股骨近端骨巨细胞瘤合并妊娠一例报告
Proximal Femoral Giant Cell Tumor of Bone during Pregnancy: A Case Report
DOI: 10.12677/md.2026.161016, PDF, HTML, XML,   
作者: 黄锦华, 陈俊杰, 周江飞, 代远松, 孟庆奇*:暨南大学附属广州红十字会医院骨科,广东 广州;焦颂颂:柏林健康研究所夏里特医学院再生治疗中心(BCRT),德国 柏林;柏林健康研究所夏里特医学院Julius Wolff生物力学与肌肉骨骼再生研究所,德国 柏林
关键词: 骨巨细胞瘤股骨近端妊娠扩大刮除术Giant Cell Tumor of Bone Proximal Femur Pregnancy Extended Curettage
摘要: 本研究报告一例罕见的累及股骨头颈交界区、伴病理性骨折的股骨近端骨巨细胞瘤。患者为25岁初孕妇,妊娠9周,跌倒后出现急性右髋疼痛。影像学检查显示一个33HU的囊性病变,并伴有右股骨颈嵌插骨折。经过多学科风险效益评估后,实施了分期干预。因此,患者接受了扩大刮除术、同种异体骨重建及空心螺钉内固定术,随后进行了药物流产。组织病理学和下一代测序证实了骨巨细胞瘤的诊断,该肿瘤携带H3F3A p.G34W突变。术后7个月观察到部分骨性连接。然而,在48周随访时,持续的不愈合(肌肉骨骼肿瘤协会评分15分)使得有必要转为全髋关节置换术。现有证据支持对年轻患者采取保关节策略以优化功能结果。鉴于股骨近端的高剪切应力和延迟骨愈合,应考虑采用更强的固定结构。因此,需要进行长期监测以早期发现肿瘤复发并评估育龄妇女的生殖功能。
Abstract: In the present study, a unique case of proximal femoral giant cell tumor with pathological fracture involving the femoral head-neck junction was reported. A 25-year-old primigravida at 9 weeks of gestation presented with acute right hip pain following a fall. Imaging revealed a cystic lesion of 33 Hounsfield units and an impacted fracture of the right femoral neck. After multidisciplinary risk-benefit evaluation, a staged intervention was undertaken. Therefore, the patient underwent extended curettage with allograft reconstruction and cannulated screw fixation, followed by medical abortion. Histopathological and next-generation sequencing confirmed a diagnosis of giant cell tumor of bone harboring a H3F3A p.G34W mutation. At seven months postoperatively, partial osseous bridging was observed. However, persistent non-union (Musculoskeletal Tumor Society score, 15) at 48-week follow-up necessitated conversion to total hip arthroplasty. Current evidence supports joint-preserving strategies in young patients to optimize functional outcomes. Given the high shear stress and delayed bone healing of the proximal femur, stronger fixation constructs should be considered. Long-term surveillance is therefore needed for the early detection of tumor recurrence and for evaluating reproductive function in women of childbearing age.
文章引用:黄锦华, 陈俊杰, 周江飞, 焦颂颂, 代远松, 孟庆奇. 股骨近端骨巨细胞瘤合并妊娠一例报告[J]. 医学诊断, 2026, 16(1): 115-123. https://doi.org/10.12677/md.2026.161016

1. 引言

巨细胞瘤是一种相对罕见的交界性骨肿瘤[1]。在2020年世界卫生组织分类中,GCTB被重新分类为中间型巨细胞肿瘤。虽然未被归类为恶性,但GCTB术后有明显的复发风险[2]。它通常影响约30岁的个体,大多数病例(>70%)发生在20至40岁之间[3]。GCTB主要累及长骨的骨骺区,约90%的病变影响股骨远端、胫骨近端、桡骨远端和肱骨近端。然而,股骨近端受累并不常见,发生率仅为6%~8% [4]

本病例报告描述了一例妊娠患者股骨近端GCTB的罕见病例。该病变因低能量创伤(患者是从椅子上跌倒)导致病理性骨折而复杂化。同时,妊娠与GCTB这种不常见的共存可能给患者和临床医生带来重大的诊断和治疗挑战。总的来说,本病例报告旨在为评估和管理妊娠期GCTB提供临床参考。

2. 病例介绍

一名25岁女性于2023年11月因从椅子上跌落后出现右髋疼痛和活动受限5天而就诊于广州红十字会医院(中国广东广州)。计算机断层扫描显示右股骨颈有一个囊性病变(33亨氏单位),并发病理性骨折。骨折断端受影响但无移位。影像学检查还显示宫内妊娠囊,超声检查确认妊娠9周。患者无显著病史,无既往发热史或家族遗传性疾病。

体格检查还显示患肢屈曲外旋畸形,腹股沟中点区有局部压痛,大转子和轴向叩击痛阳性,Patrick试验阳性。实验室检查显示白细胞计数为7550/μL,血红蛋白水平为10.3 g/dL,红细胞沉降率为103 mm/h,C反应蛋白为39.95 mg/L。所有肿瘤标志物(癌胚抗原、神经元特异性烯醇化酶、癌症抗原125、CA19-9和CA15-3)、内分泌参数(甲状腺激素、促甲状腺激素、甲状旁腺激素)和电解质(钙、磷)以及Coombs试验均在正常参考范围内。

入院后,完成了一系列影像学检查(见图1(A)~(D))。右髋关节对比增强磁共振成像显示股骨颈有一个囊性病变,伴有病理性骨折。病变显示边缘光滑、边界清楚、周边有对比增强但无浸润性改变。影像学发现与肉芽组织增生和修复反应相关的表现,表明在肿瘤早期进展过程中存在微骨折愈合稳态。这种平衡可能被低能量创伤打破,从而导致患者出现临床表现。经过多学科讨论,考虑诊断为妊娠9周合并右股骨颈关节外病理性骨折,需要紧急骨科处理和终止妊娠。主要的手术挑战如下:1) 尽管病变范围大,但缺乏确诊的组织病理学诊断;2) 需要在妊娠早期对病理性骨折进行时效性管理;3) 广泛刮除术导致股骨头缺血性坏死的风险与不完整切除导致的潜在复发风险。考虑到患者年轻,首选方法是病灶刮除加植骨,而全髋关节置换术作为挽救性选择。

(A) 骨盆前后位X线片:右侧股骨头颈交界处存在囊性病变,并伴有病理性骨折线。(B) 轴位CT图像:股骨颈及大转子处皮质变薄,髓腔内可见溶骨性破坏(平均CT值:33亨氏单位)。(C) (D) 髋关节MRI:右侧股骨近端干及颈区可见一不规则病变,T1加权成像(T1WI)呈低信号,T2加权成像(T2WI)呈不均匀的轻度低信号,边界清晰。对比增强成像显示病变边缘呈明显强化。此外,髋关节囊内可见不均匀的T2信号强度,提示存在复杂性积液或出血。

Figure 1. Preoperative imaging examinations of the patients

1. 患者的术前影像学检查

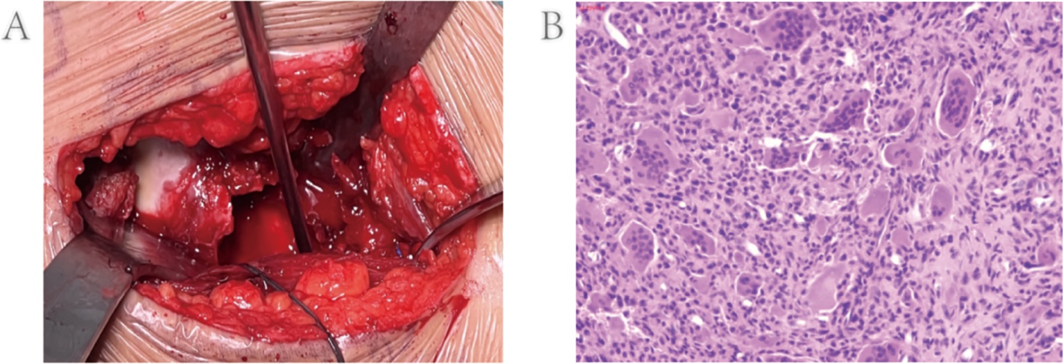
入院一周后,患者通过外侧入路接受了病灶清创术。术中可见股骨颈部及头部软组织呈易碎、红白色、棉絮样质地(见图2(A)),将其完全刮除,随后进行骨面打磨。冰冻切片分析显示散在的单核间质细胞中穿插着破骨细胞样多核巨细胞和局灶性梭形细胞,伴有轻度细胞学异型性。鉴别诊断包括动脉瘤样骨囊肿、富含巨细胞的骨肿瘤和骨肉瘤。在最大限度保留软骨的根治性刮除术后,用过氧化氢和聚维酮碘大量冲洗空腔。通过内旋和内收患肢实现骨折复位,同时使用三枚从股骨外侧皮质插入股骨头的空心螺钉进行固定。使用同种异体骨移植结合骨水泥增强来重建缺损。术中透视验证了螺钉位置满意(见图3(A)),然后分层关闭伤口。

术后组织病理学检查发现具有圆形、卵圆形或梭形形态的单核间质细胞,均匀分布并穿插着丰富的破骨细胞样多核巨细胞。上述发现与GCTB一致(见图2(B))。对骨和软组织的下一代测序提示了H3F3A基因的p.G34W激活突变,从而确认了诊断。

术后康复方案包括使用双拐辅助行走、为期3个月的非负重期,并辅以循序渐进的床上被动至主动肌肉强化练习。按计划在术后3~4个月进行随访,包括髋关节X线摄影和CT扫描。术后32周的影像学评估显示皮质连续性部分恢复,残余空腔体积减小,股骨头内信号强度稳定,无复发迹象。至48周时,观察到持续的不愈合(见图3),基于肌肉骨骼肿瘤协会评分为15分以及患者的意愿,考虑进行全髋关节置换术。上述手术旨在维持生活质量并适应未来可能的妊娠。在术后1年随访时,患者功能恢复满意,MSTS评分为27分,已恢复日常活动,并且没有肿瘤复发的迹象。

(A) 显示关节囊切开后的手术视野,可见病理性股骨颈分离。髓腔内含有大量血性液体及坏死碎屑。(B) 周围软组织的病理切片图像。冰冻切片分析显示,散在的单核间质细胞与破骨细胞样多核巨细胞混杂,并可见局灶性梭形细胞,呈现轻度细胞异型性。这些发现提示需考虑动脉瘤样骨囊肿、含巨细胞样细胞的骨肿瘤以及骨肉瘤等鉴别诊断。结合术后石蜡切片的H&E形态学、免疫组织化学结果及影像学特征,最终病理诊断支持为右股骨近端骨巨细胞瘤。

Figure 2. Pathological findings during and after surgery

2. 术中及术后病理所见

(A)~(F) 展示了患者的术后系列影像图片。(A) 术中C型臂透视显示三枚空心螺钉的置入。(B) (C) 术后1周评估:X线片显示螺钉位置良好;轴位CT显示残留囊腔持续存在。(D) 术后4周影像:X线片。(E) 术后32周CT显示部分骨痂形成及囊腔缩小。(F) 术后48周最终随访:CT确认骨折不愈合。

Figure 3. Postoperative imaging follow-up

3. 术后影像随访

3. 讨论

GCTB是一种相对不常见的交界性溶骨性肿瘤,以局部侵袭性行为为特征[5]。它最常累及长骨干骺端–骨骺交界处,好发于股骨远端、胫骨近端和桡骨远端。股骨近端GCTB是一个罕见的亚型,约占所有原发性病例的6%~8%。临床上,GCTB通常表现为隐匿起病、持续性和局部钝痛。然而,病理性骨折的发生可能导致突发性剧烈疼痛和显著的功能障碍。

GCTB在组织学上以肿瘤性单核间质细胞中穿插着巨噬细胞和破骨细胞样多核巨细胞为特征[6]-[8]。据报道,间质细胞过度表达核因子κB受体活化因子配体,进而促进破骨细胞生成和随后的骨溶解[9]。在伴有病理性骨折的病例中,病变可显示广泛的坏死、出血、泡沫巨噬细胞积聚和反应性骨形成,从而使术前诊断复杂化。常规X线摄影和MRI仍然是诊断GCTB的基石影像学手段,有助于肿瘤分期、鉴别诊断、评估治疗反应和监测复发[10]。GCTB的影像学特征包括具有非硬化性清晰边界的偏心性溶骨性病变。此外,MRI特征包括T2加权像上含铁血黄素沉积的低信号区,以及对应于继发性囊性变的高信号区。虽然动脉瘤样骨囊肿与GCTB有重叠的特征,但对比增强MRI可以检测到与GCTB相关的动脉瘤样骨囊肿中增强的软组织成分,这被认为是一个关键的诊断特征[11]。此外,鉴别诊断还包括软骨母细胞瘤、非骨化性纤维瘤、单纯性骨囊肿、甲状旁腺功能亢进症的棕色瘤和富含巨细胞的骨肉瘤[6] [10] [12] [13]。对于形态学上不明确的巨细胞病变,Rehkämper等人开发了一种基于免疫组织化学谱的诊断算法。在免疫组织化学上,约95%的GCTB中可以检测到H3F3A突变(p.G34W),从而可作为单核间质细胞的特异性标志物[14]。然而,这种突变不能区分GCTB的良性和恶性亚型[2] [15]

肢体GCTB的一线治疗是病灶内刮除术联合辅助治疗,这已被证明可以显著降低局部复发率[8] [16]。常见的辅助剂包括骨移植替代物、聚甲基丙烯酸甲酯以及化学药剂如苯酚、过氧化氢、氯化锌和液氮,所有这些都旨在根除残留的肿瘤细胞,同时保持骨完整性[9]。刮除术联合辅助治疗可以改善功能结果并减少术后并发症。然而,这种方法仍然存在局部复发的风险。表1总结了近期股骨近端GCTB病例的治疗结果和预后数据[7] [16]-[24]。如表所示,根据患者个体因素(年龄、是否存在病理性骨折)、肿瘤范围及医疗资源上,在术式的选择上,大致分为刮除术(常联合其他辅助治疗)及关节置换术。对于年轻或病变早期的患者可优先考虑创伤较小的刮除术,以便患者更快更好地恢复关节功能。但值得注意的是,在6~24个月之内存在较高的复发风险;此外,刮除术也可能增加新发骨折、固定失败或内固定物松动等风险。由于股骨近端独特的解剖结构,过于激进的刮除术可能导致机械稳定性下降和股骨头缺血性坏死,而切除不彻底则可能增加残留肿瘤的风险。在表1当中,接受关节置换术的患者复发率较低,且有新出现的证据表明,全髋关节置换术与较低的复发率相关[19] [25]。然而,骨巨细胞瘤好发于中青年人群,也应考虑术后的功能恢复、关节翻修手术的可能性和长期并发症等因素[26]。目前股骨近端GCTB的手术策略仍存在争议。尽管地舒单抗已被纳入新辅助治疗方案,但在需要紧急手术干预的骨折病例中,完成推荐的治疗周期通常是不切实际的。因此,本研究未进一步讨论其应用。

在本病例中,患者术后严格遵守使用双拐非负重方案超过48周。在32周随访时,影像学显示以下特征:1) 残余空腔内部分骨性连接;2) 三枚空心螺钉位置稳定;3) 无局部复发证据。然而,到48周时,骨折部位仍处于延迟愈合状态。对此病理性股骨颈不愈合的处理值得深入分析。首先,术后影像显示空心螺钉在冠状面上有下沉趋势(见图3(E))。考虑到股骨近端独特的生物力学环境(高剪切应力区),优化固定策略,例如使用动力髋螺钉或带血管蒂的骨移植,以及延长制动时间,可能有助于促进骨折愈合。其次,肿瘤的大小和位置,例如旋股内侧动脉受累,可能加剧血供问题,从而对功能恢复产生不利影响。然而,上述假设有待进一步验证。

尽管已报告数例GCTB与妊娠同时发生的病例,但没有确凿证据支持GCTB与妊娠之间存在直接关联[27] [28]。这可能是由于GCTB的发病高峰(通常在20至40岁之间)与育龄期重合所致。本病例的独特性在于肿瘤位于股骨近端,并伴有病理性骨折,因此需要细致的围手术期管理以平衡骨科干预和产科安全。

Table 1. Case series report of giant cell tumor of bone involving the proximal femur: treatment and outcomes

1. 累及股骨近端的骨巨细胞瘤病例系列报告:治疗与结果

文献来源

病例数

手术方式

性别/年龄

部位

复发时间

补充信息

Tibrewal等[17]

4

刮除术及植骨

女/19

头及颈部

12个月

全髋关节置换术

刮除术及植骨

男/22

头及颈部

24个月

全髋关节置换术

刮除术及钢板固定

女/33

头及颈部

6、18个月

刮除术→全髋关节置换术

刮除术及植骨

女/16

头及颈部

18个月

全髋关节置换术

Sim等[18]

1

刮除术及动力髋螺钉固定

男/20

颈部

Khan等[19]

12

双极人工髋关节置换术

男:女(9:3) (平均36岁)

未知

所有患者均为Campanacci III期

Sakayama等[16]

10

刮除术并用骨水泥及带血管蒂骨移植

男/30

头及颈部

16个月

双极人工髋双极人工髋关节置换术(因病理性骨折)→双极人工髋关节置换术(因复发)

刮除术并用骨水泥

男/23

头及颈部

24个月

全髋关节置换术

全髋关节置换术

男/36

头及颈部

双极人工髋关节置换术

男/30

头及颈部

全髋关节置换术

男/34

头及颈部

双极人工髋关节置换术

男/30

头及颈部

刮除术及加压髋螺钉

男/24

颈部

合并病理性骨折

刮除术及加压髋螺钉

女/19

颈部

合并病理性骨折

刮除术及加压髋螺钉

女/20

颈部

关节融合术

男/29

头部

因接骨板断裂行切开复位内固定术

Cho等[20]

12

刮除并植骨

男/27

头及颈部

16个月

刮除术

刮除并用骨水泥

女/18

头及颈部

14个月

刮除术

刮除并用骨水泥

女/41

头部

17个月

全髋关节置换术

刮除并用骨水泥

男/26

颈部

10个月

全髋关节置换术

刮除并植骨

男/32

颈部

13个月

刮除术→全髋关节置换术

刮除并用骨水泥

男/21

颈部

刮除并植骨

男/40

头部

刮除并用骨水泥

男/30

头部

刮除并植骨

女/31

头部

刮除并植骨

男/19

头部

刮除并植骨

男/31

头部

刮除并用骨水泥

女/23

头部

续表

Gaston等[7]

1

使用地舒单抗六个月后进行刮除术

男/15

头及颈部

Silva等[21]

1

刮除术及带血管蒂骨移植

女/33

颈部及大转子近1/3

12个月

切除近端股骨1/3

Abdulrazak等[22]

1

刮除术并用螺钉固定

男/37

颈部

全髋关节置换术(内植物失效)

Elbardesy等[23]

1

全髋关节置换术

女/20

头部

Song等[24]

1

刮除术、腓骨支柱同种异体骨移植及髓内钉固定

男/26

转子下区、颈部及转子间区

患者在跌倒导致股骨近端骨折后入院,随后被确认为病理性骨折。值得注意的是,患者被发现已怀孕9周,这给临床决策带来了重大挑战。准确的诊断和最佳的治疗计划需要多学科方法和全面的诊断评估。在术前讨论中,仔细权衡了母体治疗益处与潜在胎儿风险。在胎儿器官发生关键期的妊娠前三个月进行手术干预,可能潜在地存在致畸风险。相反,将骨折固定推迟到妊娠中期(超过14周)可能会延长患者承受严重疼痛的时间[29],可能因此需要高剂量镇痛治疗,增加手术复杂性,并提高股骨头缺血性坏死和不愈合的风险。此外,胎儿在确认妊娠前已经接受了CT扫描的电离辐射暴露。

终止妊娠可以进行对比增强MRI,以更准确地描绘肿瘤与周围软组织的关系,可能降低术后复发风险,并允许更早进行手术干预以缓解骨折相关疼痛。经过全面的多学科咨询后,基于长期健康和生活质量的考虑,患者选择了此方案。做出此决定后,进行了对比增强MRI以进一步表征肿瘤并确定其范围,安排了加快的手术,并计划了术中冰冻切片分析。

通过产科和骨科团队的多学科会诊,做出了优先进行骨科干预而非终止妊娠的决定。该策略基于两个主要因素。首先,引产所需的截石位可能加剧股骨颈骨折处的剪切应力,从而导致无法忍受的疼痛。其次,虽然妊娠通常与高凝状态相关,但凝血参数可能仅显示轻微降低或保持在正常范围内。流产后凝血功能障碍,加上子宫收缩相关的出血,可能显著影响骨科手术期间的止血控制[30]

显然,本病例研究存在一定的局限性。由于缺乏支持性文献,对该患者进行治疗性流产的决定是为了优化母亲的长期生活质量和整体健康。妊娠合并肿瘤是一种相对罕见的临床情况。在一项针对21例患有原发性或继发性脊柱病变的妊娠患者的回顾性研究中,Meng等人证明,大多数良性脊柱肿瘤患者可以推迟手术至分娩后[31]。然而,他们建议对于高级别恶性肿瘤和快速进展性神经功能缺损的患者在妊娠期间进行手术干预。同样,在Dasic等人关于妊娠期乳腺癌脊柱转移的病例报告中,对于妊娠早期和中期患有进展性转移性疾病和脊髓压迫的患者,提供了终止妊娠的选择,以确保及时进行肿瘤治疗[32]。在妊娠晚期终止妊娠仍然存在争议,因为尽管对疾病控制和总生存期有负面影响,但患者通常选择延迟治疗。总的来说,上述病例说明,当继续妊娠可能显著损害母亲接受最佳治疗的能力并对生存预后产生负面影响时,应考虑终止妊娠。

4. 结论

GCTB是一种相对罕见的交界性肿瘤,其特征是溶骨性病变,主要影响20至40岁的成年人。在育龄妇女中,GCTB的诊断需要一个协调的多学科团队,包括骨科医生、产科医生、麻醉医生和肿瘤科医生。临床决策应包含谨慎的伦理考量。建议采用现代的多学科治疗策略以确保综合治疗。此外,长期随访对于检测肿瘤复发和保护这些患者的生育能力也至关重要。

致 谢

感谢关节外科、影像科及病理科对本病例诊治的共同努力。

声 明

本研究经广州红十字会医院医学伦理委员会批准,并获得伦理审查豁免(批准号:AF/SC-10/1.2)。同时已获得患者关于发表本研究及相关数据的书面知情同意。

附 录

本研究产生的数据可根据合理要求向通讯作者索取。本研究中生成的原始下一代测序数据已存入NCBI序列读取档案,BioProject登录号为PRJNA1365069。数据计划于2026年3月1日发布,之后可通过https://www.ncbi.nlm.nih.gov/sra/PRJNA1365069访问。

NOTES

*通讯作者。

参考文献

[1] Tsukamoto, S., Mavrogenis, A.F., Kido, A. and Errani, C. (2021) Current Concepts in the Treatment of Giant Cell Tumors of Bone. Cancers, 13, Article 3647. [Google Scholar] [CrossRef] [PubMed]
[2] Anderson, W.J. and Doyle, L.A. (2021) Updates from the 2020 World Health Organization Classification of Soft Tissue and Bone Tumours. Histopathology, 78, 644-657. [Google Scholar] [CrossRef] [PubMed]
[3] Sung, H.W., Kuo, D.P., Shu, W.P., Chai, Y.B., Liu, C.C. and Li, S.M. (1982) Giant-Cell Tumor of Bone: Analysis of Two Hundred and Eight Cases in Chinese Patients. The Journal of Bone & Joint Surgery, 64, 755-761. [Google Scholar] [CrossRef
[4] Campanacci, M., Baldini, N., Boriani, S. and Sudanese, A. (1987) Giant-Cell Tumor of Bone. The Journal of Bone & Joint Surgery, 69, 106-114. [Google Scholar] [CrossRef
[5] Lee, M.J., Sallomi, D.F., Munk, P.L., Janzen, D.L., Connell, D.G., O’Connell, J.X., et al. (1998) Pictorial Review: Giant Cell Tumours of Bone. Clinical Radiology, 53, 481-489. [Google Scholar] [CrossRef] [PubMed]
[6] Scotto di Carlo, F., Whyte, M.P. and Gianfrancesco, F. (2020) The Two Faces of Giant Cell Tumor of Bone. Cancer Letters, 489, 1-8. [Google Scholar] [CrossRef] [PubMed]
[7] Gaston, C.L., Puls, F. and Grimer, R.J. (2014) The Dilemma of Denosumab: Salvage of a Femoral Head Giant Cell Tumour. International Journal of Surgery Case Reports, 5, 783-786. [Google Scholar] [CrossRef] [PubMed]
[8] Amanatullah, D.F., Clark, T.R., Lopez, M.J., Borys, D. and Tamurian, R.M. (2014) Giant Cell Tumor of Bone. Orthopedics, 37, 112-120. [Google Scholar] [CrossRef] [PubMed]
[9] Miles, D.T., Voskuil, R.T., Dale, W., Mayerson, J.L. and Scharschmidt, T.J. (2020) Integration of Denosumab Therapy in the Management of Giant Cell Tumors of Bone. Journal of Orthopaedics, 22, 38-47. [Google Scholar] [CrossRef] [PubMed]
[10] van der Heijden, L., Dijkstra, P.D.S., van de Sande, M.A.J., Kroep, J.R., Nout, R.A., van Rijswijk, C.S.P., et al. (2014) The Clinical Approach toward Giant Cell Tumor of Bone. The Oncologist, 19, 550-561. [Google Scholar] [CrossRef] [PubMed]
[11] Mahnken, A., Nolte-Ernsting, C., Wildberger, J., Heussen, N., Adam, G., Wirtz, D., et al. (2003) Aneurysmal Bone Cyst: Value of MR Imaging and Conventional Radiography. European Radiology, 13, 1118-1124. [Google Scholar] [CrossRef] [PubMed]
[12] Chen, W. and DiFrancesco, L.M. (2017) Chondroblastoma: An Update. Archives of Pathology & Laboratory Medicine, 141, 867-871. [Google Scholar] [CrossRef] [PubMed]
[13] Larousserie, F., Audard, V., Burns, R. and de Pinieux, G. (2022) La tumeur à cellules géantes des os en 2022. Annales de Pathologie, 42, 214-226. [Google Scholar] [CrossRef] [PubMed]
[14] Rehkämper, J., Steinestel, K., Jeiler, B., Elges, S., Hekeler, E., Huss, S., et al. (2018) Diagnostic Tools in the Differential Diagnosis of Giant Cell-Rich Lesions of Bone at Biopsy. Oncotarget, 9, 30106-30114. [Google Scholar] [CrossRef] [PubMed]
[15] van der Heijden, L., Lipplaa, A., van Langevelde, K., Bovée, J.V.M.G., van de Sande, M.A.J. and Gelderblom, H. (2022) Updated Concepts in Treatment of Giant Cell Tumor of Bone. Current Opinion in Oncology, 34, 371-378. [Google Scholar] [CrossRef] [PubMed]
[16] Sakayama, K., Sugawara, Y., Kidani, T., Miyawaki, J., Fujibuchi, T., Kamei, S., et al. (2007) Diagnostic and Therapeutic Problems of Giant Cell Tumor in the Proximal Femur. Archives of Orthopaedic and Trauma Surgery, 127, 867-872. [Google Scholar] [CrossRef] [PubMed]
[17] Tibrewal, S.B. (1986) Treatment of Giant Cell Tumour of the Femoral Head and Neck. Journal of the Royal Society of Medicine, 79, 401-404. [Google Scholar] [CrossRef] [PubMed]
[18] Sim, E. and Lang, S. (1997) Joint Salvaging Surgery for an Extensive Giant Cell Tumor of the Proximal Femur Complicated by a Trans-Cervical Fracture. Archives of Orthopaedic and Trauma Surgery, 116, 431-434.
[19] Khan, S.A., Kumar, A., Inna, P., Bakhshi, S. and Rastogi, S. (2009) Endoprosthetic Replacement for Giant Cell Tumour of the Proximal Femur. Journal of Orthopaedic Surgery, 17, 280-283. [Google Scholar] [CrossRef] [PubMed]
[20] Cho, H.S., Park, I., Han, I., Kang, S.C. and Kim, H. (2009) Giant Cell Tumor of the Femoral Head and Neck: Result of Intralesional Curettage. Archives of Orthopaedic and Trauma Surgery, 130, 1329-1333. [Google Scholar] [CrossRef] [PubMed]
[21] Silva, P., Amaral, R.A.D., Oliveira, L.A.D., Moraes, F.B.D. and Chaibe, E.D. (2016) Giant Cell Tumor of the Femoral Neck: Case Report. Revista Brasileira de Ortopedia (English Edition), 51, 739-743. [Google Scholar] [CrossRef] [PubMed]
[22] Abdulrazak, S., Marzouki, A., Bah, S.T., Lahrach, K. and Boutayeb, F. (2019) Giant Cell Tumour of the Femoral Neck: Failure of Curettage-Cavity Filling Cementation with Screw Fixation, a Case Report. Trauma Case Reports, 22, Article ID: 100216. [Google Scholar] [CrossRef] [PubMed]
[23] Elbardesy, H., Sheridan, G.A. and Guerin, S. (2021) Giant Cell Tumor of the Femoral Head: A Case Report and Review of the Literature. Journal of Orthopaedic Case Reports, 11, 48-51. [Google Scholar] [CrossRef] [PubMed]
[24] Song, J., Liu, B., Jin, K. and Yao, Q. (2024) Giant Cell Tumor of Proximal Femur Managed by Extended Curettage with Fibular Strut Allograft Using Long Intramedullary Interlocking Nail: A Case Report and Literature Review. Medicine, 103, e40960. [Google Scholar] [CrossRef] [PubMed]
[25] Gosal, G., Boparai, A. and Makkar, G. (2015) Long-Term Outcome of Endoprosthetic Replacement for Proximal Femur Giant Cell Tumor. Nigerian Journal of Surgery, 21, 143-145. [Google Scholar] [CrossRef] [PubMed]
[26] Errani, C., Ruggieri, P., Asenzio, M.A.N., Toscano, A., Colangeli, S., Rimondi, E., et al. (2010) Giant Cell Tumor of the Extremity: A Review of 349 Cases from a Single Institution. Cancer Treatment Reviews, 36, 1-7. [Google Scholar] [CrossRef] [PubMed]
[27] Formica, V.M., Bruno, V., Scotto Di Uccio, A., Cocca, E., Rossi, B. and Zoccali, C. (2023) The Giant Cell Tumor during Pregnancy: A Review of Literature. Orthopaedics & Traumatology: Surgery & Research, 109, Article ID: 103396. [Google Scholar] [CrossRef] [PubMed]
[28] Siesel, C., Muhammad, B. and Weiner, S. (2020) Giant Cell Tumor after Distal Radius Open Reduction and Internal Fixation in a Pregnant Woman. JBJS Case Connector, 10, e20.00165. [Google Scholar] [CrossRef] [PubMed]
[29] Ulrikh, E., Kalinina, E., Dikareva, E., Komlichenko, E., Li, O., Zhamborova, O., et al. (2022) Personalized Treatment of Malignant Tumors during Pregnancy. Medicine, 101, e29803. [Google Scholar] [CrossRef] [PubMed]
[30] Katz, D. and Beilin, Y. (2015) Disorders of Coagulation in Pregnancy. British Journal of Anaesthesia, 115, ii75-ii88. [Google Scholar] [CrossRef] [PubMed]
[31] Meng, T., Yin, H., Li, Z., Li, B., Zhou, W., Wang, J., et al. (2015) Therapeutic Strategy and Outcome of Spine Tumors in Pregnancy: A Report of 21 Cases and Literature Review. Spine, 40, E146-E153. [Google Scholar] [CrossRef] [PubMed]
[32] Dasic, D., Rath, N.K., Ganau, M. and Sarsam, Z. (2020) Management Challenges of Metastatic Spinal Cord Compression in Pregnancy. Case Reports in Surgery, 2020, Article ID: 8891021. [Google Scholar] [CrossRef] [PubMed]