤在PLT病例中占98% [1]。PTL多见于女性,发病平均年龄为67岁,其典型表现为迅速增大的无痛性甲状腺肿块,可引起呼吸道压力症状,也可能出现吞咽困难、声音嘶哑和窒息或甲状腺冷结节的症状[2]。桥本氏甲状腺炎(Hashimoto’s thvroiditis, HT)患者发生PTL的风险是一般人群的40~80倍,既往研究报道PTL患者HT的发生率为30%~100% (平均发生率为80%) [2]-[5],虽然PTL患者HT的发生率接近80%,但约0.6%的HT患者会继续发展为PTL [6]。本例患者为老年女性,临床表现为呼吸困难、气道狭窄,实验室检查提示桥本氏甲减,与PTL发病特点相符。

术前诊断可采用现代影像学方法、空芯针活检(全称,CNB)、细针穿刺细胞学(全称,FNAC)检查结合免疫组织化学。超声检查为首选的影像学检查,多种超声检查模式的应用有利于捕捉疾病信息和PTL超声模式。此外,该方法还全面评估肿瘤边界、大小、形状、内部回声、血流动力学、空间结构、柔软纹理和病理组织;氟-18-氟脱氧葡萄糖正电子发射断层扫描在淋巴瘤诊断中的准确性更高;CNB可获取更多完整组织用于诊断和分型,有助于区分HT、PTL和间变性癌;开放性活检(手术)是确认诊断和确定PTL亚型的首选诊断工具,其在PTL管理中的作用非常有限,可能在气道的紧急管理中发挥作用。PTL的诊断主要取决于病理;但术前诊断准确率不高。PTL经常被误诊为甲状腺癌、桥本甲状腺炎(HT)、结节性甲状腺肿和其他疾病。先前关于甲状腺淋巴瘤的研究报告称,空心针活检(CNB)产生的诊断结果明显高于细针抽吸(FNA)——获得非诊断结果的合并风险比为0.27 (P < 0.0001),并且CNB组和手术组在活检成功率方面没有显着差异(89.0% vs 93.5%, P = 0.25) [7]-[9]。本例患者经术后病检确诊弥漫大B细胞淋巴瘤(diffuse large B-cell lymphoma, DLBCL)并及时解除气道阻塞。

对于治疗与预后,PTL包含多种病理亚型,其中绝大多数来源于B细胞。DLBCL最为常见,占PTL的50%~70%;黏膜相关淋巴组织淋巴瘤(MALT)占10%~20%;滤泡性淋巴瘤占5%~10%;其他罕见类型包括经典型霍奇金淋巴瘤、小淋巴细胞淋巴瘤及T细胞淋巴瘤等[10]。治疗策略与其他甲状腺恶性肿瘤不同,包括局部治疗(手术或放疗或手术加放疗)或最常见的多模式联合治疗(主要是放化疗)。DLBCL具有侵袭性临床病程,应联合使用单克隆抗体利妥昔单抗、化疗和放疗进行多模式治疗,其中一线化疗采用R-CHOP (利妥昔单抗 + 环磷酰胺 + 长春新碱 + 表柔比星 + 醋酸泼尼松)方案或R-EPOCH (利妥昔单抗 + 环磷酰胺 + 长春新碱 + 表柔比星 + 依托泊苷 + 醋酸泼尼松)方案,而MALT淋巴瘤的病程更缓慢,可通过手术、单纯放疗或两者结合,进行单一模式治疗。因PTL或其亚型的单一与多模式疗法缺乏实验比较,该数据主要来自结外淋巴瘤的治疗[8] [11]。对于诊断明确且有气道阻塞的情况下,类固醇和气管插管进行气道管理是最佳处理方式,也可手术干预进行姑息治疗有效缓解气道阻塞[12],手术治疗在PLT的治疗中并不占有主导地位,手术多是进行组织活检以明确诊断,单纯的手术治疗术后复发率达到82%。但手术治疗能减轻肿瘤负荷,缓解瘤体恶性生长引起的压迫症状,并为化疗、放疗赢得时间。如果术中病理提示为PLT,此时不应行根治术,应行单纯的肿瘤切除术或姑息性手术,以减轻术后并发症,增加化疗、放疗的耐受性,减轻化疗、放疗的副反应,提升患者的生存质量[13],但也有手术使Ⅰ期局限于甲状腺内的MALT得到完全缓解的案例[14] [15]。对于肿瘤侵犯颈段气管导致呼吸困难的急诊患者,依次有以下四种气道开放策略,若肿瘤局限或为外压性狭窄,预估气管插管可越过狭窄段,且肿瘤不易出血或脱落者,可行小号气管插管全麻下肿瘤切除并气管切开;若麻醉插管失败,且喉体可被触及或暴露者,可行纵向气管前壁切开术;肿瘤巨大完全覆盖喉体及颈段气管,无法识别常规解剖标志时,以颏部及胸骨上窝为中线标志的肿瘤部分切除并气管切开;当肿瘤侵犯广泛,上述三种方法不可行时,需在ECMO或体外循环支持下切除肿瘤并气管切开[16]。PTL的预后与分期有关,IE期肿瘤局限于甲状腺;IIE期肿瘤侵犯周围淋巴结;IIIE期疾病涉及纵隔淋巴结;IVE期疾病已扩散到身体的远处。不论PTL亚型如何,早期疾病的预后都较好,IE期PTL的5年生存率 > 85%,IIE期和IVE疾病患者的5年生存率为64% [17],对1408例PTL (其中58%的患者处于IE期)患者进行了长达48年的随访,中位生存时间为9.3年,5年生存率为66%。PTL存活率和组织学亚型有关,根据数据库统计MALT淋巴瘤的5年无病生存率为96%,DLBCL为75% [18]。有研究通过对DLBCL患者进行单因素预后分析指出,影响患者无进展生存期(PFS)的不良预后因素包括:B症状(盗汗、发热及体重减轻)、肿块长径 ≥ 10 cm、Ann Arbor III~IV期、ECOG评分 ≥ 2分;影响患者的总生存期(OS)的不良预后因素包括B症状、肿块长径 ≥ 10 cm、Ann Arbor Ⅲ~Ⅳ期[11]。该患者术后仍存在气管梗阻,经地塞米松、气管切开后氧合好,患者家属拒行化疗,术后恢复不佳。

综上所述,PTL好发于老年女性,最常见的表现是快速扩大,多数病例存在颈部淋巴结肿大,HT是该病主要的高危因素。FNAC联合免疫组化是诊断PTL的重要手段,当FNAC无法明确诊断或明确PTL亚型时可采用手术活检。PTL的治疗策略和预后与该病分型密切相关,PTL对化疗和放疗皆敏感,DLBCL治疗金标准为多模式,MALT淋巴瘤更适合单模式,虽然相较于DLBCL,MALT淋巴瘤更适合手术治疗,但手术可以及时解除高侵袭性DLBCL造成的严重气道梗阻。原发性甲状腺淋巴瘤的治疗与病理类型、肿瘤范围、临床分期等因素有关,因此正确诊断PTL并分型可以为患者提供正确的综合治疗方案,获得更好的疗效。

声 明

该病例报道已获得患者的知情同意。

参考文献

[1] Vardell, N.V., Ermann, D.A., Griffin, E.K., et al. (2019) Primary Thyroid Lymphoma: An Analysis of the National Cancer Database. Cureus, 11, e4088.
[2] Sakorafas, G.H., Kokkoris, P. and Farley, D.R. (2010) Primary Thyroid Lympoma (Correction of Lympoma): Diagnostic and Therapeutic Dilemmas. Surgical Oncology, 19, e124-e129. [Google Scholar] [CrossRef] [PubMed]
[3] Ansell, S.M., Grant, C.S. and Habermann, T.M. (1999) Primary Thyroid Lymphoma. Seminars in Oncology, 26, 316-323.
[4] Matsuzuka, F., Miyauchi, A., Katayama, S., Narabayashi, I., Ikeda, H., Kuma, K., et al. (1993) Clinical Aspects of Primary Thyroid Lymphoma: Diagnosis and Treatment Based on Our Experience of 119 Cases. Thyroid, 3, 93-99. [Google Scholar] [CrossRef] [PubMed]
[5] Widder, S. and Pasieka, J.L. (2004) Primary Thyroid Lymphomas. Current Treatment Options in Oncology, 5, 307-313. [Google Scholar] [CrossRef] [PubMed]
[6] Watanabe, N., Noh, J.Y., Narimatsu, H., Takeuchi, K., Yamaguchi, T., Kameyama, K., et al. (2011) Clinicopathological Features of 171 Cases of Primary Thyroid Lymphoma: A Long‐term Study Involving 24 553 Patients with Hashimoto’s Disease. British Journal of Haematology, 153, 236-243. [Google Scholar] [CrossRef] [PubMed]
[7] Ha, E.J., Baek, J.H., Lee, J.H., Kim, J.K., Song, D.E., Kim, W.B., et al. (2016) Core Needle Biopsy Could Reduce Diagnostic Surgery in Patients with Anaplastic Thyroid Cancer or Thyroid Lymphoma. European Radiology, 26, 1031-1036. [Google Scholar] [CrossRef] [PubMed]
[8] Walsh, S., Lowery, A.J., Evoy, D., McDermott, E.W. and Prichard, R.S. (2013) Thyroid Lymphoma: Recent Advances in Diagnosis and Optimal Management Strategies. The Oncologist, 18, 994-1003. [Google Scholar] [CrossRef] [PubMed]
[9] Peng, C., Yang, C., Yao, J., Xu, J., Wu, J., Zhao, J., et al. (2022) Multimodal Sonographic Appearance and Survival Outcomes of 69 Cases of Primary Thyroid Lymphoma over 10 Years. Journal of Ultrasound in Medicine, 41, 3031-3040. [Google Scholar] [CrossRef] [PubMed]
[10] 黄静, 张攀, 刘嘉烨, 等. 原发性甲状腺淋巴瘤诊治策略[J]. 中国实用外科杂志, 2025, 45(9): 1071-1075.
[11] 杨磊, 曾立洁, 叶进, 等. 34例原发性甲状腺淋巴瘤的临床特征及预后分析[J]. 中华血液学杂志, 2024, 45(5): 495-499.
[12] Kikuchi, M., Shinohara, S., Fujiwara, K., Yamazaki, H., Kanazawa, Y., Kurihara, R., et al. (2011) Clinical Evaluation of 24 Cases of Primary Thyroid Malignant Lymphoma. Nippon Jibiinkoka Gakkai Kaiho, 114, 855-863. [Google Scholar] [CrossRef] [PubMed]
[13] 逄仁柱, 孟宪瑛, 张强, 等. 老年原发性甲状腺淋巴瘤2例临床分析[J]. 中国老年学杂志, 2011, 31(15): 2967-2968.
[14] Graff-Baker, A., Roman, S.A., Thomas, D.C., Udelsman, R. and Sosa, J.A. (2009) Prognosis of Primary Thyroid Lymphoma: Demographic, Clinical, and Pathologic Predictors of Survival in 1,408 Cases. Surgery, 146, 1105-1115. [Google Scholar] [CrossRef] [PubMed]
[15] Graff-Baker, A., Sosa, J.A. and Roman, S.A. (2010) Primary Thyroid Lymphoma: A Review of Recent Developments in Diagnosis and Histology-Driven Treatment. Current Opinion in Oncology, 22, 17-22. [Google Scholar] [CrossRef] [PubMed]
[16] 吴静, 廖妍飞, 刘业海. 肿瘤性颈段气管狭窄致呼吸困难的急诊气道开放方法探讨[J]. 中国耳鼻咽喉头颈外科, 2025, 32(2): 121-124.
[17] 田武国, 郝帅, 马强, 等. 原发性甲状腺淋巴瘤诊断与治疗: 一项单中心回顾性分析[J]. 中华内分泌外科杂志, 2020, 14(4): 295-300.
[18] 梁鹏, 王森, 陈康兵, 等. 原发性甲状腺恶性淋巴瘤的诊治及进展[J]. 中华耳鼻咽喉头颈外科杂志, 2016, 51(4): 313-316.