MRI测量肩关节骨性参数与肩袖退变性撕裂相关性研究
Correlation Study between MRI Measurements of Shoulder Bony Parameters and Rotator Cuff Degenerative Tears
DOI: 10.12677/acm.2026.162436, PDF, HTML, XML,   
作者: 李 承:青岛大学青岛医学院影像医学系,山东 青岛;莱州市妇幼保健院影像科,山东 莱州;高 莹:莱州市中医医院影像科,山东 莱州;王 素:菏泽市定陶区人民医院影像科,山东 菏泽
关键词: 肩袖退变性撕裂MRICSAAIAHIRotator Cuff Degenerative Tear MRI CSA AI AHI
摘要: 目的:探讨MRI测量临界肩角(Critical Shoulder Angle, CSA)、肩峰指数(Acromial Index, AI)、肩肱间距(Acromio Humeral Interval, AHI)与肩袖退变性撕裂之间的关系。方法:回顾性搜集2021年1月至2023年1月来院就诊的肩痛患者的MRI图像,共565例,其中肩袖退变性撕裂组353例,对照组212例,且均通过MRI或关节镜证实。在MRI图像上分别测量CSA、AI、AHI数值,用方差分析及Spearman检验对CSA、AI、AHI进行统计学分析,并采用受试者工作特征曲线(Receiver Operator Characteristic Curve, ROC)确定CSA、AI、AHI诊断肩袖退变性撕裂的分界值及其敏感性和特异性。结果:1) CSA、AI撕裂组大于对照组,AHI撕裂组小于对照组,差异均有统计学意义(p < 0.05);2) CSA、AI具有相关性;3) CSA的曲线下面积、与肩袖撕裂灵敏性及特异性最高;诊断肩袖撕裂的最佳分界点:CSA为34.25˚、AI为0.66、AHI为7.01 mm。结论:MRI对CSA、AI及AHI的测量在肩袖退变性撕裂诊断中均具有价值,其中CSA的诊断效能最高。
Abstract: Objective: To investigate the relationship between MRI measurement of critical shoulder angle (CSA), acromial index (AI), acromio humeral interval (AHI), and rotator cuff degenerative tear. Methods: MRI images of 565 patients with shoulder pain who came to our hospital from January 2021 to January 2023 were retrospectively collected, including 353 in the rotator cuff degenerative tear group and 212 in the control group, all of which were confirmed by MRI or arthroscopy. The CSAs were measured on MRI images, AI, and AHI, with analysis of variance and Spearman correlation for the statistical analysis of CSA, AI, and AHI, and adopted the receiver-operating characteristic curve (ROC) to determine the boundary values of CSA, AI, and AHI in the diagnosis of rotator cuff degenerative tears and their sensitivity and specificity. Results: 1) CSA and AI tear groups were larger than control group, AHI tear group was smaller than control group, the differences were statistically significant (p < 0.05); 2) CSA and AI are relevant; 3) CSA had the highest sensitivity and specificity in area under the curve and rotator cuff tear; The best cut-off points for diagnosing rotator cuff tears were 34.25˚ CSA, 0.66 AI, and 7.01 mm AHI. Conclusion: MRI measurement of CSA, AI, and AHI is valuable in the diagnosis of rotator cuff degenerative tear, and CSA is the most valuable.
文章引用:李承, 高莹, 王素. MRI测量肩关节骨性参数与肩袖退变性撕裂相关性研究[J]. 临床医学进展, 2026, 16(2): 661-667. https://doi.org/10.12677/acm.2026.162436

1. 引言

肩痛患者在临床工作中占比较大。肩痛的原因有很多,肩袖退变性撕裂较为常见,但其确切的病理机制尚未明确。肩袖的起止点均为骨性结构,肩关节的骨性结构异常是其较为重要的外在危险因素[1],其中肩胛骨结构与肩袖的生物力学和动力学关系最为密切,包括肩峰、肩胛骨关节盂和喙突等[2]。但肩胛骨结构异常与肩袖撕裂的相关性尚存在争议。本研究通过MRI测量肩胛骨相关骨性参数,探讨其与肩袖退变性撕裂之间的关系。

2. 资料与方法

2.1. 一般资料

回顾性搜集2021年1月至2023年1月来院就诊的肩痛患者的MRI图像及临床资料,所有病例均经MRI或者肩关节镜证实,排除标准:既往有明确肩关节外伤史、手术史、骨发育异常、感染性骨关节炎等。共纳入565例病例,其中肩袖退变性撕裂组353例,男性167例,女性186例,平均年龄为54.14岁,均存在不同程度肩袖撕裂;对照组212例,其中男性102人,女性110人,平均年龄为48.88岁,肩袖完整。

2.2. 仪器与方法

设备选用美国GE Signa 3.0T MRI及西门子3.0T MRI。扫描序列包括轴位、斜冠状位T1加权成像(T1 Weighted Imaging, T1WI),轴位、斜矢状位、斜冠状位脂肪抑制质子密度加权成像(Proton Density Weighted Imaging, PDWI)。

2.3. 观察指标及测量方法

搜集患者的性别、年龄、临床病史并在MRI图像上测量CSA、AI、AHI。年龄以岁为单位,角度以˚为单位,长度以mm为单位,且均精确到小数点后两位。

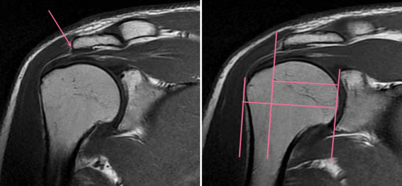
1) 参照Moor等人[3]的描述,进行CSA的测量(见图1):

在斜冠状位T1WI图像上,首先找到关节盂中心层面,并连接关节盂上下缘做一直线;然后,识别肩峰的最外侧点并用鼠标光标标记;最后,测量关节盂上缘到下缘连线与关节盂下缘到肩峰最外侧点连线之间的夹角。

Figure 1. Shows the method for measuring cross-sectional area (CSA) on MRI images

1. MRI图像测量CSA方法

Figure 2. Illustrates the method for measuring the asymmetry index (AI) on MRI images

2. MRI图像测量AI方法

2) 参照Nyffeler等人[4]的研究,进行AI的测量(见图2):

在斜冠状位T1WI上,首先找到关节盂上下缘的最大截面,从上缘到下缘画一条直线,然后识别肩峰的最外侧点并用鼠标光标标记,然后通过肩峰最外侧缘作这条直线的平行线,同样方法用鼠标光标标记肱骨头最外侧点,然后通过肱骨头外侧缘作关节盂上下缘连线的平行线,肩胛盂缘到肩峰外侧缘的距离与肩胛盂缘到肱骨头外侧缘的距离的比值即为AI。

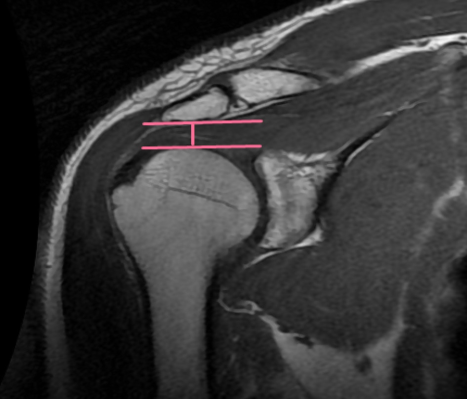
3) AHI的测量(见图3):

在斜冠状位T1WI上,测量肩峰下表面最下缘到肱骨头最上缘的最短距离即为AHI。

Figure 3. Depicts the method for measuring the asymmetry and hypertrophy index (AHI) on MRI images

3. MRI图像测量AHI方法

2.4. 图像分析

两位拥有5年以上影像诊断经验的医生在PACS工作站上独立对影像特征进行测量。若出现意见分歧,则通过讨论达成一致,并进行了一致性检验(Kappa分析)。所有评估均遵循统一的标准化影像分析方案,以保证结果的客观性与可重复性,评估者间一致性为良好(Kappa = 0.82)。

2.5. 统计分析

数据分析采用SPSS 27.0统计学软件。在撕裂组和对照组,性别采用卡方检验进行分析、年龄使用t检验进行分析,CSA、AI、AHI利用单因素方差分析进行分析。用Spearman秩相关检验做每组内CSA、AI、AHI的相关性分析。采用受试者工作特征曲线(Receiver Operator Characteristic Curve, ROC)确定CSA、AI、AHI诊断肩袖撕裂的最佳诊断分界点并对其灵敏性、特异性进行分析,然后制作曲线图。

3. 结果

3.1. 一般资料

在撕裂组和对照组间,性别两组间差异无统计学意义(p > 0.05),年龄、CSA、AI、AHI两组对比差异均有统计学意义(p < 0.05),年龄、CSA、AI撕裂组均大于对照组,AHI撕裂组小于对照组。且通过R2值的横向比较发现,CSA的R2值最大。结果提示,性别与肩袖撕裂关系不大,较大的年龄、CSA、AI以及较小的AHI均与肩袖撕裂相关,且CSA的相关性最大。具体结果(见表1):

Table 1. Compares sex, age, CSA, AI, and AHI between the tear group and the control group.

1. 撕裂组和对照组间性别、年龄、CSA、AI、AHI的比较

组别

例数n

年龄( x ¯ ±s )

CSA ( x ¯ ±s )

AI ( x ¯ ±s )

AHI ( x ¯ ±s )

撕裂组

353

167

186

54.14 ± 12.78

37.06 ± 5.96

0.70 ± 0.00

6.89 ± 1.46

对照组

212

102

110

48.88 ± 12.46

31.69 ± 3.39

0.61 ± 0.00

7.73 ± 1.55

检验统计量

χ2 = 5.919

t = −4.89875

R2 = 0.575177

R2 = 0.45916

R2 = 0.276

p

0.1497

0.000

0.000

0.000

0.000

3.2. CSA、AI、AHI相关性分析

利用Spearman检验对CSA、AI、AHI在两组内相关性进行分析。结果见表2,可知CSA和AI具有较强的正相关关系,AHI与CSA、AI无明显相关性:

Table 2. Shows the intraclass correlation coefficient (r) for CSA, AI, and AHI within each group

2. CSA、AI、AHI在各组内的相关系数r

组别

实验组(r)

对照组(r)

CSA、AI

0.707

0.58

CSA、AHI

0.000

0.036

AI、AHI

0.046

0.018

3.3. ROC分析

采用受试者工作特征曲线对年龄、CSA、AI、AHI诊断肩袖撕裂的准确性进行评价并确定最佳诊断分界点。结果具体如下:曲线下面积,CSA为0.978,AI为0.923,AHI为0.647,年龄为0.620,与肩袖撕裂灵敏性和特异性,CSA为0.895、0.698,AI为0.819、0.572,AHI为0.273、0.352;结果提示CSA诊断肩袖撕裂效能最高。CSA、AI、AHI诊断肩袖撕裂的最佳分界点分别为34.25˚、0.66、7.01 mm。具体见图4

Figure 4. ROC curves for CSA, AI, AHI, and age in the laceration group

4. 撕裂组CSA、AI、AHI、年龄的ROC曲线图

4. 讨论

肩肱间距(AHI)又叫肩峰下间隙,当肩袖损伤时,肩袖对肱骨头的稳固作用减弱,会导致肱骨头上移,AHI减小,因此,AHI可用于定量评估肩峰下间隙的狭窄程度,从而对肩袖损伤起到预测作用。正常人AHI可在6~14 mm之间,其范围较宽泛,X线冈上肌出口位AHI ≤ 7 mm提示可能存在肩袖损伤[5];AHI < 5 mm时提示可能存在较为严重的肩袖撕裂[6]。有研究显示,AHI数值的大小与肩关节体位关系密切,当肩关节处于中立位时,其数值会略有增加[7]。Hufeland等人[8]在其研究中发现在MRI图像中测量的AHI数值比在X线中小1~2 mm。本研究中,肩袖撕裂组AHI平均值为6.89,对照组为7.73,肩袖撕裂组小于对照组,差异有统计学意义(p < 0.05);其诊断肩袖撕裂的最佳截止值为7.01,曲线下面积为0.647,敏感性及特异性为0.273、0.352。其敏感性及特异性均不高,这与既往研究结果[9]相符,分析原因可能由于在肩袖完整的人群中AHI的数值范围较宽,肩袖撕裂组与对照组间数值重叠较多,所测量数值可能存在一定范围的假阴性及假阳性,从而导致其敏感性及特异性降低。因此,笔者认为,单独通过测量AHI来预测肩袖撕裂是不科学的,应该联合其他参数一起综合评判。

2006年,Nyffeler等人[4]提出了AI这一测量指标,用来反映肩峰侧向延伸程度,并研究了其与退变性肩袖撕裂的关系,其研究表明,肩袖撕裂组AI (0.77)大于对照组(0.64),较大的AI提示肩袖撕裂。在本研究中,撕裂组,AI平均值为0.70,对照组为0.61,撕裂组大于对照组,且p = 0.00,差异有统计学意义,与Nyffeler等人的研究结果一致。但是Bjornsson等人[10]的研究提示,AI与退行性肩袖撕裂并无明显相关性。分析原因可能与样本量较小或者种族差异等有关。

2013年,Moor等人[3]研究了肩峰相对于关节盂的侧向延伸和冠状面上关节盂倾斜程度,把两者整合在一起,提出了CSA这一概念,并提出其测量方法为在肩关节前后位片上肩胛盂上下缘的连线和肩胛盂最下缘和肩峰最外侧下缘之间连线的夹角,对肩峰的覆盖范围和关节盂的倾斜度进行量化,为更综合的测量指标。其研究提示,CSA正常值范围为30˚~34˚,其大于35˚与肩袖撕裂相关,小于30˚与原发性盂肱关节炎相关,且CSA的灵敏性和特异性均较高。本研究中,撕裂组CSA平均为37.06˚,对照组为31.69˚,撕裂组明显大于对照组(p = 0.00),而且通过ROC曲线,确定了CSA诊断肩袖撕裂的截止诊断值为34.25˚,灵敏性为0.895,特异性为0.698。本研究结果和Moor等人的研究结果基本一致。

Moor在另一项研究中[11]中提出,CSA在预测肩袖损伤方面,较年龄、外伤、AI和LAA有更高的预测价值。在本研究中,通过ROC曲线对各参数进行了比较,曲线下面积:CSA为0.977,AI为0.923,年龄为0.619,AHI为0.647;灵敏性:CSA为0.895,AI为0.819,AHI为0.273;特异性:CSA为0.698,AI为0.0.572,AHI为0.352;相比AI、年龄、AHI,CSA曲线下面积最大,而且灵敏性和特异性也最高,和既往研究相符。

霍彦旭等人[12]研究中提出,CSA与AI在预测肩袖撕裂风险水平方面相同,且两者呈现较高度正相关(r = 0.848, p < 0.001)关系。本研究中,CSA和AI具有较强的正相关关系,其相关系数r为:撕裂组0.707,对照组0.580,而AHI与CSA、AI相关性不大。

本研究的不足之处:本研究中肩袖撕裂组患者大多伴有不同程度的骨质增生,在MRI图像上测量相关骨性参数时,骨性解剖点的定位存在一定难度,从而导致测量结果可能存在一定误差。

综上所述,较大的CSA、AI及较小的AHI与退变性肩袖撕裂相关,在MRI图像上测量的以上参数对预测肩袖退变性撕裂有一定价值,可为临床提供更多参考依据,而且CSA预测价值最大。但是肩关节骨性结构参数与肩袖撕裂之间的相关性仍然存在争议,需要更大样本及更先进的扫描技术和测量方法进一步研究证实。

声 明

本研究已通过本院伦理委员会批准。

参考文献

[1] Lee, S., Itoi, E., O’Driscoll, S.W. and An, K. (2001) Contact Geometry at the Undersurface of the Acromion with and without a Rotator Cuff Tear. Arthroscopy: The Journal of Arthroscopic & Related Surgery, 17, 365-372. [Google Scholar] [CrossRef] [PubMed]
[2] 陈长安, 蒋佳, 燕晓宇, 赵金忠. 肩胛骨骨性参数与盂肱关节病损的相关性研究进展[J]. 国际骨科学杂志, 2020, 41(2): 71-76.
[3] Moor, B.K., Bouaicha, S., Rothenfluh, D.A., Sukthankar, A. and Gerber, C. (2013) Is There an Association between the Individual Anatomy of the Scapula and the Development of Rotator Cuff Tears or Osteoarthritis of the Glenohumeral Joint? A Radiological Study of the Critical Shoulder Angle. The Bone & Joint Journal, 95, 935-941. [Google Scholar] [CrossRef] [PubMed]
[4] Bhatia, D.N., deBeer, J.F. and Toit, D.F.D. (2006) Association of a Large Lateral Extension of the Acromion with Rotator Cuff Tears. The Journal of Bone & Joint Surgery, 88, 1889. [Google Scholar] [CrossRef] [PubMed]
[5] Mayerhoefer, M.E., Breitenseher, M.J., Wurnig, C. and Roposch, A. (2009) Shoulder Impingement: Relationship of Clinical Symptoms and Imaging Criteria. Clinical Journal of Sport Medicine, 19, 83-89. [Google Scholar] [CrossRef] [PubMed]
[6] 江凯, 叶如卿, 王蓼, 等. MSCT在肩峰分型及其与肩峰下撞击综合症的相关性的应用研究[J]. 医学影像学杂志, 2014, 24(8): 1362-1365.
[7] Saupe, N., Pfirrmann, C.W.A., Schmid, M.R., Jost, B., Werner, C.M.L. and Zanetti, M. (2006) Association between Rotator Cuff Abnormalities and Reduced Acromiohumeral Distance. American Journal of Roentgenology, 187, 376-382. [Google Scholar] [CrossRef] [PubMed]
[8] Hufeland, M., Brusis, C., Kubo, H., Grassmann, J., Latz, D. and Patzer, T. (2020) The Acromiohumeral Distance in the MRI Should Not Be Used as a Decision Criterion to Assess Subacromial Space Width in Shoulders with an Intact Rotator Cuff. Knee Surgery, Sports Traumatology, Arthroscopy, 29, 2085-2089. [Google Scholar] [CrossRef] [PubMed]
[9] 郑园园, 杨蕾, 戚超, 郝大鹏, 于腾波, 刘吉华, 徐文坚. 肩峰下撞击综合征磁共振可量化指标的探讨与分析[J]. 临床放射学杂志, 2015, 34(8): 1260-1264.
[10] Björnsson Hallgren, H.C. and Adolfsson, L. (2021) Neither Critical Shoulder Angle Nor Acromion Index Were Related with Specific Pathology 20 Years Later! Knee Surgery, Sports Traumatology, Arthroscopy, 29, 2648-2655. [Google Scholar] [CrossRef] [PubMed]
[11] Moor, B.K., Wieser, K., Slankamenac, K., Gerber, C. and Bouaicha, S. (2014) Relationship of Individual Scapular Anatomy and Degenerative Rotator Cuff Tears. Journal of Shoulder and Elbow Surgery, 23, 536-541. [Google Scholar] [CrossRef] [PubMed]
[12] 霍彦旭, 杨志, 裴方, 陈向阳. 临界肩关节角与退行性肩袖撕裂关系的临床研究[J]. 中国组织工程研究, 2020, 24(35): 5644-5649.