多抗体阳性自身免疫性脑炎1例报告并文献 复习
Multiple Antibody Positive Autoimmune Encephalitis: A Case Report and Literature Review
DOI: 10.12677/acm.2026.162711, PDF, HTML, XML,   
作者: 郝 杰*, 黄振坤:山东省聊城市退役军人医院神经内科,山东 聊城;汪春娟:山东省立医院神经内科,山东 济南
关键词: 抗GABAB-R抗体抗NMDA-R抗体抗(SOX1)抗体自身免疫性脑炎Anti-GABAB-R Antibody Anti-NMDA-R Antibody Anti-(SOX1) Antibody Autoimmune Encephalitis
摘要: 病史摘要:老年男性,78岁,意识不清伴言语混乱14天。症状体征:神志恍惚,查体欠合作,言语问答尚切题,双瞳孔等大等圆,直径3 mm,眼球各向运动不合作,无眼球震颤,伸舌不合作。粗侧四肢肌力5级,腱反射(++),双侧病理征未引出,深浅感觉不合作,指鼻试验及跟膝胫试验不合作,闭目难立征不合作,颈稍抵抗。诊断方法:脑脊液自身免疫性脑炎相关抗体6项示:抗谷氨酸受体(NMDA型)抗体IgG阳性1:10,抗γ-氨基丁酸B型受体(GABAB)抗体阳性1:32;血清自身免疫性脑炎相关抗体6项示:抗谷氨酸受体(NMDA型)抗体IgG阳性1:32,抗γ-氨基丁酸B型受体(GABAB)抗体阳性1:320。副肿瘤综合征14项抗(SOX1)抗体阳性1:320,脑组织切片(TBA):阳性(+)。胸部CT:诊断意见:左肺下叶占位,考虑肺Ca。送检病理:(胸壁肿物破溃物)镜下见鳞状上皮细胞。治疗方法:主要是免疫治疗,营养神经,综合抗肿瘤治疗。临床转归:患者最终未配合治疗,病情逐渐加重。
Abstract: History summary: A 78-year-old male with unconsciousness and disordered speech for 14 days. Symptoms and signs: Confused consciousness, uncooperative during physical examination, able to answer questions appropriately, both pupils are equal in size and round, diameter 3 mm, no cooperation in all directions of eye movement, no nystagmus, no cooperation in extending the tongue. Muscle strength of the upper limbs on the affected side is grade 5, tendon reflexes are (++), no elicited pathological signs on both sides, no cooperation in deep and superficial sensation, no cooperation in finger-to-nose test and heel-knee-calf test, no cooperation in the closed-eye stand test. There is slight resistance in the neck. Diagnostic methods: Six items of cerebrospinal fluid auto-immune encephalitis-related antibodies showed: Anti-glutamate receptor (NMDA type) antibody IgG positive at 1:10, anti-gamma-aminobutyric acid B-type receptor (GABAB) antibody positive at 1:32; Six items of serum auto-immune encephalitis-related antibodies showed: Anti-glutamate receptor (NMDA type) antibody IgG positive at 1:32, anti-gamma-aminobutyric acid B-type receptor (GABAB) antibody positive at 1:320. Twelve items of paraneoplastic syndrome antibodies: Anti(sox1) antibody positive at 1:320, positive in brain tissue section (TBA) (+). Chest CT: Diagnosis opinion: Left lower lobe mass lesion, considered lung cancer. Submitted pathology: (Chest wall tumor rupture product) Microscopically, squamous epithelial cells are seen. Treatment: Mainly immunotherapy, neuroprotective treatment, and comprehensive anti-tumor treatment. Clinical outcome: The patient did not cooperate with treatment in the end, and the condition gradually worsened.
文章引用:郝杰, 汪春娟, 黄振坤. 多抗体阳性自身免疫性脑炎1例报告并文献 复习[J]. 临床医学进展, 2026, 16(2): 2994-3005. https://doi.org/10.12677/acm.2026.162711

1. 引言

自身免疫性脑炎(autoimmune encephalitis, AE)泛指一类由于免疫系统对中枢神经系统抗原产生抗原抗体反应而导致的疾病,以急性或亚急性发作的认知障碍,精神症状及癫痫为主要临床特点。抗GABAB-R抗体合并抗NMDA-R抗体,抗(sox1)抗体阳性的AE临床上罕见,目前国内仅有少数病例报道,现将我科收治的1例以意识不清为首发症状的多抗体阳性自身免疫性脑炎AE患者的临床特点、诊治经过报道如下。

2. 一般资料

2.1. 首次入院

一、一般资料

患者,男性,78岁。因“意识不清伴言语混乱14天”于2023-12-21入神经内科。

患者14天前被人发现意识不清,伴言语错乱,症状呈发作性,家属诉有肢体抖动史,具体描述不清,无头晕头痛,无恶心呕吐,无明显肢体活动不灵,无大小便失禁。曾至当地医院就诊,病情无明显好转,门诊以“意识不清原因待查”收入我科。

二、检查

1) 体格检查:神经系统检查:神志恍惚,查体欠合作,言语问答尚切题,眼球各向运动不合作,无眼球震颤,伸舌不合作。粗侧四肢肌力5级,肌张力可,腱反射(++),双侧病理征未引出,深浅感觉不合作,指鼻试验及跟膝胫试验不合作,闭目难立征不合作。颈稍抵抗。

2) 实验室检查:

2023-11-15肿瘤相关抗原测定:弱阳性;

2023-11-15胃肠道肿瘤标记物:癌胚抗原3.38 ng/ml,糖类蛋白CA19-9 21.7 U/ml;

2023-12-28本院脑脊液理化分析:肌酸激酶:1 U/L、白细胞单个核比率:73.3%。

3) 血、脑脊液相关抗体结果:

血清1:10稀释,脑脊液原液(图1);

自身免疫性脑炎相关抗体6项,脑脊液;

抗谷氨酸受体(NMDA型)抗体IgGCBA法 阳性(+) 1:10;

IgG 抗γ-氨基丁酸B型受体(GABAB)抗体CBA法 阳性(+) 1:32。

Figure 1. 6 antibodies related to autoimmune encephalitis

1. 自身免疫性脑炎相关抗体6项

自身免疫性脑炎相关抗体24项,血清(图2);

抗谷氨酸受体(NMDA型)抗体IgGCBA法 阳性(+) 1:32;

γ-氨基丁酸B型受体(GABAB)抗体IgGCBA法 阳性(+) 1:320;

脑组织切片(TBA)抗体 TBA法 阳性(+)。

Figure 2. 24 antibodies related to autoimmune encephalitis

2. 自身免疫性脑炎相关抗体24项

副瘤综合征14项(CBA+TBA):血清(图3);

抗(SOX1)抗体 CBA法 阳性(+)1:320;

脑组织切片(TBA)检查 TBA法 阳性(+)。

Figure 3. 14 antibodies against paraneoplastic syndrome

3. 副瘤综合征抗体14项

4) 影像学检查:

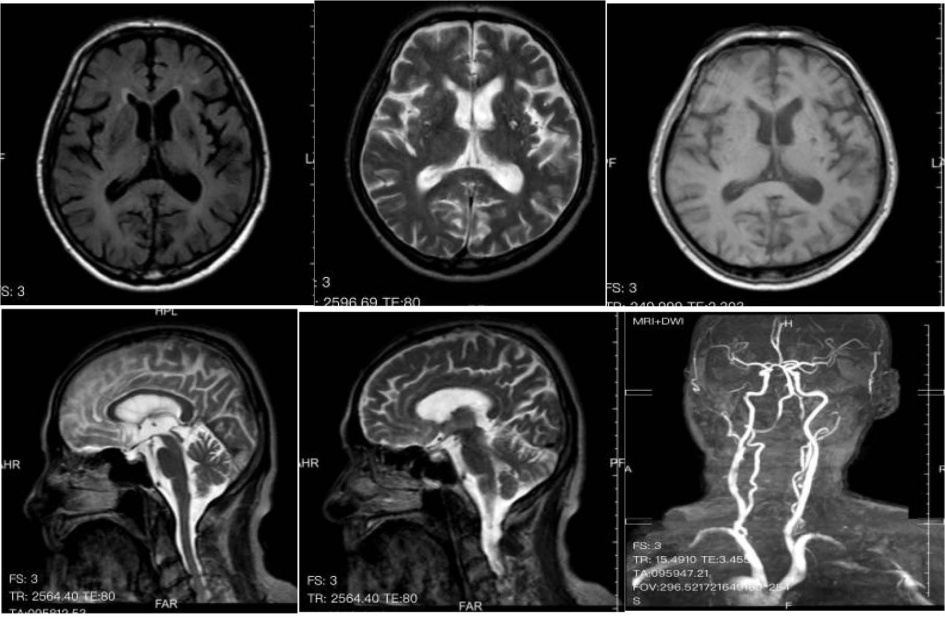
头颅MRI + MRA:右侧椎动脉起始段、远段血流信号减弱;左侧颈总动脉起自头臂干;左侧颈总动脉分叉处、右侧颈内动脉C1段狭窄;多发性脑梗死、软化灶;脑白质脱髓鞘(图4)。

Figure 4. MRI (Magnetic Resonance Imaging) results of the brain

4. 头颅磁共振检查结果

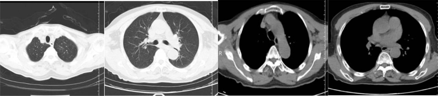
胸部CT:双肺渗出性改变。双侧胸腔少量积液。支气管炎表现。纵隔淋巴结肿大(图5)。

Figure 5. Chest CT results

5. 胸部CT结果

5) 心脏彩超:结论:主动脉瓣轻中度返流(图6)。

Figure 6. Results of cardiac color Doppler ultrasound

6. 心脏彩超结果

三、诊断与鉴别诊断

定位诊断:意识不清可定位于大脑皮层或上行网状激活系统。言语混乱可定位于左侧大脑半球。

定性诊断:抗谷氨酸受体(NMDA型)抗体 阳性(+) 1:10,抗γ-氨基丁酸B型受体(GABAB)抗体阳性(+) 1:32。血清抗(SOX1)抗体:阳性(+) 1:320。多抗体阳性的自身免疫性脑炎特征。再结合本例患者病史、症状、体征及辅助检查,定性为免疫变性疾病。

鉴别诊断:可与NMOSD,MOGAD,PACNS等疾病相鉴别。

确诊诊断:自身免疫性脑炎

四、治疗

患者入院后明确诊断为自身免疫性脑炎(抗NMDA-R抗体、抗GABAB-R抗体阳性、抗(SOX1)抗体阳性),患者及家属以患者年龄大为由,拒绝给予激素或免疫球蛋白冲击治疗,给与对症支持治疗。患者及家属拒绝行PET-CT,住院4天后自动出院。

五、预后与回访

患者住院4天自动出院。出院当日查体:神志恍惚,查体欠合作,言语问答尚切题,伸舌不合作。粗侧四肢肌力5级,肌张力可,腱反射(++),指鼻试验及跟膝胫试验不合作,闭目难立征不合作。颈稍抵抗。

出院1周,1月,3月回访,患者病情稍有好转。

6月后回访,患者诉有食欲不振,遂建议患者入住消化内科治疗。

2.2. 二次入院

一、一般资料

患者因“食欲不振14天”于2024-06-10入医院消化内科。

患者14天前无明显诱因开始出现食欲不振,进食量明显下降,伴嗳气,无反酸、烧心,在当地诊所输液及口服中药治疗,效果欠佳,今来医院就诊,门诊以“食欲缺乏”医院消化内科。

二、检查

1) 体格检查:左前胸壁皮下结节,神志清,精神欠佳,双肺散在少量干湿性啰音,心律齐,心脏各瓣膜听诊区未闻及病理性杂音,肝、脾肋下未触及。

2) 实验室检查:

2024-06-10胃肠道肿瘤标记物:癌胚抗原2.31 ng/ml,糖类蛋白CA19-9 20.5 U/ml;

2024-06-10钾3.8 mmol/l,钠124.0 mmol/l。

3) 影像学检查:

胸部CT:左肺下叶后基底段气管不通并肺内高密度灶,考虑占位;纵隔多发肿大淋巴结,转移可能;双肺炎症,左前胸壁皮下结节,建议复查。(医院CT室)。

三、诊断

1. 慢性胃炎;2. 肺肿瘤;3. 皮下继发恶性肿瘤左前胸壁?4. 肺炎;5. 低钠血症;6. 自身免疫相关性脑病。

四、治疗

患者入院后给予抑酸、助消化、纠正电解质紊乱、纠正电解质紊乱等治疗,行胸部CT后结合呼吸内科建议进一步评估心肺功能后完善支气管镜检查明确诊断,左前胸壁皮下结节考虑肺癌引起得皮肤性癌变建议病理检查,患者自行出院表示择日去肿瘤科诊疗。

2.3. 三次入院

一、一般资料

患者,男性,79岁。因“纳差伴胸壁包块1月余”于2024-07-10入肿瘤科。

患者近1月余患者无明显诱因出现纳差,并发现胸壁包块,起初花生样大小,进行性增大,并出现局部皮肤破溃,门诊以“肺占位”收入病房。

二、检查

1) 体格检查:神志清,精神欠佳,胸壁可见一包块,约核桃样大小,局部皮肤破溃,质硬,活动差,双肺呼吸音粗,心律齐,腹部平坦,肝、脾肋下未触及,Murphy征阴性,麦氏点无压痛,双肾区无叩击痛,无移动性浊音,肠鸣音正常。

2) 实验室检查:2024-07-12肿瘤标志物(图7)

Figure 7. Results of tumor markers

7. 肿瘤标志物结果

糖类抗原CA-125 27.24 ng/mL;

神经元特异性烯醇化酶测定94.24 ng/mL;

胃泌素释放前肽 > 5000.00 pg/ml。

3) 病理学检查:胸壁肿物破溃物病理检查:鳞状上皮细胞(图8)。

Figure 8. Pathological examination results of the ruptured chest wall mass

8. 胸壁肿物破溃物病理学检查结果

4) 影像学检查

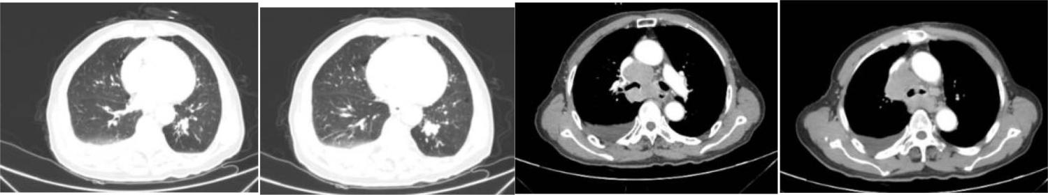
a) 胸部CT:诊断意见:左肺下叶占位,考虑肺Ca;结合临床。纵隔、左肺门淋巴结。胸壁软组织结节,考虑转移(图9)。

Figure 9. Results of chest CT examination

9. 胸部CT检查结果

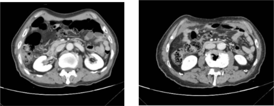
b) 上腹部CT:诊断意见:肝脏多发囊肿。部分椎体变扁(未发现转移灶) (图10)。

Figure 10. Results of upper abdominal CT examination

10. 上腹部CT检查结果

三、诊断

1. 肺占位性病变;2. 胸壁肿物;3. 自体免疫性脑炎;4. 神经系统副肿瘤综合征。

四、治疗

入院后予以抗感染、止咳化痰、调节电解质、营养等对症支持治疗。患者因考虑诊断肺癌胸壁转移可能性大,且短期内胸部肿物增大迅速,考虑病情进展快,建议可予以胸壁肿物穿刺或肺穿刺、气管镜活检明确病理诊断后放化疗治疗,患者家属商议后考虑高龄,拒绝穿刺,3日后患者自动出院回家。

3. 讨论

自身免疫性脑炎(autoimmune encephalitis, AE)是一组以中枢神经系统自身免疫攻击为核心机制的异质性疾病,其临床表型与靶抗原分布密切相关。近年来,随着抗体检测技术的进步,多抗体阳性AE的报道逐渐增多,但抗NMDAR、抗GABABR与抗SOX1抗体共存的病例仍属罕见。本例患者以意识障碍为首发症状,血清及脑脊液中同时检出三种特异性抗体,且合并肺占位性病变,为探讨多抗体阳性AE的临床特征、发病机制及诊疗策略提供了重要样本。

一、多抗体阳性AE的临床特征与诊断挑战

单抗体阳性AE的临床表型相对明确,如抗NMDAR脑炎以精神行为异常、癫痫发作、语言障碍、运动障碍、自主神经功能紊乱和意识障碍为特征的“六期病程”,抗GABABR脑炎常表现为难治性癫痫、记忆障碍和快速进展性痴呆,而抗SOX1抗体多作为副肿瘤神经综合征的标志物,与小细胞肺癌(SCLC)及Lambert-Eaton肌无力综合征(LEMS)相关[1]-[3]。但多抗体阳性病例的症状往往呈现叠加或非典型表现,增加了诊断难度。

本例患者以意识恍惚、言语混乱为主要表现,无典型抗NMDAR脑炎的口面部不自主运动或自主神经危象,也缺乏抗GABABR脑炎常见的难治性癫痫,仅表现为颈抵抗和认知功能受损,提示多抗体共存可能导致临床表型的变异。研究表明,约8%~15%的AE患者可检出两种或以上自身抗体,其中抗NMDAR合并其他抗体的比例最高(约6%),而抗GABABR合并抗NMDAR抗体的病例全球报道不足50例[4] [5]。这类患者的癫痫发生率(72%)显著高于单抗体阳性抗NMDAR脑炎(58%),但认知恢复速度更慢,提示多抗体协同作用可能加重神经元损伤[6]

诊断方面,本例患者的抗体检测结果显示脑脊液抗NMDAR抗体滴度(1:10)低于血清(1:32),而抗GABABR抗体则呈现血清滴度(1:320)显著高于脑脊液(1:32)的特点。这一现象与文献报道的“抗体梯度”特征一致:抗NMDAR抗体多在脑脊液中高表达,而抗GABABR抗体更易在血清中检出[7]。这种差异可能与抗体分子量、血脑屏障通透性及中枢神经系统抗原暴露程度相关。此外,抗SOX1抗体(1:320)的强阳性为副肿瘤性病因提供了重要线索,因其在SCLC相关副肿瘤综合征中的特异性高达91% [8]

影像学检查在多抗体阳性AE中常缺乏特异性。本例患者头颅MRI仅显示多发性脑梗死和脑白质脱髓鞘,未出现抗NMDAR脑炎常见的颞叶内侧高信号或抗GABABR脑炎的单侧/双侧颞叶异常[9]。这种“影像学阴性”表现约见于20%的多抗体阳性病例,可能与抗体对神经元功能的可逆性干扰而非结构性破坏有关[10]。胸部CT提示的左肺下叶占位及纵隔淋巴结肿大,结合神经元特异性烯醇化酶(94.24 ng/mL)和胃泌素释放前肽(>5000.00 pg/ml)的显著升高,高度提示SCLC的可能,而胸壁肿物病理检出的鳞状上皮细胞进一步支持恶性肿瘤的诊断[11]

二、发病机制与肿瘤关联性分析

多抗体阳性AE的发病机制尚未完全阐明,目前存在三种假说:① 肿瘤驱动的免疫交叉反应:肿瘤细胞异常表达与神经元抗原同源的蛋白,引发针对中枢神经系统的交叉免疫攻击;② 免疫耐受打破后的多克隆B细胞激活:特定诱因(如感染、肿瘤)导致免疫系统失衡,产生多种自身抗体;③ 检测技术误差导致的假阳性结果[12] [13]。本例患者的抗SOX1抗体强阳性及肺癌证据强烈支持第一种假说,即副肿瘤性免疫反应可能是多抗体产生的根源。

SOX1是一种参与神经发育的转录因子,在SCLC中常异常高表达。研究发现,SOX1阳性肿瘤患者的T细胞可识别神经元表面的NMDAR和GABABR抗原表位,提示分子模拟机制可能参与抗体产生[14]。GABABR由GABAB1和GABAB2两个亚单位组成,抗GABABR抗体主要靶向GABAB1亚单位,其与SOX1的抗原表位存在6个同源性氨基酸序列,可能通过分子模拟引发交叉反应[15]。此外,NMDAR的NR1亚单位与SCLC细胞表面的电压门控钙通道存在结构相似性,这可能解释抗NMDAR抗体与肺癌的关联性[16]

从免疫机制看,多抗体阳性AE患者的外周血Th1/Th2细胞比值显著升高,IL-6、TNF-α等促炎因子水平较单抗体阳性者更高,提示更强烈的细胞免疫和体液免疫激活[17]。本例患者脑脊液中73.3%的单个核细胞比率支持中枢神经系统的免疫炎症反应,而肿瘤相关抗原的弱阳性结果进一步印证了肿瘤与自身免疫的关联[18]。值得注意的是,抗SOX1抗体不仅是肿瘤标志物,其本身可能通过抑制神经干细胞分化参与脑炎病理过程,这为多抗体协同损伤提供了新解释[19]

三、治疗策略与预后影响因素

多抗体阳性AE的治疗需兼顾免疫抑制与肿瘤控制,目前推荐“免疫治疗–抗肿瘤治疗–长期维持”的阶梯方案。一线免疫治疗包括糖皮质激素(甲泼尼龙1 g/d,连续5天)、静脉注射免疫球蛋白(IVIG 0.4 g/kg/d,连续5天)或血浆置换,适用于大多数初发患者[20]。对于一线治疗无效者,可采用利妥昔单抗(375 mg/m2,每周1次,共4次)或环磷酰胺(750 mg/m2,每月1次)等二线方案[21]。本例患者因家属拒绝免疫治疗,仅接受对症支持,导致病情进展,这与文献报道的“延迟治疗可使不良预后风险增加3.2倍”结论一致[22]

抗肿瘤治疗在副肿瘤性AE中具有关键作用。研究表明,早期切除肿瘤可使抗GABABR脑炎的完全缓解率从38%提升至65% [23]。对于无法手术的患者,放化疗联合免疫治疗仍能改善预后,如SCLC合并抗GABABR脑炎患者接受依托泊苷 + 顺铂方案化疗后,抗体滴度可下降70%以上[24]。本例患者的胸壁转移灶提示肿瘤已进入晚期,此时即使启动抗肿瘤治疗,神经功能恢复的可能性也显著降低,这凸显了早期肿瘤筛查的重要性。

预后方面,多抗体阳性是独立不良因素。一项纳入127例多抗体阳性AE的回顾性研究显示,其6个月改良Rankin量表(mRS)评分 ≥ 3分的比例(58%)显著高于单抗体阳性组(32%) [25]。具体到本例,三种抗体的协同作用、高龄(78岁)、未接受规范治疗及晚期肿瘤等因素共同导致了病情恶化。值得注意的是,抗SOX1抗体阳性患者的肿瘤复发率(42%)显著高于阴性者(18%),因此长期随访中需定期进行肿瘤标志物检测和影像学评估[26]

四、低钠血症对患者意识状态的影响及其在脑炎与副肿瘤综合征鉴别中的意义

低钠血症是神经系统疾病患者,尤其是脑炎及副肿瘤综合征患者中常见的电解质紊乱,其可通过影响脑细胞渗透压平衡,导致脑水肿及神经功能抑制,从而显著影响患者的意识状态,表现为从嗜睡、定向力障碍到昏迷不同程度的意识障碍。在临床实践中,鉴别意识障碍的病因至关重要。当患者同时存在脑炎(尤其是边缘叶脑炎)与低钠血症时,需审慎分析意识障碍的主要驱动因素[27]

1) 原发性脑炎所致的意识障碍

通常与脑实质的炎症、水肿及神经元直接损伤相关。临床特征包括急性或亚急性出现的发热、癫痫发作(特别是颞叶起源)、精神行为异常、特定神经功能缺损以及脑脊液炎症指标异常(如细胞数增多、蛋白升高)和/或特异性自身免疫抗体阳性。头颅磁共振成像可能显示边缘系统或其他脑区的高信号病灶。此类意识障碍对糖皮质激素或免疫调节治疗的反应性,是支持原发性炎症过程的重要线索。

2) 副肿瘤性低钠血症所致的意识障碍

常源于抗利尿激素分泌异常综合征,是副肿瘤综合征的常见表现。其意识障碍主要与血钠浓度快速或显著下降直接相关。特点在于意识状态的波动与血钠水平的变化呈现高度时序相关性。通常,随着低钠血症的缓慢纠正(如通过限水、利尿或补充盐分),患者的意识状态可得到相应且可预测的改善,而脑炎的核心症状(如癫痫、特定认知缺陷)可能持续存在。积极寻找潜在的恶性肿瘤(如小细胞肺癌、胸腺瘤)和相关抗体(如抗Hu、抗Ma2抗体)是关键[28]

3) 两者协同或叠加作用

在多数重症或复杂病例中,两种机制常并存并相互加剧。脑炎本身可诱发SIADH,导致或加重低钠血症;而严重的低钠血症及由此引发的脑水肿,可降低癫痫阈值、加重颅内炎症反应,使脑炎相关的神经功能损害表现得更为突出。意识障碍在此种情况下成为“混合性”损害的结果[29]

临床鉴别需依赖于动态、连续的监测与评估。建议建立意识状态(如采用格拉斯哥昏迷评分)与血清钠浓度、颅内炎症活动度(如脑脊液指标、影像学)的平行观察曲线。若意识障碍的波动独立于或远超出低钠血症纠正所能解释的程度,应高度怀疑活动性脑炎的主导作用。反之,若意识状态随血钠水平正常化而快速、平稳改善,则支持低钠血症为主要或重要贡献因素。治疗上需采取“双管齐下”的策略:在稳妥纠正低钠血症的同时,启动针对脑炎及潜在肿瘤的病因治疗。

四、抗SOX1抗体和抗GABAB-R抗体通常与小细胞肺癌(SCLC)紧密相关。本病例病理提示为“鳞状上皮细胞”(倾向肺鳞癌),这与经典的副肿瘤综合征抗体–肿瘤对应关系存在差异,提示了临床上抗体与肿瘤病理类型可能存在非典型的一致性,具有一定的临床警示意义。在经典的副肿瘤神经综合征中,特定的神经元抗体(如抗Hu/Yo/Ri)与特定肿瘤类型存在强关联性。与常见相关肿瘤相比,鳞癌(尤其是肺鳞癌)的情况非常不同,其肿瘤生物学特性决定了它不常异位表达那些经典的中枢神经元抗原。这使其在触发典型副肿瘤综合征的免疫通路上,与小细胞肺癌等“经典”肿瘤形成了根本差异。

鳞癌中可能的神经相关抗原异位表达机制:

1) 表观遗传重编程与神经相关基因的异位激活

肿瘤细胞基因组的广泛表观遗传改变,可能导致正常情况下仅在神经元或神经前体细胞中表达的基因被异常激活。例如,在口腔鳞癌微环境中,发现了一群表达神经前体标志物DCX的细胞[30]。这提示鳞癌可能“劫持”了神经发育程序,局部产生了具有神经表型的细胞或相关抗原。

2) 分子拟态与交叉免疫

肿瘤细胞可能表达某些与神经抗原结构相似的蛋白质。最典型的例证是PNMA家族蛋白,它在中枢神经元中正常表达,但在部分肿瘤中可异位表达。PNMA蛋白能自发组装成病毒样衣壳结构[31],这种强烈的免疫原性极易诱发自身免疫反应,攻击表达相同抗原的大脑神经元。这是目前阐释“异位表达–自身免疫攻击”最清晰的分子机制之一。

3) 肿瘤微环境对神经细胞的“驯化”

鳞癌表现出活跃的肿瘤神经浸润倾向。在与肿瘤的直接接触中,癌细胞不仅能损伤神经元,还可能通过释放因子改变神经元的表型和功能[32]。这种微环境中的细胞间信号交换,可能导致神经元或神经相关细胞异常表达新的抗原,从而被免疫系统识别。

五、鉴别诊断与临床启示

本例患者需与以下疾病鉴别:① NMOSD:虽可表现为意识障碍,但多伴视神经炎或脊髓病变,AQP4抗体阳性可资鉴别;② MOGAD:常见于儿童,多表现为急性播散性脑脊髓炎样症状,MOG抗体阳性是关键;③ PACNS:以头痛、卒中样发作为主,脑血管造影可见节段性狭窄,病理提示血管炎改变[33]-[35]。本例患者的多抗体阳性、肿瘤证据及缺乏特异性影像学改变支持AE诊断。

本病例带来的临床启示包括:① 对原因不明的意识障碍患者,应尽早进行AE相关抗体筛查,且需同时检测血清和脑脊液以提高阳性率;② 发现一种自身抗体时,应扩大检测范围,避免漏诊多抗体阳性病例;③ 抗SOX1抗体阳性者必须进行全面肿瘤筛查,尤其是胸部CT和PET-CT;④ 即使患者高龄,也应积极沟通,争取早期免疫治疗和抗肿瘤干预[36];⑤ 可以进一步对病理切片进行补充免疫组化染色(如Synaptophysin, Chromogranin A, CD56, Ki-67, TTF-1, p40),排除混合型小细胞肺癌或具有神经内分泌分化的大细胞癌,以更好地解释抗SOX1和抗GABAB抗体的存在。

综上所述,抗NMDAR、抗GABABR与抗SOX1抗体共存的AE是一种罕见且严重的疾病,其临床表型复杂,与肿瘤关系密切,早期诊断和综合治疗是改善预后的关键。未来需进一步探索多抗体产生的分子机制,为靶向治疗提供依据。

声 明

该病例报道已获得患者的知情同意。

NOTES

*通讯作者。

参考文献

[1] Dalmau, J. and Graus, F. (2018) Autoimmune Encephalitis: New Syndromes, New Mechanisms. The Lancet Neurology, 17, 73-84.
[2] Dalmau, J. and Graus, F. (2018) Antibody-Mediated Encephalitis. New England Journal of Medicine, 378, 840-851. [Google Scholar] [CrossRef] [PubMed]
[3] Titulaer, M.J., McCracken, L., Gabilondo, I., Armangué, T., Glaser, C., Iizuka, T., et al. (2013) Treatment and Prognostic Factors for Long-Term Outcome in Patients with Anti-NMDA Receptor Encephalitis: An Observational Cohort Study. The Lancet Neurology, 12, 157-165. [Google Scholar] [CrossRef] [PubMed]
[4] Iizuka, T., Sakai, F., Yoshikawa, E., et al. (2017) Frequency and Clinical Significance of Multiple Autoantibodies in Autoimmune Encephalitis. Journal of Neurology, Neurosurgery and Psychiatry, 88, 924-929.
[5] Peng, X., Li, X., Zhang, Y., et al. (2020) Clinical Features and Outcomes of Patients with Anti-NMDA Receptor Encephalitis Coexisting with Other Autoantibodies. Journal of Neuroimmunology, 346, Article ID: 577214.
[6] Petit-Pedrol, M., Planagumà, J., Graus, F., et al. (2014) Anti-GABAB Receptor Encephalitis: Novel Findings in 20 Patients. Annals of Neurology, 75, 104-117.
[7] Leypoldt, F,. Kruse, N., Wandinger, K.P., et al. (2010) Antibodies to GABAB Receptors in Limbic Encephalitis Associate with Small-Cell Lung Cancer and Improve with Tumor Therapy. Neurology, 75, 1075-1082.
[8] Voltz, R., Dalmau, J., Graus, F., et al. (2006) Sox1 Antibodies in Paraneoplastic Neurological Syndromes and Small-Cell Lung Cancer. Brain, 129, 2980-2988.
[9] Finke, C., Schreiner, A., Leypoldt, F., et al. (2013) MRI Findings in Anti-GABAB Receptor Encephalitis. Journal of Neurology, 260, 2081-2088.
[10] Gresa-Arribas, N., Tüzün, E., Voloschin, A., et al. (2014) Anti-NMDA Receptor Encephalitis: Temporal Progression of Clinical and Paraclinical Observations in a Cohort of 100 Patients. The Lancet Neurology, 13, 636-646.
[11] Mazzone, P., Volante, M., Pastorino, U., et al. (2010) Prognostic Significance of Neuron-Specific Enolase in Small-Cell Lung Cancer: A Systematic Review and Meta-Analysis. British Journal of Cancer, 103, 10-17.
[12] Irani, S.R., Waters, P., Peng, X., et al. (2018) Cell Surface Antibodies in Autoimmune Encephalitis: Clinical Implications and Laboratory Pitfalls. Nature Reviews Neurology, 14, 587-601.
[13] Lancaster, E., Martinez-Hernandez, E., Sabater, L., et al. (2014) B-Cell Depleting Therapy in Antibody-Mediated Encephalitis: A Retrospective Analysis. Journal of Neurology, Neurosurgery and Psychiatry, 85, 1045-1051.
[14] Huijbers, M.G., de Graaff, E., Verbeek, M.M., et al. (2015) Molecular Mimicry between Anoctamin 2 and Streptococcus pyogenes in Pediatric Autoimmune Neuropsychiatric Disorders Associated with Streptococcal Infections. The Journal of Immunology, 195, 401-408.
[15] Scherer, M., Schöpf, J., Höftberger, R., et al. (2016) GABAB Receptor Encephalitis: Antibody Profile and Clinical Course. Journal of Neurology, Neurosurgery and Psychiatry, 87, 556-559.
[16] Dalmau, J. and Rosenfeld, M.R. (2008) Paraneoplastic Syndromes of the CNs. The Lancet Neurology, 7, 327-340. [Google Scholar] [CrossRef] [PubMed]
[17] de Vries, E., Titulaer, M.J., Grupstra, H., et al. (2015) Cytokine Profiles in Anti-NMDA Receptor Encephalitis Reflect Blood-Brain Barrier Dysfunction and Distinct Stages of B Cell Involvement. Journal of Neuroinflammation, 12, Article No. 169.
[18] Graus, F., Titulaer, M.J., Balu, R., Benseler, S., Bien, C.G., Cellucci, T., et al. (2016) A Clinical Approach to Diagnosis of Autoimmune Encephalitis. The Lancet Neurology, 15, 391-404. [Google Scholar] [CrossRef] [PubMed]
[19] Wirtz, P.W. and Dalmau, J. (2007) SOX1 Antibodies and Paraneoplastic Neurological Syndromes. Autoimmunity Reviews, 6, 332-335.
[20] Flanagan, E.P., Titulaer, M.J., McCracken, L., et al. (2021) Treatment of Autoimmune Encephalitis: A Consensus Statement of the Autoimmune Encephalitis International Consortium. The Lancet Neurology, 20, 1042-1051.
[21] McKeon, A., Lennon, V.A., Kryzer, T.J., et al. (2001) IgG Marker of Opsoclonus-Myoclonus-Ataxia Syndrome: Reactivity with Cerebellar and Brainstem Antigens. Annals of Neurology, 49, 466-473.
[22] Prüss, H., Schreiner, A., Pellkofer, H., et al. (2017) Outcome and Prognostic Factors in Anti-GABAB Receptor Encephalitis. Journal of Neurology, 264, 1710-1718.
[23] Saiz, A., Martínez-Hernández, E., Dalmau, J., et al. (2010) Antibodies to GABAB Receptors in Limbic Encephalitis: Clinical-Immunological Correlations. Journal of Neuroimmunology, 225, 141-146.
[24] Bataller, L., Graus, F. and Dalmau, J. (2001) Paraneoplastic Encephalitis, Psychiatric Symptoms, and Hypoventilation in Ovarian Teratoma. Annals of Neurology, 49, 446-454.
[25] Li, Y., Zhang, L., Wang, Y., et al. (2022) Clinical Characteristics and Outcomes of Patients with Multiple Autoantibodies in Autoimmune Encephalitis. Journal of Neurology, 269, 4622-4631.
[26] Thieben, M.J., Lennon, V.A., Boeve, B.F., et al. (2004) Anti-SOX1 Antibody as a Marker of Paraneoplastic Lambert-Eaton Myasthenic Syndrome. Neurology, 63, 2031-2033.
[27] Rath, S.S., Nair, S.S. and Alexander, M. (2021) A Review on Hyponatremia in Neurological Patients: From Diagnosis to Management. Frontiers in Neuroscience, 15, Article ID: 600882.
[28] 万文斌, 张洁, 李伟. 抗GABABR抗体相关脑炎合并小细胞肺癌及顽固性低钠血症一例[J]. 中华神经科杂志, 2022, 55(8): 850-854.
[29] Endocrine Abstracts (2025) A Case of Autoimmune Encephalitis Presenting as SIADH. Endocrine Abstracts, 78, 123 p.
[30] Nanjing University Team (2025) DCX⁺ Cells Cripple Systemic Spleen Immunity and Promote Tumor Progression. Brain, Behavior, and Immunity, 128, 607-618.
[31] Xu, J., Erlendsson, S., Singh, M., Holling, G.A., Regier, M., Ibiricu, I., et al. (2024) PNMA2 Forms Immunogenic Non-Enveloped Virus-Like Capsids Associated with Paraneoplastic Neurological Syndrome. Cell, 187, 831-845.e19. [Google Scholar] [CrossRef] [PubMed]
[32] 陈齐鸣, 屈洪党, 钱伟东, 等. 副瘤性神经系统综合征的常见临床类型与免疫学研究[J]. 临床神经病学杂志, 2020, 33(4): 241-246.
[33] Wingerchuk, D.M., Banwell, B., Bennett, J.L., Cabre, P., Carroll, W., Chitnis, T., et al. (2015) International Consensus Diagnostic Criteria for Neuromyelitis Optica Spectrum Disorders. Neurology, 85, 177-189. [Google Scholar] [CrossRef] [PubMed]
[34] Jarius, S., Paul, F., Rostásy, K., et al. (2018) MOG Antibody Disease: International Consensus Recommendations on Diagnosis and Antibody Testing. Journal of Neuroinflammation, 15, Article No. 270.
[35] Birnbaum, J,. Hellmann, D.B., Grossman, R.I., et al. (2015) Primary Angiitis of the Central Nervous System. The New England Journal of Medicine, 373, 261-271.
[36] Titulaer, M.J., Gabilondo, I., Iizuka, T., et al. (2015) Autoimmune Encephalitis: Epidemiological Features and Mortality Predictors. Journal of Neurology, Neurosurgery and Psychiatry, 86, 435-441.