手术治疗包绕三叉神经、面听神经的原发性中枢神经系统弥漫大B细胞淋巴瘤一例
Surgical Treatment of a Case of PCNS-DLBCL Encircling the Trigeminal and Facial-Acoustic Nerves
DOI: 10.12677/acm.2026.162469, PDF, HTML, XML,    科研立项经费支持
作者: 杨菁滨, 庄志杰, 孔令舸, 冀文欢:宁夏医科大学第一临床医学院,宁夏 银川;宁夏医科大学总医院神经外科中心,宁夏 银川;刘嘉方:宁夏医科大学第二临床医学院,宁夏 银川;刘文庆, 郜彩斌, 刘仲涛*:宁夏医科大学总医院神经外科中心,宁夏 银川;曹相玫*:宁夏医科大学基础医学院,宁夏 银川
关键词: PCNS-DLBCL三叉神经损伤面听神经损伤PCNS-DLBCL Trigeminal Nerve Injury Facial-Acoustic Nerve Injury
摘要: 原发性中枢神经系统弥漫性大B细胞淋巴瘤(Primary Central Nervous System Diffuse Large B-Cell Lymphoma, PCNS-DLBCL)指的是原发于脑、脊髓、颅神经、软脑膜和/或眼内的原发性弥漫性大B细胞淋巴瘤(Primary Diffuse Large B-Cell Lymphoma, Primary DLBCL)。它约占所有原发性中枢神经系统肿瘤的4%,占结外淋巴瘤的4%~6%。然而,包裹三叉神经或前庭蜗神经的弥漫性大B细胞淋巴瘤鲜有报道。本文报道1例51岁亚洲女性患者,因左侧三叉神经分布区麻木、疼痛及左侧面部抽搐3个月就诊。磁共振成像显示明确的鞍旁占位性病变,患者接受了枕下乙状窦后联合颞下入路肿瘤切除术。术中观察到肿瘤包裹三叉神经和前庭蜗神经,术后病理证实为弥漫性大B细胞淋巴瘤。
Abstract: Primary Central Nervous System Diffuse Large B-Cell Lymphoma (PCNS-DLBCL) refers to Primary Diffuse Large B-Cell Lymphoma (Primary DLBCL) occurring in the brain, spinal cord, cranial nerves, leptomeninges, and/or eyes. It accounts for approximately 4% of all primary central nervous system tumors and 4%~6% of extranodal lymphomas. However, DLBCL encasing the trigeminal or vestibulocochlear nerves is rarely reported. This article presents a case of a 51-year-old Asian female who presented with left trigeminal nerve distribution numbness, pain, and left facial twitching for three months. MRI revealed a definite parasellar occupying lesion. The patient underwent tumor resection via a combined suboccipital retrosigmoid and subtemporal approach. Intraoperatively, the tumor was observed encasing the trigeminal and vestibulocochlear nerves, and postoperative pathology confirmed diffuse large B-cell lymphoma.
文章引用:杨菁滨, 刘嘉方, 刘文庆, 郜彩斌, 庄志杰, 孔令舸, 冀文欢, 刘仲涛, 曹相玫. 手术治疗包绕三叉神经、面听神经的原发性中枢神经系统弥漫大B细胞淋巴瘤一例[J]. 临床医学进展, 2026, 16(2): 926-931. https://doi.org/10.12677/acm.2026.162469

1. 引言

原发性弥漫性大B细胞淋巴瘤(Primary Diffuse Large B-Cell Lymphoma, Primary DLBCL)是最常见的非霍奇金淋巴瘤(NHL)亚型。在全球范围内,Primary DLBCL占所有NHL病例的三分之一,以及所有恶性淋巴瘤的40% [1] [2]。2017年,《WHO造血与淋巴组织肿瘤分类》定义了一种独特的实体,称为“原发性中枢神经系统弥漫性大B细胞淋巴瘤(Primary Central Nervous System Diffuse Large B-Cell Lymphoma, PCNS-DLBCL)”,其仅发生于脑、脊髓、颅神经、软脑膜和/或眼内[3]。PCNSL占原发性中枢神经系统肿瘤的4%,占结外淋巴瘤的4%~6%,是一种罕见的NHL亚型[4] [5]。然而,包裹三叉神经的弥漫性大B细胞淋巴瘤鲜有报道。在此,我们报道一例包裹三叉神经及面听神经的弥漫性大B细胞淋巴瘤病例,该病例通过枕下乙状窦后入路联合颞下入路进行了切除。

2. 病例资料

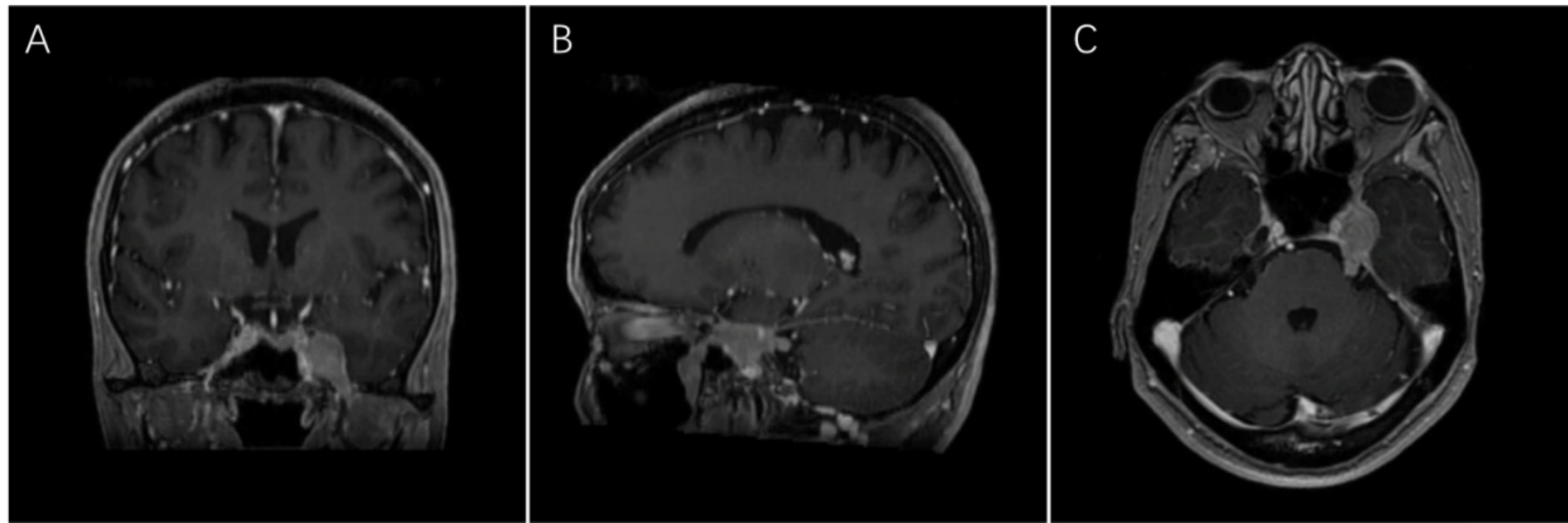
患者为51岁女性,主因左侧三叉神经支配区麻木、疼痛和左侧面部抽搐3个月前来就诊。2025年3月4日就诊于当地医院,予以口服卡马西平对症治疗,疼痛稍有缓解。完成相关检查后,患者接受了“三叉神经节球囊压迫术”,但症状未明显改善。2025年5月9日进行的脑部磁共振成像(MRI)平扫及增强序列显示,左侧鞍旁存在颅内外沟通性肿瘤,提示为脑膜瘤,鉴别诊断为神经源性肿瘤(图1)。随后,患者被转诊至我院神经外科进一步诊治。患者既往病史无特殊,无重大既往疾病。相关体格检查结果:左侧三叉神经第二、三支分布区的痛觉、温度觉、粗触觉及精细触觉减退;左侧眼睑闭合无力;粗略测量显示左耳听力下降;左侧咬肌肌力减弱;眼球运动无明显受限;颈部、锁骨下及腋窝未触及肿大淋巴结。相关实验室检查:血常规:淋巴细胞绝对值1.5 × 109/L,淋巴细胞相对值28.6%;颅脑核磁平扫 + 增强(2025-05-09日)提示:左侧鞍旁沟通性肿瘤病变。

(A)⁓(C) 肿块向前下方和后方延伸,穿过眶下裂、圆孔、卵圆孔、舌下神经管以及内耳道,部分突入颞下窝;并环绕左侧三叉神经和面听神经复合体,并部分膨入翼腭窝。其大小约为1.7 × 2.0厘米。

Figure 1. Preoperative contrast-enhanced magnetic resonance imaging (CE-MRI)

1. 术前增强磁共振成像

3. 手术及病理

术中持续神经电生理监测。

左侧乙状窦后入路:可见肿瘤位于左侧蛛网膜池内,大小约1.2 × 1.6 × 0.7 cm,血供一般,实质,较软,与面听神经关系密切。磨除内听道口,暴露内听道内肿瘤,将肿瘤分块部分切除后完整保留面听神经(留取部分术中冰冻病理检查标本)。靠近天幕,见三叉神经天幕交界处局部神经膨大,可见肿瘤侵袭三叉神经,予以部分切除(图2(A))。

左侧颞下入路:神经导航定位目标肿瘤位置后沿颞下至颅中窝,可见肿瘤紧贴三叉神经第2支、第3支向远侧生长,形状不规则,与周围组织关系密切,大小约2 × 1.5 × 0.5 cm,血供一般,沿边界分块部分切除肿瘤(图2(B))。

冰冻切片临时报告:肿瘤组织,瘤细胞圆形、卵圆形,弥漫分布,细胞密度大,细胞核浆比增高,倾向恶性肿瘤,具体类型待术后石蜡切片及免疫组化进一步诊断。

(A) 采用枕下乙状窦后入路,用手术钻磨开内听道开口,在显微镜下观察到面听神经被肿瘤包绕;(B) 经颞下入路,观察到肿瘤与三叉神经分支紧密粘连。

Figure 2. Tumor under intraoperative microscope

2. 术中显微镜下肿瘤

病理诊断(术后标本石蜡切片报告):弥漫性大B细胞淋巴瘤,生发中心来源,请结合临床除外系统性淋巴瘤后,考虑原发免疫豁免部位大B细胞淋巴瘤(中枢神经系统大B细胞淋巴瘤) (图3)。免疫组化结果:AE1/AE3(−),CD3(−),CD20(+),CD19(+),CD79a(+),CD5(−),Cyclin D1(−),Ki67(index 50%),BcL-2(80%+),Mum-1(+),CD10(+),Bcl-6(+),C-myc(80%+),CD30(−),P53(野生型),ALK(−),CD99(−)。原位杂交:EBER(−)。Bcl-2基因断裂阴性。Bc1-6基因断裂阴性。C-Myc基因断裂阴性。

弥漫性大B细胞淋巴瘤,细胞密度高,核质比增加。

Figure 3. Pathological HE staining

3. 病理HE染色

4. 讨论

广义而言,结外淋巴瘤是指发生于淋巴结以外的器官和组织的淋巴瘤,占NHL的1/3至1/2 [6]。Primary DLBCL是起源于生发中心的最常见侵袭性NHL类型[7],而Primary DLBCL是一种罕见的结外NHL亚型。PCNS-DLBCL在男性中的发病率高于女性,总发病率为每10万人中4.7例,且其发病率随年龄增长而升高[5]。在既往PCNS-DLBCL病例中,主要以神经损害和占位效应等为主要临床症状,与以淋巴结肿大、发热等其他全身症状为主要临床表现的PCNS-DLBCL有所不同。本例患者表现为明显的左侧三叉神经及面听神经损害症状,严重影响了其生活质量。患者颈部、锁骨下区域无淋巴结肿大,也无发热及淋巴瘤的其他典型临床表现。这与既往多数报道的PCNS-DLBCL病例一致,即神经功能损害和占位效应是主要临床症状;与其他颅脑肿瘤相比,在临床表现上并无特异性[8]-[14]

影像学特征:MRI显示鞍旁不规则肿块影,肿块分别经眶下裂,圆孔、卵圆孔、舌下神经管及内听道向前下、后生长,部分突入颞下窝,左侧三叉神经及面听神经受包绕,部分凸入翼腭窝,增强呈明显均匀强化,可见鼠尾征。核磁提示占位明确,具有脑膜瘤的特点。术后病理提示:弥漫性大B细胞淋巴瘤。在核磁增强中PCNS-DLBCL的特征是均匀的对比增强和清晰的边界,病灶周围血管源性水肿很常见,T2加权MRI上的低信号和弥散加权成像(DWI)上的弥散受限是PCNS-DLBCL的其他特征,但这并不能确保PCNS-DLBCL的诊断。极少数情况下,PCNS-DLBCL可能表现为颅神经或神经根神经的轻微局灶性异常或局灶性脑膜强化[15]

枕下乙状窦后入路是切除三叉神经肿瘤的经典术式,对起源于三叉神经根的B型(后颅窝型)肿瘤暴露最佳,同时对面听神经影响较小,从此次病例颅脑核磁平扫 + 增强影像来看,占位与海绵窦关系密切,侵袭三叉神经根部和三叉神经结,向前可达海绵窦前,单纯乙状窦后入路难以到达,故联合颞下入路处理肿瘤的海绵窦前部分[16]。术后复查颅脑核磁 + 增强(2025-06-07日)提示:未见术前肿块占位,增强扫描未见明显异常强化(图4)。术后第10天,患者的面部疼痛和麻木明显缓解。床旁听力评估与术前状态相当。后续转入肿瘤科,经PET-CT、脑脊液、骨髓细胞学检查分期为I期,予以R-MT方案免疫化疗,辅助止吐,化疗后一级预防FN治疗。出院后监测体温,每周复查血常规。术后4个月随访时的临床评估表明,患者的面部疼痛和抽搐较术前有所改善,但与术后10天的评估相比,已趋于稳定,无明显进一步改善或加重。

(A)⁓(C) 术后增强扫描显示手术区域无明显异常强化。

Figure 4. Postoperative contrast-enhanced magnetic resonance imaging (CE-MRI)

4. 术后增强磁共振成像

总之,根据患者的症状、体格检查以及相关的实验室和影像学检查,无法明确诊断为PCNS-DLBCL,诊断的确认仍需依靠病理检查。需强调的是如果术前能通过脑脊液细胞学、流式细胞术或立体定向活检确诊,手术切除可能并非首选。但是多项研究发现,手术切除原发性中枢神经系统淋巴瘤在延长无进展生存期方面具有一定益处,这与肿瘤的大小、位置有一定相关[6] [7] [17]-[19]。尽管原发性中枢神经系统淋巴瘤的标准治疗不包括常规切除,但对于“可安全切除、肿瘤体积大且有严重肿块效应”的病例,可考虑在减压切除术后进行全身治疗(化疗/巩固治疗) [20]。本例患者术前有明显的头痛和面部抽搐症状,存在一定占位效应和神经损害,患者及家属手术意愿强烈,手术切除部分肿瘤以缓解部分神经压迫,能显著提高患者的生活质量,术中冰冻切片临时报告提示倾向恶性肿瘤,手术切除部分肿瘤组织获取足够的组织进行病理诊断也起着关键作用。

声 明

该病例报道已获得患者的知情同意。

基金项目

本文受宁夏回族自治区自然科学基金(2023AAC03663)和宁夏医科大学大学生创新创业项目(X2025107520244)资助。

NOTES

*通讯作者。

参考文献

[1] Wang, S.S. (2023) Epidemiology and Etiology of Diffuse Large B-Cell Lymphoma. Seminars in Hematology, 60, 255-266. [Google Scholar] [CrossRef] [PubMed]
[2] Miyazaki, K. (2024) Recent Advances in the Treatment of DLBCL. Rinsho Ketsueki, 65, 995-1003.
[3] Calimeri, T., Steffanoni, S., Gagliardi, F., Chiara, A. and Ferreri, A.J.M. (2021) How We Treat Primary Central Nervous System Lymphoma. ESMO Open, 6, Article 100213. [Google Scholar] [CrossRef] [PubMed]
[4] Ferreri, A.J.M., Calimeri, T., Cwynarski, K., Dietrich, J., et al. (2023) Primary Central Nervous System Lymphoma. Nature Reviews Disease Primers, 9, Article No. 29. [Google Scholar] [CrossRef] [PubMed]
[5] Villano, J.L., Koshy, M., Shaikh, H., Dolecek, T.A. and McCarthy, B.J. (2011) Age, Gender, and Racial Differences in Incidence and Survival in Primary CNS Lymphoma. British Journal of Cancer, 105, 1414-1418. [Google Scholar] [CrossRef] [PubMed]
[6] 田晓旭, 赵冉, 周可树. 原发中枢神经系统淋巴瘤的治疗进展[J]. 中国肿瘤临床, 2022, 49(20): 1047-1051.
[7] Liu, Y. and Barta, S.K. (2019) Diffuse Large B‐Cell Lymphoma: 2019 Update on Diagnosis, Risk Stratification, and Treatment. American Journal of Hematology, 94, 604-616. [Google Scholar] [CrossRef] [PubMed]
[8] 张丽田, 李翠翠, 金祺祺, 等. 原发中枢神经系统淋巴瘤患者的临床特征及预后分析[J]. 中国实验血液学杂志, 2024, 32(3): 723-732.
[9] Ogiwara, T., Horiuchi, T., Sekiguchi, N., Kakizawa, Y. and Hongo, K. (2015) Primary Malignant Lymphoma of the Trigeminal Nerve: Case Report and Literature Review. World Neurosurgery, 84, 592.e3-592.e7. [Google Scholar] [CrossRef] [PubMed]
[10] Sato, H., Hiroshima, S., Anei, R. and Kamada, K. (2023) Primary Neurolymphomatosis of the Trigeminal Nerve. British Journal of Neurosurgery, 37, 697-700. [Google Scholar] [CrossRef] [PubMed]
[11] Yılmaz, S., Sağer, S., Şen, F. and Halac, M. (2014) Bilateral Trigeminal Nerve Recurrence of Non-Hodgkin Lymphoma Revealed with FDG PET/CT. Indian Journal of Nuclear Medicine, 29, 50-52. [Google Scholar] [CrossRef] [PubMed]
[12] Mano, T., Matsuo, K., Kobayashi, Y., Kobayashi, Y., Ozawa, H. and Arakawa, T. (2014) Malignant Lymphoma in a Perineural Spreading along Trigeminal Nerve, Which Developed as Trigeminal Neuralgia. Rinsho Shinkeigaku, 54, 660-663. [Google Scholar] [CrossRef] [PubMed]
[13] Lobban, G.B., Luke, A.J., Basta, P., Laziuk, K., Kalra, A. and Kulhari, A. (2023) Primary Central Nervous System Lymphoma Presenting as Isolated Multiple Cranial Neuropathies: An Extremely Rare Case. Cureus, 15, e41561. [Google Scholar] [CrossRef] [PubMed]
[14] 翟志永, 张硕, 冯娟. 以多颅神经损害为主要表现的颅内淋巴瘤1例报告[J]. 中风与神经疾病杂志, 2016, 33(6): 569-570.
[15] Han, C.H. and Batchelor, T.T. (2017) Diagnosis and Management of Primary Central Nervous System Lymphoma. Cancer, 123, 4314-4324. [Google Scholar] [CrossRef] [PubMed]
[16] Samii, M., Migliori, M.M., Tatagiba, M. and Babu, R. (1995) Surgical Treatment of Trigeminal Schwannomas. Journal of Neurosurgery, 82, 711-718. [Google Scholar] [CrossRef] [PubMed]
[17] Jelicic, J., Todorovic Balint, M., Raicevic, S., Ilic, R., Stanisavljevic, D., Bila, J., et al. (2016) The Possible Benefit from Total Tumour Resection in Primary Diffuse Large B-Cell Lymphoma of Central Nervous System—A One-Decade Single-Centre Experience. British Journal of Neurosurgery, 30, 80-85. [Google Scholar] [CrossRef] [PubMed]
[18] Wu, S., Wang, J., Liu, W., Hu, F., Zhao, K., Jiang, W., et al. (2021) The Role of Surgical Resection in Primary Central Nervous System Lymphoma: A Single-Center Retrospective Analysis of 70 Patients. BMC Neurology, 21, Article No. 190. [Google Scholar] [CrossRef] [PubMed]
[19] Li, G., Hou, X., Fu, Y., He, D. and Zhang, D. (2025) Association between Surgery and Increased Survival in Primary Central Nervous System Lymphoma: A Retrospective Cohort Study. Scientific Reports, 15, Article No. 3816. [Google Scholar] [CrossRef] [PubMed]
[20] Labak, C.M., Holdhoff, M., Bettegowda, C., Gallia, G.L., Lim, M., Weingart, J.D., et al. (2019) Surgical Resection for Primary Central Nervous System Lymphoma: A Systematic Review. World Neurosurgery, 126, e1436-e1448. [Google Scholar] [CrossRef] [PubMed]