超声造影对糖尿病患者颈动脉斑块内新生血管的定量及半定量研究
Quantitative and Semi-Quantitative Study of Neoangiogenesis in Carotid Plaque of Diabetic Patients Using Ultrasound Contrast Imaging
DOI: 10.12677/acm.2024.14102616, PDF, HTML, XML,   
作者: 徐 丽:青岛大学附属医院超声科,山东 青岛;淄博市中心医院超声科,山东 淄博;陈 菊, 赵 玮:淄博市中心医院超声科,山东 淄博;陈 珍:淄博市妇幼保健院超声科,山东 淄博;于 宁*:青岛大学附属医院超声科,山东 青岛
关键词: 糖尿病超声造影颈动脉斑块新生血管Diabetes Contrast-Enhanced Ultrasound Carotid Plaque Neoangiogenesis
摘要: 目的:应用超声造影技术定量及半定量比较糖尿病患者与非糖尿病患者颈动脉斑块内新生血管。方法:回顾性分析2020年7月~2021年11月淄博市中心医院收治的63例颈动脉斑块患者。根据空腹血糖将其分为糖尿病组和非糖尿病组。所有患者均予以超声检查,采用超声造影技术对颈动脉斑块新生血管进行半定量及定量分析,对比两组之间的差异。结果:糖尿病组与非糖尿病组之间血糖差异有统计学意义(P < 0.05),吸烟史、性别、年龄、体重指数、收缩压、舒张压、甘油三酯、脂蛋白a差异无统计学意义(P > 0.05)。糖尿病组颈动脉斑块内新生血管增强评分、AUC (P/L)和EI (P/L)高于非糖尿病组(P < 0.05)。两组间斑块长度、斑块厚度、ΔTtopeak差异无统计学意义(P > 0.05)。结论:糖尿病患者的颈动脉斑块含有更多的新生血管,斑块更易损,更易发生心脑血管事件。
Abstract: Objective: To quantitatively and semi-quantitatively compare new vessels within carotid atherosclerotic plaques between diabetic and non-diabetic patients using contrast-enhanced ultrasound (CEUS) technique. Methods: A retrospective analysis was performed on 63 patients with carotid plaques admitted to Zibo Central Hospital from July 2020 to November 2021. The patients were divided into diabetic and non-diabetic groups based on fasting blood glucose levels. All patients underwent ultrasound examination, and CEUS was used for semi-quantitative and quantitative analysis of new vessels within carotid atherosclerotic plaques, and the differences between the two groups were compared. Results: There was a statistically significant difference in fasting blood glucose levels between the diabetic and non-diabetic groups (P < 0.05), while there were no statistically significant differences in smoking history, gender, age, body mass index, systolic blood pressure, diastolic blood pressure, triglycerides, and lipoprotein(a) levels (P > 0.05). The diabetic group had higher scores for new vessel enhancement within carotid plaques, AUC (P/L), and EI (P/L) compared to the non-diabetic group (P < 0.05). There were no statistically significant differences in plaque length, plaque thickness, and ΔTtopeak between the two groups (P > 0.05). Conclusion: Carotid atherosclerotic plaques in diabetic patients contain more new vessels, are more vulnerable, and are more prone to cardiovascular and cerebrovascular events.
文章引用:徐丽, 陈菊, 赵玮, 陈珍, 于宁. 超声造影对糖尿病患者颈动脉斑块内新生血管的定量及半定量研究[J]. 临床医学进展, 2024, 14(10): 27-34. https://doi.org/10.12677/acm.2024.14102616

1. 引言

糖尿病是全球高发的代谢性疾病,据一项大规模调查显示,中国大陆成年人糖尿病总的加权患病率为12.8% [1]。随着糖尿病的病程进展,患者会出现多种并发症,动脉粥样硬化是其中最常见的一种。相较于正常人群,糖尿病是动脉粥样硬化的独立危险因素[2]。动脉粥样硬化斑块对血管造成不同程度的狭窄或者闭塞,引起动脉远端供血组织、器官的血流灌注障碍,甚至会导致重要器官的严重后果,比如缺血性脑卒中、急性冠状动脉综合征、肾梗死等。斑块内新生血管对于斑块的发展和易损性具有非常重要的作用。易损斑块内部新生血管的形成及其密度与斑块破裂之间存在紧密的关联[3]。近年来,利用超声造影技术作为一种新兴的微血管成像手段,其在识别和评估颈动脉粥样硬化斑块中的新生血管方面引起了广泛的关注。与传统的超声检查相比,超声造影技术在显示颅外段颈动脉异常方面展现出更卓越的精确性、灵敏性和专一性。此外,它还能显著提升彩色多普勒和频谱多普勒超声的图像质量与诊断准确性[4]。既往研究中,大多采用半定量或定量单参数的方法来探究糖尿病患者颈动脉斑块内新生血管情况[5] [6]。而在本研究中,我们使用超声造影技术对糖尿病患者以及非糖尿病患者的颈动脉斑块新生血管进行定量多参数及半定量分析,进一步探究糖尿病与颈动脉斑块内新生血管之间的关系,为临床干预心脑血管事件提供理论依据。

2. 资料与方法

2.1. 一般资料

回顾性分析2020年7月~2021年11月淄博市中心医院收治的63例颈动脉斑块患者。其中男性42例,女性21例,平均年龄62 ± 8岁。纳入标准:① 根据患者是否患有糖尿病将其划分为糖尿病组和非糖尿病组,糖尿病组22例,非糖尿病组41例。空腹血糖 ≥ 7.0 mmol/L,或餐后2小时血糖 ≥ 11.1 mmol/L,或随机血糖 ≥ 11.1 mmol/L即诊断为糖尿病。② 患者均知情同意。排除标准:有使用超声造影剂的禁忌症,如不稳定型心绞痛、急性心力衰竭、急性心内膜炎、已知右向左分流、已知对六氟化硫微泡过敏等。收集两组病人的性别、年龄、吸烟史、体重指数、收缩压、舒张压、甘油三酯、脂蛋白a等资料。

2.2. 检查方法

2.2.1. 仪器与设备

采用GE Logiq E9超声诊断仪(购自美国通用公司),配备contrast超声造影成像技术,选择9-L线阵探头,频率为9~11 MHz。选择注射用六氟化硫微泡(SonoVue,意大利Bracco公司生产)作为本研究的造影剂,造影前用生理盐水5 mL稀释,并震荡摇匀以备用。

2.2.2. 检查方法

所有研究对象进行颈动脉超声与超声造影检查,患者需采取仰卧姿势,头部转向非检查侧,以确保颈部区域充分暴露。随后,对双侧颈总动脉、颈外动脉以及颈内动脉的颅外段进行横向与纵向扫描。将厚度大于1.5 mm者定义为斑块,每位患者选择一个斑块作为超声造影评估对象,若为多发斑块患者则选取最大的低回声斑块作为超声造影评估对象。进入造影模式,经肘静脉团注1.6 mL造影剂,持续观察3分钟,观察造影剂在血管内和斑块内充填情况,机器存储图像以备后处理。患者至少观察30分钟,无不适后离开。

2.3. 评估方法和标准

由具有10年以上临床工作经验的一名超声科医师评估超声造影的检查结果。

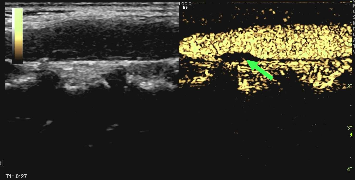
根据超声造影增强情况对斑块内新生血管进行半定量评估:0分(斑块中没有造影剂信号),1分(斑块中点状造影剂信号),2分(介于1~3分之间,斑块内可见到点状和1~2支短线状增强),3分(斑块中有多发的线状造影剂信号)。见图1图2

Figure 1. The enhancement within plaques in the diabetic group

1. 糖尿病组斑块内增强情况

Figure 2. The enhancement within plaques in the non-diabetic group

2. 非糖尿病组斑块内增强情况

根据超声造影增强情况对斑块内新生血管进行定量评估:利用时间信号强度曲线分析软件(time-intensity curve, TIC)得到以下具体参数:斑块和管腔的背景强度(background intensity, BI)、峰值强度(peak intensity, PI)、增强强度(enhanced intensity, EI)、曲线下面积(area under the curve, AUC)、达峰时间(Ttopeak)。AUC反映了声学显影剂在测得的180 s内进入斑块或空腔的总量;增强强度表示监测期间的峰值血流强度,EI = PI − BI。见图3图4

为了避免每次测量时背景信号引起的误差,我们采用标准方法获取AUC和EI比值:AUC (P/L) = 斑块内AUC/腔内AUC;EI(P/L) = 斑块内EI (PI − BI)/腔内EI (PI − BI)。造影剂面积反映斑块内血管的面积。为了消除每位患者之间血流动力学带来的差异,我们采用标准化方法获取ΔTtopeak:ΔTtopeak = Ttopeak斑块 − Ttopeak管腔。

Figure 3. The TIC fitting curve for the diabetic group

3. 糖尿病组TIC拟合曲线

Figure 4. The TIC fitting curve for the non-diabetic group

4. 非糖尿病组TIC拟合曲线

2.4. 数据分析

使用SPSS 26.0统计软件对收集的数据进行分析。对于不符合正态分布的定量数据,采用中位数(上下四分位数)来表示;而对于符合正态分布的定量数据,则采用x ± s来表示。通过c2检验,比较两组在性别和吸烟史方面的差异是否具有统计学差异。两组间数据符合正态分布的数据采用t检验,非正态分布数据采用Mann-Whitney-Wilcoxon检验,比较差异有无统计学意义。P值 < 0.05,视为差异有统计学意义。

3. 结果

3.1. 两组之间一般资料比较情况

糖尿病组与非糖尿病组在空腹血糖水平上存在统计学上的显著差异(P < 0.05),性别、吸烟史、年龄、体重指数、收缩压、舒张压、甘油三酯、脂蛋白a等方面差异均无统计学意义(P > 0.05)。见表1

Table 1. Comparison of general data between the two groups

1. 两组之间一般资料比较

项目

糖尿病组(n = 22)

非糖尿病组(n = 41)

t/Z/c2

P

性别(例)

14

28

0.140

0.709

8

13

吸烟史(例)

吸烟

8

13

0.140

0.709

不吸烟

14

28

年龄(岁)

60 ± 9

63 ± 9

1.264

0.211

体重指数(kg/m2)

25.53 ± 3.01

25.62 ± 3.29

0.097

0.923

收缩压(mmHg)

134 ± 20

135 ± 17

0.316

0.753

舒张压(mmHg)

77 ± 16

77 ± 12

−0.190

0.850

甘油三酯(mmol/L)

1.56 ± 0.45

1.85 ± 0.94

1.376

0.174

脂蛋白a (mg/L)

60 (15, 144)

56 (20, 115)

−0.079

0.937

空腹血糖(mmol/L)

7.9 (7.6, 8.8)

5.2 (4.7, 5.7)

−6.505

0.000

3.2. 两组之间颈动脉斑块特征情况比较(见表2)

3.2.1. 根据超声造影增强情况对斑块内新生血管进行半定量评估

糖尿病组评分3分的有12人,评分2分的有7人,评分1分的有3人;非糖尿病组评分3分的有9人,评分2分的有22人,评分1分的有10人。糖尿病组与非糖尿病组在增强评分方面存在统计学上的显著差异(P < 0.05)。

Table 2. Comparison of carotid artery characteristics

2. 颈动脉特征比较

项目

糖尿病组(n = 22)

非糖尿病组(n = 41)

t/Z

P

斑块长度(mm)

12.8 (7.3, 21.3)

12.6 (9.5, 19.4)

−0.512

0.609

斑块厚度(mm)

2.6 (2.0, 3.2)

2.6 (2.1, 3.0)

−0.058

0.954

EI (P/L)

0.41 (0.34, 0.54)

0.32 (0.18, 0.40)

−3.468

0.001

AUC (P/L)

0.31 (0.25, 0.34)

0.18 (0.13, 0.29)

−3.352

0.001

ΔTtopeak

−0.7 (−2.6, 2.0)

−0.5 (−2.8, 3.3)

−0.151

0.880

增强评分

2.41 ± 0.73

1.98 ± 0.69

−2.328

0.023

3.2.2. 根据超声造影增强情况对斑块内新生血管进行定量评估

糖尿病组与非糖尿病组之间EI (P/L)、AUC (P/L)以及增强评分差异具有统计学意义(P < 0.05),斑块长度、斑块厚度、ΔTtopeak差异均无统计学意义(P > 0.05)。

4. 讨论

糖尿病对动脉粥样硬化的形成和发展过程具有显著的影响。既往研究显示[7] [8],糖尿病患者的动脉粥样硬化斑块新生血管非常明显。新生血管主要分布在斑块的肩部,其内皮层不完整,平滑肌细胞数量较少,导致血管的通透性和脆性增加。这些新生血管不仅促进了脂质核心的形成和斑块的进展,还为红细胞、白细胞和巨噬细胞提供了进入斑块的途径。斑块内出血是由斑块内新生血管引发,不仅增加了新生血管的脆弱性,还触发了炎症反应,这些因素共同作用,最终促成了易损斑块的形成[9]。易损斑块的破裂和出血会导致心脑血管事件发生。Miiler等人[10]的研究表明易损斑块中的新生血管数量是稳定斑块中的两倍之多,破裂斑块内的新生血管数量是稳定斑块的四倍之多。因此,斑块中的新生血管是易损斑块的一个重要标志,斑块的易损性可以通过斑块新生血管的数量来评估。

研究发现,糖尿病组与非糖尿病组在斑块的长度和厚度方面没有显示出统计学上的显著差异,因此单纯的二维超声检查并不能提供有效依据证明糖尿病患者斑块更易损。超声造影剂中的微泡直径小于红细胞的直径,可随血管流动,注射到外周静脉后在循环系统中分布均匀,不穿透组织。这些特征使它们成为良好的血管内示踪剂,并为检测颈动脉斑块内的新生血管提供了一种无创的方法。Feinstein [11]和Vicenzini [12]等人的研究表明,颈动脉斑块的增强强度可以作为斑块新生血管的标志。Shah等报道了颈动脉超声造影斑块增强强度与手术标本新生血管密度组织学评分之间良好的相关性[13],Coli等[14]的研究也证实了这一点。

既往研究仅采用定量方法或者半定量方法对斑块新生血管进行评估,尚未有定量及半定量方法联合对斑块内新生血管进行评估。在本研究中,通过超声造影对糖尿病组与非糖尿病组斑块内新生血管进行半定量评估发现,糖尿病组的新生血管数量明显高于非糖尿病组,这也与既往研究结果一致[15]。分析其原因主要是由于糖尿病相关的血管微血管病变,为动脉壁提供营养和氧气供应的微血管病变诱导血管通透性增加,导致过多的红细胞和血红蛋白渗透到组织中[7] [8]。这一过程可能会诱发和加重涉及单核细胞和巨噬细胞的炎症反应。糖尿病患者的炎症反应强烈,并通过红细胞渗出进一步增强,炎性巨噬细胞是血管内皮生长因子等新生血管刺激因子的重要来源。糖尿病的病理生理过程也解释了超声造影检查定量分析中糖尿病组比非糖尿病组斑块增强强度高的原因。

研究表明糖尿病组患者与非糖尿病组患者之间EI (P/L)差异有统计学意义,与既往研究一致[16]。在本研究中,我们将数值进行标准化,消除了以往研究中每次测量时背景信号引起的误差[17]。通过对两组之间AUC (P/L)及ΔTtopeak进行比较,发现两组之间AUC (P/L)差异有统计学意义,证实了糖尿病组颈动脉斑块内新生血管多于非糖尿病组。两组之间ΔTtopeak差异无统计学意义,这可能是由于糖尿病尚未对患者新生血管血流动力学造成明显影响,故而两组达峰时间之差差异没有统计学意义。

综上所述,我们的研究表明,通过超声造影检查定量及半定量分析,糖尿病组患者的新生血管数量显著多于非糖尿病组患者,提示糖尿病患者的颈动脉斑块含有更多的新生血管,斑块更易损,因此更易发生心脑血管事件。这为临床的积极干预提供了充分的理论依据。

在本研究中也存在一定的局限性:① 研究样本量不足,超声造影定量分析糖尿病患者斑块内新生血管尚且进一步扩大样本量。② 本次研究采用的是单中心研究,尚需进行多中心研究进一步证实。

致 谢

首先要感谢青岛大学医学院、青岛大学附属医院及淄博市中心医院的培养!

特别要感谢导师于宁教授。本论文从选题、研究方法的确定到最终完成所有工作都是在导师于宁教授的悉心指导下完成的。她知识渊博、治学严谨、执着努力、忘我敬业的精神品质和工作态度令我深深敬佩,对学生充满爱心的关怀让我感动,这些都是我今后学习、科研和工作上的楷模,使我终生受益,在此,对导师致以最诚挚的敬意和深深的谢意!

衷心感谢淄博市中心医院超声科的各位主任、老师对此项研究的大力支持!

非常感谢各位作者及老师在数据收集、统计分析以及论文撰写过程中的帮助及指导;同时对于给予帮助的其他同事、朋友表示最诚挚的谢意!

感谢进行过相关研究的各位前辈,是你们曾经的努力帮我解答了研究中的困惑,此项研究才得以完成!

NOTES

*通讯作者。

参考文献

[1] 缪雅, 杨玉琳, 朱怡洁, 等. 糖化血红蛋白变异性与糖尿病微血管并发症关系的研究进展[J]. 内科理论与实践, 2021, 16(6): 427-430.
[2] 林珍, 王琦, 周艳辉, 等. 不同性别2型糖尿病患者动脉粥样硬化指标的影响因素研究[J]. 中国全科医学, 2021, 24(9): 1066-1070.
[3] Moreno, P.R., Purushothaman, K.R., Fuster, V., Echeverri, D., Truszczynska, H., Sharma, S.K., et al. (2004) Plaque Neovascularization Is Increased in Ruptured Atherosclerotic Lesions of Human Aorta: Implications for Plaque Vulnerability. Circulation, 110, 2032-2038.
https://doi.org/10.1161/01.cir.0000143233.87854.23
[4] Song, Z. (2015) Contrast-Enhanced Ultrasound Imaging of the Vasa Vasorum of Carotid Artery Plaque. World Journal of Radiology, 7, 131-133.
https://doi.org/10.4329/wjr.v7.i6.131
[5] 陈建梅, 王秋霜, 黄党生, 等. 超声造影评价他汀药物对糖尿病及非糖尿病病人颈动脉斑块内新生血管的影响[J]. 中西医结合心脑血管病杂志, 2017, 15(11): 1292-1296.
[6] 聂红军, 李芬穗, 李建, 等. 超声造影评价2型糖尿病患者颈动脉斑块易损性研究[J]. 实用医技杂志, 2021, 28(5): 598-600.
[7] Hayden, M.R. and Tyagi, S.C. (2004) Vasa Vasorum in Plaque Angiogenesis, Metabolic Syndrome, Type 2 Diabetes Mellitus, and Atheroscleropathy: A Malignant Transformation. Cardiovascular Diabetology, 3, Article No. 1.
https://doi.org/10.1186/1475-2840-3-1
[8] Carter, A., Murphy, M.O., Turner, N.J., Halka, A.T., Ghosh, J., Serracino-Inglott, F., et al. (2007) Intimal Neovascularisation Is a Prominent Feature of Atherosclerotic Plaques in Diabetic Patients with Critical Limb Ischaemia. European Journal of Vascular and Endovascular Surgery, 33, 319-324.
https://doi.org/10.1016/j.ejvs.2006.10.021
[9] Demyanets, S., Kaun, C., Rychli, K., Pfaffenberger, S., Kastl, S.P., Hohensinner, P.J., et al. (2010) Oncostatin M-Enhanced Vascular Endothelial Growth Factor Expression in Human Vascular Smooth Muscle Cells Involves PI3K-, p38 MAPK-, Erk1/2-and STAT1/STAT3-Dependent Pathways and Is Attenuated by Interferon-γ. Basic Research in Cardiology, 106, 217-231.
https://doi.org/10.1007/s00395-010-0141-0
[10] Müller, H.F.G., Viaccoz, A., Kuzmanovic, I., Bonvin, C., Burkhardt, K., Bochaton-Piallat, M., et al. (2014) Contrast-enhanced Ultrasound Imaging of Carotid Plaque Neo-Vascularization: Accuracy of Visual Analysis. Ultrasound in Medicine & Biology, 40, 18-24.
https://doi.org/10.1016/j.ultrasmedbio.2013.08.012
[11] Feinstein, S.B. (2006) Contrast Ultrasound Imaging of the Carotid Artery Vasa Vasorum and Atherosclerotic Plaque Neovascularization. Journal of the American College of Cardiology, 48, 236-243.
https://doi.org/10.1016/j.jacc.2006.02.068
[12] Vicenzini, E., Giannoni, M.F., Puccinelli, F., Ricciardi, M.C., Altieri, M., Di Piero, V., et al. (2007) Detection of Carotid Adventitial Vasa Vasorum and Plaque Vascularization with Ultrasound Cadence Contrast Pulse Sequencing Technique and Echo-Contrast Agent. Stroke, 38, 2841-2843.
https://doi.org/10.1161/strokeaha.107.487918
[13] Shah, F., Balan, P., Weinberg, M., Reddy, V., Neems, R., Feinstein, M., et al. (2007) Contrast-Enhanced Ultrasound Imaging of Atherosclerotic Carotid Plaque Neovascularization: A New Surrogate Marker of Atherosclerosis? Vascular Medicine, 12, 291-297.
https://doi.org/10.1177/1358863x07083363
[14] Coli, S., Magnoni, M., Sangiorgi, G., Marrocco-Trischitta, M.M., Melisurgo, G., Mauriello, A., et al. (2008) Contrast-enhanced Ultrasound Imaging of Intraplaque Neovascularization in Carotid Arteries: Correlation with Histology and Plaque Echogenicity. Journal of the American College of Cardiology, 52, 223-230.
https://doi.org/10.1016/j.jacc.2008.02.082
[15] 苏前, 周剑锋, 皮永前, 等. 急性脑梗死合并糖尿病患者颈动脉斑块内新生血管与糖化血红蛋白的相关性研究[J]. 右江医学, 2024, 52(3): 227-233.
[16] Xiong, L., Li, P. and Zhao, B. (2014) Evaluation of Carotid Plaque Neovascularization in Patients with Diabetes Mellitus by Contrast-Enhanced Ultrasonography. Journal of Huazhong University of Science and Technology [Medical Sciences], 34, 29-32.
https://doi.org/10.1007/s11596-014-1227-y
[17] Chen, J., Zhao, F., Lei, C., Qi, T., Xue, X., Meng, Y., et al. (2023) Effect of Evolocumab on the Progression of Intraplaque Neovascularization of the Carotid Based on Contrast-Enhanced Ultrasonography (EPIC Study): A Prospective Single-Arm, Open-Label Study. Frontiers in Pharmacology, 13, Article ID: 999224.
https://doi.org/10.3389/fphar.2022.999224